Здравствуйте, гость ( Вход | Регистрация )

Форум судебных медиков России
>   Правила консультационного раздела >

ВНИМАНИЕ! Все сообщения проходят предварительную проверку модератором и только после этого появляются на форуме. Порядок работы раздела изложен в правилах форума.
Все консультации на форуме бесплатны, но если мы смогли вам помочь, вы можете поддержать наш проект (подробнее).

 
 
>

СТЕПЕНЬ ВРЕДА, КАКОВА СТЕПЕНЬ ТЯЖЕСТИ ВРЕДА ЗДОРОВЬЮ

>
Лола
сообщение 13.10.2015 - 19:18
Сообщение #1


Новичок

Группа: Участники
Регистрация: 28.06.2015
Пользователь №: 42 155


Здравствуйте , подскажите пожалуйста возможную степень тяжести вреда здоровью . После ДТП диагностировали оскольчатый перелом латерального мыщелка левой большеберцовой кости со смещением отломком , линия перелома проходит по межмыщелковым возвышениям , перелом головки левой малоберцовой кости с небольшим смещением отломков , повреждение крестовидных связок левого коленного сустава ( клинически ) . Выполнено оперативное лечение в объеме забора костного аутотрансп лантанта , открытой репозиции и МОС большеберцовой кости от 06 05 2015 Протокол операции дата операции 6 05 15 время 9 50 - 12 30 операция; 3 забор костного аутотранспланта из крыла левой подвздошной кости 4 Открытая репозиция и остеосинтез латерального мыщелка левой большеберцовой кости пластиной с угловой стабильностью Вид анестезии ЭТН.
Протокол операции
4 Линейный разрез на гребнем крыла левой подвздошной кости . Остеотомия Желобоватым долотом произведен забор спонгиозного трансплантанта . Гемостаз активный дренаж . Укрытие костного дефекта .Швы на рану . Асептическая повязка .
5 Переднее - наружным изогнутым доступом обнажена область перелома латерального мыщелка большеберцовой кости . ПЕРЕЛОМ НОСИТ ОСКОЛЬЧАТЫЙ НЕСТАБИЛЬНЫЙ ХАРАКТЕР , СО СМЕЩЕНИЕМ ОТЛОМКОВ . Сублимбально вскрыт коленный сустав . Обнажено плато наружного мыщелка большеберцовой кости . Выявлен оскольчатый импакционный перелом суставной фасетки Выполнена реимпакция суставной поверхности наружного мыщелка , репозиция отломков и временная фиксация их костодержателями и спицами ЭОП контроль состояние отломков улучшилось . По наружной стороне б б кости уложена опорная углостабильная пластина для мыщелка большеберцовой кости Пластина фиксирована в проксимальной части 3спонгиозными блокированными 5,0 мм винтами в дистальной части тремя блокированными бикортикальными 5,0 мм винтами . Фиксация отломков удовлетворительная ЭОП контроль : сос
Сотломков и имплантов удовлетворительное . По настоящее время я не могу ходить , нога меня не держит и диагностируют контрактуру левого сустава вальгусную деформацию нестабильность ВБС слева нестабильность левого сустава коленного атрофия мышц левого бедра посттравматический гонартроз 2 степени посттравматическая невропатия . В сентябре мне сказали обследовать связки колена , делали Мрт снимки не получились из за пластины в колене 22 сентября сделала КТ и в описании Визиализируется частично консолидированный вдавленно оскольчатый вдавленно расщепленный перелом латеального мыще лка большеберцовой кости с высотой ступеньки до 16 мм с распространением линии перелома от плато до латеральной поверхности метадиафиза . Дали 3 группу инвалидности с 1 степенью утраты трудоспособности . Cнимки если необходимо попробую выложить . По словам дознователя ведущего дело это средняя степень тяжести , а я уже 6 месяцев лишена возможности жить , а к весне пообещали и сустав менять . Спасибо .
Пользователь offline
К началу страницы
+Ответить с цитированием
Радомир
сообщение 13.10.2015 - 19:34
Сообщение #2


Мастер III
Group Icon
Группа: Модераторы
Регистрация: 30.11.2008
Из: Российская Федерация
Пользователь №: 11 273


Вред здоровью средней тяжести (согласно п.7.1 приложения к Приказу Минздравсоцразвития от 24.04.08г. №194н, + можно добавить п.7.2 этого же документа).
Признаков тяжкого вреда здоровью нет: сама по себе эта травма - не тяжкий вред, а размер % стойкой утраты общей трудоспособности не превышает 1/3 (болтающегося коленного сустава и костного анкилоза нет, остальное - менее 1/3) - см. п.7.2 вышеуказанного документа и п.115-118 "Таблицы процентов стойкой утраты общей трудоспособности ..." - Приложение к Медицинским критериям определения степени тяжести вреда, причиненного здоровью человека, утвержденным приказом Министерства здравоохранения и социального развития РФ от 24 апреля 2008 г. N 194н.

