Здравствуйте, гость ( Вход | Регистрация )

Форум судебных медиков России
 
>

Механизм образования продольного перелома локтевой кости

>
злата
сообщение 4.11.2016 - 14:41
Сообщение #1


Вновь прибывший

Группа: СМЭ
Регистрация: 30.01.2010
Пользователь №: 19 685


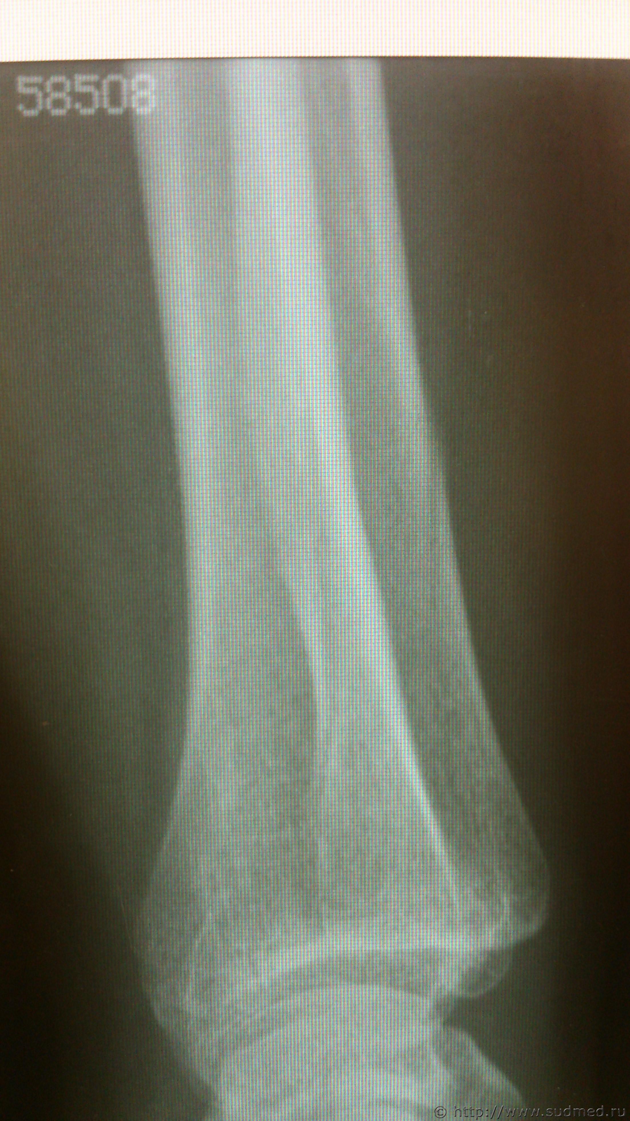
Здравствуйте, уважаемые коллеги! Возник вопрос по механизму образования перелома локтевой кости. Согласно описанию рентгенолога: «в нижней трети правой локтевой кости определяются два линейных просветления, направленных параллельно оси кости, шириной около 2,0 мм, с достаточно четкими контурами, без деформации оси кости, без видимой динамики рентгенологической картины между исследованиями (от 01.09.16 и от 07.10.16) – признаки консолидации не выявляются (отсутствует уплотнение костной структуры, костная мозоль не формируется)» Выводы: установлены признаки вертикального перелома правой локтевой кости в нижней трети без смещения отломков. Диагноз травмпункта: «Закрытый перелом ДМЭ правой локтевой кости со смещением отломков». По обстоятельствам - «нанес один удар деревянным стулом сверху-вниз, защищаясь от удара, лежа на кровати, подставила свою правую руку». Встречался ли кто-нибудь с такого рода переломами и есть ли соображения относительно механизма его образования.

Сообщение отредактировал злата - 4.11.2016 - 14:43


Эскизы прикрепленных изображений
Судебная медицина - Прикрепленное изображение Судебная медицина - Прикрепленное изображение Судебная медицина - Прикрепленное изображение Судебная медицина - Прикрепленное изображение
Пользователь offline
К началу страницы
+Ответить с цитированием
Anton
сообщение 4.11.2016 - 15:34
Сообщение #2


Мастер II

Группа: СМЭ
Регистрация: 6.12.2011
Из: Опорный край державы
Пользователь №: 30 279


Наружные повреждения? Не очень-то похоже на перелом, учитывая отсутствие динамики за 5 недель.
Пользователь offline
К началу страницы
+Ответить с цитированием
злата
сообщение 4.11.2016 - 16:25
Сообщение #3


Вновь прибывший

Группа: СМЭ
Регистрация: 30.01.2010
Пользователь №: 19 685


Цитата(Anton @ 4.11.2016 - 16:34)
Наружные повреждения? Не очень-то похоже на перелом, учитывая отсутствие динамики за 5 недель.

