Здравствуйте, гость ( Вход | Регистрация )

Форум судебных медиков России
3 страниц V  1 2 3 >  
>

гигантские клетки?, многоядерные гигантские клетки

>
selti
сообщение 9.04.2015 - 23:26
Сообщение #1


Читатель

Группа: СМЭ
Регистрация: 26.11.2012
Пользователь №: 34 827


здравствуйте. уважаемые эксперты помогите понять что это?
случай такой: ребенок 20 дней жизни, умер дома, со слов родственников ни чем не болел, суд.мед.диагноз "Механическая асфиксия. ...". Во внутренних органах картина общеасфиксических признаков, и вот это:
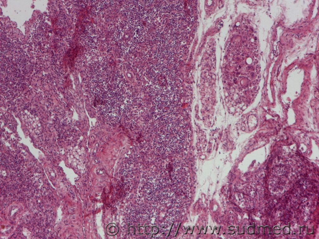
в препарате маркированном как Тимус:
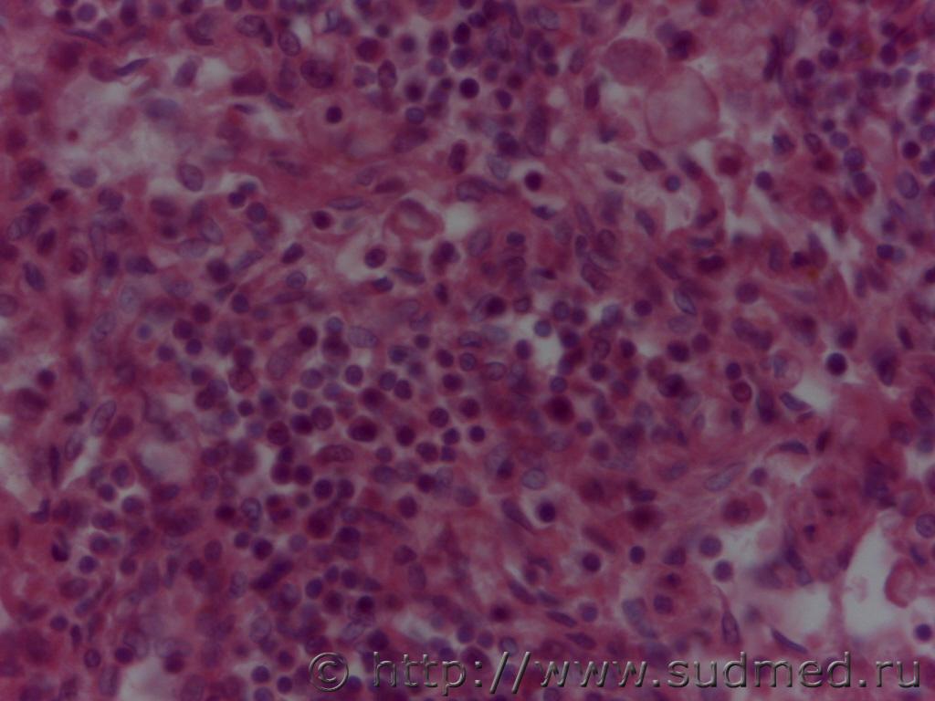
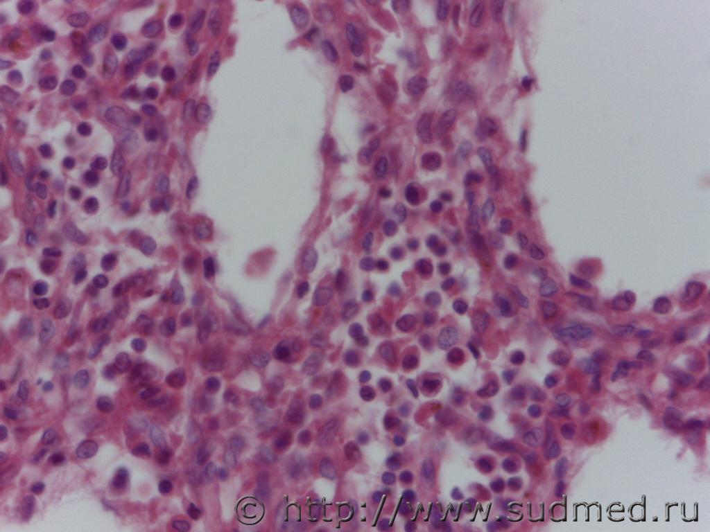
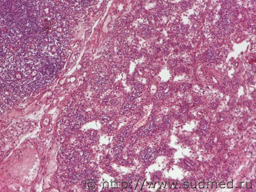
(в двух препаратах по периферии видны участки мышечной ткани. сохраняется что-то вроде долькового строения, видна лимфоидная ткань, жировая и в ней эти клетки гигантские многоядерные)


