Здравствуйте, гость ( Вход | Регистрация )

Форум судебных медиков России
2 страниц V  1 2 >  
>

Плацентарный полип?

>
Unior
сообщение 10.01.2014 - 14:39
Сообщение #1


Продвинутый участник

Группа: СМЭ
Регистрация: 13.10.2011
Из: хутор Рудка
Пользователь №: 29 337


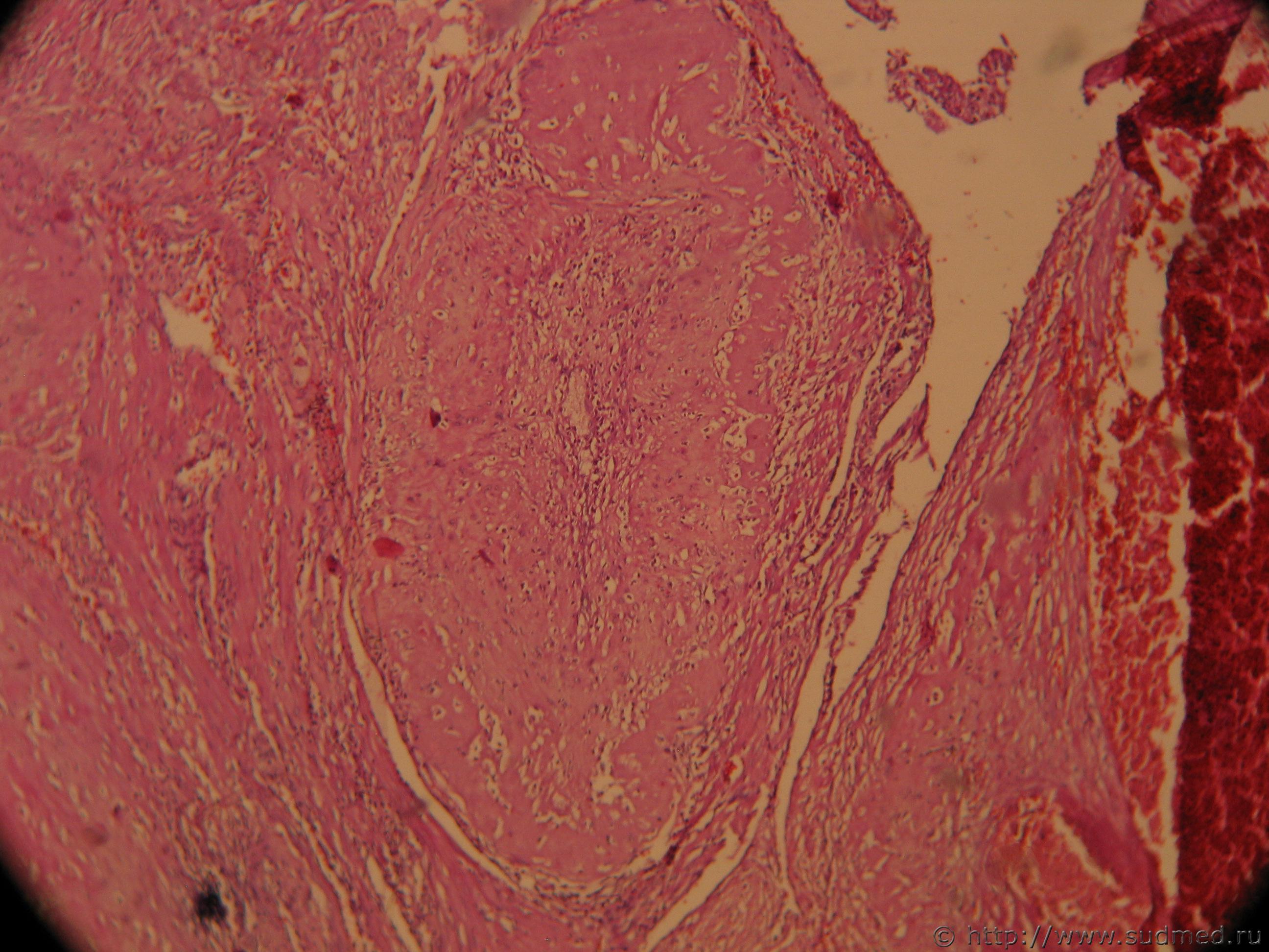
Как-то была тема в КЦ "Плацентарный полип после родов". Недавно попался случай: экстирпация матки в связи с маточным кровотечением на 16 сутки после кесарева. Исследовали патанатомы, я только стекла пересметриваю. Макроописание:"Матка 12Х10Х6 см полость м-ки вскрыта, расширена, по задней стенке эндометрий представлен рыхлыми темно-серыми полипососочковыми разрастаниями, миометрий местами толщиной 2,5 см (***) структуры с очаговыми кровоизлияниями. Микроописание с ним я немного несогласен. Вот фото, если понадобится еще сделаю.
Фото 1: Вместо эндометрия некрозы, крововизлияния, тромбоз сосудов, кое-где с некрозом сосудистых стенок, лейкоцитарные инфильтраты и гиалинизированные ворсины хориона.Судебная медицина - Прикрепленное изображение
Фото 2: гиалинизорованная ворсинаСудебная медицина - Прикрепленное изображение
Пользователь offline
К началу страницы
+Ответить с цитированием
Медик
сообщение 10.01.2014 - 18:54
Сообщение #2


