Здравствуйте, гость ( Вход | Регистрация )

Форум судебных медиков России
4 страниц V < 1 2 3 4 >  
>

Расслаивающий пахименингит

>
Unior
сообщение 5.10.2012 - 20:33
Сообщение #16


Продвинутый участник

Группа: СМЭ
Регистрация: 13.10.2011
Из: хутор Рудка
Пользователь №: 29 337


Цитата(медик @ 5.10.2012 - 20:30)
А макроскопическое описание,локализацию Вы не знаете?

Нет конечно, при следующей беседе спрошу у танатолога.
Пользователь offline
К началу страницы
+Ответить с цитированием
FILIN
сообщение 5.10.2012 - 20:59
Сообщение #17


ГУРУ ФСМ
Group Icon
Группа: Модераторы
Регистрация: 22.08.2004
Из: Владимирская губерния
Пользователь №: 116


Цитата
Алкоголь в крови 4 промилле

Перечитайте еще раз "Базальные САК" Науменко и Попова. Там хорошо описаны некрозы артериальных стенок при алкоголе - как остром отравлении, так и у хроников.
Пользователь offline
К началу страницы
+Ответить с цитированием
0-AHS-0
сообщение 10.10.2012 - 00:38
Сообщение #18


Претендент

Группа: Участники
Регистрация: 8.10.2012
Пользователь №: 34 263


Цитата(FILIN @ 5.10.2012 - 21:59)
Перечитайте еще раз "Базальные САК" Науменко и Попова. Там хорошо описаны некрозы артериальных стенок при алкоголе - как остром отравлении, так и у хроников.


Уважаю авторов, но согласиться с алкогольной причиной некрозов артериальных стенок вероятно никогда не смогу sad.gif

Приходилось исследовать тела и с оч высокими цифрами алкоголя вплоть до 12%о в крови, но увы никаких некрозов артериальных стенок да и пятна Тардье (мелкие пери-капилярные кровоизлияния) не всегда бывают , а концентрация всего 4%о - как причина некроза стенки артерии - мне напоминает - логику одного из давно ушедшего на пенсию пат.анатома - у него разрывы мозжечкового намета у новорожденных являлись результатом внутриутробной гипоксии smile.gif

Еще раз прошу извиненение за свои убеждения основанные на практике
Пользователь offline
К началу страницы
+Ответить с цитированием
Медик
сообщение 10.10.2012 - 12:38
Сообщение #19


Учитель
Group Icon
Группа: Модераторы
Регистрация: 16.05.2010
Пользователь №: 21 553


Цитата(0-AHS-0 @ 10.10.2012 - 01:38)
Уважаю авторов, но согласиться с алкогольной причиной некрозов артериальных стенок вероятно никогда не смогу

Заранее извините за вопрос.Смотрите ли Вы в микроскоп?
Если да,то должны были встречаться с тем ,что описывают Вами уважаемые авторы.
Пожалуйста,Ваше мнение по консультируемому случаю?

Цитата(0-AHS-0 @ 10.10.2012 - 01:38)
мне напоминает - логику одного из давно ушедшего на пенсию пат.анатома - у него разрывы мозжечкового намета у новорожденных являлись результатом внутриутробной гипоксии

С этим всё понятно.Учиться не хотел,книг не читал.Такие упёртые встречаются.

Сообщение отредактировал медик - 10.10.2012 - 12:42
Пользователь offline
К началу страницы
+Ответить с цитированием
FILIN
сообщение 10.10.2012 - 16:10
Сообщение #20


ГУРУ ФСМ
Group Icon
Группа: Модераторы
Регистрация: 22.08.2004
Из: Владимирская губерния
Пользователь №: 116


Цитата
Уважаю авторов, но согласиться с алкогольной причиной некрозов артериальных стенок вероятно никогда не смогу

Напишите опровержение.
Пользователь offline
К началу страницы
+Ответить с цитированием
[email protected]
сообщение 16.10.2012 - 06:55
Сообщение #21


Опытный участник

Группа: Участники
Регистрация: 18.12.2009
Из: Московская обл., гор. Одинцово
Пользователь №: 18 852


Цитата(Unior @ 5.10.2012 - 21:27)
Крупноочаговые, сливные и паравазальные кровоизлияния в мозговой ткани с некрозом и лейкоцитарной инфильтрацией сосудистых стенок. Алкоголь в крови 4 промилле, остального не знаю.

