Здравствуйте, гость ( Вход | Регистрация )

Форум судебных медиков России
2 страниц V  1 2 >  
>

что это?, инкапсулированное образование в межрёберной мышце

>
ТАНАТОЛОГ
сообщение 13.05.2016 - 18:11
Сообщение #1


Участник форума

Группа: СМЭ
Регистрация: 31.03.2010
Пользователь №: 20 887


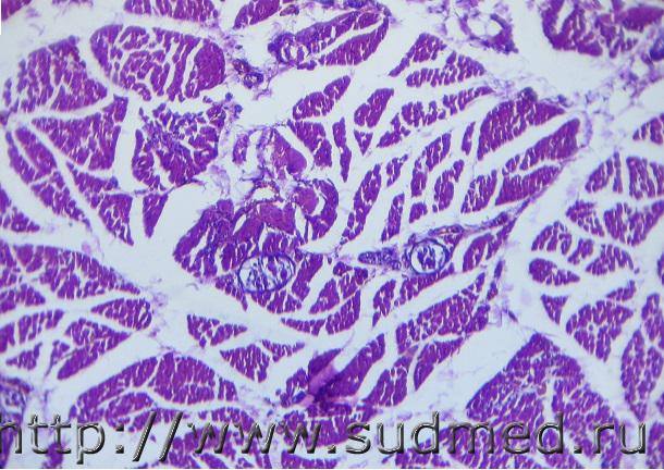
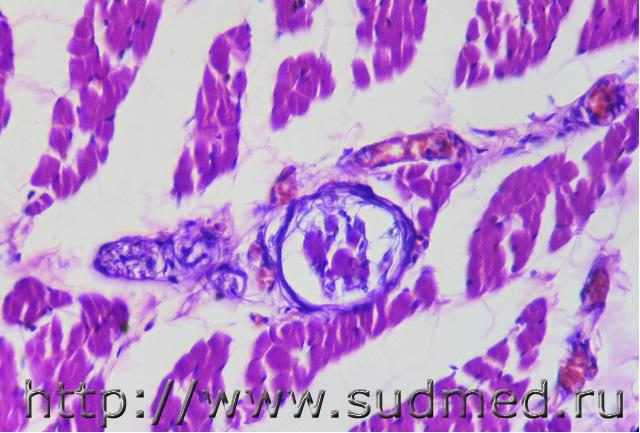
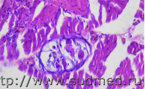
Уважаемые коллеги, помогите определиться. Взяли межрёберную мышцу и обнаружили это. Мнения разделились.
Ребёнок, 1.2 года, на протяжении последних 2-х месяцев жизни постоянно ОРВИ, осложнившиеся развитием бронхита, ДН. После последней выписки из стационара сохранялся приступообразный кашель (в диагнозе коклюш под вопросом, лабораторно не подтверждён). Умер на 4-й день после выписки во сне. Катаральный трахеобронхит, межуточная пневмония, аспирация желудочным содержимым. Фоном лимфатико-гипопластический диатез. Мышца макроскопически без изменений.


Эскизы прикрепленных изображений
Судебная медицина - Прикрепленное изображение Судебная медицина - Прикрепленное изображение Судебная медицина - Прикрепленное изображение Судебная медицина - Прикрепленное изображение Судебная медицина - Прикрепленное изображение Судебная медицина - Прикрепленное изображение Судебная медицина - Прикрепленное изображение
Пользователь offline
К началу страницы
+Ответить с цитированием
Anton
сообщение 13.05.2016 - 18:59
Сообщение #2


Мастер II

Группа: СМЭ
Регистрация: 6.12.2011
Из: Опорный край державы
Пользователь №: 30 279


Похоже на отграниченные некрозы мышечных волокон.
Пользователь offline
К началу страницы
+Ответить с цитированием
Медик
сообщение 13.05.2016 - 21:27
Сообщение #3


Учитель
Group Icon
Группа: Модераторы
Регистрация: 16.05.2010
Пользователь №: 21 553


Цитата(ТАНАТОЛОГ @ 13.05.2016 - 19:11)
Мнения разделились.

Варианты ?

Цитата(ТАНАТОЛОГ @ 13.05.2016 - 19:11)
Взяли межрёберную мышцу

Что хотели найти ?
Пользователь offline
К началу страницы
+Ответить с цитированием
Медик
сообщение 13.05.2016 - 21:43
Сообщение #4


Учитель
Group Icon
Группа: Модераторы
Регистрация: 16.05.2010
Пользователь №: 21 553


Цитата(Anton @ 13.05.2016 - 19:59)
Похоже на отграниченные некрозы мышечных волокон.

Против этого : интерстициальное расположение,чёткие контуры,форма.
Вену с некротизированной стенкой напоминает или расширенный лимфатический сосуд.
Кроме того,на 2 и 6 фото ещё видны и сосуды микроциркуляторного русла с аналогичной базофильной гомогенной стенкой (некроз).
На 4 и 5 фото похоже на эндотелиальные клетки,что противоречит соединительнотканной капсуле (Вы в названии темы писали "инкапсулированное").

