Здравствуйте, гость ( Вход | Регистрация )

Форум судебных медиков России
>   Правила консультационного раздела >

ВНИМАНИЕ! Все сообщения проходят предварительную проверку модератором и только после этого появляются на форуме. Порядок работы раздела изложен в правилах форума.
Все консультации на форуме бесплатны, но если мы смогли вам помочь, вы можете поддержать наш проект (подробнее).

 
 
>

Помогите определиться с названием повреждения, Ушибы волосистой части головы

>
Светичок
сообщение 9.04.2013 - 19:12
Сообщение #1


Претендент

Группа: Участники
Регистрация: 27.02.2013
Пользователь №: 35 773


Ув. медики! Три месяца назад поставлен диагноз - ушибы волосистой части головы в затылочной области. сначала ощущала шишки и отёчность шеи ( естественно при прикасании боль) Сейчас в затылочной области на коже покраснение. Хирург описывает: Имеются пигментные покраснения кожи , отёка нет) не возвышается над поверхностью кожи, при польпации болезненный, признаков воспаления нет. Может ли шишка ушиб оставлять такой след? фото прилагаю. Или после гематомы или синяка остаются пигментные покраснения?( Похоже ли то что на фото на пигментные покраснения или всё таки это синяк? ) Врач поставил дз под вопросом: Гемангиома затылочной области ?

Сообщение отредактировал Светичок - 9.04.2013 - 19:17


Эскизы прикрепленных изображений
Судебная медицина - Прикрепленное изображение
Пользователь offline
К началу страницы
+Ответить с цитированием
Anton
сообщение 9.04.2013 - 19:30
Сообщение #2


Мастер II

Группа: СМЭ
Регистрация: 6.12.2011
Из: Опорный край державы
Пользователь №: 30 279


Раз диагноз под вопросом, то обследование не закончено. Пройдите его полностью. Повреждением покраснение не является, хотя может быть связано с травмой.
Пользователь offline
К началу страницы
+Ответить с цитированием
Медик
сообщение 9.04.2013 - 19:40
Сообщение #3


Учитель
Group Icon
Группа: Модераторы
Регистрация: 16.05.2010
Пользователь №: 21 553


Цитата(Светичок @ 9.04.2013 - 20:12)
Гемангиома затылочной области ?

Если на гемангиому надавить пальцем,то она на короткий период исчезает ,а потом восстанавливается.
Пользователь offline
К началу страницы
+Ответить с цитированием
Светичок
сообщение 9.04.2013 - 20:13
Сообщение #4


Претендент

Группа: Участники
Регистрация: 27.02.2013
Пользователь №: 35 773


Цитата(Медик @ 9.04.2013 - 19:40)
Если на гемангиому надавить пальцем,то она на короткий период исчезает ,а потом восстанавливается.
Мне сегодня врач давила на неё боль ужасная. А вот пропадала ли она или нет не сказала. Вроде гемангиома не должна быть болезненной ?
Пользователь offline
К началу страницы
+Ответить с цитированием
Светичок
сообщение 9.04.2013 - 20:31
Сообщение #5


Претендент

Группа: Участники
Регистрация: 27.02.2013
Пользователь №: 35 773


Цитата(Медик @ 9.04.2013 - 19:40)
Если на гемангиому надавить пальцем,то она на короткий период исчезает ,а потом восстанавливается.

ув. суд. мед. эксперты! Я точно знаю что это всё ещё тянется после давних ударов затылком о бетонную стену раз 5 точно. Может ли это являться последствием не до конца прошедших шишек, тяганием за волосы, ударов костяшками пальцев. Эти следы как раз в местах где были большие шишки и отёчность. Могут ли синяки иметь красноватый и порой бордовый цвет???
Пользователь offline
К началу страницы
+Ответить с цитированием
Радомир
сообщение 9.04.2013 - 22:00
Сообщение #6


Мастер III
Group Icon
Группа: Модераторы
Регистрация: 30.11.2008
Из: Российская Федерация
Пользователь №: 11 273


От кровоподтеков, гематом, "ушибов" через три месяца от момента травмы такие следы не остаются. Гемангиома - это не след от травмы. При надавливании на гемангиому резкой боли не возникает. Надо завершить обследование по поводу этих болезненных "покраснений" (хирург, дерматолог, невролог).
Пользователь offline
К началу страницы
+Ответить с цитированием
Светичок
сообщение 10.04.2013 - 14:49
Сообщение #7


Претендент

Группа: Участники
Регистрация: 27.02.2013
Пользователь №: 35 773


Цитата(Радомир @ 9.04.2013 - 22:00)
От кровоподтеков, гематом, "ушибов" через три месяца от момента травмы такие следы не остаются. Гемангиома - это не след от травмы. При надавливании на гемангиому резкой боли не возникает. Надо завершить обследование по поводу этих болезненных "покраснений" (хирург, дерматолог, невролог).

