Здравствуйте, гость ( Вход | Регистрация )

Форум судебных медиков России
2 страниц V  1 2 >  
>

Гистологичекий метод дифференциации коллагеновых и эластический волокон?

>
Unior
сообщение 11.07.2012 - 15:20
Сообщение #1


Продвинутый участник

Группа: СМЭ
Регистрация: 13.10.2011
Из: хутор Рудка
Пользователь №: 29 337


Кто может посоветовать хорошую, проверенную гистологическую окраску для дифференциации коллагеновых и эластический волокон?
Пользователь offline
К началу страницы
+Ответить с цитированием
Медик
сообщение 11.07.2012 - 15:49
Сообщение #2


Учитель
Group Icon
Группа: Модераторы
Регистрация: 16.05.2010
Пользователь №: 21 553


Способ Вейгерта не пойдёт?
В конце для уверенности,что это окрашены эластические волокна,после окраски фукселином ополоснуть срезы 95о спиртом и дифференцировать от 2 до 18 часов в абсолютном спирте.Если фон препарата плохо обесцвечивается,то осторожно дифференцировать такой перекрашенный срез 1% солянокислым спиртом.Эластические волокна должны быть окрашены в тёмно-синицй цвет.Ядра можно предварительно окрасить кармином.
Пользователь offline
К началу страницы
+Ответить с цитированием
Unior
сообщение 11.07.2012 - 16:18
Сообщение #3


Продвинутый участник

Группа: СМЭ
Регистрация: 13.10.2011
Из: хутор Рудка
Пользователь №: 29 337


Во-во, я не проверял, но Меркулов ещё пишет о сочетани способа Вейгерта с последующим подкрашиванием по ван-Гизон: эластика - темно-синяя, а коллаген (по идее) красный. Кто-нибудь проверял?
Смысл в чем: в одном препарате подкожно-жировой клетчатки посмотреть, как что рвётся при определённом воздействии, и цитологи просили отдифференцировать волокна с орудий, у них, видите ли, всё в одном цвете.

Сообщение отредактировал Unior - 11.07.2012 - 16:19
Пользователь offline
К началу страницы
+Ответить с цитированием
Медик
сообщение 11.07.2012 - 16:54
Сообщение #4


Учитель
Group Icon
Группа: Модераторы
Регистрация: 16.05.2010
Пользователь №: 21 553


Есть у меня следующее:
Можно одновременно окрасить и эластические,и коллагеновые волокна
1)срезы окрашивают 10-30 минут фукселином
2)дифференцируют 1/2 - 1 час спиртом
3)окрашивают Вейгертовским гематоксилином и пикрофусцином по способу Ван-Гизона.
Меркулов про это написал?
Нашёл ещё модифицированный метод Уина-Тенцер.Эластические волокна будут тёмно-коричневые.Если этот метод нужен,напишу.

Пользователь offline
К началу страницы
+Ответить с цитированием
sbz
сообщение 11.07.2012 - 18:43
Сообщение #5


Магистр форума

Группа: СМЭ
Регистрация: 13.10.2005
Пользователь №: 858


Цитата(медик @ 11.07.2012 - 17:54)
Есть у меня следующее:

Нашёл ещё модифицированный метод Уина-Тенцер.Эластические волокна будут тёмно-коричневые.Если этот метод нужен,напишу.


Многостраничный Меркулов мне не нужен и У.- Т.. Но в очередной раз параллельно остался за заведующего гист. отделением. В ОСНОВНОМ - детство вызывает беспокойство, звонят и звонят - в Первую очередь...

