Здравствуйте, гость ( Вход | Регистрация )

Форум судебных медиков России
2 страниц V  1 2 >  
>

Печень в процессе усиленного расщепления гликогена, Консультация препарата

>
Надежда Ивановна
сообщение 25.06.2014 - 19:30
Сообщение #1


Опытный участник

Группа: Участники
Регистрация: 28.01.2014
Из: Московская область
Пользователь №: 38 804


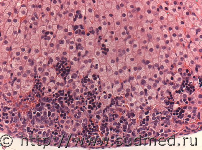
После 14 дневного введения препарата, способствующего усиленному расщеплению гликогена в печени, при микроскопическом анализе наблюдаются изменения со стороны гепатоцитов. Эти изменения носят обменный характер и проявляются в виде дистрофических изменений. Мне не ясно какой именно тип дистрофических изменений в данной ситуации имеет место. С моей точки зрения, это не баллонная дистрофия, хотя внешне похожа.
Окраска гематоксилин-эозином, ув. х400

Сообщение отредактировал Надежда Ивановна - 25.06.2014 - 19:37
Пользователь offline
К началу страницы
+Ответить с цитированием
Медик
сообщение 25.06.2014 - 19:43
Сообщение #2


Учитель
Group Icon
Группа: Модераторы
Регистрация: 16.05.2010
Пользователь №: 21 553


Не открывается фото.
Ув.коллеги,а как у Вас ?

Сообщение отредактировал Медик - 25.06.2014 - 19:44
Пользователь offline
К началу страницы
+Ответить с цитированием
Надежда Ивановна
сообщение 25.06.2014 - 19:57
Сообщение #3


Опытный участник

Группа: Участники
Регистрация: 28.01.2014
Из: Московская область
Пользователь №: 38 804


Цитата(Медик @ 25.06.2014 - 20:43)
Не открывается фото.
Ув.коллеги,а как у Вас ?

У меня тоже не открывается.
Пользователь offline
К началу страницы
+Ответить с цитированием
Надежда Ивановна
сообщение 25.06.2014 - 20:34
Сообщение #4


Опытный участник

Группа: Участники
Регистрация: 28.01.2014
Из: Московская область
Пользователь №: 38 804


Изменила формат файла, теперь микрофотография откроется
Судебная медицина - Прикрепленное изображение

Цитата(Медик @ 25.06.2014 - 20:43)
Не открывается фото.
Ув.коллеги,а как у Вас ?

Изменила формат файла, теперь микрофотография откроется.


Сообщение отредактировал Надежда Ивановна - 25.06.2014 - 20:31
Пользователь offline
К началу страницы
+Ответить с цитированием
D'ng
сообщение 25.06.2014 - 21:34
Сообщение #5



Group Icon
Группа: Модераторы
Регистрация: 30.08.2011
Пользователь №: 28 478


Цитата(Надежда Ивановна @ 25.06.2014 - 17:30)
После 14 дневного введения препарата, способствующего усиленному расщеплению гликогена в печени

Что за препарат (название/формула) имеется ?
Пользователь offline
К началу страницы
+Ответить с цитированием
Надежда Ивановна
сообщение 25.06.2014 - 23:30
Сообщение #6


Опытный участник

Группа: Участники
Регистрация: 28.01.2014
Из: Московская область
Пользователь №: 38 804


Цитата(D'ng @ 25.06.2014 - 22:34)
Что за препарат (название/формула) имеется ?

Я не имею право сообщать эту информацию.
Пользователь offline
К началу страницы
+Ответить с цитированием
доктор морфолог
сообщение 26.06.2014 - 10:44
Сообщение #7


Мастер I

Группа: СМЭ
Регистрация: 5.12.2013
Пользователь №: 38 421


Цитата(Надежда Ивановна @ 25.06.2014 - 23:34)
Изменила формат файла, теперь микрофотография откроется
Судебная медицина - Прикрепленное изображение
Изменила формат файла, теперь микрофотография откроется.

Ув.Н.И. На фото печени балочный рисунок нарушен, наблюдается перинуклеарное просветление отдельных гепатоцитов, неравномерное увеличение ядра равномерным расположением ядрышек.Местами цитоплазма гепатоцитов глыбчатая, базальные пластинки гепатоцитов не видны в связи с гомогенизацией, т.е.возможно инфильтрация мукоидами, т.к. Вы сами в эксперименте содействовали нарушению углеводного обмена, естественно нарушена синтез глюкагона и инсулина в островках Лангерганса в поджелудочной железе, в общем нарушения обмена веществ. Синусоиды с единичными эритроцитами, звездчатые клетки местами набухшие и дезориентированы, видны единичные круглые клетки и м.б. и лейкоциты. Нужно было захватить триаду и наружную капсулу печени на фото. В данный момент ответ сами нашли - это паренхиматозная углеводная дистрофия, которые могут привести общему нарушению обмена веществ и возникновению разных болезней и даже болезней накопления. Что касается пустот- это явления исчезновения гликогена из цитоплазмы гепатоцитов вследствие лизосомной детонации с разрушением клеточной мембраны, не исключается накопление липидов либо мукоидов.