Учитель
Group Icon
Группа: Модераторы
Регистрация: 16.05.2010
Пользователь №: 21 553


Цитата(Unior @ 10.01.2014 - 15:39)
Микроописание с ним я немного несогласен.

Почему ?
Микроскопическая картина соответствует плацентарному полипу.Другого не вижу.

Цитата(Unior @ 10.01.2014 - 15:39)
Вместо эндометрия некрозы, крововизлияния, тромбоз сосудов, кое-где с некрозом сосудистых стенок, лейкоцитарные инфильтраты

Чем не послеродовый эндометрит ?
Пользователь offline
К началу страницы
+Ответить с цитированием
Anton
сообщение 10.01.2014 - 19:01
Сообщение #3


Мастер II

Группа: СМЭ
Регистрация: 6.12.2011
Из: Опорный край державы
Пользователь №: 30 279


Полип.
Пользователь offline
К началу страницы
+Ответить с цитированием
jaklin
сообщение 11.01.2014 - 18:38
Сообщение #4


Продвинутый участник

Группа: СМЭ
Регистрация: 22.07.2011
Пользователь №: 28 038


Цитата(Anton @ 10.01.2014 - 20:01)
Полип.

Согласна
Пользователь offline
К началу страницы
+Ответить с цитированием
sbz
сообщение 11.01.2014 - 18:45
Сообщение #5


Магистр форума

Группа: СМЭ
Регистрация: 13.10.2005
Пользователь №: 858


Цитата(jaklin @ 11.01.2014 - 19:38)
Согласна


приглядывался в сём

КУНГУРОВА Валентина (Ижевск) -согласятся? Так и пошлите: нормальному гистологу кто видит



Сообщение отредактировал sbz - 11.01.2014 - 19:26
Пользователь offline
К началу страницы
+Ответить с цитированием
Медик
сообщение 12.01.2014 - 19:11
Сообщение #6


Учитель
Group Icon
Группа: Модераторы
Регистрация: 16.05.2010
Пользователь №: 21 553


Цитата(sbz @ 11.01.2014 - 19:45)
согласятся?

Уверен,что да. Микроскопическая диагностика плацентарного полипа не представляет большого труда.
Пользователь offline
К началу страницы
+Ответить с цитированием
Unior
сообщение 12.01.2014 - 22:44
Сообщение #7


Продвинутый участник

Группа: СМЭ
Регистрация: 13.10.2011
Из: хутор Рудка
Пользователь №: 29 337


Большое спасибо всем, что так оперативно включились в обсуждение при столь паршивом качестве фотографий, извините, постараюсь сделать лутьше. Да, простите, но.... у патанатомов шел диагноз:"placenta increta", я по своему скудоумию и по монографии Петровой ставлю: "плацентарный полип на фоне тробофлебитического метроэндометрита (эндомиометрита)" (если, честно не знаю как этот процесс правильно назвать), может ли быть это одним и тем же? Столько работы, что "ум за разум заходит", может я уже начинаю тупить?
"Так и пошлите: нормальному гистологу кто видит"
Да, Вы правы, но "нормальный гистолог" (кто все соскобы смотрит) сейчас находится во франкоязычном государстве, может быть в отпуске, так что "не представляется возможным показать стекла )))"
Пользователь offline
К началу страницы
+Ответить с цитированием
Медик
сообщение 12.01.2014 - 23:32
Сообщение #8


Учитель
Group Icon
Группа: Модераторы
Регистрация: 16.05.2010
Пользователь №: 21 553


Цитата(Unior @ 12.01.2014 - 23:44)
ставлю: "плацентарный полип на фоне тробофлебитического метроэндометрита (эндомиометрита)" (если, честно не знаю как этот процесс правильно назвать)

Плацентарный полип,послеродовый эндомиометрит.
Убирайте из д-за термин "на фоне".Здесь он не нужен.

