Здравствуйте, гость ( Вход | Регистрация )

Форум судебных медиков России
 
>

Очаговое повреждение поджелудочной железы, Консультация гистопрепаратов

>
Надежда Ивановна
сообщение 19.09.2014 - 02:42
Сообщение #1


Опытный участник

Группа: Участники
Регистрация: 28.01.2014
Из: Московская область
Пользователь №: 38 804


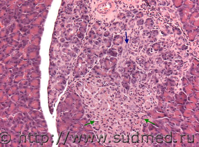
В двух случаях из 70 наблюдала очаговое повреждение экскреторной и инкреторной части поджелудочной железы. Процесс описала следующим образом:
- в отдельных, прилежащих друг к другу дольках экскреторной части железы дегенеративные изменения ацинарного эпителия (панкреатоцитов), в очаге повреждения ацинусов присутствуют клетки с признаками атипии, очень похожие на клетки эпителия желчных протоков, а также отмечена очаговая инфильтрация нейтрофилами указанной области;
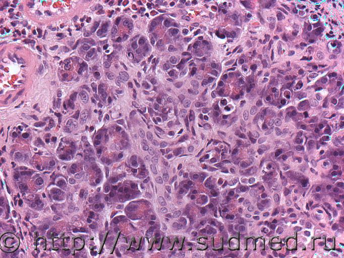
- в прилежащих к поврежденной экскреторной части железы островках Лангенрганса наблюдается дегенеративно измененный инкреторный эпителий в виде пикноза клеток и ядер и повышенной эозинофилии цитоплазмы.
Меня более тревожит состояние экскреторной части. По моему мнению, это либо вирусное повреждение долек, либо начало развитие опухолевого процесса. Хотелось бы ознакомиться с мнением профессионалов.
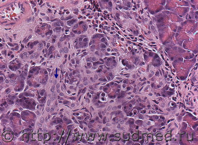
На первых двух фото повреждение ацинусов, на третьей повреждение инкреторного эпителия, окраска Гематоксилином и Эозином, ув. х400, масштаб во всех случаях одинаковый. На втором фото стрелкой указала клетки с признаками атипии.

Сообщение отредактировал Надежда Ивановна - 19.09.2014 - 02:45


Эскизы прикрепленных изображений
Судебная медицина - Прикрепленное изображение Судебная медицина - Прикрепленное изображение Судебная медицина - Прикрепленное изображение
Пользователь offline
К началу страницы
+Ответить с цитированием
доктор морфолог
сообщение 19.09.2014 - 13:42
Сообщение #2


Мастер I

Группа: СМЭ
Регистрация: 5.12.2013
Пользователь №: 38 421


Цитата(Надежда Ивановна @ 19.09.2014 - 05:42)

Меня более тревожит состояние экскреторной части. По моему мнению, это либо вирусное повреждение долек, либо начало развитие опухолевого процесса. Хотелось бы ознакомиться с мнением профессионалов.
На первых двух фото повреждение ацинусов, на третьей повреждение инкреторного эпителия, окраска Гематоксилином и Эозином, ув. х400, масштаб во всех случаях одинаковый. На втором фото стрелкой указала клетки с признаками атипии.

Добрый день! Вирусное повреждение может быть, за опухоль пока нет. Указанные стрелкой клетки не является ли эпителиоцитами вставочных протоков, которые проводит секрецию во внутридольковый и междольковые протоки и далее.
Пользователь offline
К началу страницы
+Ответить с цитированием
sbz
сообщение 23.09.2014 - 21:38
Сообщение #3


Магистр форума

Группа: СМЭ
Регистрация: 13.10.2005
Пользователь №: 858


Цитата(доктор морфолог @ 19.09.2014 - 14:42)
Добрый день! Вирусное повреждение может быть, за опухоль пока нет. Указанные стрелкой клетки не является ли эпителиоцитами вставочных протоков, которые проводит секрецию во внутридольковый и междольковые протоки и далее.


атипизм клеток на 2-м фото присутствует, митозы неоднозначно, но... прослеживаются, экспансивный рост налицо.
Мнение:
- метастаз аденокарциномы (железисто-плоскоклеточный вариант) - откуда?
- сама доморощенная вышеуказанная

В просто развитие протоков не верится. Многоядерных клеток не вижу, - в чем вирусное поражение?
с ув.
Пользователь offline
К началу страницы
+Ответить с цитированием
доктор морфолог
сообщение 24.09.2014 - 11:23
Сообщение #4


Мастер I

Группа: СМЭ
Регистрация: 5.12.2013
Пользователь №: 38 421


Цитата(sbz @ 24.09.2014 - 00:38)
атипизм клеток на 2-м фото присутствует, митозы неоднозначно, но... прослеживаются, экспансивный рост налицо.
Мнение:
- метастаз аденокарциномы (железисто-плоскоклеточный вариант) - откуда?
- сама доморощенная вышеуказанная

В просто развитие протоков не верится. Многоядерных клеток не вижу, - в чем вирусное поражение?
с ув.

