Здравствуйте, гость ( Вход | Регистрация )

Форум судебных медиков России
 
>

Помощь в гистологическом диагнозе.

>
Evgenii2381
сообщение 7.10.2014 - 08:23
Сообщение #1


Читатель

Группа: Участники
Регистрация: 7.10.2014
Пользователь №: 40 429


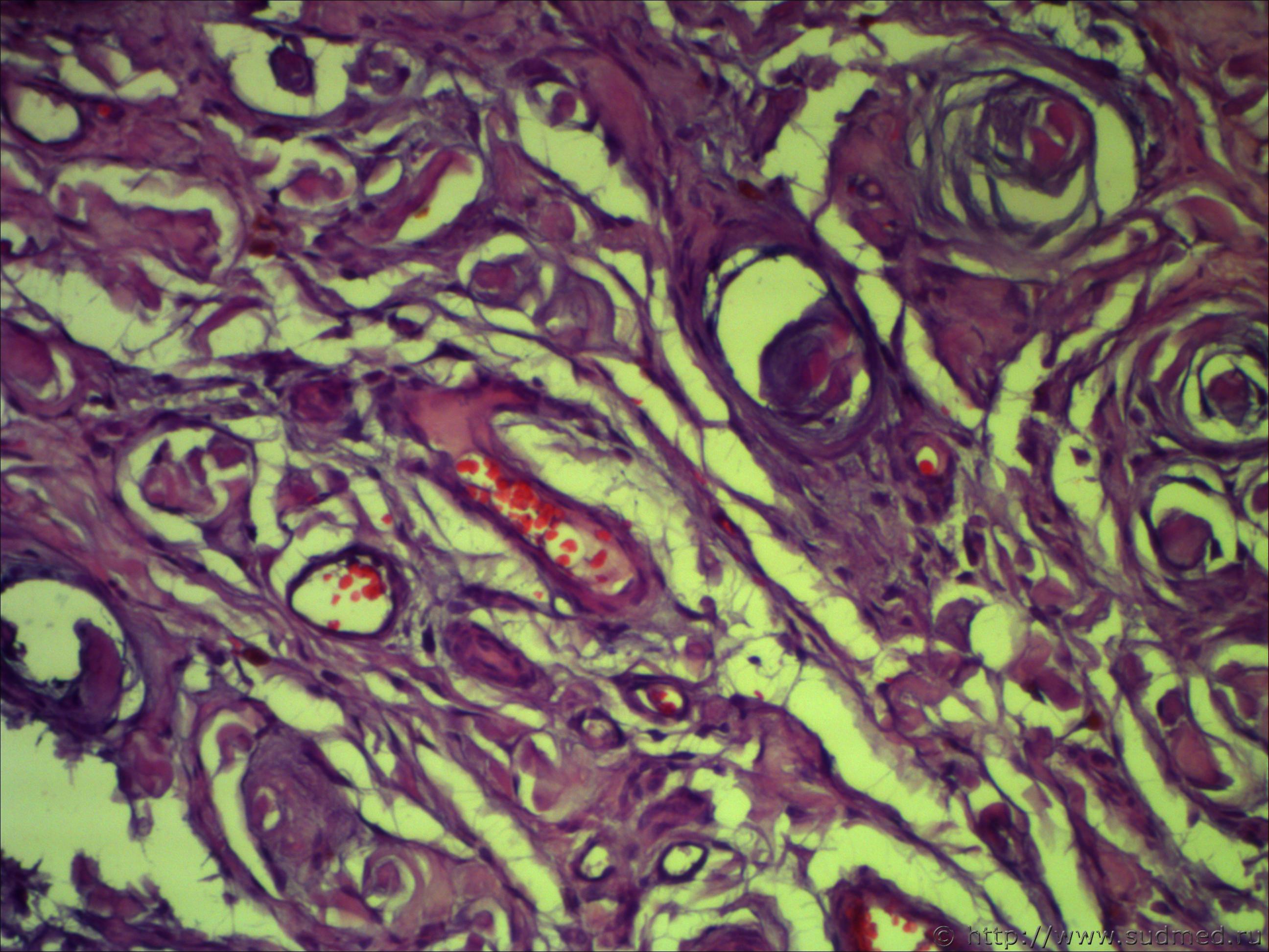
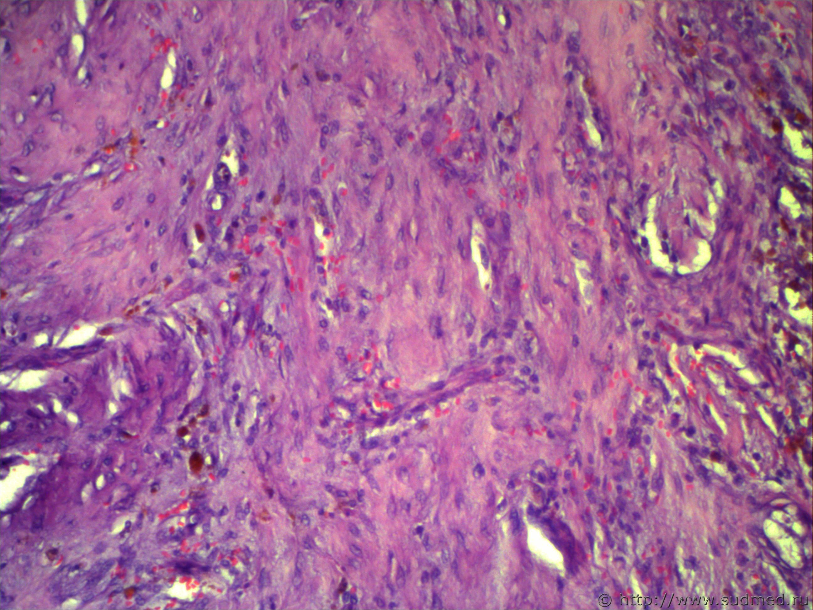
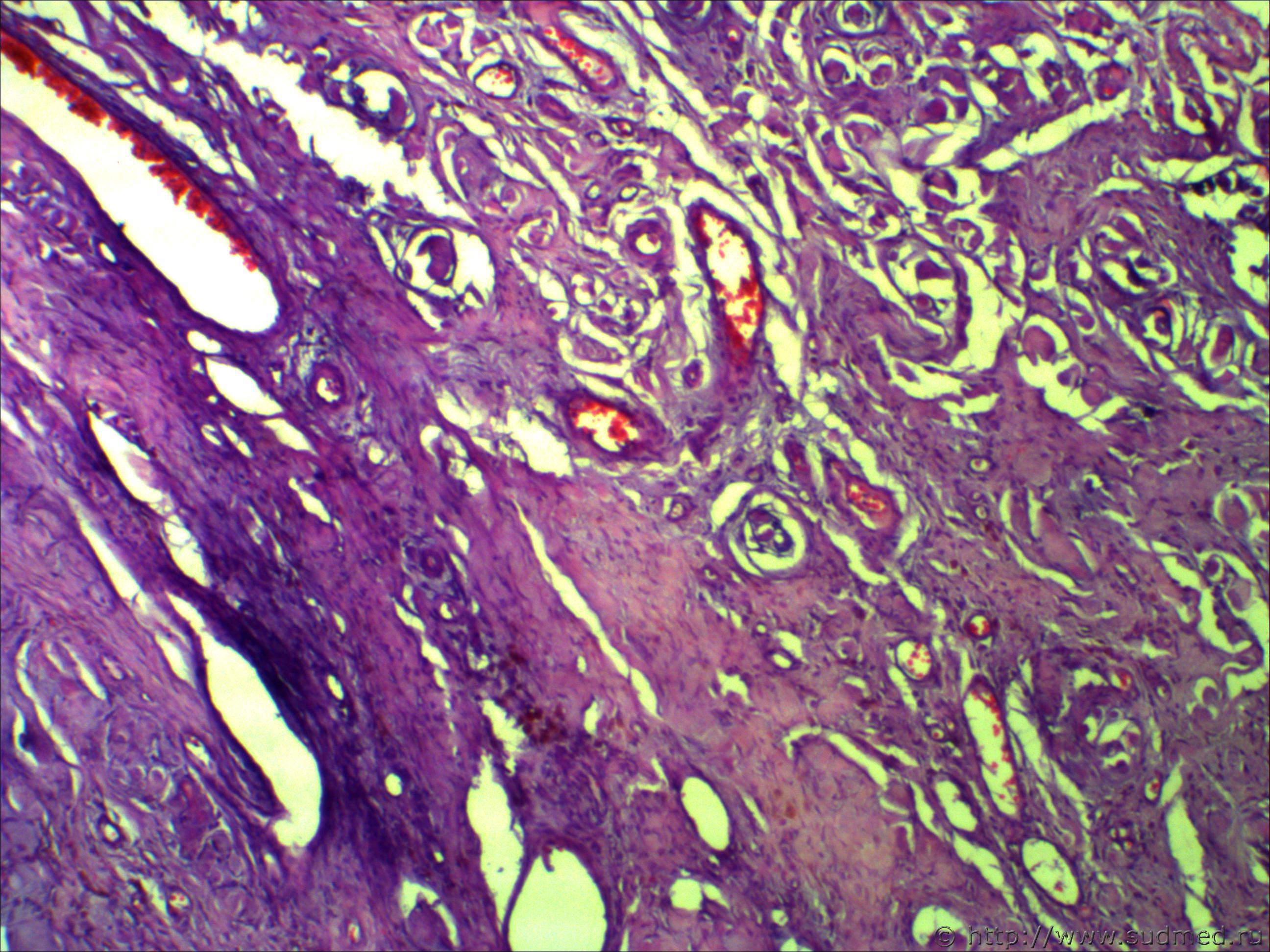
Н/О округлой формы четких границ, на теле фибринозно-кистозной структуру 5*7см!