Сообщение отредактировал Медик - 12.01.2014 - 23:34
Пользователь offline
К началу страницы
+Ответить с цитированием
Медик
сообщение 12.01.2014 - 23:55
Сообщение #9


Учитель
Group Icon
Группа: Модераторы
Регистрация: 16.05.2010
Пользователь №: 21 553


Цитата(Unior @ 12.01.2014 - 23:44)
"placenta increta"

На основании чего ? Они видели врастание остатков плаценты в миометрий ?
В Ваших стекло-препаратах такая картинка есть ?
Если действительно это так,то я добавил бы к своему диагнозу словосочетание "врастание остатков плаценты в миометрий".

Сообщение отредактировал Медик - 12.01.2014 - 23:59
Пользователь offline
К началу страницы
+Ответить с цитированием
Unior
сообщение 13.01.2014 - 11:31
Сообщение #10


Продвинутый участник

Группа: СМЭ
Регистрация: 13.10.2011
Из: хутор Рудка
Пользователь №: 29 337


Цитата(Медик @ 13.01.2014 - 00:55)
На основании чего ?

Вот описание стекол патанатомом: "Эндометрий представлен децидуальной тканью с очаговыми некрозами, кровоизлияниями, в которых расположены группы некротизированных ворсин хориона, лейкоцитарными инфильтратами, элементами трофобласта, распространяющиеся в глубокие слои миометрия"
Сейчас опять поднял стекла, что вижу: эндометрия как-такового вообще нет. С одного бока препарата матки выраженный фибриноидный некроз с какими-то фрагментами некротизированной децидуальной ткани, скопления еритроцитов, выраженная лейкоцитарная инфильтрация с рексированными лейкоцитами, в зоне геморрагии три сосуда, просвет которых выполнен смешанными тромбами, даже местами с фибриноидным некрозом сосудистых стенок. Кроме того, в некоторых срезах среди некротических масс и кровоизлияний, что-то похожее на ворсины зрелой плаценты (фото чуть позже). Да, и главное, определяются крупные и неочень гиалинизированные, а может некротизированные (более вероятно то и другое) ворсины хориона, кое-где даже и в подлежащем слое миометрия (но сказать, что в столь глубоком слое, не сказал бы). Да, в глубоких слоях миометрия (это в тех срезах где представлен только один миометрий) сосуды с утолщенными стенками, спазмированные, мышечные волокна несколько гипертрофированы, в строме то ли пролиферирующие клетки фибробластического ряда, то ли клетки инвазивного хориального эпителия, может то и другое.
М-да, вот такая то картина...
Пользователь offline
К началу страницы
+Ответить с цитированием
Unior
сообщение 13.01.2014 - 11:48
Сообщение #11


Продвинутый участник

Группа: СМЭ
Регистрация: 13.10.2011
Из: хутор Рудка
Пользователь №: 29 337


Вот, что по моим представлениям ворсины зрелой плаценты Судебная медицина - Прикрепленное изображение
Ув.Х400 Эта группа клеток на самой первой фотографии (начало топика) на 9 часов при ув.Х40
Пользователь offline
К началу страницы
+Ответить с цитированием
Anton
сообщение 13.01.2014 - 13:46
Сообщение #12


Мастер II

Группа: СМЭ
Регистрация: 6.12.2011
Из: Опорный край державы
Пользователь №: 30 279


Патанатомам, конешно, видней, но здесь никакой "инкреты" не наблюдается.
Пользователь offline
К началу страницы
+Ответить с цитированием
jaklin
сообщение 13.01.2014 - 15:42
Сообщение #13


Продвинутый участник

Группа: СМЭ
Регистрация: 22.07.2011
Пользователь №: 28 038


Цитата(Unior @ 13.01.2014 - 12:31)

М-да, вот такая то картина...