Получу за заведование крохи

с ув.
Пользователь offline
К началу страницы
+Ответить с цитированием
Unior
сообщение 12.07.2012 - 09:03
Сообщение #6


Продвинутый участник

Группа: СМЭ
Регистрация: 13.10.2011
Из: хутор Рудка
Пользователь №: 29 337


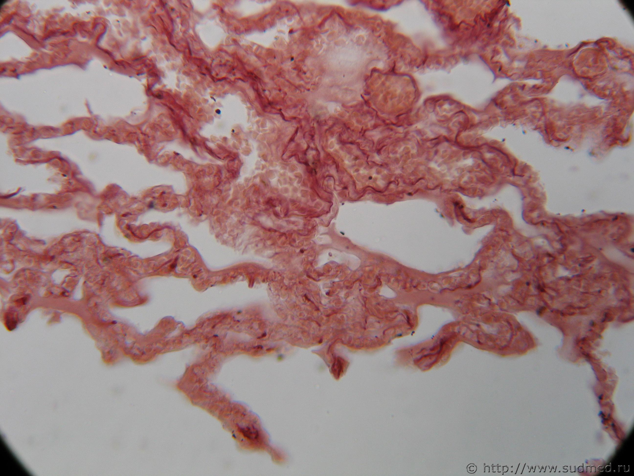
Судебная медицина - Прикрепленное изображениеСудебная медицина - Прикрепленное изображениеСудебная медицина - Прикрепленное изображение
Окраска орсеином по Унна-Тенцеру. Темно-красные эластические волокна в межальвеолярных перегородках легкого (фото1), в стенке артериального сосуда (фото2), мелкого сосуда в легком (фото3). Думаю, что вполне может заменить чистого Вейгерта. И"дети" беспокоить не будут.
Меркулов (423стр) многостраничный? А Лилли (645стр) или Ромейса (718стр) не хотите ли? smile.gif
С уважением.
Пользователь offline
К началу страницы
+Ответить с цитированием
Unior
сообщение 12.07.2012 - 09:39
Сообщение #7


Продвинутый участник

Группа: СМЭ
Регистрация: 13.10.2011
Из: хутор Рудка
Пользователь №: 29 337


Цитата(медик @ 11.07.2012 - 16:54)
1)срезы окрашивают 10-30 минут фукселином
2)дифференцируют 1/2 - 1 час спиртом
3)окрашивают Вейгертовским гематоксилином и пикрофусцином по способу Ван-Гизона

Тоесть, я правильно Вас понял, пропись така:
парафиновые срезы - ксилол - спирт - вода (стандартная депараффинизация), потом первым идет фукселин (10-30 мин) -
спирт 30 мин - 1 час -
гематоксилин Вейгерта 2- 5 мин (железный, не литиевый?) - вода-
пикрофуксин 2-3 мин - спирт - ксилол (просветляем)
полистерол - накрывам стекла.
Интересно, такого не знал, у Меркулова прописан сначала литиевый кармин (ядра) - спирт - фукселин - спирт - ксилол - бальзам.
А Вы свой метод пробывали? коллаген и эластика красились в разный цвет?
Пользователь offline
К началу страницы
+Ответить с цитированием
Медик
сообщение 12.07.2012 - 12:30
Сообщение #8


Учитель
Group Icon
Группа: Модераторы
Регистрация: 16.05.2010
Пользователь №: 21 553


1.Гематоксилин Вейгерта железный.
2.Нет таких как Вы и поэтому некому экспериментировать.
3."Руководство по патологогистологической технике".С.С.Вайль.Медгиз-1947г.
Пользователь offline
К началу страницы
+Ответить с цитированием
sbz
сообщение 12.07.2012 - 23:11
Сообщение #9


Магистр форума

Группа: СМЭ
Регистрация: 13.10.2005
Пользователь №: 858


Цитата(Unior @ 12.07.2012 - 10:03)
Судебная медицина - Прикрепленное изображениеСудебная медицина - Прикрепленное изображениеСудебная медицина - Прикрепленное изображение
Окраска орсеином по Унна-Тенцеру... И"дети" беспокоить не будут.
Меркулов (423стр) многостраничный? А Лилли (645стр) или Ромейса (718стр) не хотите ли? smile.gif
С уважением.


Эта окраска чем по-детям то поможет? Если Есипова и Ивановская в двухтомнике, кажется 1990 года, вероятностно описали микрокартину интерстициальной пневмонии у детей первых 6-ти месяцев жизни...
Посоветуйте доп. окраски, не советуйте окраски на микробы. Речь идет о первых 6-ти месяцах. Вышеуказанные авторы указывают на обязательное присутствие бронхиолита, а его в таких случаях не видим...

