Здравствуйте, гость ( Вход | Регистрация )

Форум судебных медиков России
>   Правила консультационного раздела >

ВНИМАНИЕ! Все сообщения проходят предварительную проверку модератором и только после этого появляются на форуме. Порядок работы раздела изложен в правилах форума.
Все консультации на форуме бесплатны, но если мы смогли вам помочь, вы можете поддержать наш проект (подробнее).

 
 
>

нужна косультация по снимкам КТ, Что видно на КТ

>
Навигатор
сообщение 8.11.2014 - 12:42
Сообщение #1


Вновь прибывший

Группа: Участники
Регистрация: 6.10.2014
Пользователь №: 40 428


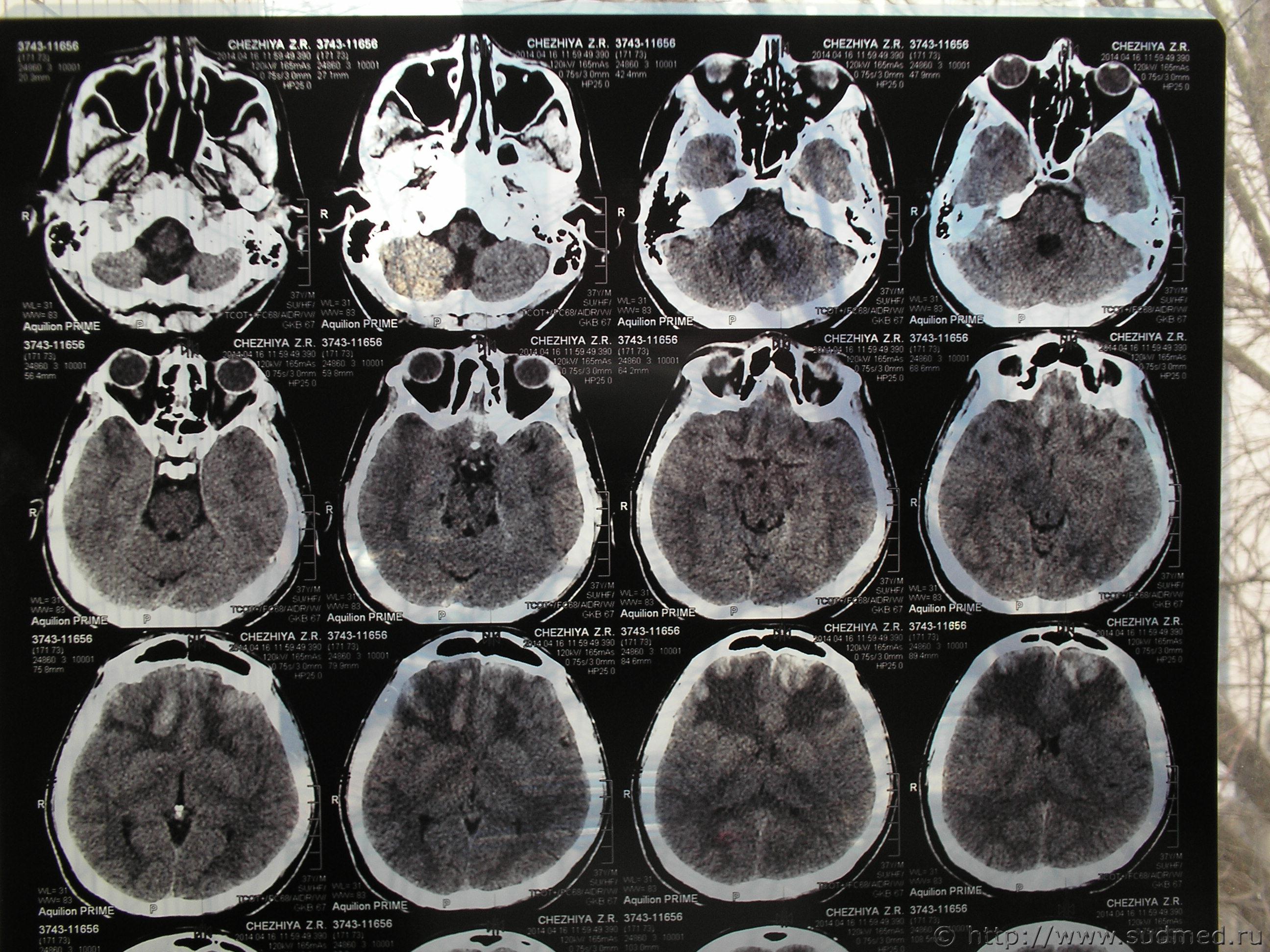
Нужно знать, что видно на данных снимках КТ. Спорная экспертиза. Делали по копии мед. карты и по этим снимкам. Снимки на руках у потерпевшего, еле достали. Исчез рентген потерпевшего из приемного отделения, осталась только запись в карте. Повреждений свода черепа не обнаружено. Диагноз в обвинении - Комплексный перелом свода и основания черепа, отоликворея слеа, УГМ средней тяжести, субарахноидальное кровоизлияние, пневмоцефалия, алкогольное опьянение, ушибленная рана на затылке. Потерпевший выписан из больницы на 18й день, более нигде не наблюдался. Говорит лечится в частном порядке. Мнение эксперта-рентгенолога - перелом клиновидной кости давностью не более 6-8 недель. А снимки сделаны в первые сутки. Есть еще пара снимков, но такого же качества и, как написано в экспертизе дополнительной информации не содержат. Очень нужно знать, что на снимках, независимое мнение. Есть еще снимок МРТ через три месяца. Информацию на дисках не предоставили.


Эскизы прикрепленных изображений
Судебная медицина - Прикрепленное изображение Судебная медицина - Прикрепленное изображение Судебная медицина - Прикрепленное изображение Судебная медицина - Прикрепленное изображение Судебная медицина - Прикрепленное изображение
Пользователь offline
К началу страницы
+Ответить с цитированием
Радомир
сообщение 10.11.2014 - 13:40
Сообщение #2


Мастер III
Group Icon
Группа: Модераторы
Регистрация: 30.11.2008
Из: Российская Федерация
Пользователь №: 11 273


Проконсультируйтесь с опытным рентгенологом, специалистом по КТ. Лучше - с двумя-тремя. Это придется сделать очно, т.к. информация существенно теряется: а) при перефотографировании пленок КТ, б) при пересылке через интернет этих фотографий. Полагаю, что приватным образом такую консультацию можно получить у любого подобного специалиста. Получить какое-то письменное заключение возможно при оформлении договорных отношений на кафедре рентгенологии мед.ВУЗа, в мед.центре, профилирующемся на КТ диагностике и т.д. Лучше представить ВСЕ снимки КТ (тогда более достоверно и аргументированно можно судить о динамике изменений, о давности травмы), все КТ на цифровом носителе (можно будет построить 3D-реформацию изображения, т.е. более детально определить распространение перелома).
Пользователь offline
К началу страницы
+Ответить с цитированием




- Обратная связь Сейчас: 9.11.2025 - 23:34