Здравствуйте, гость ( Вход | Регистрация )

Форум судебных медиков России
2 страниц V  1 2 >  
>

Идентификация сидерофагов, Консультация гистологических препаратов

>
Надежда Ивановна
сообщение 2.12.2014 - 17:17
Сообщение #1


Опытный участник

Группа: Участники
Регистрация: 28.01.2014
Из: Московская область
Пользователь №: 38 804


Всем добрый вечер!
После введения большой и малой дозы тестируемого препарата по результатам гематологического анализа отмечено выраженное снижение эритроцитов. По мнению гематолога причиной могут быть кровотечения или гемолиз эритроцитов. В процессе проведения микроскопического анализа селезенки у получавших большую дозу наблюдался выраженный миелопоэз (фото 1 ув. х200), а также, возможно, параллельно имел место и эритропоэз. Если честно, на срезах, окрашенных Г-Э мой глаз не улавливает разницу между миело и эритробластами, хотя некоторые гистологи утверждаю, что эритробласты более гиперхромные. А у получавших меньшую дозу, миелопоэз и, возможно, эритропоэз были менее выражены, но в трабекулярных венах и в красной пульпе наблюдала клетки неправильной формы темно-бурого цвета, по моему мнению, это сидерофаги (фото вен на ув. х400, фото красной пульпы на ув. х200 и х400, масштаб везде одинаковый). Вероятно, гемолиз эритроцитов действительно имел место и утилизация погибших эритроцитов началась уже в периферической крови моноцитами. Имею просьбу специалистов подтвердить тот факт, что представленные клетки являются сидерофагами.
Для меня загадочен еще один факт. У получавших большую дозу препарата, количество эритроцитов было гораздо ниже, чем у получавших меньшую дозу. Но, клетки с морфологическими признаками сидерофагов я наблюдала в селезенке только у получавших меньшую дозу. Кстати, клетки, которые я называю сидерофагами, я также наблюдала в сосудах и других органах, у получавших меньшую дозу. Ситуация не понятна тем, почему не наблюдались сидерофаги у получавших большую дозу на фоне более выраженного снижения количества эритроцитов. Все запутанно в исследовании, а мне разгр****ь и писать заключение. В следующей теме последует еще более интересный факт по этому же препарату.


Эскизы прикрепленных изображений
Судебная медицина - Прикрепленное изображение Судебная медицина - Прикрепленное изображение Судебная медицина - Прикрепленное изображение Судебная медицина - Прикрепленное изображение Судебная медицина - Прикрепленное изображение Судебная медицина - Прикрепленное изображение
Пользователь offline
К началу страницы
+Ответить с цитированием
Медик
сообщение 2.12.2014 - 18:27
Сообщение #2


Учитель
Group Icon
Группа: Модераторы
Регистрация: 16.05.2010
Пользователь №: 21 553


Цитата(Надежда Ивановна @ 2.12.2014 - 18:17)
представленные клетки являются сидерофагами.

Похоже и на формалиновый пигмент.
Для диф.диагностики реакцию на берлинскую лазурь (по Перлсу) можете провести ?
Пользователь offline
К началу страницы
+Ответить с цитированием
Надежда Ивановна
сообщение 2.12.2014 - 18:42
Сообщение #3


Опытный участник

Группа: Участники
Регистрация: 28.01.2014
Из: Московская область
Пользователь №: 38 804


Цитата(Медик @ 2.12.2014 - 19:27)
Похоже и на формалиновый пигмент.
Для диф.диагностики реакцию на берлинскую лазурь (по Перлсу) можете провести ?


Согласна, что представленные на фото темные глыбки на макрофагальные клеточные формы не похожи,
реакцию на берлинскую лазурь срочно провести нет возможности по причине отсутствия реактивов. Формалиновый пигмент это результат реакции формалина с гемоглобином и для меня это тоже результат, подтверждающий гемолиз эритроцитов. Все органы фиксировались в одном и том же формалине и в одних случаях он отсутствует на препаратах, а в других имеется.
Пользователь offline
К началу страницы
+Ответить с цитированием
Медик
сообщение 2.12.2014 - 18:52
Сообщение #4


Учитель
Group Icon
Группа: Модераторы
Регистрация: 16.05.2010
Пользователь №: 21 553


Формалиновый пигмент в первую очередь откладывается в крови и в селезёнке.

