Здравствуйте, гость ( Вход | Регистрация )

Форум судебных медиков России
 
>

Патология брюшной аорты, консультация гистологического препарата

>
Надежда Ивановна
сообщение 14.04.2014 - 20:06
Сообщение #1


Опытный участник

Группа: Участники
Регистрация: 28.01.2014
Из: Московская область
Пользователь №: 38 804


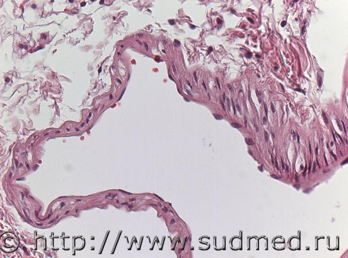
На препарате представлено очаговое истончение средней оболочки брюшной аорты (хомяка smile.gif ).Пыталась узреть в этом артефакт, типа того, что срез не удачно лег на стекло. Но, думаю, не артефакт. Может аневризма? Три фото одного и того участка при разных увеличениях: х100, х200, х400

Сообщение отредактировал Надежда Ивановна - 14.04.2014 - 20:07


Эскизы прикрепленных изображений
Судебная медицина - Прикрепленное изображение Судебная медицина - Прикрепленное изображение Судебная медицина - Прикрепленное изображение
Пользователь offline
К началу страницы
+Ответить с цитированием
Медик
сообщение 14.04.2014 - 20:47
Сообщение #2


Учитель
Group Icon
Группа: Модераторы
Регистрация: 16.05.2010
Пользователь №: 21 553


Цитата(Надежда Ивановна @ 14.04.2014 - 21:06)
Может аневризма?

Слева - да.
Пользователь offline
К началу страницы
+Ответить с цитированием
Надежда Ивановна
сообщение 15.04.2014 - 09:01
Сообщение #3


Опытный участник

Группа: Участники
Регистрация: 28.01.2014
Из: Московская область
Пользователь №: 38 804


Цитата(Медик @ 14.04.2014 - 21:47)
Слева - да.


Да, именно слева, в своей практике сосуды смотрю очень редко и такую патологию увидела впервые. Благодарю Вас за быстрый ответ! Вы профессионал своего дела!
Пользователь offline
К началу страницы
+Ответить с цитированием
доктор морфолог
сообщение 15.04.2014 - 11:10
Сообщение #4


Мастер I

Группа: СМЭ
Регистрация: 5.12.2013
Пользователь №: 38 421


Цитата(Надежда Ивановна @ 14.04.2014 - 23:06)
На препарате представлено очаговое истончение средней оболочки брюшной аорты (хомяка smile.gif ).Пыталась узреть в этом артефакт, типа того, что срез не удачно лег на стекло. Но, думаю, не артефакт. Может аневризма? Три фото одного и того участка при разных увеличениях: х100, х200, х400

Ув.Н.И.! Если макроскопически увидели выпячивания, микроскопически нет сомнении, что аневризма. Иногда бывает тангенциальный срез, когда в области бифуркации(разветвления), при неправильной фиксации сосудов основания мозга в парафиновых блоках иногда срезы могут дать ложный рисунок.Думаю в Вашем случае при заливке в парафин сосуд расположился топографически правильно.
Пользователь offline
К началу страницы
+Ответить с цитированием
Надежда Ивановна
сообщение 15.04.2014 - 20:46
Сообщение #5


Опытный участник

Группа: Участники
Регистрация: 28.01.2014
Из: Московская область
Пользователь №: 38 804


Если макроскопически увидели выпячивания, микроскопически нет сомнении, что аневризма.

Я уже давно отказалась от проведения некропсий, т.к. работы и так хватает, но знаю, из какого участка брюшной аорты берется образец для исследования. Макроскопическое исследование у мелких грызунов осложняется мелкими размерами органов, с сосудами можно работать только с помощью оптической техники, что не делается в нашей лаборатории, к сожалению. В конкретном случае прозектор, очевидно, выпячивание не заметил, т.к. никаких данных в протоколе некропсии я не нашла. Очередной раз благодарю Вас за внимание к моей теме.