Сообщение отредактировал доктор морфолог - 26.06.2014 - 10:51
Пользователь offline
К началу страницы
+Ответить с цитированием
Медик
сообщение 26.06.2014 - 17:24
Сообщение #8


Учитель
Group Icon
Группа: Модераторы
Регистрация: 16.05.2010
Пользователь №: 21 553


Цитата(Надежда Ивановна @ 25.06.2014 - 20:30)
это не баллонная дистрофия, хотя внешне похожа.

Не похожа.

Цитата(доктор морфолог @ 26.06.2014 - 11:44)
это паренхиматозная углеводная дистрофия

Аналогично.
Пользователь offline
К началу страницы
+Ответить с цитированием
Надежда Ивановна
сообщение 30.06.2014 - 18:55
Сообщение #9


Опытный участник

Группа: Участники
Регистрация: 28.01.2014
Из: Московская область
Пользователь №: 38 804


[quote name='Медик' date='26.06.2014 - 18:24' post='196587']Не похожа.

Действительно, на баллонную не похожа, т.к. нет набухания гепатоцитов. Я и раньше наблюдала признаки углеводной дистрофии со стороны печени у животных после лишения их корма на ночь, но не придавала особо этому значение. Благодарю Вас, уважаемые коллеги! У Вас есть чему учиться.
Выражаю особую благодарность Доктору морфологу за подробную интерпретацию ответа.
Пользователь offline
К началу страницы
+Ответить с цитированием
Надежда Ивановна
сообщение 30.06.2014 - 19:12
Сообщение #10


Опытный участник

Группа: Участники
Регистрация: 28.01.2014
Из: Московская область
Пользователь №: 38 804


Исследуемые препараты оказали также выраженное местно раздражающее действие в тканях кожи области введения в виде некроза, при этом была отмечена стимуляция неспецифического иммунитета со стороны красной пульпы селезенки в виде повышенного количества молодых форм клеток миелоидного ряда. А в одном случае подобные клетки наблюдала в клубочковой зоне надпочечника. У мелких грызунов в особых случаях экстрамедуллярный гемапоэз наблюдается нередко. Но в надпочечнике это явление вижу впервые. Может, это начало формирования опухоли?
Что визуализировалось при ув. х400:
среднеочаговая инфильтрация клубочковой зоны с инвазией в пучковую зону базофильными клетками с морфологическими признаками незрелых форм клеток миелоидного ряда в одном из надпочечников; среди базофильных клеток встречаются единичные фигуры митоза, единичные двуядерные базофильные клетки и единичные сегментоядерные нейтрофилы; в области инфильтрации умеренно ↑ кровенаполнение микроциркуляторного русла


Эскизы прикрепленных изображений
Судебная медицина - Прикрепленное изображение
Пользователь offline
К началу страницы
+Ответить с цитированием
доктор морфолог
сообщение 1.07.2014 - 07:07
Сообщение #11


Мастер I

Группа: СМЭ
Регистрация: 5.12.2013
Пользователь №: 38 421


Цитата(Надежда Ивановна @ 30.06.2014 - 22:12)

среднеочаговая инфильтрация клубочковой зоны с инвазией в пучковую зону базофильными клетками с морфологическими признаками незрелых форм клеток миелоидного ряда в одном из надпочечников; среди базофильных клеток встречаются единичные фигуры митоза, единичные двуядерные базофильные клетки и единичные сегментоядерные нейтрофилы; в области инфильтрации умеренно ↑ кровенаполнение микроциркуляторного русла

Ув.Н.И.! В клубочковой зоне очаги инфильтрации представлены с гиперхромными полиморфными нетипичными ядрами с умеренной митотитической активностью и с единичными в данном поле зрения виден патологический митоз в ядрах. Ядерно-цитоплазматическое соотношение в сторону ядра. Мое предварительное мнение развивается атипизм, как Вы сами уже предсказали. Если внимательно посмотреть увеличение ядер наблюдается и в клетках пучковой зоны.