Цитата(Надежда Ивановна @ 2.12.2014 - 19:42)

реакцию на берлинскую лазурь

Без этого конкретно определиться не получится.

Сообщение отредактировал Медик - 2.12.2014 - 18:49
Пользователь offline
К началу страницы
+Ответить с цитированием
Надежда Ивановна
сообщение 2.12.2014 - 19:19
Сообщение #5


Опытный участник

Группа: Участники
Регистрация: 28.01.2014
Из: Московская область
Пользователь №: 38 804


Цитата(Надежда Ивановна @ 2.12.2014 - 19:42)
Согласна, что представленные на фото темные глыбки на макрофагальные клеточные формы не похожи,
реакцию на берлинскую лазурь срочно провести нет возможности по причине отсутствия реактивов. Формалиновый пигмент это результат реакции формалина с гемоглобином и для меня это тоже результат, подтверждающий гемолиз эритроцитов. Все органы фиксировались в одном и том же формалине и в одних случаях он отсутствует на препаратах, а в других имеется.


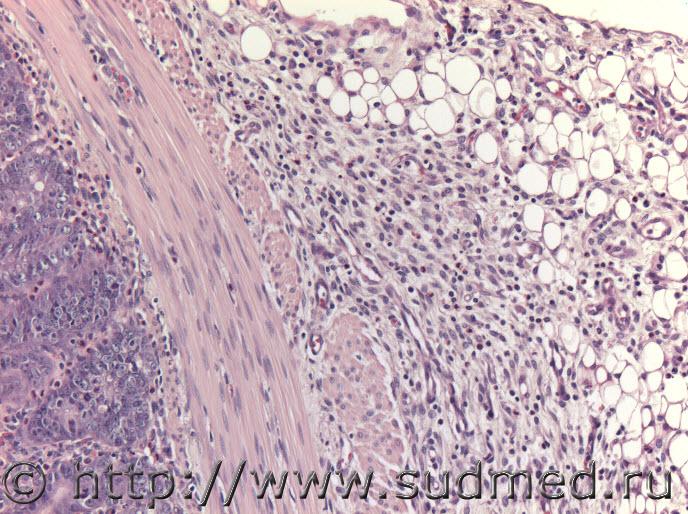
Продолжая тему хочу отметить, мне необходимо понять куда деваются эритроциты при отсутствии кровотечений. Ранее предполагалось, что исследуемый препарат, вводимый перорально, обладает выраженным местно раздражающим действием, т.е. способен оказывать повреждающее действие на слизистую ж.к.т., способствовать развитию некрозов, приводящих к перфорации кишечной стенки и вследствие этого развитию перитонитов. И причину снижения количества эритроцитов объясняли кровоизлияниями в процессе некротического повреждения стенки ж.к.т.

Проводя микроскопический анализ желудка, и фрагментов из всех отделов тонкого и толстого кишечника я ни я в одном случае не обнаружила повреждений со стороны слизистой и подслизистой кишечной стенки. Но, я обнаружила в некоторых случаях воспаление кишечной брыжейки в виде фиброматозов, инфильтрации нейтрофилами, очагов некроза с вовлечением в воспалительный процесс непосредственно прилежащей к участку брыжейки мышечной оболочки кишечника (фото прилагаю) Кровотечений, способных стать причиной выраженного снижения эритроцитов я не обнаружила. Таким образом, не понятно, куда делись эритроциты, не иначе, как препарат вызвал их гемолиз. В нашем исследовании несколько крыс погибло от перитонита, но как представляется мне не по причине местно раздражающего действия препарата с последующими перфорациями кишечной стенки. А причиной перитонита в данной ситуации явилось воспаление брыжейки, кстати, мезентериальные лимфоузлы у всех особей были выражено увеличены без признаков воспаления. Хотелось бы узнать, существуют ли болезни соединительной ткани брюшной полости по типу медиастинита?


