Здравствуйте, гость ( Вход | Регистрация )

Форум судебных медиков России
 
>

Холангиокарцинома или гепатоцеллюлярная карцинома?, Консультация препарата

>
Надежда Ивановна
сообщение 2.04.2014 - 18:46
Сообщение #1


Опытный участник

Группа: Участники
Регистрация: 28.01.2014
Из: Московская область
Пользователь №: 38 804


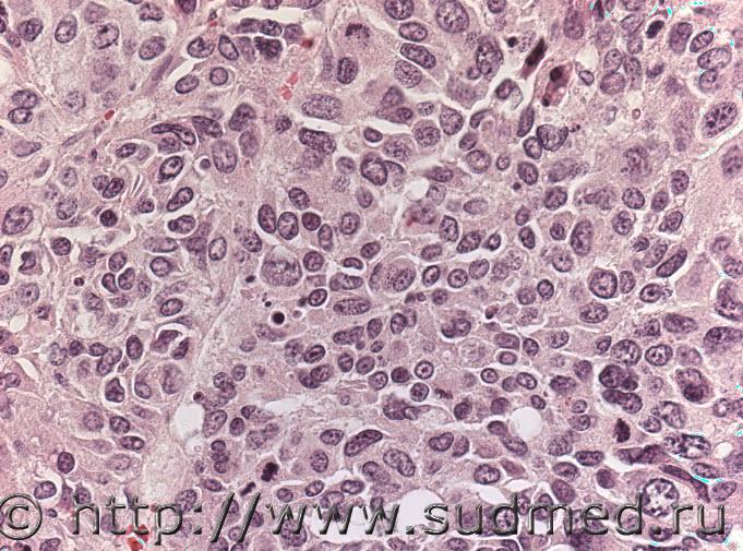
Помогите, пожалуйста, поставить правильный диагноз.
Я больше склонна к тому, что это гепатоцеллюлярная карцинома, хотя морфология эпителия больше имеет сходство с эпителием, выстилающим желчные протоки.
На второй микрофотографии больше похоже на холангиокарциному.
Жду, когда придет Медик и поможет, он все знает!)

Сообщение отредактировал Надежда Ивановна - 2.04.2014 - 19:02


Эскизы прикрепленных изображений
Судебная медицина - Прикрепленное изображение Судебная медицина - Прикрепленное изображение
Пользователь offline
К началу страницы
+Ответить с цитированием
Медик
сообщение 2.04.2014 - 20:02
Сообщение #2


Учитель
Group Icon
Группа: Модераторы
Регистрация: 16.05.2010
Пользователь №: 21 553


Цитата(Надежда Ивановна @ 2.04.2014 - 19:46)
гепатоцеллюлярная карцинома

Очень похоже.
Пользователь offline
К началу страницы
+Ответить с цитированием
Надежда Ивановна
сообщение 2.04.2014 - 20:09
Сообщение #3


Опытный участник

Группа: Участники
Регистрация: 28.01.2014
Из: Московская область
Пользователь №: 38 804


Цитата(Медик @ 2.04.2014 - 21:02)
Очень похоже.

В не пораженных областях печени вижу очаговую гиперплазию эпителия желчных протоков, может все же холангиокарцинома?
Пользователь offline
К началу страницы
+Ответить с цитированием
Медик
сообщение 2.04.2014 - 20:10
Сообщение #4


Учитель
Group Icon
Группа: Модераторы
Регистрация: 16.05.2010
Пользователь №: 21 553


Цитата(Надежда Ивановна @ 2.04.2014 - 19:46)

На второй микрофотографии больше похоже на холангиокарциному.

На двух фото материал одной опухоли? Если так,то подумал бы о гепатоцеллюлярном раке и формировании псевдожелезистых структур.
Может мне эти структуры показались ?
Пользователь offline
К началу страницы
+Ответить с цитированием
Медик
сообщение 2.04.2014 - 20:20
Сообщение #5


Учитель
Group Icon
Группа: Модераторы
Регистрация: 16.05.2010
Пользователь №: 21 553


Цитата(Надежда Ивановна @ 2.04.2014 - 21:09)
В не пораженных областях печени вижу очаговую гиперплазию эпителия желчных протоков, может все же холангиокарцинома?

Принято считать,что микроскопическая картина гепатоцеллюлярного рака пёстрая,поскольку в составе опухоли присутствуют несколько типов клеток,формирующих разнообразные структуры,которых 4 варианта.Есть конечно же и классический гепатоцел.рак, состоящий из клеток,дифференцированные варианты которых мало отличаются от нормального гепатоцита.

