Здравствуйте, гость ( Вход | Регистрация )

Форум судебных медиков России
>   Правила консультационного раздела >

ВНИМАНИЕ! Все сообщения проходят предварительную проверку модератором и только после этого появляются на форуме. Порядок работы раздела изложен в правилах форума.
Все консультации на форуме бесплатны, но если мы смогли вам помочь, вы можете поддержать наш проект (подробнее).

 
29 страниц V « < 20 21 22 23 24 > »   
>

гистология странгуляционной борозды

>
Anton
сообщение 18.03.2020 - 12:52
Сообщение #316


Мастер II

Группа: СМЭ
Регистрация: 6.12.2011
Из: Опорный край державы
Пользователь №: 30 279


Любое минимальное количество мочи, которое можно взять, может быть пригодно.
Пользователь offline
К началу страницы
+Ответить с цитированием
Oksana
сообщение 20.03.2020 - 23:36
Сообщение #317


Продвинутый участник

Группа: Участники
Регистрация: 14.10.2008
Пользователь №: 10 262


Цитата(Anton @ 18.03.2020 - 13:52)
Любое минимальное количество мочи, которое можно взять, может быть пригодно.
Даже 2 мл мочи достаточно?
Пользователь offline
К началу страницы
+Ответить с цитированием
Радомир
сообщение 20.03.2020 - 23:52
Сообщение #318


Мастер III
Group Icon
Группа: Модераторы
Регистрация: 30.11.2008
Из: Российская Федерация
Пользователь №: 11 273


Цитата
Даже 2 мл мочи достаточно?

Да.
Пользователь offline
К началу страницы
+Ответить с цитированием
Oksana
сообщение 22.03.2020 - 19:56
Сообщение #319


Продвинутый участник

Группа: Участники
Регистрация: 14.10.2008
Пользователь №: 10 262


Из протокола допроса заведующего судебно-гистологического отделения следует, что наличие кровоизлияния отёка кожи в области СБ считаются признаками прижизненного образования СБ. Какой отёк кожи? И какие кровоизлияния отёка кожи могут быть? Никаких кровоизлияний в кожу шеи не было. Это подтверждает акт СМИТ, а также допрос эксперта, которая проводила СМИТ.
Пользователь offline
К началу страницы
+Ответить с цитированием
Oksana
сообщение 22.03.2020 - 20:07
Сообщение #320


Продвинутый участник

Группа: Участники
Регистрация: 14.10.2008
Пользователь №: 10 262


Из того же протокола допроса бывшего заведующего судебно-гистологического отделения следует, что отсутствие в препаратах кожи кровоизлияний абсолютным свидетельством образования СБ в посмертном периоде не является. Отсутстствие кровоизлияний объясняется малокровием тканей в области дна борозды низкой диагностической чувствительностью. Это соответствует действительности? Ведь многие из вас отвечали как на форуме так и в личку, что отсутствие кровоизлияний в кожу шеи является доказательством неприжизненной СБ.

Сообщение отредактировал Радомир - 24.03.2020 - 08:37
Пользователь offline
К началу страницы
+Ответить с цитированием
Oksana
сообщение 25.03.2020 - 15:53
Сообщение #321


Продвинутый участник

Группа: Участники
Регистрация: 14.10.2008
Пользователь №: 10 262


Кровоизлияния отёка кожи - такой термин вообще существует?
Пользователь offline
К началу страницы
+Ответить с цитированием
Anton
сообщение 26.03.2020 - 06:13
Сообщение #322


Мастер II

Группа: СМЭ
Регистрация: 6.12.2011
Из: Опорный край державы
Пользователь №: 30 279


Существуют термины: кровоизлияние, отек, кожа.
Пользователь offline
К началу страницы
+Ответить с цитированием
Асмодей
сообщение 26.03.2020 - 06:14
Сообщение #323


Опытный участник

Группа: СМЭ
Регистрация: 16.06.2015
Пользователь №: 42 102


Цитата(Oksana @ 25.03.2020 - 17:53)
Кровоизлияния отёка кожи - такой термин вообще существует?


Это не один термин, а два через запятую. Кровоизлияния и отек.
Пользователь offline
К началу страницы
+Ответить с цитированием
Oksana
сообщение 26.03.2020 - 11:39
Сообщение #324


Продвинутый участник

Группа: Участники
Регистрация: 14.10.2008
Пользователь №: 10 262


Из допроса эксперта следует, что речь идёт именно об одном термине - кровоизлияния отёка кожи.
Пользователь offline
К началу страницы
+Ответить с цитированием
Oksana
сообщение 6.04.2020 - 22:27
Сообщение #325


Продвинутый участник

Группа: Участники
Регистрация: 14.10.2008
Пользователь №: 10 262


Цитата(Oksana @ 22.03.2020 - 21:07)
Из того же протокола допроса бывшего заведующего судебно-гистологического отделения следует, что отсутствие в препаратах кожи кровоизлияний абсолютным свидетельством образования СБ в посмертном периоде не является. Отсутстствие кровоизлияний объясняется малокровием тканей в области дна борозды низкой диагностической чувствительностью. Это соответствует действительности? Ведь многие из вас отвечали как на форуме так и в личку, что отсутствие кровоизлияний в кожу шеи является доказательством неприжизненной СБ.