с ув.
Пользователь offline
К началу страницы
+Ответить с цитированием
Медик
сообщение 12.07.2012 - 23:21
Сообщение #10


Учитель
Group Icon
Группа: Модераторы
Регистрация: 16.05.2010
Пользователь №: 21 553


Цитата(sbz @ 13.07.2012 - 00:11)
описали микрокартину интерстициальной пневмонии у детей первых 6-ти месяцев жизни...
Посоветуйте доп. окраски, не советуйте окраски на микробы. Речь идет о первых 6-ти месяцах.

А чем не устраивает гематоксилин-эозин?Что Вы пытаетесь найти?
Пользователь offline
К началу страницы
+Ответить с цитированием
sbz
сообщение 12.07.2012 - 23:26
Сообщение #11


Магистр форума

Группа: СМЭ
Регистрация: 13.10.2005
Пользователь №: 858


Цитата(медик @ 13.07.2012 - 00:21)
А чем не устраивает гематоксилин-эозин?Что Вы пытаетесь найти?

Я не воспринял высказывание : и "дети" беспокоить не будут при окраске по У.-Т. Оно-высказывание не Ваше

С ув.
Пользователь offline
К началу страницы
+Ответить с цитированием
Медик
сообщение 12.07.2012 - 23:29
Сообщение #12


Учитель
Group Icon
Группа: Модераторы
Регистрация: 16.05.2010
Пользователь №: 21 553


Цитата(Unior @ 12.07.2012 - 10:03)

Окраска орсеином по Унна-Тенцеру. Темно-красные эластические волокна в межальвеолярных перегородках легкого (фото1), в стенке артериального сосуда (фото2), мелкого сосуда в легком (фото3).

Отличные фотографии.Здорово.
Пользователь offline
К началу страницы
+Ответить с цитированием
Unior
сообщение 16.07.2012 - 09:42
Сообщение #13


Продвинутый участник

Группа: СМЭ
Регистрация: 13.10.2011
Из: хутор Рудка
Пользователь №: 29 337


Цитата(sbz @ 12.07.2012 - 23:26)
Я не воспринял высказывание : и "дети" беспокоить не будут при окраске по У.-Т. Оно-высказывание не Ваше. С ув.

"Дети" - в смысле диагностики первичного ателектаза легких.

Цитата(sbz @ 12.07.2012 - 23:11)
Посоветуйте доп. окраски, не советуйте окраски на микробы. Речь идет о первых 6-ти месяцах. Вышеуказанные авторы указывают на обязательное присутствие бронхиолита, а его в таких случаях не видим...

Честно, не знаю чего и советовать. Заметил, как-то - чем дольше с этим контингентом работашь (детьми), тем больше непонятного, разбираться, просто, не хватает времени, после чего свел знакомство с двумя детскими патанатомами и отчасти для себя решил эту проблему.
Пользователь offline
К началу страницы
+Ответить с цитированием
Медик
сообщение 16.07.2012 - 11:49
Сообщение #14


Учитель
Group Icon
Группа: Модераторы
Регистрация: 16.05.2010
Пользователь №: 21 553


Цитата(Unior @ 16.07.2012 - 10:42)

Честно, не знаю чего и советовать.

Посоветывать книги.Ивановская,Цинзерлинг,Милованов +Ардашкин и Недугов "СМЭ трупов плодов и новорожденных (гист.диагностика)".
Пользователь offline
К началу страницы
+Ответить с цитированием
Unior
сообщение 16.07.2012 - 12:24
Сообщение #15


Продвинутый участник

Группа: СМЭ
Регистрация: 13.10.2011
Из: хутор Рудка
Пользователь №: 29 337


Кошмар, куда мир катится? В советуемой книге нашел фразу: "Эластический каркас легких, особенности морфологии которого предлагалось использовать в качестве дифференциально-диагностического критерия дыхания новорожденного, даже у доношенных плодов не развит и формируется преимущественно в постнатальный период жизни."
Пользователь offline
К началу страницы
+Ответить с цитированием

2 страниц V  1 2 >



- Обратная связь Сейчас: 8.11.2025 - 12:20