Сообщение отредактировал Надежда Ивановна - 15.04.2014 - 20:47
Пользователь offline
К началу страницы
+Ответить с цитированием
доктор морфолог
сообщение 28.04.2014 - 11:21
Сообщение #6


Мастер I

Группа: СМЭ
Регистрация: 5.12.2013
Пользователь №: 38 421


Цитата(Надежда Ивановна @ 15.04.2014 - 23:46)

Добрый день! Как на Ваших фото выпячивания с истонченной стенкой сосудов я вижу часто в легких людей по секционным материалам. Легкие как губка и часто тагенциальный срез сосудов попадают.
Пользователь offline
К началу страницы
+Ответить с цитированием
Надежда Ивановна
сообщение 6.05.2014 - 10:31
Сообщение #7


Опытный участник

Группа: Участники
Регистрация: 28.01.2014
Из: Московская область
Пользователь №: 38 804


Добрый день!
Тангенциальный [лат. tangens (tan-gentis) касающийся] - мат. направленный по касательной к данной кривой.
Не поняла, как может тангенциальный срез стать причиной "ложной" аневризмы сосуда, иными словами артефактом, схожим с морфологическими признаками аневризмы.
Пользователь offline
К началу страницы
+Ответить с цитированием
доктор морфолог
сообщение 6.05.2014 - 11:48
Сообщение #8


Мастер I

Группа: СМЭ
Регистрация: 5.12.2013
Пользователь №: 38 421


Цитата(Надежда Ивановна @ 6.05.2014 - 13:31)
Добрый день!
Тангенциальный [лат. tangens (tan-gentis) касающийся] - мат. направленный по касательной к данной кривой.
Не поняла, как может тангенциальный срез стать причиной "ложной" аневризмы сосуда, иными словами артефактом, схожим с морфологическими признаками аневризмы.

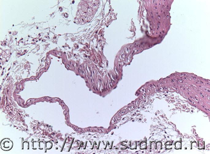
Ув.Н.И.В разделе танатология п.п.просто иллюстрация где в левом углу 555 сообщении моем 4 рисунок сосуд легких, там ложное аневризматического типа выпячивание стенки сосуда из за неправильного расправления извилистой трубки (сосуда). на рисунке видно ложное выпячивание т.к. ткань легких как губка. При любом тангенциальном срезе она никак не распрямляется, тем более при микросрезе в микронах. Такие моменты встречаются, где разветвления преимущественно мелких сосудов в легких. В вашем случае тоже как бы не было аорта у мелких грызунов взята в местах разветвления я подумал, но не утвердительно. Т.е. я имел в виду, что при тангенциальном срезе может попасть такие не распрямленные срезы извилистых трубчатых структур ткани(сосуды, протоки) и как бы преподносить нашим зрениям ложную картину выпячивания стенки трубчатых структур. Смог ли я Вам обьяснить?
Пользователь offline
К началу страницы
+Ответить с цитированием
Надежда Ивановна
сообщение 6.05.2014 - 19:35
Сообщение #9


Опытный участник

Группа: Участники
Регистрация: 28.01.2014
Из: Московская область
Пользователь №: 38 804


Уважаемый Доктор морфолог, мне не удалось найти нужную фотографию в этой связи имею к Вам просьбу загрузить картинку в эту тему.
Пользователь offline
К началу страницы
+Ответить с цитированием
Медик
сообщение 6.05.2014 - 20:07
Сообщение #10


Учитель
Group Icon
Группа: Модераторы
Регистрация: 16.05.2010
Пользователь №: 21 553


Ув.Н.И.
Сообщение №555,второе фото справа.Изменения артерии похожи на аневризму.
Пользователь offline
К началу страницы
+Ответить с цитированием
доктор морфолог
сообщение 8.05.2014 - 09:26
Сообщение #11


Мастер I

Группа: СМЭ
Регистрация: 5.12.2013
Пользователь №: 38 421





Цитата(Медик @ 6.05.2014 - 23:07)
Ув.Н.И.
Сообщение №555,второе фото справа.Изменения артерии похожи на аневризму.

Ув.коллега! Вы правы может быть, я частенько вижу в основном в ткани легких, если будут случаи буду фиксировать и постараюсь демонстрировать.
С выпячиванием стенки вблизи неврилеммомы стенки желудка и продуктивном артериите в ткани легких

Сообщение отредактировал доктор морфолог - 8.05.2014 - 09:29


Эскизы прикрепленных изображений
Судебная медицина - Прикрепленное изображение Судебная медицина - Прикрепленное изображение
Пользователь offline
К началу страницы
+Ответить с цитированием




- Обратная связь Сейчас: 5.11.2025 - 13:31