Здравствуйте, гость ( Вход | Регистрация )

Форум судебных медиков России
2 страниц V  1 2 >  
>

Трещины на срезах, Помогите понять причину

>
vamore
сообщение 30.05.2013 - 20:20
Сообщение #1


Вновь прибывший

Группа: Пользователи
Регистрация: 30.05.2013
Пользователь №: 36 852


Здравствуйте, уважаемые специалисты!

Это касается гистологии.

Пожалуйста, уделите мне немного своего драгоценного времени, объясните почему могут появляться подобные дефекты на срезах.

Проблема все время появляется на разных тканях.
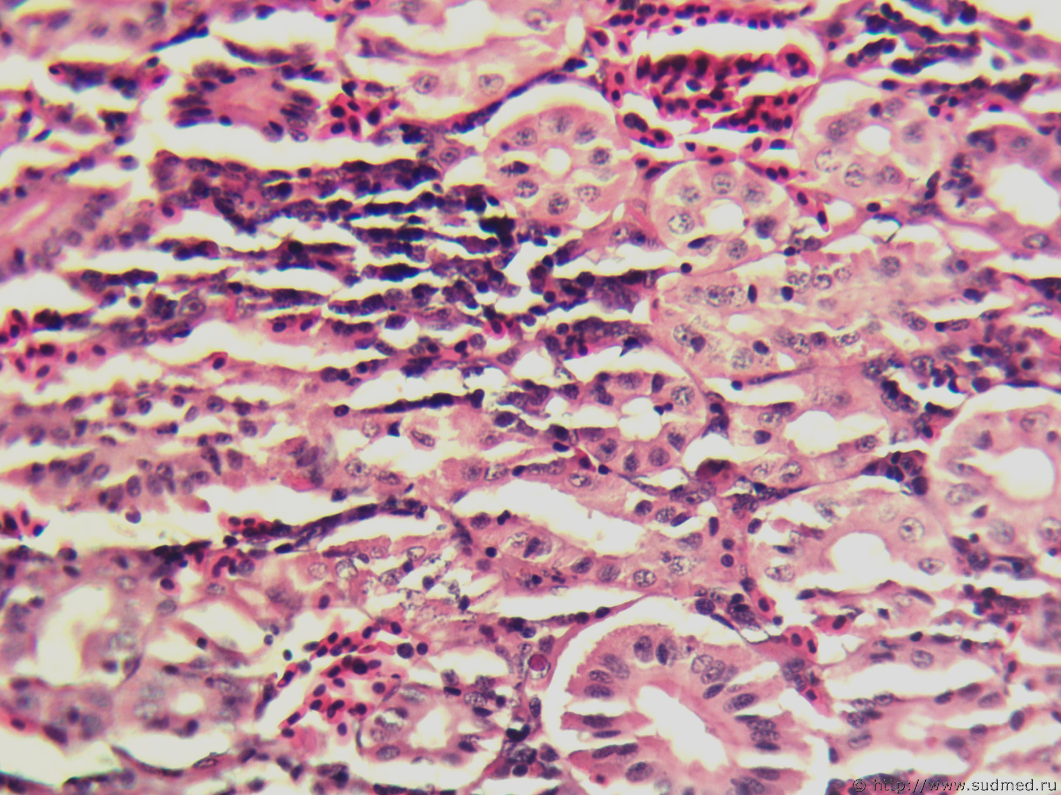
Вот пример проводки. Она осуществлялась вручную.
Препараты печени, кусочки 10x5x1 мм
Фиксированы 48 часов 4% формальдегидом в фосфатно солевом буфере,
проводились 12 часов 70% EtOH,
2 смены по 1 часу 96% EtOH,
2 смены по 1 часу 99% EtOH,
Затем 3 смены абс. этанола по 1 часу,
две смены ксилола по 50 минут,
затем 4 часа в парафине низкоплавком при ~56С,
и 4 часа в нормальном при ~61С
и препараты заливались в блоки и резались на ротационном микротоме по 6 микрон. В итоге срезы расправляются нормально но под микроскопом на наклееных препаратах видно, что они имеют микроскопические складки. Окрашенные гематоксилин-эозином срезы демонстрируют множество микроскопических трещин. Сравнивались многоразовый нож, и сменные лезвия feather, в первом случае препараты иображены на картинке, а во втором, со сменными лезвиями, срезы вообще рассыпаются.
В прилагаемых картинках примеры данных срезов. Вероятно, это так называемое пересушивание? Т.е. я передерживаю в безводных растворителях? Я думал, что это тупой нож, но я брал новые сменные лезвия и все вообще крошилось.
Судебная медицина - Прикрепленное изображение

Сообщение отредактировал Медик - 30.05.2013 - 21:21
Пользователь offline
К началу страницы
+Ответить с цитированием
Медик
сообщение 30.05.2013 - 20:58
Сообщение #2


Учитель
Group Icon
Группа: Модераторы
Регистрация: 16.05.2010
Пользователь №: 21 553


Микроскладок не вижу,если они у Вас бывают,то это свидетельствует о том,что срез полностью не расправился,поскольку вода была прохладной.Расправлять срез нужно в тёплой воде.
Крошиться может из-за того,что пересушен или же в парафин,которым заливаете куски, не добавлен воск.

