Здравствуйте, гость ( Вход | Регистрация )

Форум судебных медиков России
 
>

мертворожденный-живорожденный

>
Lorainn
сообщение 18.01.2016 - 23:11
Сообщение #1


Вновь прибывший

Группа: Участники
Регистрация: 18.01.2016
Пользователь №: 43 291


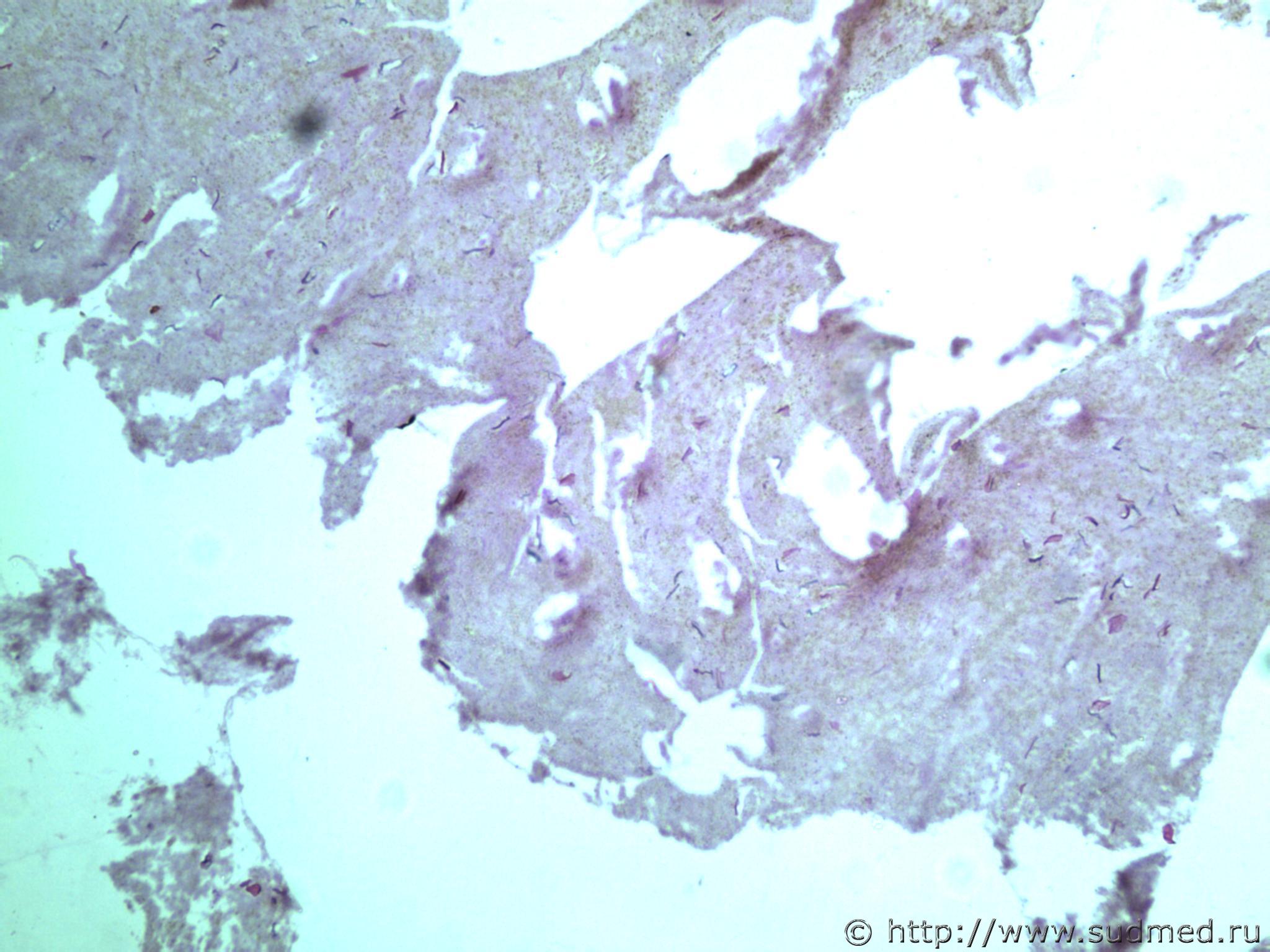
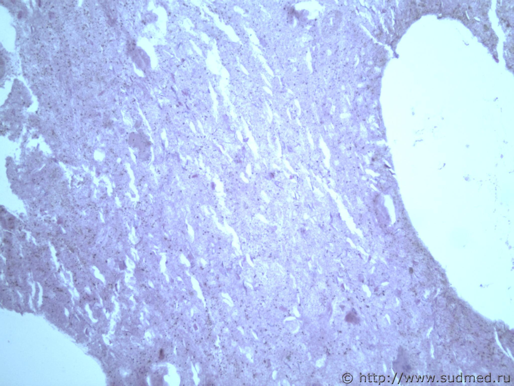
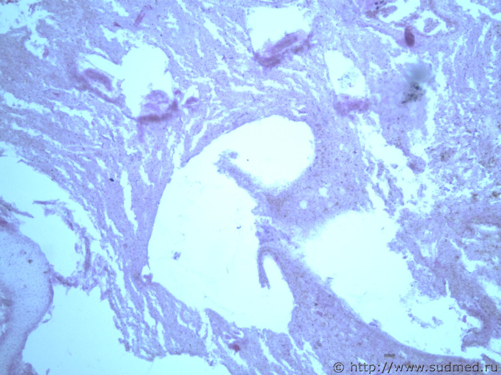
всем здравствуйте. хотела бы знать ваши мнения. провожу экспертизу. препараты как и труп новорожденного гнилые либо в аутолизе страшном. в легком картина такова, что ткань "плотная". просвет различимых альвеол в виде щелей и по всем полям зрения элементы околоплодных вод. одна артерия пуповины спазмирована. остальные сосуды непонятно : просвет их спавшийся но без признаков спазма. они как будто сплющены. да и сама пуповина в виде тонкого тяжа, видно из-за гнилостных изменений. под тмо спинного мозга признаки кровоизлияния, как и в коже с шеи. в коже головы с полнокровием отдельных сосудов. мать утверждает что ребенок после родов не сразу но все же шевелился и кричал. хотя перед этим он выпал у нее из матки на пол, ударившись головой. и со слов матери у него была пена изо рта и он хрипел.
Пользователь offline
К началу страницы
+Ответить с цитированием
Медик
сообщение 18.01.2016 - 23:17
Сообщение #2