Эскизы прикрепленных изображений
Судебная медицина - Прикрепленное изображение Судебная медицина - Прикрепленное изображение Судебная медицина - Прикрепленное изображение Судебная медицина - Прикрепленное изображение Судебная медицина - Прикрепленное изображение Судебная медицина - Прикрепленное изображение
Пользователь offline
К началу страницы
+Ответить с цитированием
Медик
сообщение 2.12.2014 - 19:37
Сообщение #6


Учитель
Group Icon
Группа: Модераторы
Регистрация: 16.05.2010
Пользователь №: 21 553


Цитата(Надежда Ивановна @ 2.12.2014 - 20:19)
по типу медиастинита?

Если по этому принципу,то острый,подострый и хронический перитониты.
Пользователь offline
К началу страницы
+Ответить с цитированием
доктор морфолог
сообщение 3.12.2014 - 08:28
Сообщение #7


Мастер I

Группа: СМЭ
Регистрация: 5.12.2013
Пользователь №: 38 421


Цитата(Надежда Ивановна @ 2.12.2014 - 21:17)

что представленные клетки являются сидерофагами.
Для меня загадочен еще один факт. У получавших большую дозу препарата, количество эритроцитов было гораздо ниже, чем у получавших меньшую дозу. Но, клетки с морфологическими признаками сидерофагов я наблюдала в селезенке только у получавших меньшую дозу. Кстати, клетки, которые я называю сидерофагами, я также наблюдала в сосудах и других органах, у получавших меньшую дозу. Ситуация не понятна тем, почему не наблюдались сидерофаги у получавших большую дозу на фоне более выраженного снижения количества эритроцитов. Все запутанно в исследовании, а мне разгр****ь и писать заключение. В следующей теме последует еще более интересный факт по этому же препарату.

Имеет место нарушение реологических свойств( дисбаланс свертывающих факторов в крови)на фото видны склеивание эритроцитов, местами лизис эритроцитов и формалиновые пигменты. А в 1-5 фото не мегакариобласты ли?

Сообщение отредактировал доктор морфолог - 3.12.2014 - 08:29
Пользователь offline
К началу страницы
+Ответить с цитированием
доктор морфолог
сообщение 3.12.2014 - 09:04
Сообщение #8


Мастер I

Группа: СМЭ
Регистрация: 5.12.2013
Пользователь №: 38 421


Цитата(Надежда Ивановна @ 2.12.2014 - 23:19)


В данном случаев в 1-3 фото имеет место мезентерит( воспаление брыжейки- лимфоциты, примеси лейкоцитов и единичных плазмоцитов, фибробластов)- и относится перитониту в общем), если увеличены брыжеечные л/у вторичная лимаденопатия(реактивная на введение препарата т.е иммунитет боролся), а в 4-6 фото вследствие нарушение факторов свертывания крови местный ДВС синдром с геморрагией и отложением фибрина на серозе. Пока Ваш препарат действует гемолитически! А развитие перитонита вследствие нарушения реологических свойств крови и развитием микротромбоза на уровне микроциркуляции жкт и наступлением некроза. Запрограмированный(апоптоз) лизис эритроцитов или лизис вследствие токсикантов(препаратов), по мере возможности утилизируется в селезенке макрофагами и в печени с улавливанием гепатоцитами гема с образованием билирубина пока сила есть у гепатоцитов. А уменьшение эритроцитов м.б. еще вследствие нарушение синтеза эритропоэза костным мозгом и вследствие потери при кровотечении при ДВС-синдроме. Пока такого типа патогенез.
Пользователь offline
К началу страницы
+Ответить с цитированием
доктор морфолог
сообщение 3.12.2014 - 09:09
Сообщение #9


Мастер I

Группа: СМЭ
Регистрация: 5.12.2013
Пользователь №: 38 421


Цитата(Надежда Ивановна @ 2.12.2014 - 23:19)


Там не фиброматоз в брыжейке стенки кишечника,а неполная репаративная регенерация в жировой ткани брыжейки( молодые фибробластные клетки с круглоклеточной инфильтрацией), если жил бы дальше образовались бы спайки.
Пользователь offline
К началу страницы
+Ответить с цитированием
Надежда Ивановна
сообщение 3.12.2014 - 19:57
Сообщение #10


Опытный участник

Группа: Участники
Регистрация: 28.01.2014
Из: Московская область
Пользователь №: 38 804


Цитата(доктор морфолог @ 3.12.2014 - 10:09)
Там не фиброматоз в брыжейке стенки кишечника,а неполная репаративная регенерация в жировой ткани брыжейки( молодые фибробластные клетки с круглоклеточной инфильтрацией), если жил бы дальше образовались бы спайки.