Цитата(vamore @ 30.05.2013 - 21:20)

Фиксированы 48 часов 4% формальдегидом в фосфатно солевом буфере,

Так не делаем.Материал поступает фиксированным в 9-10% р-ре формалина.Затем,после вырезки заливается 10-12% раствором формалина и ставиться в термостат при 37-40гр.на 6 часов.

Сообщение отредактировал Медик - 30.05.2013 - 21:23
Пользователь offline
К началу страницы
+Ответить с цитированием
D'ng
сообщение 30.05.2013 - 22:34
Сообщение #3



Group Icon
Группа: Модераторы
Регистрация: 30.08.2011
Пользователь №: 28 478


Цитата(vamore @ 30.05.2013 - 18:20)

затем 4 часа в парафине низкоплавком при ~56С,
и 4 часа в нормальном при ~61С

В первую очередь подумал бы о парафине . Жирные кислоты и церезин часто делают подобные проблемы.
Пользователь offline
К началу страницы
+Ответить с цитированием
vamore
сообщение 31.05.2013 - 14:55
Сообщение #4


Вновь прибывший

Группа: Пользователи
Регистрация: 30.05.2013
Пользователь №: 36 852


Спасибо за ответы, господа!

Парафин использую Histomix, от компании Biovitrum

А остатки ксилола в образце не могут такую крошливость придать образцу?
Причем морфология ядер нормальная, видны ядрышки, а весь белок и клеточный, и внешний, весь расползается.

Я еще такой странный эффект наблюдал - если блок охлаждать льдом то видно что внутри от образца в парафине идут трещины.

Сообщение отредактировал vamore - 31.05.2013 - 14:56


Эскизы прикрепленных изображений
Судебная медицина - Прикрепленное изображение
Пользователь offline
К началу страницы
+Ответить с цитированием
Медик
сообщение 31.05.2013 - 20:53
Сообщение #5


Учитель
Group Icon
Группа: Модераторы
Регистрация: 16.05.2010
Пользователь №: 21 553


Цитата(vamore @ 31.05.2013 - 15:55)
блок охлаждать льдом

Этого делать не надо.
Наши лаборанты помещают парафиновые блоки на колодках перед резкой в холодную воду.По одному достают и режут.Другой народ кладёт в холодильник на 30мин.,но не в морозилку.

Сообщение отредактировал Медик - 31.05.2013 - 21:58
Пользователь offline
К началу страницы
+Ответить с цитированием
D'ng
сообщение 1.06.2013 - 02:06
Сообщение #6



Group Icon
Группа: Модераторы
Регистрация: 30.08.2011
Пользователь №: 28 478


Цитата(vamore @ 31.05.2013 - 12:55)

А остатки ксилола в образце не могут такую крошливость придать образцу?

Ксилолы хрупкости парафиновым композициям не придают.
Цитата(vamore @ 31.05.2013 - 12:55)
Я еще такой странный эффект наблюдал - если блок охлаждать льдом то видно что внутри от образца в парафине идут трещины.

Так не охлаждайте до нуля по цельсию. Парафины при низких температурах приобретают хрупкость (в зависимости от состава каждая смесь при разной температуре).
Пользователь offline
К началу страницы
+Ответить с цитированием
Smeks1
сообщение 2.06.2013 - 23:46
Сообщение #7


Опытный участник

Группа: СМЭ
Регистрация: 30.09.2008
Пользователь №: 9 995


Может быть перепален парафин, или как было уже сказано воска либо нет, либо мало.
Охлаждать в минусах нельзя ни в коем случае.
И еще от себя: а почему Вы не используете хлороформ вместо ксилола при проводке? Ксилол намного токсичнее.
Пользователь offline
К началу страницы
+Ответить с цитированием
Медик
сообщение 3.06.2013 - 06:01
Сообщение #8


Учитель
Group Icon
Группа: Модераторы
Регистрация: 16.05.2010
Пользователь №: 21 553


Наркоконтроль запретил в РФ применять хлороформ.
У нас с препаратами была проблема после перехода на ксилол.Не могли найти причину,потом наладилось.