Из клиники: "отек, деформация в области правого лучезапястного сустава, отек правого предплечья и кисти, гематомы нет; движения ограничены, болезненны", отек и ограничения движений сохраняются в течение 3 недель. По поводу перелом это или нет, рентгенолог тоже сначала сомневался, но, ввиду отсутствия других возможный вариантов, решили, что это перелом с замедленной консолидацией.
Пользователь offline
К началу страницы
+Ответить с цитированием
barmen
сообщение 4.11.2016 - 16:39
Сообщение #4


Магистр форума

Группа: СМЭ
Регистрация: 30.10.2007
Пользователь №: 6 309


Очень похоже, что перелом образовался в результате воздействия травмирующей силы вдоль длинника кости (осевая нагрузка). Место приложения травмирующей силы - основание кисти (ладонная поверхность).
Пользователь offline
К началу страницы
+Ответить с цитированием
ordinator
сообщение 4.11.2016 - 16:55
Сообщение #5


Авторитетный участник

Группа: СМЭ
Регистрация: 12.01.2012
Из: РФ
Пользователь №: 30 884


Если это все-таки перелом, то похоже на "незавершенный" винт. Осевая нагрузка врядли, линия не доходит до суставной поверхности...
Пользователь offline
К началу страницы
+Ответить с цитированием
barmen
сообщение 4.11.2016 - 17:21
Сообщение #6


Магистр форума

Группа: СМЭ
Регистрация: 30.10.2007
Пользователь №: 6 309


Цитата(ordinator @ 4.11.2016 - 16:55)
Если это все-таки перелом, то похоже на "незавершенный" винт...

Диафиз кости имеет некоторую S-образность и поэтому именно при осевой нагрузке получается элемент кручения. Чистый "винт" локтевой кости практически невозможен - кости предплечья очень подвижны за счёт суставов + есть синдесмоз между ними и сломать одну кость при кручении не сломав вторую практически нереально.
Пользователь offline
К началу страницы
+Ответить с цитированием
Радомир
сообщение 4.11.2016 - 20:36
Сообщение #7


Мастер III
Group Icon
Группа: Модераторы
Регистрация: 30.11.2008
Из: Российская Федерация
Пользователь №: 11 273


Действие по оси кости. По аналогии с "переломом боксера" и т.п.
Пользователь offline
К началу страницы
+Ответить с цитированием
ordinator
сообщение 4.11.2016 - 20:40
Сообщение #8


Авторитетный участник

Группа: СМЭ
Регистрация: 12.01.2012
Из: РФ
Пользователь №: 30 884


Цитата(barmen @ 4.11.2016 - 17:21)
сломать одну кость при кручении не сломав вторую практически нереально.

Так она почти не сломана)))
Я считаю что здесь именно кручение, в комбинации с осевой нагрузкой. Натяжение связок и сухожилий + осевая, т.е. лучезапястный сустав в крайнем сгибании/разгибании и пронации/супинации.
Пользователь offline
К началу страницы
+Ответить с цитированием
злата
сообщение 4.11.2016 - 21:31
Сообщение #9


Вновь прибывший

Группа: СМЭ
Регистрация: 30.01.2010
Пользователь №: 19 685


Спасибо всем, больше склоняюсь к осевой нагрузке, хотя и смущает интактная суставная поверхность. Необходимо теперь уточнять обстоятельства травмы - в каком положении находилась рука потерпевшей в момент нанесения удара и куда именно он был нанесен
Пользователь offline
К началу страницы
+Ответить с цитированием
Радомир
сообщение 4.11.2016 - 21:47
Сообщение #10


Мастер III
Group Icon
Группа: Модераторы
Регистрация: 30.11.2008
Из: Российская Федерация
Пользователь №: 11 273


Цитата
смущает интактная суставная поверхность

Не стоит смущаться. При переломе луча в типичном месте, при переломах фаланг или пястных костей от осевой нагрузки суставная поверхность, нередко, рентгенологически интактна.
Пользователь offline
К началу страницы
+Ответить с цитированием
Клокин
сообщение 5.11.2016 - 15:13
Сообщение #11


Мастер I

Группа: СМЭ
Регистрация: 23.01.2008
Из: Сибирь
Пользователь №: 7 163


Обычны винт.
Пользователь offline
К началу страницы
+Ответить с цитированием




- Обратная связь Сейчас: 17.12.2025 - 06:13