Не заметили разницы между ТМО и описАнием стволового отдела? Такое ощущение, что в стволе раньше изменения появились, чем в ТМО. Неплохо бы ТМО по Перлсу покрасить.
Пользователь offline
К началу страницы
+Ответить с цитированием
Медик
сообщение 16.10.2012 - 10:30
Сообщение #22


Учитель
Group Icon
Группа: Модераторы
Регистрация: 16.05.2010
Пользователь №: 21 553


Цитата(Lubov2010-[email protected] @ 16.10.2012 - 07:55)
Не заметили разницы между ТМО и описАнием стволового отдела?

Заметил.Поскольку на представленных фото "начальной лейкоцитарной реакции паравазально" не вижу,то хотелось бы ещё глянуть стекло-препараты ствола ГМ.

Цитата(Lubov2010-[email protected] @ 16.10.2012 - 07:55)
Такое ощущение, что в стволе раньше изменения появились.

Согласно описания и фото - так и получается.

Сообщение отредактировал медик - 16.10.2012 - 10:28
Пользователь offline
К началу страницы
+Ответить с цитированием
Unior
сообщение 16.10.2012 - 10:52
Сообщение #23


Продвинутый участник

Группа: СМЭ
Регистрация: 13.10.2011
Из: хутор Рудка
Пользователь №: 29 337


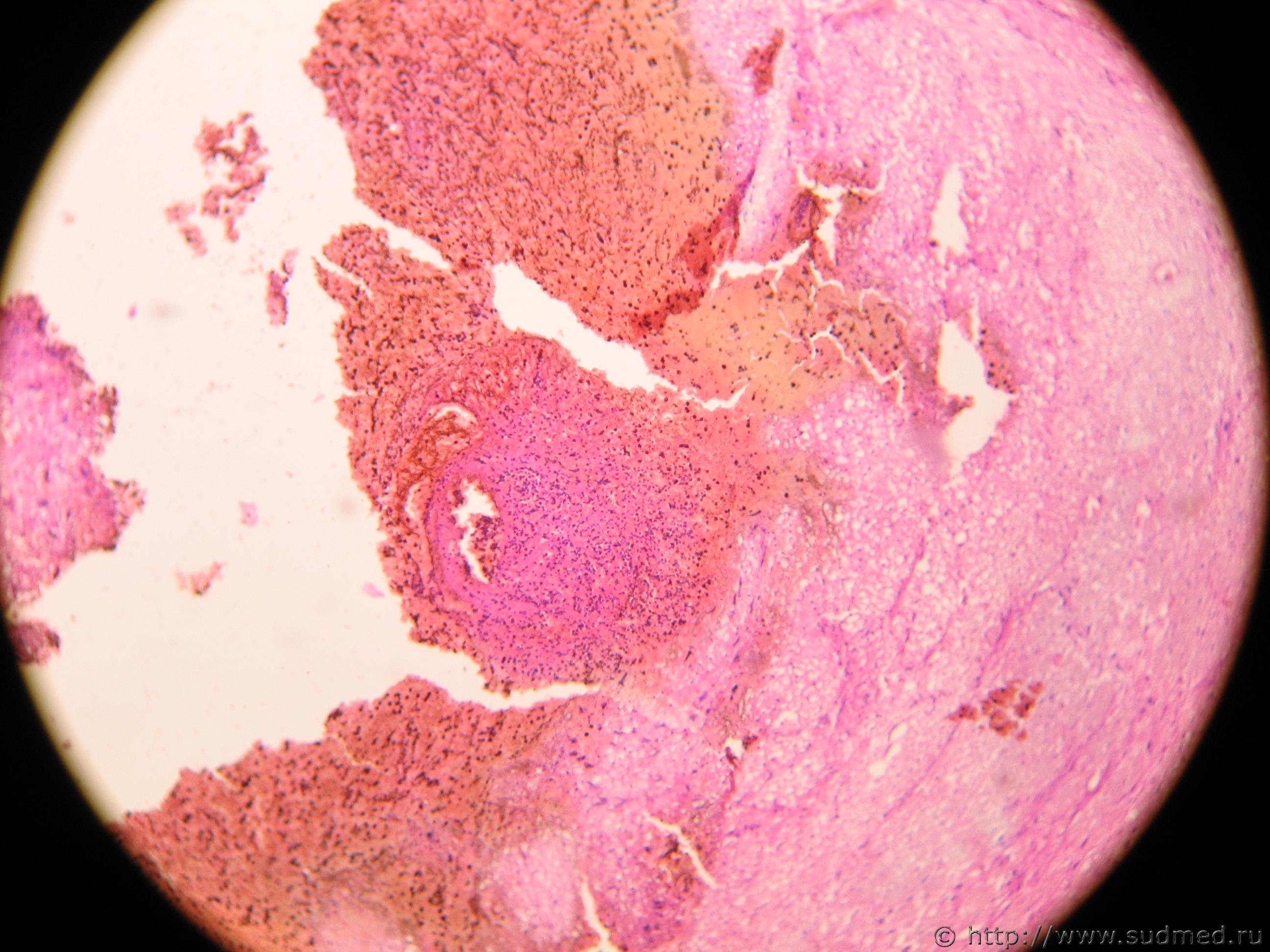
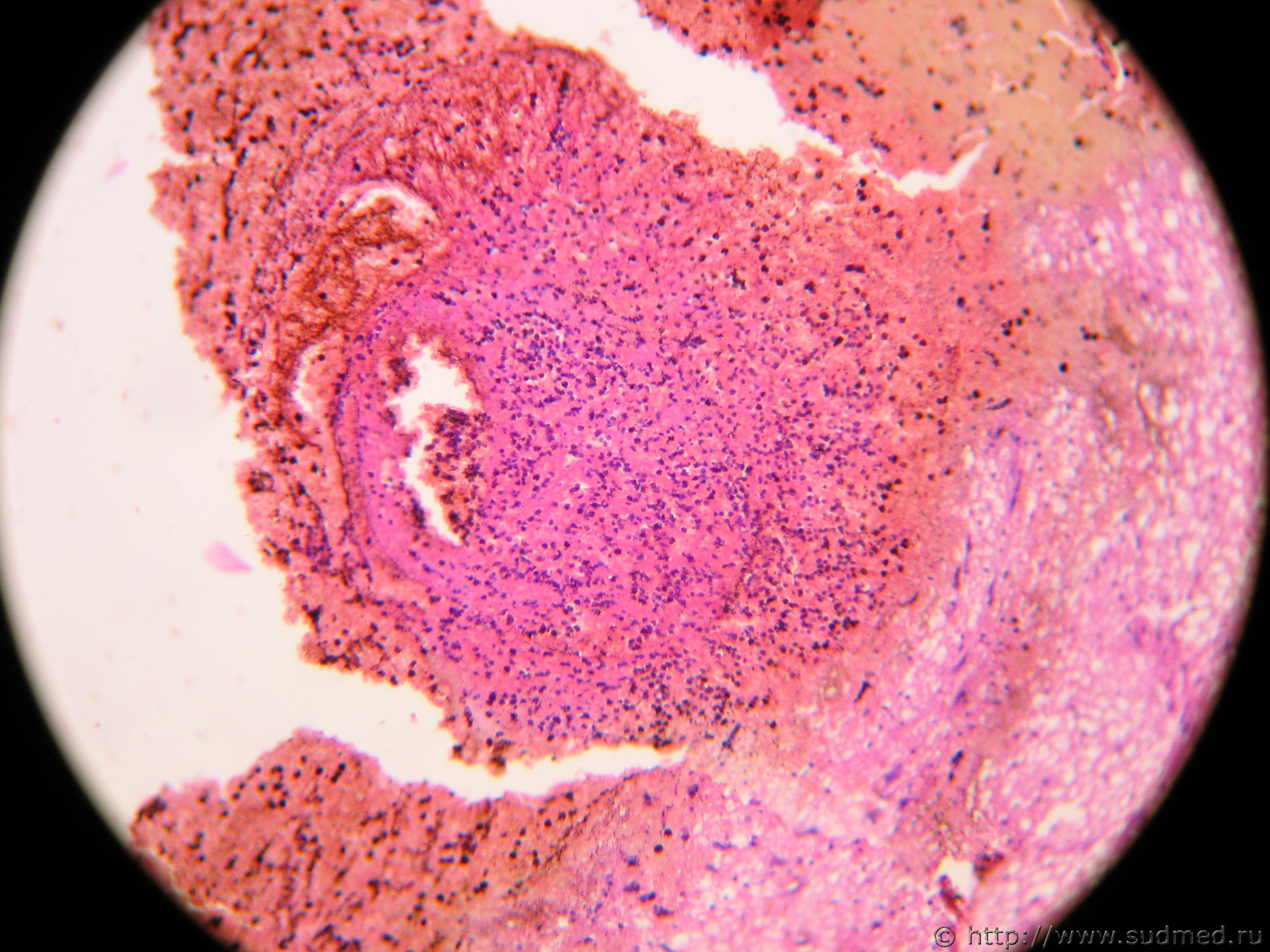
Стволовой отдел мозга увеличение в первых трёх снимках Х40, второй, Х100, третий Х200
Судебная медицина - Прикрепленное изображениеСудебная медицина - Прикрепленное изображениеСудебная медицина - Прикрепленное изображение
Судебная медицина - Прикрепленное изображение
Судебная медицина - Прикрепленное изображение

Сообщение отредактировал Unior - 16.10.2012 - 10:53
Пользователь offline
К началу страницы
+Ответить с цитированием
Медик
сообщение 16.10.2012 - 11:42
Сообщение #24


Учитель
Group Icon
Группа: Модераторы
Регистрация: 16.05.2010
Пользователь №: 21 553


Хорошо видны нейтрофилы на 1,4,5 фото.
Как я понял-это одно поле зрения на разных увеличениях.
Из этого следует,что кровоизлияние в ствол ГМ образовалось раньше,чем кровоизлияние в ТМО.
Не ошибаюсь ли?