Сообщение отредактировал Медик - 3.06.2013 - 06:03
Пользователь offline
К началу страницы
+Ответить с цитированием
Smeks1
сообщение 3.06.2013 - 09:33
Сообщение #9


Опытный участник

Группа: СМЭ
Регистрация: 30.09.2008
Пользователь №: 9 995


blink.gif Вот ето да. Можно подумать от этого наркетов стало меньше. Борьба как всегда не теми средствами и не в том месте. А как же здоровье работников? Хотя у нас в покраске тоже ксилол есть, но все-таки под вытяжкой... Кстати, уважаемые коллеги из РФ, как у Вас обстоят дела со спиртом? Мы от безвыходи (этил-прекурсор, перестали закупать) перешли на изопропиловый, однако в послежнее время с ним тоже перебои, и чем дальше, тем чаще. Может кто еще что-то подскажет? (Прошу прощения у ТС за использование темы)

Сообщение отредактировал Smeks1 - 3.06.2013 - 23:05
Пользователь offline
К началу страницы
+Ответить с цитированием
щепа
сообщение 27.06.2013 - 20:47
Сообщение #10


Опытный участник

Группа: СМЭ
Регистрация: 9.01.2011
Из: ЮФО
Пользователь №: 24 921


Это проблема не парафина,а куска. Слишком много абсолютного спирта. Не нужно его вообще,по возможности! Он сильно пересушивает и сам кусок,еще не пропитанный парафином,трескается. А видно это становится лишь после пропитки парафином. А депарафинация какова?
Кстати, вместо хлороформы мы работали даже....на 98 бензине и ничего,приноровились. А изопреп-так это вообще прелесь что такое доя гистомикаса биовитрумовского)))

Сообщение отредактировал щепа - 27.06.2013 - 20:49
Пользователь offline
К началу страницы
+Ответить с цитированием
D'ng
сообщение 28.06.2013 - 23:07
Сообщение #11



Group Icon
Группа: Модераторы
Регистрация: 30.08.2011
Пользователь №: 28 478


Цитата(щепа @ 27.06.2013 - 18:47)
Это проблема не парафина,а куска. Слишком много абсолютного спирта. Не нужно его вообще,по возможности! Он сильно пересушивает и сам кусок,еще не пропитанный парафином,трескается. А видно это становится лишь после пропитки парафином.

Абсолютный спирт это лабораторная экзотика. Вряд ли кто из СМЭ с ним работал...
Как один из вариантов ваше замечание верно , но сбрасывать со счета свойства парафина тоже не стоит. Хрупкость как следствие свойств парафина или температуры (переохлаждение парафина) тоже имеет место быть.
Пользователь offline
К началу страницы
+Ответить с цитированием
щепа
сообщение 30.06.2013 - 21:24
Сообщение #12


Опытный участник

Группа: СМЭ
Регистрация: 9.01.2011
Из: ЮФО
Пользователь №: 24 921


Цитата(D'ng @ 29.06.2013 - 00:07)
Абсолютный спирт это лабораторная экзотика. Вряд ли кто из СМЭ с ним работал...
Как один из вариантов ваше замечание верно , но сбрасывать со счета свойства парафина тоже не стоит. Хрупкость как следствие свойств парафина или температуры (переохлаждение парафина) тоже имеет место быть.

Конечно же,хрупкость парафина-немаловажный фактор. Просто я сама работаю на биовитрумовском Гистамиксе,он из всех готовых парафиновых смесей наиболее пластичен. Хотя,если честоно,мне нравилось по-старинке просто парафин перетапливать с долей пчелинного воска. Лучше всяких смесей!
Пользователь offline
К началу страницы
+Ответить с цитированием
Медик
сообщение 30.06.2013 - 21:58
Сообщение #13


Учитель
Group Icon
Группа: Модераторы
Регистрация: 16.05.2010
Пользователь №: 21 553


Цитата(щепа @ 30.06.2013 - 22:24)
просто парафин перетапливать с долей пчелинного воска.

Таким образом продолжают делать у нас.
Пользователь offline
К началу страницы
+Ответить с цитированием
щепа
сообщение 30.06.2013 - 22:20
Сообщение #14


Опытный участник

Группа: СМЭ
Регистрация: 9.01.2011
Из: ЮФО
Пользователь №: 24 921


Цитата(Медик @ 30.06.2013 - 22:58)
Таким образом продолжают делать у нас.

А у нас почему-то не могут найти,где закупать простой парафин. А из старых блоков мы уже дважды переплавляли....
Пользователь offline
К началу страницы
+Ответить с цитированием
Медик
сообщение 30.06.2013 - 22:24
Сообщение #15


Учитель
Group Icon
Группа: Модераторы
Регистрация: 16.05.2010
Пользователь №: 21 553


Если надо,узнаю.
Продаётся в мешках,кажется с надписью "Лукойл".
Пользователь offline
К началу страницы
+Ответить с цитированием

2 страниц V  1 2 >



- Обратная связь Сейчас: 4.11.2025 - 19:57