Эскизы прикрепленных изображений
Судебная медицина - Прикрепленное изображение Судебная медицина - Прикрепленное изображение Судебная медицина - Прикрепленное изображение Судебная медицина - Прикрепленное изображение Судебная медицина - Прикрепленное изображение
Пользователь offline
К началу страницы
+Ответить с цитированием
Медик
сообщение 7.10.2014 - 11:07
Сообщение #2


Учитель
Group Icon
Группа: Модераторы
Регистрация: 16.05.2010
Пользователь №: 21 553


Похоже на ангиофиброму.
Можно конкретную локализацию и половую принадлежность ?
Пользователь offline
К началу страницы
+Ответить с цитированием
Evgenii2381
сообщение 7.10.2014 - 12:58
Сообщение #3


Читатель

Группа: Участники
Регистрация: 7.10.2014
Пользователь №: 40 429


Цитата(Медик @ 7.10.2014 - 12:07)
Похоже на ангиофиброму.
Можно конкретную локализацию и половую принадлежность ?

Прошу прощения, может ввел в небольшое заблуждение (( Вас, но я ветеринарный врач! могу ли рассчитывать на помощь врачей - онкологов! для постановки правильного диагноза? сам делаю гистологию и фотографирую стекла! с уважением Евгений !)

это собака кабель возраст ему 9 лет! н/о без четких границ в области каудальной части подвздошной кости!
Был бы очень признателен !
Пользователь offline
К началу страницы
+Ответить с цитированием
доктор морфолог
сообщение 8.10.2014 - 13:58
Сообщение #4


Мастер I

Группа: СМЭ
Регистрация: 5.12.2013
Пользователь №: 38 421


Цитата(Evgenii2381 @ 7.10.2014 - 11:23)
Н/О округлой формы четких границ, на теле фибринозно-кистозной структуру 5*7см!

Не фибринозно, а фиброзно-кистозная структура. Пока об ангиофиброматозе нужно думать, требует дальнейшей дифференциации.Срезы толстые. Наблюдается эндотелиальная пролиферация...

Сообщение отредактировал доктор морфолог - 8.10.2014 - 14:00
Пользователь offline
К началу страницы
+Ответить с цитированием
Evgenii2381
сообщение 8.10.2014 - 14:08
Сообщение #5


Читатель

Группа: Участники
Регистрация: 7.10.2014
Пользователь №: 40 429


да, знаю( ! что толстые, но пока нет возможности сделать лучше ! уж больно старый микротом ! не держит толщину! sad.gif пока все на энтузиазме!
Пользователь offline
К началу страницы
+Ответить с цитированием
sbz
сообщение 8.10.2014 - 19:48
Сообщение #6


Магистр форума

Группа: СМЭ
Регистрация: 13.10.2005
Пользователь №: 858


Цитата(Evgenii2381 @ 7.10.2014 - 09:23)
Н/О округлой формы четких границ, на теле фибринозно-кистозной структуру 5*7см!


Ничего такого не понял, вижу:
- новообразование сосудов. полнокровие очаговое
- очаговый гиалиноз
- смешанную фиброму (типическую)... да их столько с примесью кистозного элемента
- митозов не вижу
...да хоть у ленивца или шимпанзе

собаке не учен

с ув.
Пользователь offline
К началу страницы
+Ответить с цитированием
доктор морфолог
сообщение 9.10.2014 - 13:49
Сообщение #7


Мастер I

Группа: СМЭ
Регистрация: 5.12.2013
Пользователь №: 38 421


Цитата(sbz @ 8.10.2014 - 22:48)

с ув.

ТС возможно имел в виду фиброзно-кистозной полости макро..5-7см.и со стенки крамсал на микро.

Сообщение отредактировал доктор морфолог - 9.10.2014 - 13:50
Пользователь offline
К началу страницы
+Ответить с цитированием




- Обратная связь Сейчас: 9.11.2025 - 13:46