Ув.sbz! На 1 и 2 фото один и тот же рисунок. Умеренная атипия ядер эпителии и митотическая активность имеет место, но по одному рисунку недостаточно, что то сказать. Обзорный на малом увл нужен снимок.

Сообщение отредактировал доктор морфолог - 24.09.2014 - 11:24
Пользователь offline
К началу страницы
+Ответить с цитированием
Надежда Ивановна
сообщение 29.09.2014 - 19:41
Сообщение #5


Опытный участник

Группа: Участники
Регистрация: 28.01.2014
Из: Московская область
Пользователь №: 38 804


Да, 1 и 2 фото это одно и то же поле зрения, но на 2 фото лучше показан очаговый инфильтрат нейтрофилов. Как правило, при вирусном поражении тканей различных органов (часто наблюдала в печени, почках, сердце) в очаге поражения имеет место лимфоцитарная инфильтрация. В данном случае ее нет. Но имеет место очаговая инфильтрация нейтрофилами.
Кстати, в исследованиях с индуцированными опухолями часто наблюдала следующее: из 60 случаев локальная опухоль развивалась, только, в, примерно, 45-50 случаях, а в остальных случаях наблюдались единичные небольшие по площади очаги в которых наблюдался клеточный атипизм с признаками малигнизации и при этом всегда присутствовали умеренные инфильтраты нейтрофилов. Следует отметить, что при жизни у особей признаков отклонений от нормы не наблюдалось. Следовательно, у этих особей организм перестраивался и ликвидировал опухолевый процесс на начальной стадии его развития.
В случае, который предоставлен в этой теме опухолевый процесс целенаправленно не индуцировали, но вводился препарат, который исследовался на общетоксическое и возможное канцерогенное действие. То, что я обнаружила в поджелудочной железе очень похоже на начальный этап формирования опухоли, и одновременную ликвидацию опухолевого процесса за счет активации иммунитета. В данном случае идет процесс реорганизации ацинусов и трансформация панкреатоцитов. Вероятно, это и есть начальный этап развития опухоли, но в данном случае, вероятнее всего, она не сформируется и все завершится атрофией клеток и формированием фиброзной ткани.
Все, что я описала, может показаться фантазией, но просматривая по 100 препаратов одного и того же органа в рамках многочисленных исследований невольно формируется понимание того, на сколько организм млекопитающих мобилен и предрасположен к самозащите от болезней.
Представляю фото этого же поля зрения при ув. Х200.

Сообщение отредактировал Надежда Ивановна - 29.09.2014 - 19:49


Эскизы прикрепленных изображений
Судебная медицина - Прикрепленное изображение
Пользователь offline
К началу страницы
+Ответить с цитированием
доктор морфолог
сообщение 30.09.2014 - 12:03
Сообщение #6


Мастер I

Группа: СМЭ
Регистрация: 5.12.2013
Пользователь №: 38 421


Цитата(Надежда Ивановна @ 29.09.2014 - 22:41)
Да, 1 и 2 фото это одно и то же поле зрения, но на 2 фото лучше показан очаговый инфильтрат нейтрофилов.
Но имеет место очаговая инфильтрация нейтрофилами.
В поджелудочной железе очень похоже на начальный этап формирования опухоли, и одновременную ликвидацию опухолевого процесса за счет активации иммунитета. В данном случае идет процесс реорганизации ацинусов и трансформация панкреатоцитов. Вероятно, это и есть начальный этап развития опухоли, но в данном случае, вероятнее всего, она не сформируется и все завершится атрофией клеток и формированием фиброзной ткани.
Представляю фото этого же поля зрения при ув. Х200.

Ув.Надежда Ивановна! На любое повреждение при острой фазе не зависимо от этиологии первым реагирует сосуды микроциркуляторного русла( в отметке 12ч.артериола с дезориентацией эндотелии в виде частокола., стенка с плазматическим пропитывание. и, затем миграция форменных элементов во вне сосудистое пространство, после выхода плазмы( отек при 1 фазе воспаления с примесями лейкоцитов) и дальше переходит во 2 фазу экссудацию с явлениями некротических участков и.т.д.,затем наступает регенеративные процессы с появлением фибробластов( малодифф.,юный,зрелый синтезирующий коллаген), затем высокодифференцированный фиброцит..) и развивается в данном случае панкреосклероз( исход острого панкреатита)атрофии и склерозу подвергается и инкреторные и экскреторные клетки. На световом микро видим уже далеко зашедшую мутацию клеток в виде атипизма. А на уровне ультраструктур требуется электр микроскоп и проведение ИГХ и ИЦХ.
Пользователь offline
К началу страницы
+Ответить с цитированием




- Обратная связь Сейчас: 9.11.2025 - 12:40