Здравствуйте, гость ( Вход | Регистрация )

Форум судебных медиков России
2 страниц V < 1 2  
>

Формирование новообразования в коже, консультация по микропрепаратам

>
Медик
сообщение 4.04.2014 - 20:57
Сообщение #16


Учитель
Group Icon
Группа: Модераторы
Регистрация: 16.05.2010
Пользователь №: 21 553


Цитата(Надежда Ивановна @ 4.04.2014 - 21:28)
на трихоэпителиому очень похоже.

Не похоже.Строение трихоэпителиомы понятно отражено в старом её названии.
Нет:
-кист с кератином,плотной фиброзной стромы;
-палисадообразного расположения клеток по периферии.
На фото не опухоль.
Пользователь offline
К началу страницы
+Ответить с цитированием
Надежда Ивановна
сообщение 4.04.2014 - 21:04
Сообщение #17


Опытный участник

Группа: Участники
Регистрация: 28.01.2014
Из: Московская область
Пользователь №: 38 804


Цитата(Надежда Ивановна @ 4.04.2014 - 21:28)
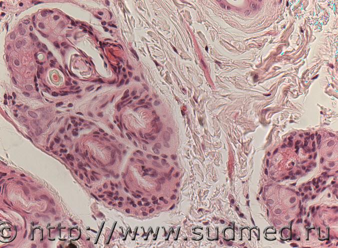
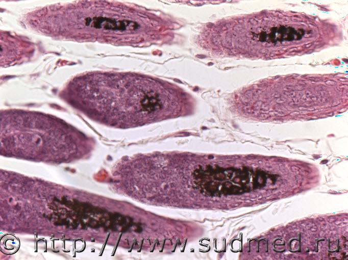
Вероятность поражения паразитарного или грибкового характера исключена, т.к. мы работаем с SPF животными (беспатогенными), в вот на трихоэпителиому очень похоже. Посмотрела в инете материалы и нашла очень похожие микрофотографии. Благодарю Вас, что подсказали правильную идею!


Вот, нашла еще один интересный случай в коже хомяка (у всех остальных 69-ти все в норме) , - гиперплазия волосяных фолликулов и много глыбок меланина, у меня подозрение, что это начало развития меланомы. Фото прилагаю. На первых трех фото представлена кожа в норме, а на следующих трех процесс, которых описала выше. Ваше мнение?


Цитата(Медик @ 4.04.2014 - 21:57)
Не похоже.Строение трихоэпителиомы понятно отражено в старом её названии.
Нет:
-кист с кератином,плотной фиброзной стромы;
-палисадообразного расположения клеток по периферии.
На фото не опухоль.



Вот, нашла еще один интересный случай в коже хомяка (у всех остальных 69-ти все в норме) , - гиперплазия волосяных фолликулов и много глыбок меланина, у меня подозрение, что это начало развития меланомы. Фото прилагаю. На первых трех фото представлена кожа в норме, а на следующих трех процесс, которых описала выше. Ваше мнение?


Эскизы прикрепленных изображений
Судебная медицина - Прикрепленное изображение Судебная медицина - Прикрепленное изображение Судебная медицина - Прикрепленное изображение Судебная медицина - Прикрепленное изображение Судебная медицина - Прикрепленное изображение Судебная медицина - Прикрепленное изображение
Пользователь offline
К началу страницы
+Ответить с цитированием
Медик
сообщение 4.04.2014 - 21:20
Сообщение #18


Учитель
Group Icon
Группа: Модераторы
Регистрация: 16.05.2010
Пользователь №: 21 553


Цитата(Надежда Ивановна @ 4.04.2014 - 22:04)
меланомы.

Не фантазируйте. smile.gif
Пользователь offline
К началу страницы
+Ответить с цитированием
sbz
сообщение 4.04.2014 - 22:10
Сообщение #19


Магистр форума

Группа: СМЭ
Регистрация: 13.10.2005
Пользователь №: 858


Цитата(Надежда Ивановна @ 4.04.2014 - 22:04)
Вот, нашла еще один интересный случай в коже хомяка (у всех остальных 69-ти все в норме) , - гиперплазия волосяных фолликулов и много глыбок меланина, у меня подозрение, что это начало развития меланомы.


Вы ветеринар + врач-педиатр + .... так понял. 2-3 высших образования?

Судебным медикам хомяки неподвластны, с ув.
Пользователь offline
К началу страницы
+Ответить с цитированием
Надежда Ивановна
сообщение 5.04.2014 - 12:49
Сообщение #20


Опытный участник

Группа: Участники
Регистрация: 28.01.2014
Из: Московская область
Пользователь №: 38 804


]Вы ветеринар + врач-педиатр + .... так понял. 2-3 высших образования?

Я провожу гистологический анализ органов животных в рамках доклинических исследований фармакологических препаратов. На основании результатов гистологического анализа принимается решение о возможности проведения клинических испытаний, т.е. на людях. С моей точки зрения гистологи, работающие в области судебной медицины, являются наиболее грамотными в России по сравнению с остальными. В этой связи мне хотелось бы пополнить свои познания в области патогистологии. Всех Вам благ!

Сообщение отредактировал Надежда Ивановна - 5.04.2014 - 12:49
Пользователь offline
К началу страницы
+Ответить с цитированием
sbz
сообщение 5.04.2014 - 13:49
Сообщение #21


Магистр форума

Группа: СМЭ
Регистрация: 13.10.2005
Пользователь №: 858


Цитата(Надежда Ивановна @ 5.04.2014 - 13:49)
]Вы ветеринар + врач-педиатр + .... так понял. 2-3 высших образования?

Я провожу гистологический анализ органов животных в рамках доклинических исследований фармакологических препаратов. На основании результатов гистологического анализа принимается решение о возможности проведения клинических испытаний, т.е. на людях. С моей точки зрения гистологи, работающие в области судебной медицины, являются наиболее грамотными в России по сравнению с остальными. В этой связи мне хотелось бы пополнить свои познания в области патогистологии. Всех Вам благ!


огромное спасибо за понимание
Вопросы:
- основная специальность (и во-обще сколько у Вас сертиф. специалиста; некоторые в педиатрии имеют 3-4)
- хомяк... крыса...собака...свинья...примат и ЧЕЛОВЕК В чем на 2014-й я нарушил последовательность?

с ув. к вашему труду

____________
Полученное нарушение

Полученное нарушение: грубое нарушение [!]
Причина: Нарушение п.8.15 Правил ФСМ.
Прекратите злостный флуд в КЦ!



Выдал: Радомир.
Истекает: через 10 дней.

Пользователь offline
К началу страницы
+Ответить с цитированием
доктор морфолог
сообщение 7.04.2014 - 07:51
Сообщение #22


Мастер I

Группа: СМЭ
Регистрация: 5.12.2013
Пользователь №: 38 421


Цитата(sbz @ 5.04.2014 - 16:49)
огромное спасибо за понимание
Вопросы:
- основная специальность (и во-обще сколько у Вас сертиф. специалиста; некоторые в педиатрии имеют 3-4)
- хомяк... крыса...собака...свинья...примат и ЧЕЛОВЕК В чем на 2014-й я нарушил последовательность?

с ув. к вашему труду

ув.маэстро! Давайте как цивилизованные люди и как участники будем уважать и ценить ФСМ, давайте что попало не будем писать!!!
Пользователь offline
К началу страницы
+Ответить с цитированием

2 страниц V < 1 2



- Обратная связь Сейчас: 9.11.2025 - 10:58