Пользователь offline
К началу страницы
+Ответить с цитированием
Anton
сообщение 13.10.2015 - 19:55
Сообщение #3


Мастер II

Группа: СМЭ
Регистрация: 6.12.2011
Из: Опорный край державы
Пользователь №: 30 279


Первый рентген (до операции, 2 проекции) отсканировать есть возможность - давайте посмотрим.
Пользователь offline
К началу страницы
+Ответить с цитированием
Лола
сообщение 13.10.2015 - 20:03
Сообщение #4


Новичок

Группа: Участники
Регистрация: 28.06.2015
Пользователь №: 42 155


Цитата(Радомир @ 13.10.2015 - 19:34)
Вред здоровью средней тяжести (согласно п.7.1 приложения к Приказу Минздравсоцразвития от 24.04.08г. №194н, + можно добавить п.7.2 этого же документа).
Признаков тяжкого вреда здоровью нет: сама по себе эта травма - не тяжкий вред, а размер % стойкой утраты общей трудоспособности не превышает 1/3 (болтающегося коленного сустава и костного анкилоза нет, остальное - менее 1/3) - см. п.7.2 вышеуказанного документа и п.115-118 "Таблицы процентов стойкой утраты общей трудоспособности ..." - Приложение к Медицинским критериям определения степени тяжести вреда, причиненного здоровью человека, утвержденным приказом Министерства здравоохранения и социального развития РФ от Мрт апреля 2008 г. N 194н.


Спасибо за ответ , просто не понятно что у меня со связками если МРТ сделать не могу и говорят коленный сустав не стабилен и надо сделать электронейромиографию , если нервы затронуты может ли это увеличить тяжесть , удар был бампером в ногу с боку . Спасибо .
Пользователь offline
К началу страницы
+Ответить с цитированием
Лола
сообщение 13.10.2015 - 20:07
Сообщение #5


Новичок

Группа: Участники
Регистрация: 28.06.2015
Пользователь №: 42 155


Цитата(Anton @ 13.10.2015 - 19:55)
Первый рентген (до операции, 2 проекции) отсканировать есть возможность - давайте посмотрим.

Попытаюсь отсканировать и выложить позже Спасибо , не закрывайте пожалуйста тему несколько дней если можно сама я не могу перемещаться по городу , нужно время .
Пользователь offline
К началу страницы
+Ответить с цитированием
Радомир
сообщение 14.10.2015 - 09:30
Сообщение #6


Мастер III
Group Icon
Группа: Модераторы
Регистрация: 30.11.2008
Из: Российская Федерация
Пользователь №: 11 273


Цитата
если нервы затронуты может ли это увеличить тяжесть

Может. При действительно серьезной невропатии (см.раздел "Таблицы процентов стойкой утраты общей трудоспособности...", посвященный последствиям повреждений периферических нервов).
Обследуйтесь по максимуму и ходатайствуйте о назначении дополнительной экспертизы с Вашим осмотром экспертом, с предоставлением на экспертизу ВСЕХ медицинских документов, относящихся к этой травме и, в том числе, с постановкой перед экспертом вопроса о размере стойкой утраты общей трудоспособности. Меньше среднего вреда не будет точно, т.е., в худшем случае, останется та же степень тяжести вреда здоровью, но добавится процент стойкой утраты общей трудоспособности (в плане судебного возмещения вреда это оч.нелишнее), в лучшем случае - возможно, степень тяжести изменится.
Пользователь offline
К началу страницы
+Ответить с цитированием
Лола
сообщение 15.10.2015 - 17:44
Сообщение #7