Сообщение отредактировал медик - 16.10.2012 - 11:46
Пользователь offline
К началу страницы
+Ответить с цитированием
Unior
сообщение 16.10.2012 - 13:04
Сообщение #25


Продвинутый участник

Группа: СМЭ
Регистрация: 13.10.2011
Из: хутор Рудка
Пользователь №: 29 337


Цитата(медик @ 16.10.2012 - 11:42)
Хорошо видны нейтрофилы на 1,4,5 фото.
Как я понял-это одно поле зрения на разных увеличениях.
Из этого следует,что кровоизлияние в ствол ГМ образовалось раньше,чем кровоизлияние в ТМО.
Не ошибаюсь ли?

Да, поле зрения одно, ув. Х40, Х100, Х200 сосуд з фибриноидным некрозом и лейкоцитарной инфильтрацией стенки? или сверток крови? На остальных двух снимках (Х40) периваскулярные крововизлияния, но с некротически ли изменёнными стенками?
Мои расуждения: если первый вариант, тогда выходит, что кр-ния в стволе мозга образовались раньше, но по морфологии они всё-таки вторичные (гистологиня настаивает, что это именно так). Вопрос к танатологу, где первичный очаг?
Танатолог утверждает, что если кр-ния в ствол - вторичные, тогда кр-ния в твердой оболочке - первичные, но гистолог не дает ему "нужную" реакцию, и вообще, кр-ния в ТМО - это результат, выдуманного им "расслаивающего пахименингита", и опять же, гистолог не даёт ему источник кровотечения.
Пока этим вопросом вплотную не занимаюсь, сбагрил решать проблему между самим танатологом и гистологиней, подключив для "моральной поддержки" ещё одного гистолога. Они упорно рисуют "травму". Но, чувствую, что у начальника не менее грандиозные планы по привлечению "начальника транспорного цеха", то бишь меня.
Пользователь offline
К началу страницы
+Ответить с цитированием
Медик
сообщение 16.10.2012 - 13:22
Сообщение #26


Учитель
Group Icon
Группа: Модераторы
Регистрация: 16.05.2010
Пользователь №: 21 553


Цитата(Unior @ 16.10.2012 - 14:04)
сосуд з фибриноидным некрозом и лейкоцитарной инфильтрацией стенки? или сверток крови? .

Вижу первое.Это не свёрток крови.


Цитата(Unior @ 16.10.2012 - 14:04)
На остальных двух снимках (Х40) периваскулярные крововизлияния, но с некротически ли изменёнными стенками?

Жаль,плохо видно.Уже смотрю с помощью лупы.На третьем фото слева похоже,что стенка артериолы в состоянии фибриноидного некроза.Изменения в стенке верхней артериолы напоминает фибриноидный некроз.
Заинтриговали.Есть ли возможность представить на обозрение Акт исслед.трупа?

Сообщение отредактировал медик - 16.10.2012 - 14:13
Пользователь offline
К началу страницы
+Ответить с цитированием
sbz
сообщение 16.10.2012 - 18:04
Сообщение #27


Магистр форума

Группа: СМЭ
Регистрация: 13.10.2005
Пользователь №: 858


Цитата(Unior @ 16.10.2012 - 11:52)
Стволовой отдел мозга увеличение в первых трёх снимках Х40, второй, Х100, третий Х200
Судебная медицина - Прикрепленное изображениеСудебная медицина - Прикрепленное изображениеСудебная медицина - Прикрепленное изображение
Судебная медицина - Прикрепленное изображение
Судебная медицина - Прикрепленное изображение


в последнем переход в спинной Опять какой-то подвох? по предыдущим...
Пользователь offline
К началу страницы
+Ответить с цитированием
sbz
сообщение 16.10.2012 - 18:31
Сообщение #28


Магистр форума

Группа: СМЭ
Регистрация: 13.10.2005
Пользователь №: 858


Цитата(0-AHS-0 @ 10.10.2012 - 01:38)
Уважаю авторов, но согласиться с алкогольной причиной некрозов артериальных стенок вероятно никогда не смогу sad.gif

