Здравствуйте, гость ( Вход | Регистрация )

Форум судебных медиков России
 
>

Состояние гепатоцитов после введения гепатопротектора, Демонстрация гистологических препаратов

>
Надежда Ивановна
сообщение 13.08.2014 - 01:08
Сообщение #1


Опытный участник

Группа: Участники
Регистрация: 28.01.2014
Из: Московская область
Пользователь №: 38 804


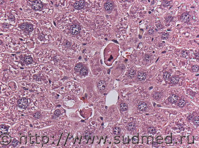
После пятикратного внутривенного введения с интервалом в три дня гепатопротектора наблюдается помимо пролиферации гепатоцитов выраженная их гипертрофия, сопровождающаяся гибелью отдельных клеток. Интересно узнать мнение относительно патогенеза процесса.
На первом фото гепатоциты в норме, на последующих гипертрофированы, увеличение везде одинаковое х400, окраска гематоксилином и эозином.


Эскизы прикрепленных изображений
Судебная медицина - Прикрепленное изображение Судебная медицина - Прикрепленное изображение Судебная медицина - Прикрепленное изображение Судебная медицина - Прикрепленное изображение Судебная медицина - Прикрепленное изображение Судебная медицина - Прикрепленное изображение
Пользователь offline
К началу страницы
+Ответить с цитированием
доктор морфолог
сообщение 13.08.2014 - 09:57
Сообщение #2


Мастер I

Группа: СМЭ
Регистрация: 5.12.2013
Пользователь №: 38 421


Цитата(Надежда Ивановна @ 13.08.2014 - 04:08)
После пятикратного внутривенного введения с интервалом в три дня гепатопротектора наблюдается помимо пролиферации гепатоцитов выраженная их гипертрофия, сопровождающаяся гибелью отдельных клеток. Интересно узнать мнение относительно патогенеза процесса.
На первом фото гепатоциты в норме, на последующих гипертрофированы, увеличение везде одинаковое х400, окраска гематоксилином и эозином.

Ув.Надежда Ивановна, добрый день! На счет патогенеза: произошло после приема гепатопротектора нарушение всех функции гепатоцитов (один из важных функции т.е. и детоксикационная функция, вследствие передозировки, которому указывает нарушение пограничной мембраны (пластинки) гепатоцитов в результате лизосомной детонации в ультраструктурах цитоплазмы гепатоцитов (появление мелких вакуолей -набухание. уменьшение плотности цитоплазмы гепатоцитов, вследствие исчезновения- гликогена, а так же указывает на мощный окислительный процесс вплоть до ядерных митохондрии с развитием хроматолиза (кариопикноз, -рексис и -лизис). Вследствие набухания гепатоцитов произошло сдавление синусоидов,венозный застой, гипоксия, гиперацидоз, выброс гистамина и серотонина,набухание ретикулоэндотелии синусоидов (купфера), сдавлены желчные капилляры и на периферий долек наверняка застой желчи. Склеры подопытных грызунов (м. б.хомячков) не пожелтели ли? Не было ли признаков билирубиновой энцефалопатии?
Пользователь offline
К началу страницы
+Ответить с цитированием
Джек
сообщение 13.08.2014 - 10:32
Сообщение #3


Мастер II

Группа: СМЭ
Регистрация: 22.02.2006
Из: Сибирь
Пользователь №: 1 290


Цитата
После пятикратного внутривенного введения с интервалом в три дня гепатопротектора наблюдается помимо пролиферации гепатоцитов выраженная их гипертрофия, сопровождающаяся гибелью отдельных клеток.
давно подозревал. что от так называемых гепатопротекторов больше вреда, чем пользы
sad.gif...
Пользователь offline
К началу страницы
+Ответить с цитированием
Надежда Ивановна
сообщение 14.08.2014 - 01:15
Сообщение #4


Опытный участник

Группа: Участники
Регистрация: 28.01.2014
Из: Московская область
Пользователь №: 38 804