Уважаемый Доктор морфолог! Ваши рассуждения и теоретические познания физиологических процессов, как всегда, на высоте! Вы высказали правильную мысль относительно того, что "препарат действует гемолитически! А развитие перитонита вследствие нарушения реологических свойств крови и развитием микротромбоза на уровне микроциркуляции жкт..." Я Вам очень благодарна за помощь в интерпретации данных!
Я благодарна, также, Медику, личный опыт которого превзойти трудно!
Пользователь offline
К началу страницы
+Ответить с цитированием
доктор морфолог
сообщение 4.12.2014 - 11:55
Сообщение #11


Мастер I

Группа: СМЭ
Регистрация: 5.12.2013
Пользователь №: 38 421


Цитата(Надежда Ивановна @ 3.12.2014 - 23:57)
Уважаемый Доктор морфолог! Ваши рассуждения и теоретические познания физиологических процессов, как всегда, на высоте! Вы высказали правильную мысль относительно того, что "препарат действует гемолитически! А развитие перитонита вследствие нарушения реологических свойств крови и развитием микротромбоза на уровне микроциркуляции жкт..." Я Вам очень благодарна за помощь в интерпретации данных!
Я благодарна, также, Медику, личный опыт которого превзойти трудно!

Ув. Надежда Ивановна! И Вам спасибо большое за интересный материал.
Пользователь offline
К началу страницы
+Ответить с цитированием
jaklin
сообщение 4.12.2014 - 16:59
Сообщение #12


Продвинутый участник

Группа: СМЭ
Регистрация: 22.07.2011
Пользователь №: 28 038




Доброго времени суток. А наи 4-5 фото в просвете кишки что? Мне кажется эритроциты, или я ошибаюсь?

Сообщение отредактировал jaklin - 4.12.2014 - 17:00
Пользователь offline
К началу страницы
+Ответить с цитированием
доктор морфолог
сообщение 5.12.2014 - 09:59
Сообщение #13


Мастер I

Группа: СМЭ
Регистрация: 5.12.2013
Пользователь №: 38 421


Цитата(jaklin @ 4.12.2014 - 20:59)
Доброго времени суток. А наи 4-5 фото в просвете кишки что? Мне кажется эритроциты, или я ошибаюсь?

Не ошиблись, выщелоченные эритроциты с выпадением фибриновых масс.
Пользователь offline
К началу страницы
+Ответить с цитированием
jaklin
сообщение 5.12.2014 - 18:05
Сообщение #14


Продвинутый участник

Группа: СМЭ
Регистрация: 22.07.2011
Пользователь №: 28 038


Цитата(доктор морфолог @ 5.12.2014 - 10:59)
Не ошиблись, выщелоченные эритроциты с выпадением фибриновых масс.


biggrin.gif Спасибо

Пользователь offline
К началу страницы
+Ответить с цитированием
Надежда Ивановна
сообщение 17.12.2014 - 01:07
Сообщение #15


Опытный участник

Группа: Участники
Регистрация: 28.01.2014
Из: Московская область
Пользователь №: 38 804


Цитата(доктор морфолог @ 5.12.2014 - 10:59)
Не ошиблись, выщелоченные эритроциты с выпадением фибриновых масс.

На фотографии 6 такие же эозинофильные массы представлены в области некротизированного продольного слоя мышечной оболочки. Правильно замечено, на фотографиях 4 и 5 такие же массы представлены в просвете кишки. У всех 60 особей обоего пола со стороны слизистой оболочки повреждений нет. В этом случае также повреждения со стороны слизистой отсутствуют, в таком случае не понятно, как а просвете оказались некротизированные массы. Вначале я не хотела делать акцент на этом объекте, но раз заметили, значит сделать надо. По моей версии они занесены туда с инструментов, которыми проводили вскрытие, попросту кусочек некротизированной ткани прилип к ножницам, а когда рассекали кишку отвалился и случайным образом оказался в области просвета. Другие версии?
Пользователь offline
К началу страницы
+Ответить с цитированием

2 страниц V  1 2 >



- Обратная связь Сейчас: 6.11.2025 - 09:52