Приходилось исследовать тела и с оч высокими цифрами алкоголя вплоть до 12%о в крови, но увы никаких некрозов артериальных стенок да и пятна Тардье (мелкие пери-капилярные кровоизлияния) не всегда бывают , а концентрация всего 4%о - как причина некроза стенки артерии - мне напоминает - логику одного из давно ушедшего на пенсию пат.анатома - у него разрывы мозжечкового намета у новорожденных являлись результатом внутриутробной гипоксии smile.gif

Еще раз прошу извиненение за свои убеждения основанные на практике


Вопрос очень сложен
Сравните брахиокранность новорождённого с 90-ми проц. воды гол мозга и долихокранность взрослого субъекта с 70-ю с гаком воды в нём же. Намёт не сносится даже у последнего при падении из стратосферы
А мозззззззг новорожденного взорвет Намёт?
с ув.
А теперь вспомним строение стенок артерий некрупного калибра и артериол и НЕКРОЗЫ без аневризматических выпячиваний и-и-и пороков развития сосудов-мальформаций рацемозных. кавернозных... но это уже патанатомия серьёзная

Сообщение отредактировал sbz - 16.10.2012 - 18:54
Пользователь offline
К началу страницы
+Ответить с цитированием
[email protected]
сообщение 16.10.2012 - 18:48
Сообщение #29


Опытный участник

Группа: Участники
Регистрация: 18.12.2009
Из: Московская обл., гор. Одинцово
Пользователь №: 18 852


Цитата(Unior @ 16.10.2012 - 14:04)
Да, поле зрения одно, ув. Х40, Х100, Х200 сосуд з фибриноидным некрозом и лейкоцитарной инфильтрацией стенки? или сверток крови? На остальных двух снимках (Х40) периваскулярные крововизлияния, но с некротически ли изменёнными стенками?
Мои расуждения: если первый вариант, тогда выходит, что кр-ния в стволе мозга образовались раньше, но по морфологии они всё-таки вторичные (гистологиня настаивает, что это именно так). Вопрос к танатологу, где первичный очаг?
Танатолог утверждает, что если кр-ния в ствол - вторичные, тогда кр-ния в твердой оболочке - первичные, но гистолог не дает ему "нужную" реакцию, и вообще, кр-ния в ТМО - это результат, выдуманного им "расслаивающего пахименингита", и опять же, гистолог не даёт ему источник кровотечения.
Пока этим вопросом вплотную не занимаюсь, сбагрил решать проблему между самим танатологом и гистологиней, подключив для "моральной поддержки" ещё одного гистолога. Они упорно рисуют "травму". Но, чувствую, что у начальника не менее грандиозные планы по привлечению "начальника транспорного цеха", то бишь меня.

Если ТМО взята правильно, то получается, что кр-я в ствол возникли раньше, чем в ТМО. И за неимением никаких переломов - травмы уже НЕ получается. Банальное первичное кр-е с последующими проблемами при поражении сосудов. Что при хр. алкоголизме вполне вероятно. И количество алкоголя в крови осчобого значения не имеет.
Пользователь offline
К началу страницы
+Ответить с цитированием
sbz
сообщение 16.10.2012 - 19:05
Сообщение #30


Магистр форума

Группа: СМЭ
Регистрация: 13.10.2005
Пользователь №: 858


Цитата(Unior @ 5.10.2012 - 14:24)
Расслаивающий пахименингит - что за "зверь" то такой?
Сегодня беседовал с одним танатологом, он взял твердую оболочку с области верхнего сагитального синуса с неясными кровоизлияниями, гистолог описал кр-ния как "очаговые экстра-интрадуральные кровоизлияния с начальной лейкоцитарной реакцией паравазально"
Я увидел это
Кроме того есть вторичные кровоизлияния в стволовом отделе мозга.
Танатолог переломов черепа не видел, есть кровоизлияние в мягких тканях теменной области, свежые.
Утверждает, что гистолог - "баранесса" и не знает о такой очевидной вещи, как расслаивающий пахименингит.
К своему глубокому сожалению, я тоже не знаю что это. У кого какие соображения?


я никогда не исследовал "с области верхнего саггитального.." Ну очень много сосудов для ТМО А Она ли?

что это? синовиальное что-то
не патан с ув.

Сообщение отредактировал sbz - 16.10.2012 - 20:08
Пользователь offline
К началу страницы
+Ответить с цитированием

4 страниц V < 1 2 3 4 >



- Обратная связь Сейчас: 8.11.2025 - 00:24