Новичок

Группа: Участники
Регистрация: 28.06.2015
Пользователь №: 42 155


Цитата(Радомир @ 14.10.2015 - 09:30)
Может. При действительно серьезной невропатии (см.раздел "Таблицы процентов стойкой утраты общей трудоспособности...", посвященный последствиям повреждений периферических нервов).
Обследуйтесь по максимуму и ходатайствуйте о назначении дополнительной экспертизы с Вашим осмотром экспертом, с предоставлением на экспертизу ВСЕХ медицинских документов, относящихся к этой травме и, в том числе, с постановкой перед экспертом вопроса о размере стойкой утраты общей трудоспособности. Меньше среднего вреда не будет точно, т.е., в худшем случае, останется та же степень тяжести вреда здоровью, но добавится процент стойкой утраты общей трудоспособности (в плане судебного возмещения вреда это оч.нелишнее), в лучшем случае - возможно, степень тяжести изменится.


Здравствуйте , постараюсь выложить снимки .


Эскизы прикрепленных изображений
Судебная медицина - Прикрепленное изображение
Пользователь offline
К началу страницы
+Ответить с цитированием
Радомир
сообщение 15.10.2015 - 17:52
Сообщение #8


Мастер III
Group Icon
Группа: Модераторы
Регистрация: 30.11.2008
Из: Российская Федерация
Пользователь №: 11 273


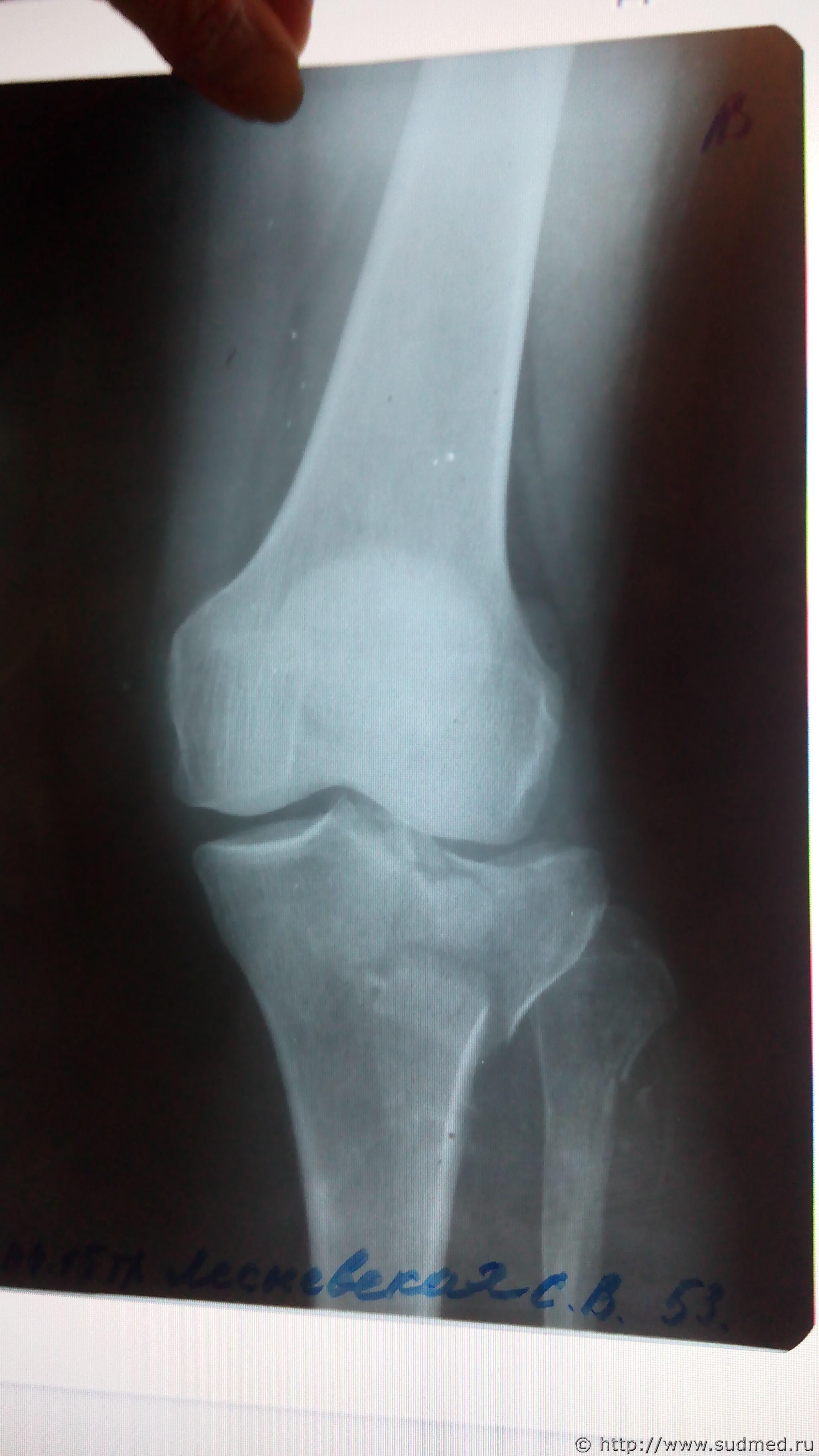
Выложите все снимки. Это может быть важно: если перелом большеберцовой кости распространяется на её диафиз, то может быть тяжкий вред (п.6.11.8 приложения к Приказу Минздравсоцразвития от 24.04.08г. №194н). На единственном выложенном Вами снимке этого не видно, но зона перелома - совсем рядом с диафизом. Хотелось бы разобраться, как все обстоит на самом деле.
Тему пока не закрываю.
Пользователь offline
К началу страницы
+Ответить с цитированием
Лола
сообщение 15.10.2015 - 19:01
Сообщение #9


