Здравствуйте, гость ( Вход | Регистрация )

Форум судебных медиков России
 
>

опухоль в области М/Ж у собаки !?, опухоль у суки в области молочной железы

>
Evgenii2381
сообщение 10.06.2015 - 12:42
Сообщение #1


Читатель

Группа: Участники
Регистрация: 7.10.2014
Пользователь №: 40 429


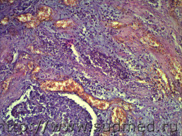
обильное кровоизлияние в паренхиму и зарастание протоков соединительнотканными клетками? В литературе посмотрел и похожего не нашел! sad.gif Нужна помощь !


Эскизы прикрепленных изображений
Судебная медицина - Прикрепленное изображение Судебная медицина - Прикрепленное изображение Судебная медицина - Прикрепленное изображение Судебная медицина - Прикрепленное изображение
Пользователь offline
К началу страницы
+Ответить с цитированием
Медик
сообщение 10.06.2015 - 14:12
Сообщение #2


Учитель
Group Icon
Группа: Модераторы
Регистрация: 16.05.2010
Пользователь №: 21 553


Локализация того,что изображено на первом фото ?
В протоке или вне его ?
Пользователь offline
К началу страницы
+Ответить с цитированием
Evgenii2381
сообщение 10.06.2015 - 14:17
Сообщение #3


Читатель

Группа: Участники
Регистрация: 7.10.2014
Пользователь №: 40 429


Цитата(Медик @ 10.06.2015 - 14:12)
Локализация того,что изображено на первом фото ?
В протоке или вне его ?

да в протоке !
Пользователь offline
К началу страницы
+Ответить с цитированием
Медик
сообщение 10.06.2015 - 14:17
Сообщение #4


Учитель
Group Icon
Группа: Модераторы
Регистрация: 16.05.2010
Пользователь №: 21 553


Похоже на инвазивный протоковый рак.
Пользователь offline
К началу страницы
+Ответить с цитированием
Evgenii2381
сообщение 10.06.2015 - 14:24
Сообщение #5


Читатель

Группа: Участники
Регистрация: 7.10.2014
Пользователь №: 40 429


Цитата(Медик @ 10.06.2015 - 14:17)
Похоже на инвазивный протоковый рак.

а тяжами из эпителиальных клеток проток зарастает ?
Пользователь offline
К началу страницы
+Ответить с цитированием
Медик
сообщение 10.06.2015 - 14:30
Сообщение #6


Учитель
Group Icon
Группа: Модераторы
Регистрация: 16.05.2010
Пользователь №: 21 553


В протоках солидные комплексы опухолевых клеток.
Пользователь offline
К началу страницы
+Ответить с цитированием
Evgenii2381
сообщение 10.06.2015 - 14:31
Сообщение #7


Читатель

Группа: Участники
Регистрация: 7.10.2014
Пользователь №: 40 429


Цитата(Медик @ 10.06.2015 - 14:30)
В протоках солидные комплексы опухолевых клеток.

Спасибо ! понял !
Пользователь offline
К началу страницы
+Ответить с цитированием




- Обратная связь Сейчас: 6.11.2025 - 04:57