Доброго времени суток.
Выцарапать у ПА архивы сейчас (у нас, например) весьма трудно. Но попробуйте.
"Для лучшего выявления некротизированных ворсин предложено применение окраски толуидиновым синим или тионином (В. С. Пашкова, Ю. Г. Целлариус, 1950). Для этой же цели вполне пригодна и обычная окраска по Ван-Гизону, при которой строма «старых», мертвых ворсин интенсивно окрашивается в розовый цвет фуксином.
Иногда гомогенная строма некротизированных ворсин при обычной окраске гематоксилин-эозином окрашивается в голубой цвет с переходом в розовые тона (метахромазия). Это также позволяет обнаружить их в кровяных сгустках."
О.И.Топчиева, В.А.Прянишников, З.П.Жемкова. БИОПСИИ ЭНДОМЕТРИЯ.Редактор О. В. Сергеева
Там же
"Структуру изменений децидуальной ткани могут напоминать склеенные между собой спущенные клетки многослойного плоского эпителия влагалища и влагалищной части шейки матки, которые в виде отдельных кусочков иногда встречаются в соскобах (рис. 109). Материал, направленный в лабораторию как «ткань, выделившаяся из влагалища или из матки», при гистологическом исследовании также может оказаться такими же клетками влагалищного эпителия, которые в результате их склеивания могут симулировать кусочки децидуальной ткани. Однако у некоторых клеток, плоского эпителия, составляющих также комплексы, всегда можно различить загнутые края; ядра клеток, как правило, точечные, пикнотичные. Эти признаки дают возможность отличить их от клеток некротизированной децидуальной ткани.
Сожалею, что не получается загрузить рисунки

Дарагой sbz-юшка! Б.пасибо за оценку моей нормальности biggrin.gif

Пользователь offline
К началу страницы
+Ответить с цитированием
Медик
сообщение 13.01.2014 - 19:14
Сообщение #14


Учитель
Group Icon
Группа: Модераторы
Регистрация: 16.05.2010
Пользователь №: 21 553


Цитата(Unior @ 13.01.2014 - 12:31)
эндометрия как-такового вообще нет. С одного бока препарата матки выраженный фибриноидный некроз с какими-то фрагментами некротизированной децидуальной ткани, скопления еритроцитов, выраженная лейкоцитарная инфильтрация с рексированными лейкоцитами, в зоне геморрагии три сосуда, просвет которых выполнен смешанными тромбами, даже местами с фибриноидным некрозом сосудистых стенок. Кроме того, в некоторых срезах среди некротических масс и кровоизлияний, что-то похожее на ворсины зрелой плаценты (фото чуть позже). Да, и главное, определяются крупные и неочень гиалинизированные, а может некротизированные (более вероятно то и другое) ворсины хориона, кое-где даже и в подлежащем слое миометрия (но сказать, что в столь глубоком слое, не сказал бы). Да, в глубоких слоях миометрия (это в тех срезах где представлен только один миометрий) сосуды с утолщенными стенками, спазмированные, мышечные волокна несколько гипертрофированы, в строме то ли пролиферирующие клетки фибробластического ряда, то ли клетки инвазивного хориального эпителия, может то и другое.

Согласно этого описания согласился бы с патан + то,что написал выше.

Цитата(jaklin @ 13.01.2014 - 16:42)

окраски толуидиновым синим или тионином
окраска по Ван-Гизону

Не заморачивался бы.Хватит г/э.
Пользователь offline
К началу страницы
+Ответить с цитированием
доктор морфолог
сообщение 14.01.2014 - 08:48
Сообщение #15


Мастер I

Группа: СМЭ
Регистрация: 5.12.2013
Пользователь №: 38 421


уважаемые коллеги! микрофото не четкие, но я хотел добавить о том, что не отделившийся участки плацентарной ткани взависимости от объема, как остатки плацентарной ткани поэтапно превращается в полипозную ткань, если меньше размером. До 16 дней кровотечение следовало бы ожидать, в результате фибриноидного некроза стенки сосудов стволовых, промежуточных ворсин и самых ворсин в целом с воспалительным ответом в виде лейкоцитарной реакции и тромбозом сосудов эндометрия. На микрофото не видно миометрии. Видны плацентарная ткань с фибриноидным некрозом , очаги кровоизлияния с тромбозом сосудов умеренной лейкоцитарной реакцией. В данной ситуации нужно отдифференцировать истинное приращения от остатков неотделившихся участков плаценты, если в миометрии имелись трофобластные клетки с синцитиями и от трофобластной болезни, эти три патологии имеют три разных этиопатогенеза. Мой предварительный ответ по представленным двум микрофото- плацентарный полип , развившегося в результате неполного отделения плаценты.
Пользователь offline
К началу страницы
+Ответить с цитированием

2 страниц V  1 2 >



- Обратная связь Сейчас: 5.11.2025 - 02:29