Новичок

Группа: Участники
Регистрация: 28.06.2015
Пользователь №: 42 155


Цитата(Радомир @ 14.10.2015 - 09:30)
Может. При действительно серьезной невропатии (см.раздел "Таблицы процентов стойкой утраты общей трудоспособности...", посвященный последствиям повреждений периферических нервов).
Обследуйтесь по максимуму и ходатайствуйте о назначении дополнительной экспертизы с Вашим осмотром экспертом, с предоставлением на экспертизу ВСЕХ медицинских документов, относящихся к этой травме и, в том числе, с постановкой перед экспертом вопроса о размере стойкой утраты общей трудоспособности. Меньше среднего вреда не будет точно, т.е., в худшем случае, останется та же степень тяжести вреда здоровью, но добавится процент стойкой утраты общей трудоспособности (в плане судебного возмещения вреда это оч.нелишнее), в лучшем случае - возможно, степень тяжести изменится.


Цитата(Радомир @ 15.10.2015 - 17:52)
Выложите все снимки. Это может быть важно: если перелом большеберцовой кости распространяется на её диафиз, то может быть тяжкий вред (п.6.11.8 приложения к Приказу Минздравсоцразвития от 24.04.08г. №194н). На единственном выложенном Вами снимке этого не видно, но зона перелома - совсем рядом с диафизом. Хотелось бы разобраться, как все обстоит на самом деле.
Тему пока не закрываю.


Спасибо за ответы , снимки послали должны появиться


Эскизы прикрепленных изображений
Судебная медицина - Прикрепленное изображение Судебная медицина - Прикрепленное изображение Судебная медицина - Прикрепленное изображение
Пользователь offline
К началу страницы
+Ответить с цитированием
Радомир
сообщение 15.10.2015 - 19:50
Сообщение #10


Мастер III
Group Icon
Группа: Модераторы
Регистрация: 30.11.2008
Из: Российская Федерация
Пользователь №: 11 273


На пленке представлено мало сканов КТ. + смотреть пленку или сканы в цифровом виде - намного лучше, чем их фотокопии, переданные через интернет.
Оптимально: 1.попросить рентгенолога скинуть Вам на флешку или на CD-диск ВСЕ сканы КТ коленного сустава (во всяком случае - ВСЕ выполненные в костном режиме - фактически их выполнено в несколько раз больше, чем напечатано на пленке). 2. попросить этого же и/или другого опытного рентгенолога внимательно посмотреть их все с единственной целью - установить, есть ли перелом диафиза большеберцовой кости (распространяется ли на него линия перелома) или же диафиз большеберцовой кости абсолютно цел. 3.Если признаков перелома диафиза нет - значит, тяжкого вреда здоровью именно за перелом кости нет (про нарушение функции сустава и невропатию - совсем отдельное дело, не о нем сейчас речь). Если же имеются рентгенологические признаки даже минимального распространения линии перелома на диафиз большеберцовой кости, тогда получаете официальное (письменное) заключение рентгенолога (рентгенологов) об этом, ходатайствуйте о доп.экспертизе с обязательным предоставлением на экспертизу всех рентгенограмм, КТ, заключений рентгенологов (о переломе диафиза большеберцовой кости).
Пользователь offline
К началу страницы
+Ответить с цитированием
Лола
сообщение 16.10.2015 - 07:54
Сообщение #11


