Здравствуйте, гость ( Вход | Регистрация )

Форум судебных медиков России
>   Правила консультационного раздела >

ВНИМАНИЕ! Все сообщения проходят предварительную проверку модератором и только после этого появляются на форуме. Порядок работы раздела изложен в правилах форума.
Все консультации на форуме бесплатны, но если мы смогли вам помочь, вы можете поддержать наш проект (подробнее).

 
 
>

Какая тяжесть вреда здоровью нанесена?

>
AleksandrGI
сообщение 21.10.2015 - 00:44
Сообщение #1


Вновь прибывший

Группа: Участники
Регистрация: 20.10.2015
Пользователь №: 42 731


Помогите, пожалуйста!
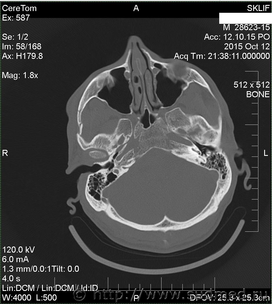
На Ленинградском вокзале меня избил охранник. Что-то я не то ему сказал, что-то он не то понял. В результате у меня множественный перелом скуловой дуги со смещением справа. Я инвалид 2 гр. Больничный не брал.
Скажите, пожалуйста, какая тяжесть вреда здоровью мне нанесена? Предположительно на что рассчитывать?
Я не работаю, нужно ли настаивать на больничном?
Какие нужно будет представить медицинские документы судмедэксперту?


Сообщение отредактировал Chivas - 21.10.2015 - 07:15
Пользователь offline
К началу страницы
+Ответить с цитированием
Chivas
сообщение 21.10.2015 - 07:16
Сообщение #2


Мастер I
Group Icon
Группа: Модераторы
Регистрация: 17.02.2007
Из: Кубань
Пользователь №: 4 435


ТС, почитайте внимательно правила ФСМ. Все прикрепленные Вами файлы, в соответствие с п. 7.3.1. правил Форума, удалены!
Пользователь offline
К началу страницы
+Ответить с цитированием
AleksandrGI
сообщение 21.10.2015 - 08:55
Сообщение #3


Вновь прибывший

Группа: Участники
Регистрация: 20.10.2015
Пользователь №: 42 731


Цитата(AleksandrGI @ 21.10.2015 - 00:44)
Помогите, пожалуйста!
На Ленинградском вокзале меня избил охранник. Что-то я не то ему сказал, что-то он не то понял. В результате у меня множественный перелом скуловой дуги со смещением справа. Я инвалид 2 гр. Больничный не брал.
Скажите, пожалуйста, какая тяжесть вреда здоровью мне нанесена? Предположительно на что рассчитывать?
Я не работаю, нужно ли настаивать на больничном?
Какие нужно будет представить медицинские документы судмедэксперту?

Судебная медицина - Прикрепленное изображение Судебная медицина - Прикрепленное изображениеСудебная медицина - Прикрепленное изображениеСудебная медицина - Прикрепленное изображениеСудебная медицина - Прикрепленное изображение
Судебная медицина - Прикрепленное изображениеСудебная медицина - Прикрепленное изображениеСудебная медицина - Прикрепленное изображение
Пользователь offline
К началу страницы
+Ответить с цитированием
Радомир
сообщение 21.10.2015 - 09:04
Сообщение #4


Мастер III
Group Icon
Группа: Модераторы
Регистрация: 30.11.2008
Из: Российская Федерация
Пользователь №: 11 273


Цитата
множественный перелом скуловой дуги со смещением справа

Вред здоровью средней тяжести. В соотвествие сп.7.1 приложения к Приказу Минздравсоцразвития от 24.04.08г. №194н.
Цитата
Я инвалид 2 гр. Больничный не брал.

Для определения степени тяжести вреда здоровью это не имеет ни какого значения.
Цитата
Какие нужно будет представить медицинские документы судмедэксперту?

По закону материалы (медицинские документы) на экспертизу предоставляет лицо, назначившее её (дознаватель, следователь, суд). Тот, кто расследует Ваше дело, должен провести выемку медицинских документов в мед.учреждениях, в которые Вы обращались, представить эти документы эксперту. От Вас требуется точно сообщить дознавателю или следователю в какие мед.учреждения Вы обращались и когда. Если какие-то мед.документы, относящиеся к этому случаю, есть у Вас на руках (рентгенограммы, мед.карточки и т.д.), имеет смысл отдать их этому сотруднику полиции для приобщения к материалам для экспертизы.
Пользователь offline
К началу страницы
+Ответить с цитированием




- Обратная связь Сейчас: 6.11.2025 - 08:16