Сообщение отредактировал доктор морфолог - 1.07.2014 - 07:08
Пользователь offline
К началу страницы
+Ответить с цитированием
Надежда Ивановна
сообщение 8.07.2014 - 16:58
Сообщение #12


Опытный участник

Группа: Участники
Регистрация: 28.01.2014
Из: Московская область
Пользователь №: 38 804


Цитата(доктор морфолог @ 1.07.2014 - 08:07)
Ув.Н.И.! В клубочковой зоне очаги инфильтрации представлены с гиперхромными полиморфными нетипичными ядрами с умеренной митотитической активностью и с единичными в данном поле зрения виден патологический митоз в ядрах. Ядерно-цитоплазматическое соотношение в сторону ядра. Мое предварительное мнение развивается атипизм, как Вы сами уже предсказали. Если внимательно посмотреть увеличение ядер наблюдается и в клетках пучковой зоны.



Уважаемый, Доктор морфолог! Взгляните, пожалуйста, на микрофотографии селезенки с выраженным миелопоэзом. Незрелые клетки миелоидного ряда похожи на гиперхромные в надпочечнике, не так ли? Но, в селезенке я не обнаружила фигур митоза, их и не должно быть в норме, т.к. при стимуляции миелопоэза селезенка заселяется незрелыми клетками из красного костного мозга током крови и в дальнейшем идет их дифференцировка в миелоциты. Но, кстати, в печени мне доводилось видеть очаги миелопоэза с присутствием фигур митоза.


Эскизы прикрепленных изображений
Судебная медицина - Прикрепленное изображение Судебная медицина - Прикрепленное изображение Судебная медицина - Прикрепленное изображение
Пользователь offline
К началу страницы
+Ответить с цитированием
доктор морфолог
сообщение 8.07.2014 - 19:26
Сообщение #13


Мастер I

Группа: СМЭ
Регистрация: 5.12.2013
Пользователь №: 38 421


Цитата(Надежда Ивановна @ 8.07.2014 - 19:58)
Уважаемый, Доктор морфолог! Взгляните, пожалуйста, на микрофотографии селезенки с выраженным миелопоэзом. Незрелые клетки миелоидного ряда похожи на гиперхромные в надпочечнике, не так ли? Но, в селезенке я не обнаружила фигур митоза, их и не должно быть в норме, т.к. при стимуляции миелопоэза селезенка заселяется незрелыми клетками из красного костного мозга током крови и в дальнейшем идет их дифференцировка в миелоциты. Но, кстати, в печени мне доводилось видеть очаги миелопоэза с присутствием фигур митоза.

ув.Н.И.! миелоидного ряда, да похоже. Но во втором фото видно уродливые клетки со множественными ядрами мегакариоцитарного ряда( непохожие ни на ходжкинские и ни на Березовского -Штернбергера) на первый взгляд. Однако не исключается при нарушения обмена веществ развитие болезни накопления, именно при недостатке ферментативного дефекта( керазина - именно болезнь Гоше( клетки гигантские со множеством ядер и по мере созревания ядра будут расположены эксцентрично). Ого я разогнался, извините у меня замечание , извините увидимся через 3 дня.

Сообщение отредактировал доктор морфолог - 8.07.2014 - 19:36
Пользователь offline
К началу страницы
+Ответить с цитированием
Надежда Ивановна
сообщение 9.07.2014 - 01:17
Сообщение #14


Опытный участник

Группа: Участники
Регистрация: 28.01.2014
Из: Московская область
Пользователь №: 38 804


"Но во втором фото видно уродливые клетки со множественными ядрами мегакариоцитарного ряда"

Ну, так это и есть мегакариоциты. У крыс и мышей морфология клеток крови отличается от человеческих клеток крови. На слайде много мегакариоцитов, что и характерно при повышенном миелопоэзе. В данной ситуации имеет место стимуляция не специфического иммунитета, как реакция на обширные некрозы в коже области введения препарата.

Уважаемый Доктор морфолог, я что-то не разберусь, как отвечать с цитатой, подскажите, пожалуйста, алгоритм действий.

Сообщение отредактировал Надежда Ивановна - 9.07.2014 - 01:20
Пользователь offline
К началу страницы
+Ответить с цитированием
доктор морфолог
сообщение 11.07.2014 - 05:17
Сообщение #15


Мастер I

Группа: СМЭ
Регистрация: 5.12.2013
Пользователь №: 38 421


Цитата(Надежда Ивановна @ 9.07.2014 - 04:17)
"
Уважаемый Доктор морфолог, я что-то не разберусь, как отвечать с цитатой, подскажите, пожалуйста, алгоритм действий.

Уважаемая Надежда Ивановна добрый день! Выделение цитаты в разделе" О форуме" есть.Меня гонял Медик, когда я тоже не смог выделить цитаты. За то научился, за что ему и Адм.ФСМ Спасибо честно говоря.
Пользователь offline
К началу страницы
+Ответить с цитированием

2 страниц V  1 2 >



- Обратная связь Сейчас: 11.11.2025 - 07:11