Эскизы прикрепленных изображений
Судебная медицина - Прикрепленное изображение Судебная медицина - Прикрепленное изображение Судебная медицина - Прикрепленное изображение Судебная медицина - Прикрепленное изображение Судебная медицина - Прикрепленное изображение Судебная медицина - Прикрепленное изображение Судебная медицина - Прикрепленное изображение Судебная медицина - Прикрепленное изображение Судебная медицина - Прикрепленное изображение Судебная медицина - Прикрепленное изображение Судебная медицина - Прикрепленное изображение Судебная медицина - Прикрепленное изображение Судебная медицина - Прикрепленное изображение Судебная медицина - Прикрепленное изображение
Пользователь offline
К началу страницы
+Ответить с цитированием
Медик
сообщение 9.04.2015 - 23:40
Сообщение #2


Учитель
Group Icon
Группа: Модераторы
Регистрация: 16.05.2010
Пользователь №: 21 553


Ребёнок не оперирован ?

Сообщение отредактировал Медик - 9.04.2015 - 23:42
Пользователь offline
К началу страницы
+Ответить с цитированием
selti
сообщение 9.04.2015 - 23:44
Сообщение #3


Читатель

Группа: СМЭ
Регистрация: 26.11.2012
Пользователь №: 34 827


Цитата(Медик @ 9.04.2015 - 23:40)
Ребёнок не оперирован ?

нет.

на клетки инородных те похожи
Пользователь offline
К началу страницы
+Ответить с цитированием
selti
сообщение 9.04.2015 - 23:55
Сообщение #4


Читатель

Группа: СМЭ
Регистрация: 26.11.2012
Пользователь №: 34 827


имеют ли эти клетки в данном случае диагностическое значение?
Пользователь offline
К началу страницы
+Ответить с цитированием
Медик
сообщение 10.04.2015 - 00:01
Сообщение #5


Учитель
Group Icon
Группа: Модераторы
Регистрация: 16.05.2010
Пользователь №: 21 553


Мне представляется,что на представленных фото имеет место хроническое неспецифическое продуктивное воспаление с гигантскими многоядерными клетками типа клеток инородных тел.
На 7 фото справа лёгкое ?

Сообщение отредактировал Медик - 10.04.2015 - 00:05
Пользователь offline
К началу страницы
+Ответить с цитированием
selti
сообщение 10.04.2015 - 00:14
Сообщение #6


Читатель

Группа: СМЭ
Регистрация: 26.11.2012
Пользователь №: 34 827


Цитата(Медик @ 10.04.2015 - 00:01)

На 7 фото справа лёгкое ?



легкого здесь нет, это все один кусочек, маркированный как "тимус".

Цитата(Медик @ 10.04.2015 - 00:01)
хроническое неспецифическое продуктивное воспаление с гигантскими многоядерными клетками типа клеток инородных тел.
На 7 фото справа лёгкое ?