Учитель
Group Icon
Группа: Модераторы
Регистрация: 16.05.2010
Пользователь №: 21 553


Микрофото лёгких показать можете ?
Пользователь offline
К началу страницы
+Ответить с цитированием
Lorainn
сообщение 19.01.2016 - 08:30
Сообщение #3


Вновь прибывший

Группа: Участники
Регистрация: 18.01.2016
Пользователь №: 43 291


Цитата(Медик @ 18.01.2016 - 23:17)
Микрофото лёгких показать можете ?
сегодня сфоткаю конечно. но не факт что будут качественные фотки. плавательная проба - "сомнительная".
Пользователь offline
К началу страницы
+Ответить с цитированием
Lorainn
сообщение 19.01.2016 - 20:32
Сообщение #4


Вновь прибывший

Группа: Участники
Регистрация: 18.01.2016
Пользователь №: 43 291


Цитата(Lorainn @ 19.01.2016 - 08:30)
сегодня сфоткаю конечно. но не факт что будут качественные фотки. плавательная проба - "сомнительная".

Судебная медицина - Прикрепленное изображение Судебная медицина - Прикрепленное изображениеСудебная медицина - Прикрепленное изображениеСудебная медицина - Прикрепленное изображениеСудебная медицина - Прикрепленное изображение
Судебная медицина - Прикрепленное изображениеСудебная медицина - Прикрепленное изображениеСудебная медицина - Прикрепленное изображениеСудебная медицина - Прикрепленное изображение
Судебная медицина - Прикрепленное изображение
Пользователь offline
К началу страницы
+Ответить с цитированием
Lorainn
сообщение 19.01.2016 - 20:54
Сообщение #5


Вновь прибывший

Группа: Участники
Регистрация: 18.01.2016
Пользователь №: 43 291


[quote name='Lorainn' date='19.01.2016 - 20:32' post='218475']Судебная медицина - Прикрепленное изображение Судебная медицина - Прикрепленное изображение Судебная медицина - Прикрепленное изображениеСудебная медицина - Прикрепленное изображениеСудебная медицина - Прикрепленное изображениеСудебная медицина - Прикрепленное изображение
Судебная медицина - Прикрепленное изображениеСудебная медицина - Прикрепленное изображениеСудебная медицина - Прикрепленное изображениеСудебная медицина - Прикрепленное изображение
Судебная медицина - Прикрепленное изображение
ну вот как то так. там еще и фотки пуповины.
Пользователь offline
К началу страницы
+Ответить с цитированием
Медик
сообщение 20.01.2016 - 01:08
Сообщение #6


Учитель
Group Icon
Группа: Модераторы
Регистрация: 16.05.2010
Пользователь №: 21 553


Плохо,материал гнилой.
Остановился бы на дышавшем лёгком.
Пользователь offline
К началу страницы
+Ответить с цитированием
Lorainn
сообщение 20.01.2016 - 08:18
Сообщение #7


Вновь прибывший

Группа: Участники
Регистрация: 18.01.2016
Пользователь №: 43 291


Цитата(Медик @ 20.01.2016 - 02:08)
Плохо,материал гнилой.
Остановился бы на дышавшем лёгком.
да, материал вообще никакой. спасибо за ответ!
Пользователь offline
К началу страницы
+Ответить с цитированием
andy_bob
сообщение 22.01.2016 - 13:59
Сообщение #8


Участник форума

Группа: Участники
Регистрация: 15.11.2006
Из: Волгоград
Пользователь №: 3 504


В данном случае лучше вообще уйти от ответа и ограничиться фразой "в виду аутолиза и признаков универсального гниения в ткани лёгкого судить о прижизненном наличии воздуха в альвеолах не представляется возможным"
Пользователь offline
К началу страницы
+Ответить с цитированием
Deni
сообщение 22.01.2016 - 15:38
Сообщение #9


Мастер III

Группа: СМЭ
Регистрация: 30.09.2007
Из: РФ
Пользователь №: 5 980


А что изначально с макрокартиной, на вскрытии? Или это "отморозок" с помойки?
Пользователь offline
К началу страницы
+Ответить с цитированием
Медик
сообщение 22.01.2016 - 16:16
Сообщение #10


Учитель
Group Icon
Группа: Модераторы
Регистрация: 16.05.2010
Пользователь №: 21 553


Цитата(andy_bob @ 22.01.2016 - 14:59)
В данном случае лучше вообще уйти от ответа

5 фото в сообщении №4 и 8 фото в сообщении №5 не наводит ли на мысль о дышавшем лёгком ?
Про остальные фото молчу,там или ничего не видно или же есть оптически пустые пузыри,что вероятнее всего,проявления гниения.
Пользователь offline
К началу страницы
+Ответить с цитированием




- Обратная связь Сейчас: 4.11.2025 - 11:01