ДЗ: Гемангиома- снят. Буду искать дальше. Иду к дерматологу.
Пользователь offline
К началу страницы
+Ответить с цитированием
Светичок
сообщение 10.04.2013 - 22:23
Сообщение #8


Претендент

Группа: Участники
Регистрация: 27.02.2013
Пользователь №: 35 773


Цитата(Светичок @ 10.04.2013 - 14:49)
ДЗ: Гемангиома- снят. Буду искать дальше. Иду к дерматологу.

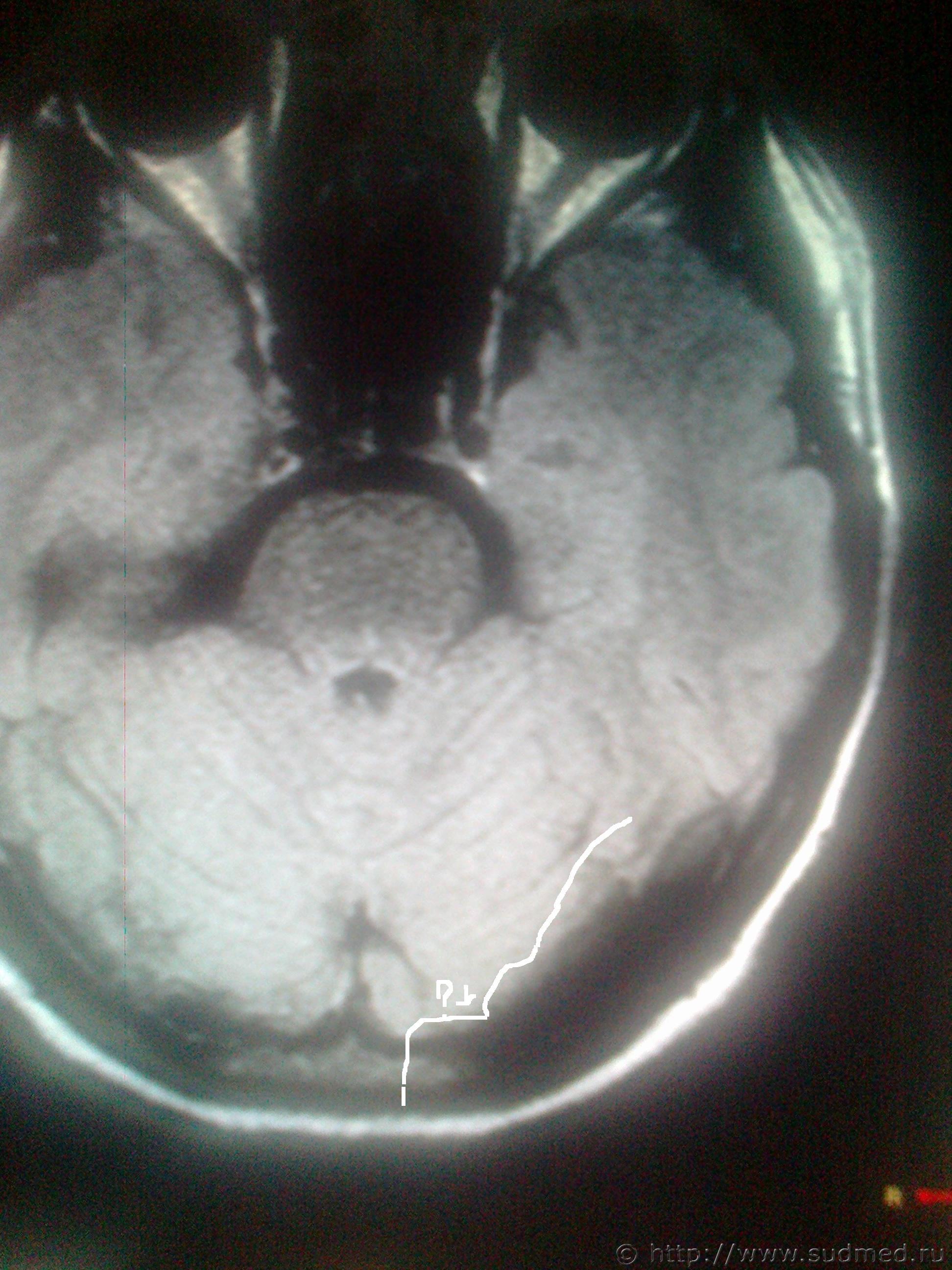
Оч. важно ваше мнение ув. специалисты! В анамнезе травма,на снимках деструкция кости, местно в этой области гиперемия (покраснение). СНИМКИ ПО КОТОРЫМ ВЫСТАВЛЯЮТ ДИАГНОЗ ПРИЛАГАЮ


Эскизы прикрепленных изображений
Судебная медицина - Прикрепленное изображение Судебная медицина - Прикрепленное изображение
Пользователь offline
К началу страницы
+Ответить с цитированием
Anton
сообщение 11.04.2013 - 05:29
Сообщение #9


Мастер II

Группа: СМЭ
Регистрация: 6.12.2011
Из: Опорный край державы
Пользователь №: 30 279


Нужны заключение рентгенолога и консультация нейрохирурга.
Пользователь offline
К началу страницы
+Ответить с цитированием




- Обратная связь Сейчас: 7.11.2025 - 00:17