а такое может быть в тимусе?
Пользователь offline
К началу страницы
+Ответить с цитированием
Медик
сообщение 10.04.2015 - 00:17
Сообщение #7


Учитель
Group Icon
Группа: Модераторы
Регистрация: 16.05.2010
Пользователь №: 21 553


Подождём мнения коллег.
Пользователь offline
К началу страницы
+Ответить с цитированием
selti
сообщение 10.04.2015 - 00:22
Сообщение #8


Читатель

Группа: СМЭ
Регистрация: 26.11.2012
Пользователь №: 34 827


эти клетки они же образуются из эпителиоидных клеток, а тимус имеет эпителиальное происхождение. может это следствие какого-то аутоиммунного заболевания? (матери или ребенка)

Сообщение отредактировал selti - 10.04.2015 - 00:23
Пользователь offline
К началу страницы
+Ответить с цитированием
Медик
сообщение 10.04.2015 - 00:24
Сообщение #9


Учитель
Group Icon
Группа: Модераторы
Регистрация: 16.05.2010
Пользователь №: 21 553


Цитата(selti @ 10.04.2015 - 01:14)

а такое может быть в тимусе?

Может. Хр......тимит.
В других органах круглоклеточная инфильтрация есть?

Цитата(selti @ 10.04.2015 - 01:22)
может это следствие какого-то аутоиммунного заболевания?

Такая мысль есть.

Сообщение отредактировал Медик - 10.04.2015 - 00:23
Пользователь offline
К началу страницы
+Ответить с цитированием
selti
сообщение 10.04.2015 - 06:44
Сообщение #10


Читатель

Группа: СМЭ
Регистрация: 26.11.2012
Пользователь №: 34 827


В других органах ничего нет. В легких в бронхах серозно гнойные массы

Пользователь offline
К началу страницы
+Ответить с цитированием
Deni
сообщение 10.04.2015 - 07:26
Сообщение #11


Мастер III

Группа: СМЭ
Регистрация: 30.09.2007
Из: РФ
Пользователь №: 5 980


Аспирационная пневмония?
Пользователь offline
К началу страницы
+Ответить с цитированием
Anton
сообщение 10.04.2015 - 08:00
Сообщение #12


Мастер II

Группа: СМЭ
Регистрация: 6.12.2011
Из: Опорный край державы
Пользователь №: 30 279


Похоже на смешение зачатков эмбриональных структур. Может гамартия?
Пользователь online
К началу страницы
+Ответить с цитированием
selti
сообщение 10.04.2015 - 09:24
Сообщение #13


Читатель

Группа: СМЭ
Регистрация: 26.11.2012
Пользователь №: 34 827


Цитата(Deni @ 10.04.2015 - 07:26)
Аспирационная пневмония?

На пневмонию не тянет, очаговый бронхит. Кстати, в единичных альвеолах тоже встречаются гигантские клетки
Пользователь offline
К началу страницы
+Ответить с цитированием
selti
сообщение 10.04.2015 - 09:30
Сообщение #14


Читатель

Группа: СМЭ
Регистрация: 26.11.2012
Пользователь №: 34 827


Цитата(Anton @ 10.04.2015 - 08:00)
Похоже на смешение зачатков эмбриональных структур. Может гамартия?

Ого!
Я думаю, Акцидентальная инволюция 5 ст. Коллапс долек с замещением жировой тк. А эти кл. Могут быть что-то вроде т.Гассаля? ? ?


Подозревают смерть от закрытия носа и рта мягким предметом.

Сообщение отредактировал selti - 10.04.2015 - 09:33
Пользователь offline
К началу страницы
+Ответить с цитированием
Медик
сообщение 10.04.2015 - 10:33
Сообщение #15


Учитель
Group Icon
Группа: Модераторы
Регистрация: 16.05.2010
Пользователь №: 21 553


Цитата(selti @ 10.04.2015 - 10:30)
Могут быть что-то вроде т.Гассаля? ? ?

Нет.
Слоистые эпителиальные тельца образованы концентрически наслоёнными эпителиальными клетками,которые претерпевают в центральной части тельца изменения дегенеративного характера,сходные с процессами ороговения.
Пользователь offline
К началу страницы
+Ответить с цитированием

3 страниц V  1 2 3 >



- Обратная связь Сейчас: 5.11.2025 - 08:13