Новичок

Группа: Участники
Регистрация: 28.06.2015
Пользователь №: 42 155


Цитата(Радомир @ 15.10.2015 - 19:50)
На пленке представлено мало сканов КТ. + смотреть пленку или сканы в цифровом виде - намного лучше, чем их фотокопии, переданные через интернет.
Оптимально: 1.попросить рентгенолога скинуть Вам на флешку или на CD-диск ВСЕ сканы КТ коленного сустава (во всяком случае - ВСЕ выполненные в костном режиме - фактически их выполнено в несколько раз больше, чем напечатано на пленке). 2. попросить этого же и/или другого опытного рентгенолога внимательно посмотреть их все с единственной целью - установить, есть ли перелом диафиза большеберцовой кости (распространяется ли на него линия перелома) или же диафиз большеберцовой кости абсолютно цел. 3.Если признаков перелома диафиза нет - значит, тяжкого вреда здоровью именно за перелом кости нет (про нарушение функции сустава и невропатию - совсем отдельное дело, не о нем сейчас речь). Если же имеются рентгенологические признаки даже минимального распространения линии перелома на диафиз большеберцовой кости, тогда получаете официальное (письменное) заключение рентгенолога (рентгенологов) об этом, ходатайствуйте о доп.экспертизе с обязательным предоставлением на экспертизу всех рентгенограмм, КТ, заключений рентгенологов (о переломе диафиза большеберцовой кости).


Спасибо , всего вам доброго .
Пользователь offline
К началу страницы
+Ответить с цитированием
Лола
сообщение 20.10.2015 - 15:13
Сообщение #12


Новичок

Группа: Участники
Регистрация: 28.06.2015
Пользователь №: 42 155


Здравствуйте , подскажите пожалуйста можно ли просто получить экспертное заключение рентгенолога по снимкам сделанным в другом медучреждении и где это можно сделать в СПб , спасибо .
Пользователь offline
К началу страницы
+Ответить с цитированием
Лола
сообщение 20.10.2015 - 16:22
Сообщение #13


Новичок

Группа: Участники
Регистрация: 28.06.2015
Пользователь №: 42 155


Здравствуйте , вопрос такой , я попала в ДТП , сбила машина , сделали операцию остеосинтеза , левый коленный сустав . Диагноз перелом мыщелка левой большеберцовой кости и головки левой малоберцовой кости , разрыв крестовидных связок клинически , операция была 6 мая 2015 и сейчас колено нестабильно . Мне назначили МРТ , что бы проверить связки , но снимки неинформативны , травматолог сказал что руками он обследовать не может еще не консолидировался перелом , но я хотела бы обследовать все до проведения экспертизы судебной т к это тяжесть . Каким образом можно обследовать связки , я слышала в СПб есть два каких то аппарата где это сделают , но где это и что за аппараты не знаю , я обращалась к независимому эксперту , но клинически это не доказательство и обидно если это так , а доказать не возможно . Врачу , который оперировал я задавала вопрос , но он сказал я в ваши связки не лез , но и сам послал их обследовать .Спасибо .
Пользователь offline
К началу страницы
+Ответить с цитированием
Лола
сообщение 20.10.2015 - 16:47
Сообщение #14


Новичок

Группа: Участники
Регистрация: 28.06.2015
Пользователь №: 42 155


И еще раз добрый день , вопросов много , а у вас дают исчерпывающие ответы и теперь мне у вас на форуме советовали провести экспертизу утраты трудоспособности . Вопросы такие : отдельная ли экспертиза , можно ли заказать эту экспертизу как независимую и мне установлена 3 группа инвалидности и написано 1 степень утраты трудоспособности , работа рекомендована дома , на телефоне , на компьютере . Какой это процент утраты трудоспособности и является ли это заменой экспертизы определения процента утраты трудоспособности или для суда все равно ее нужно проводить , Спасибо .
Пользователь offline
К началу страницы
+Ответить с цитированием
Радомир
сообщение 20.10.2015 - 23:14
Сообщение #15