Склеры подопытных грызунов (м. б.хомячков) не пожелтели ли? Не было ли признаков билирубиновой энцефалопатии?[/quote]

При клиническом осмотре признаков отклонения в состоянии здоровья животных ветеринарная служба не наблюдала, удивительно, но все биохимические тесты тоже в норме.
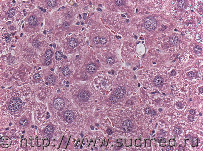
Уважаемый Доктор морфолог, представляю вниманию еще одно фото на котором в красной рамке выделен гепатоцит. Как Вы расцениваете состояние ядра? Очень похоже на прометафазу, но с другой стороны цитоплазма патологически видоизменена, клетка набухшая, и, по-видимому, ей не до митозаsmile.gif Тогда кариопикноз в сочетании с началом кариорексиса?

У меня проблема, не могу понять, как отвечать с цитатой!

Сообщение отредактировал Надежда Ивановна - 14.08.2014 - 01:18


Эскизы прикрепленных изображений
Судебная медицина - Прикрепленное изображение
Пользователь offline
К началу страницы
+Ответить с цитированием
доктор морфолог
сообщение 14.08.2014 - 06:43
Сообщение #5


Мастер I

Группа: СМЭ
Регистрация: 5.12.2013
Пользователь №: 38 421


[quote name='Надежда Ивановна' date='14.08.2014 - 04:15' post='198599']
У меня проблема, не могу понять, как отвечать с цитатой![/quote]

Ув.Надежда Ивановна,доброе утро! На счет выделения цитаты-как только в тексте стерли ненужное, курсор нужно ставить после последней квадратной скобки,где написано [/quote] deal1.gif сюда! Жаль что клинику не наблюдают, анализы биохимические при такой катастрофе в печени никак не может быть в норме как Вы сами догадываетесь. У врачей-лаборантов есть требования как объективность, качественность и информативность, чтобы не ставить клиницистов в заблуждение. А патогистологи видит все .т.е.... Как Вы сами отметили, что не до митоза, но не исключается. Нужно повторить пару срезов из этих же блоков для наблюдения. Гиперхромность ядра в квадратике в последнем рисунке и в другом рисунке видно гиперхромное тающее ядро.
И у меня не получилось выделить?

Сообщение отредактировал доктор морфолог - 14.08.2014 - 06:46
Пользователь offline
К началу страницы
+Ответить с цитированием
доктор морфолог
сообщение 14.08.2014 - 06:55
Сообщение #6


Мастер I

Группа: СМЭ
Регистрация: 5.12.2013
Пользователь №: 38 421


Цитата(доктор морфолог @ 14.08.2014 - 09:43)
Ув.Надежда Ивановна,доброе утро! На счет выделения цитаты-как только в тексте стерли ненужное, курсор нужно ставить после последней квадратной скобки,где написаноdeal1.gif сюда!

Перепроверил , получилось!

Сообщение отредактировал доктор морфолог - 14.08.2014 - 06:56
Пользователь offline
К началу страницы
+Ответить с цитированием
доктор морфолог
сообщение 14.08.2014 - 10:44
Сообщение #7


Мастер I

Группа: СМЭ
Регистрация: 5.12.2013
Пользователь №: 38 421


Цитата(Надежда Ивановна @ 14.08.2014 - 04:15)


Уважаемый Доктор морфолог, представляю вниманию еще одно фото на котором в красной рамке выделен гепатоцит. Как Вы расцениваете состояние ядра? Очень похоже на прометафазу,

ув.Н.И.!Это профаза, а в кариокинезе в метафазе нити хроматина натягиваются в виде петель и четче будут видны в центре экваториально. А в анафазе уже начинает расходится по разным полюсам с удвоенной генетической информацией.В любом случае гепатопротекторы действует для регенерации, либо стабилизации состояния гепатоцитов при повреждениий же. Но передозировка влияет негативно.
Пользователь offline
К началу страницы
+Ответить с цитированием




- Обратная связь Сейчас: 5.11.2025 - 03:49