А как можно объяснить этот ответ? Он соответствует действительности?
Пользователь offline
К началу страницы
+Ответить с цитированием
Oksana
сообщение 6.04.2020 - 22:35
Сообщение #326


Продвинутый участник

Группа: Участники
Регистрация: 14.10.2008
Пользователь №: 10 262


На просторах этого форума находила экспертизу, из которой следовало, что отсутствие валиков в зоне СБ доказывают, что узел верёвки был незатягивающийся. Это действительно так? В моём случае я видела верёвку с простым узлом, который никак не мог затянуться, поэтому обратила внимание бывшего следователя на это, а он уничтожил верёвку после этого вопроса. И валиков на шее моего супруга не было.
Пользователь offline
К началу страницы
+Ответить с цитированием
Anton
сообщение 7.04.2020 - 08:07
Сообщение #327


Мастер II

Группа: СМЭ
Регистрация: 6.12.2011
Из: Опорный край державы
Пользователь №: 30 279


Валики и вид узла не связаны между собой.
"жесткая СБ в виде участка вдавления с осаднением, местами буро-коричневой подсохшей поверхностью, шириной от 0.5 до 0.6 см, глубиной до 0.6 см".
Вдавление определенной ширины и глубины означает наличие краев (валиков) и характеризует твердость материала петли. Узел тут ни при чем. Судя по описанию СБ он не был затянут. Это обсуждалось.
Пользователь offline
К началу страницы
+Ответить с цитированием
Dr_Bob
сообщение 7.04.2020 - 13:55
Сообщение #328


Продвинутый участник

Группа: СМЭ
Регистрация: 6.07.2006
Из: Slovak Republic
Пользователь №: 2 281


Уважаемая топикстартер, уважаемая Оксана!
Я лично (а наверное, и другие участники форума) вместо ответов на повторяющиеся вопросы относительно перемещения трупных пятен, затягивания петли, сдавливания шеи, валиков, разрезов сделанных при вскрытии, полнокровия, вида кровоизлияний и пр. очень хотел бы получить от Вас дополнительную информацию о случае и документацию к нему. Фотографии и видеофайл с места обнаружения трупа, фотографии самой веревки (в деле они точно есть), фотографии со вскрытия. И расскажите хотя бы в общих чертах о последней информации о звонках, СМС-ках и пр. найденной в мобильном телефоне мужа, изъятом на месте обнаружения его мертвого тела (день, время, содержание). Если есть фотографии тела мужа, сделанные в гробу во время похорон, тоже можете приложить на обозрение участникам форума. Заранее благодарю.
Пользователь offline
К началу страницы
+Ответить с цитированием
Dr_Bob
сообщение 7.04.2020 - 14:02
Сообщение #329


Продвинутый участник

Группа: СМЭ
Регистрация: 6.07.2006
Из: Slovak Republic
Пользователь №: 2 281


Цитата
Никаких разрезов, каких-то вырезов для гистологии на шее я не видела. Да и генетика это подтвердила (сообщение № 311)


Выложите фотографии груди и шеи трупа, посмотрим вместе то, что "вы не видели". И акт упомянутого генетического исследования тоже можете приложить.
Пользователь offline
К началу страницы
+Ответить с цитированием
Dr_Bob
сообщение 7.04.2020 - 14:27
Сообщение #330


Продвинутый участник

Группа: СМЭ
Регистрация: 6.07.2006
Из: Slovak Republic
Пользователь №: 2 281


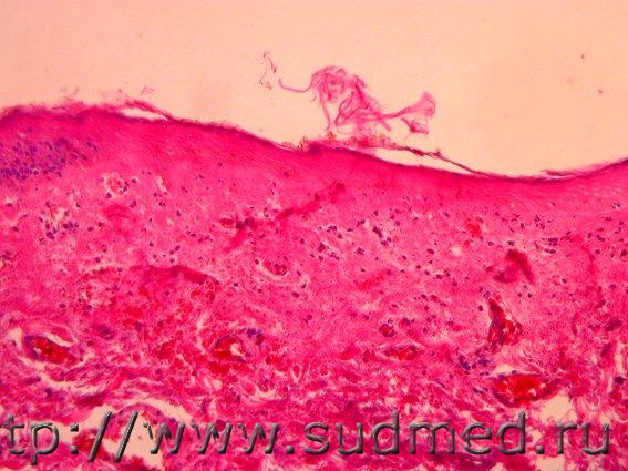
Чтобы не быть голословным, приложу несколько фотографий с подобного случая в прошлом году - шея, странгуляционный предмет, гистопатология. Всего при вскрытии было сделано 74 фотографии и 3 видео. Родственница умершего тоже делала замечания и подавала жалобы на способ производства экспертизы. Поэтому опять обращаю внимание на необходимость соблюдения принципа EBM - Evidence Based Medicine. Чтобы не давать повод для сомнений и обеспечить возможность дополнительной проверки объективности и правильности заключений экспертизы.
Судебная медицина - Прикрепленное изображениеСудебная медицина - Прикрепленное изображениеСудебная медицина - Прикрепленное изображение
Пользователь offline
К началу страницы
+Ответить с цитированием

29 страниц V « < 20 21 22 23 24 > » 



- Обратная связь Сейчас: 11.11.2025 - 07:09