Мастер III
Group Icon
Группа: Модераторы
Регистрация: 30.11.2008
Из: Российская Федерация
Пользователь №: 11 273


Ув.Лола! Не создавайте новых тем в рамках одной проблемы. Уважайте консультантов: глубокоуважаемые коллеги, берущие на себя труд помогать Вам, не должны искать вольно разбросанные Вами по Форуму кусочки и обрывочки вопросов и сведений. Если тема закрыта - обратитесь к любому модератору с просьбой вновь открыть её.
Цитата
можно ли просто получить экспертное заключение рентгенолога по снимкам сделанным в другом медучреждении и где это можно сделать в СПб

Можно. Разумеется, не "просто", а за деньги. Кафедра рентгенологии любого мед.ВУЗА. СПб ГБУЗ "Бюро судебно-медицинской экспертизы" или Ленинградское областное Бюро СМЭ. Контакты найдете в Интернете.
Цитата
я слышала в СПб есть два каких то аппарата где это сделают...

Такие слухи были правдой лет 20 назад.
Цитата
Каким образом можно обследовать связки

Магнитно-резонансная томография (МРТ) капсульно-связочного аппарата коленного сустава. Оптимальный метод для необходимого Вам исследования. В СПб такое делают не меньше, чем в двух десятках мест. Контакты легко найдете в Интернете.
Цитата
советовали провести экспертизу утраты трудоспособности . Вопросы такие : отдельная ли экспертиза , можно ли заказать эту экспертизу как независимую и мне установлена 3 группа инвалидности и написано 1 степень утраты трудоспособности , работа рекомендована дома , на телефоне , на компьютере . Какой это процент утраты трудоспособности и является ли это заменой экспертизы определения процента утраты трудоспособности или для суда все равно ее нужно проводить

Вопрос про размер процента стойкой утраты общей трудоспособности можно поставить на разрешение судебно-медицинской экспертизы, которую будет назначать дознаватель. Заявите письменное ходатайство на его имя.
Какую-то консультацию (не экспертизу! - экспертиза выполняется исключительно на основании процессуального решения дознавателя, следователя или суда) по поводу % стойкой утраты Вы можете получить, обратившись в Бюро судебно-медицинской экспертизы любого субъекта Федерации, Российский Центр СМЭ, на кафедру судебной медицины любого мед.ВУЗа.
То, что Вам установлена какая-то группа инвалидности на какой-то срок или бессрочно, никак не влияет на суд-мед.оценку % стойкой утраты общей трудоспособности: разные регламентирующие документы, разные критерии и т.д. Одно другое не подменяет.
Лола, позволю себе добрый совет: не бегите впереди паровоза. Сейчас Вы потратите немало сил, в т.ч. душевных, на походы по мед.учреждениям с целью получения оттуда никчемных выписок, справок и копий, на организацию всяческих "независимых" консультаций, прочего подобного и недешевого. А дальше, все равно (все равно!) будет судебно-медицинская экспертиза. "Официальная". Независимая. Т.е. независимая от чьих-то мнений и зависящая только от реально существующих медицинских фактов (видит эксперт, эксперт-рентгенолог на рентгенограмме перелом диафиза большеберцовой кости - тяжкий вред, не видно там этого перелома - хоть десяток справок принесите, но от этого перелом не появится на пленке и, соответственно, не появится в выводах эксперта). Хотите раньше времени заглянуть за горизонт - дело Ваше, но там Вам могут и мираж показать: за деньги (за Ваши личные деньги) и не неся никакой ответственности, бывает, "независимый" консультант несколько отрывается от реальности в пользу того, что заказчик хочет услышать. Впрочем, дело Ваше. МРТ капсульно-связочного аппарата коленного сустава сделать стОит. Нужно сделать. И для экспертизы будет нелишне, и для диагностики с перспективами лечения. И нужно максимально проконтролировать, что бы дознаватель представил на экспертизу все медицинские документы, относящиеся к этой травме. А не какую-то наспех взятую одну тощенькую медицинскую карту с парой рентгенограмм.
И пообщайтесь с адвокатом или с любым другим мудрым и хоть немножко понимающим в юридических делах человеком. Что бы понимать когда, как, зачем, на основании чего и т.п. назначается экспертиза. Каковы Ваши права в этой части.


Пользователь offline
К началу страницы
+Ответить с цитированием




- Обратная связь Сейчас: 5.11.2025 - 00:29