Сообщение отредактировал Медик - 13.05.2016 - 22:10
Пользователь offline
К началу страницы
+Ответить с цитированием
Медик
сообщение 13.05.2016 - 22:12
Сообщение #5


Учитель
Group Icon
Группа: Модераторы
Регистрация: 16.05.2010
Пользователь №: 21 553


Фото № 7 не открывается.
Пользователь offline
К началу страницы
+Ответить с цитированием
ТАНАТОЛОГ
сообщение 13.05.2016 - 22:15
Сообщение #6


Участник форума

Группа: СМЭ
Регистрация: 31.03.2010
Пользователь №: 20 887


Взяли место инъекции адреналина на давность.
Первое впечатление после просмотра было о паразитарном происхождении. Второе- миозит (кроме данных образований, имеется очаговая инфильтрация в основном лимфоцитарная). Но причина? Консультировались с паразитологами и ветеринарами ... к единому мнению не пришли.

Пользователь offline
К началу страницы
+Ответить с цитированием
ТАНАТОЛОГ
сообщение 13.05.2016 - 22:21
Сообщение #7


Участник форума

Группа: СМЭ
Регистрация: 31.03.2010
Пользователь №: 20 887


попробую залить ещё раз


Эскизы прикрепленных изображений
Судебная медицина - Прикрепленное изображение
Пользователь offline
К началу страницы
+Ответить с цитированием
Медик
сообщение 13.05.2016 - 22:26
Сообщение #8


Учитель
Group Icon
Группа: Модераторы
Регистрация: 16.05.2010
Пользователь №: 21 553


Теперь нормально.Увеличивается.

Цитата(ТАНАТОЛОГ @ 13.05.2016 - 23:15)
миозит (кроме данных образований, имеется очаговая инфильтрация в основном лимфоцитарная).

Понимаю,что это в др.препаратах и одно другое не иключает.
На 6 фото и васкулит виден.

Сообщение отредактировал Медик - 13.05.2016 - 22:28
Пользователь offline
К началу страницы
+Ответить с цитированием
Медик
сообщение 13.05.2016 - 22:32
Сообщение #9


Учитель
Group Icon
Группа: Модераторы
Регистрация: 16.05.2010
Пользователь №: 21 553


Цитата(ТАНАТОЛОГ @ 13.05.2016 - 23:15)

Взяли место инъекции адреналина на давность.
Первое впечатление после просмотра было о паразитарном происхождении.

1. blink.gif
2.Против паразита.
Пользователь offline
К началу страницы
+Ответить с цитированием
Медик
сообщение 13.05.2016 - 22:37
Сообщение #10


Учитель
Group Icon
Группа: Модераторы
Регистрация: 16.05.2010
Пользователь №: 21 553


Макроскопически внутрикожные кровоизлияния,кровоизлияния в слизистых и серозных оболочках были ?
Р.S.Данных микро за миокардит нет?

Сообщение отредактировал Медик - 13.05.2016 - 22:50
Пользователь offline
К началу страницы
+Ответить с цитированием
ТАНАТОЛОГ
сообщение 13.05.2016 - 22:41
Сообщение #11


Участник форума

Группа: СМЭ
Регистрация: 31.03.2010
Пользователь №: 20 887


Сразу оговорюсь, я гистолог-любитель, начинающий, но смотрели наши штатные гистологи, поэтому если что не обессудьте. Откуда в вене или лимф. сосуде такое содержимое?
Никаких кровоизлияний, более того, он анемичный.

Сообщение отредактировал ТАНАТОЛОГ - 13.05.2016 - 22:48
Пользователь offline
К началу страницы
+Ответить с цитированием
ТАНАТОЛОГ
сообщение 13.05.2016 - 22:55
Сообщение #12


Участник форума

Группа: СМЭ
Регистрация: 31.03.2010
Пользователь №: 20 887


Миокардита нет.
Пользователь offline
К началу страницы
+Ответить с цитированием
Медик
сообщение 13.05.2016 - 22:56
Сообщение #13


Учитель
Group Icon
Группа: Модераторы
Регистрация: 16.05.2010
Пользователь №: 21 553


Цитата(ТАНАТОЛОГ @ 13.05.2016 - 23:41)
Откуда в вене или лимф. сосуде такое содержимое?

Седьмое фото поставило меня в тупик. smile.gif
Интересно,что др.коллеги напишут.
Пользователь offline
К началу страницы
+Ответить с цитированием
ТАНАТОЛОГ
сообщение 13.05.2016 - 23:01
Сообщение #14


Участник форума

Группа: СМЭ
Регистрация: 31.03.2010
Пользователь №: 20 887


Цитата(Медик @ 13.05.2016 - 22:56)
Седьмое фото поставило меня в тупик. smile.gif
Интересно,что др.коллеги напишут.

Вы о чём улыбнулись?
Пользователь offline
К началу страницы
+Ответить с цитированием
Медик
сообщение 13.05.2016 - 23:04
Сообщение #15


Учитель
Group Icon
Группа: Модераторы
Регистрация: 16.05.2010
Пользователь №: 21 553


О том,что у меня ума не хватает разобраться.
Пользователь offline
К началу страницы
+Ответить с цитированием

2 страниц V  1 2 >



- Обратная связь Сейчас: 11.11.2025 - 01:06