Цитата(Надежда Ивановна @ 2.04.2014 - 21:09)
вижу очаговую гиперплазию эпителия желчных протоков

Ну и что ?
Пользователь offline
К началу страницы
+Ответить с цитированием
Надежда Ивановна
сообщение 2.04.2014 - 20:22
Сообщение #6


Опытный участник

Группа: Участники
Регистрация: 28.01.2014
Из: Московская область
Пользователь №: 38 804


Цитата(Медик @ 2.04.2014 - 21:10)
На двух фото материал одной опухоли? Если так,то подумал бы о гепатоцеллюлярном раке и формировании псевдожелезистых структур.
Может мне эти структуры показались ?


Да это печень одного и того же животного. На этом препарате таких структур не имеется.
Но вот, нашла нечто подобное у других животных, имею в виду псевдожелезистые структуры.


Эскизы прикрепленных изображений
Судебная медицина - Прикрепленное изображение Судебная медицина - Прикрепленное изображение
Пользователь offline
К началу страницы
+Ответить с цитированием
Медик
сообщение 2.04.2014 - 20:37
Сообщение #7


Учитель
Group Icon
Группа: Модераторы
Регистрация: 16.05.2010
Пользователь №: 21 553


На первом фото - скорее,холангиоцеллюлярный рак,конечно если это опухоль печени.

Цитата(Надежда Ивановна @ 2.04.2014 - 21:22)
псевдожелезистые структуры.

Возможны на втором фото.

Сообщение отредактировал Медик - 2.04.2014 - 20:35
Пользователь offline
К началу страницы
+Ответить с цитированием
доктор морфолог
сообщение 4.04.2014 - 11:11
Сообщение #8


Мастер I

Группа: СМЭ
Регистрация: 5.12.2013
Пользователь №: 38 421


Цитата(Надежда Ивановна @ 2.04.2014 - 21:46)
Помогите, пожалуйста, поставить правильный диагноз.

Ув.Н.И.! Если это от того же хомячка, сможете на малом, либо на среднем увеличении пару снимков, чтобы было видно обзор. В этих локальных(мне кажется) снимках распределение хроматина в ядрах равномерное на большом увеличении.
Пользователь offline
К началу страницы
+Ответить с цитированием
доктор морфолог
сообщение 4.04.2014 - 11:23
Сообщение #9


Мастер I

Группа: СМЭ
Регистрация: 5.12.2013
Пользователь №: 38 421


Цитата(Надежда Ивановна @ 2.04.2014 - 23:22)
Да это печень одного и того же животного. На этом препарате таких структур не имеется.
Но вот, нашла нечто подобное у других животных, имею в виду псевдожелезистые структуры.

Ув.Н.И.! В последнем двух снимках Ваших - в первом , правильно сказал ув Медик. если это опухоль то высокодифференцированную аденокарциному похоже, а на втором похоже на низкодифференцированную аденокарциному. Почему слово похоже, как сами догадываетесь о том, что я макроневидел и еще Вами не закончено исследование. Была бы возможность провести ИГХ или ИЦХ, и тогда был бы утвердительный ответ.
Пользователь offline
К началу страницы
+Ответить с цитированием
Надежда Ивановна
сообщение 22.04.2014 - 18:24
Сообщение #10


Опытный участник

Группа: Участники
Регистрация: 28.01.2014
Из: Московская область
Пользователь №: 38 804


Цитата(Медик @ 2.04.2014 - 21:02)
Очень похоже.


Это холангиокарцинома (два верхних снимка).
На основании проведенного микроскопического анализа печени 10 животных с макроскопическими признаками новообразований, пришла к выводу, что на двух верхних снимках представлена низко дифференцированная холангиокарцинома. Удалось также выявить динамику развития холангиокарциномы. Результаты работы не удалось представить, т.к. файл в виде вордовского документа не прикрепляется к посланию sad.gif
Пользователь offline
К началу страницы
+Ответить с цитированием
Надежда Ивановна
сообщение 22.04.2014 - 18:32
Сообщение #11


Опытный участник

Группа: Участники
Регистрация: 28.01.2014
Из: Московская область
Пользователь №: 38 804


Цитата(доктор морфолог @ 4.04.2014 - 12:11)
Ув.Н.И.! Если это от того же хомячка, сможете на малом, либо на среднем увеличении пару снимков, чтобы было видно обзор. В этих локальных(мне кажется) снимках распределение хроматина в ядрах равномерное на большом увеличении.


Уважаемый Доктор Морфолог! Относительно двух нижних снимков, Вы правы, представлена холангиокарцинома. На двух верхних тоже холангиокарцинома, но менее дифференцированная, чем на двух нижних. Провела детальный микроскопический анализ печени всех животных с макроскопическими признаками опухоли и удалось выявить динамику развития холангиокарциномы. Вот только результаты в виде вордовского документа не желают прикрепиться к сообщению.
Пользователь offline
К началу страницы
+Ответить с цитированием




- Обратная связь Сейчас: 4.11.2025 - 08:36