Здравствуйте, гость ( Вход | Регистрация )

Форум судебных медиков России
 
>

Консультация Н/О в области молочной железы у собаки, Фиброзно-кистозная болезнь или Аденокарцинома !?

>
Evgenii2381
сообщение 18.03.2015 - 14:34
Сообщение #1


Читатель

Группа: Участники
Регистрация: 7.10.2014
Пользователь №: 40 429


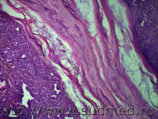
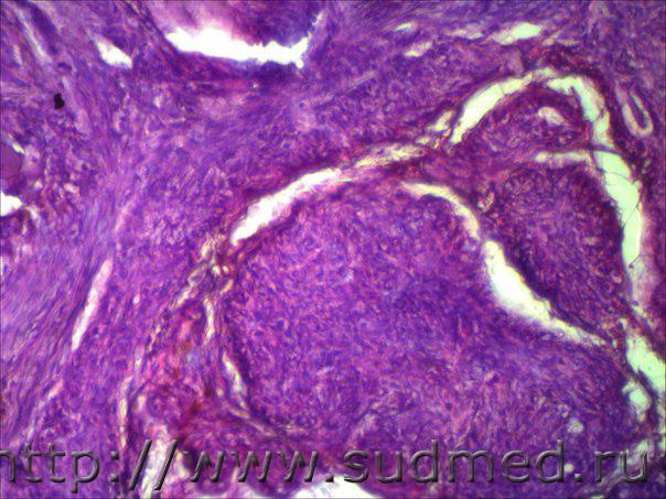
Консультация Н/О в области молочной железы у собаки


Эскизы прикрепленных изображений
Судебная медицина - Прикрепленное изображение Судебная медицина - Прикрепленное изображение Судебная медицина - Прикрепленное изображение Судебная медицина - Прикрепленное изображение Судебная медицина - Прикрепленное изображение Судебная медицина - Прикрепленное изображение Судебная медицина - Прикрепленное изображение Судебная медицина - Прикрепленное изображение Судебная медицина - Прикрепленное изображение Судебная медицина - Прикрепленное изображение Судебная медицина - Прикрепленное изображение Судебная медицина - Прикрепленное изображение
Пользователь offline
К началу страницы
+Ответить с цитированием




- Обратная связь Сейчас: 7.11.2025 - 03:58