Здравствуйте, гость ( Вход | Регистрация )

Форум судебных медиков России
 
>

Давность переломов ребер

>
Kiaran
сообщение 18.11.2016 - 19:29
Сообщение #1


Новичок

Группа: Участники
Регистрация: 2.09.2016
Пользователь №: 44 393


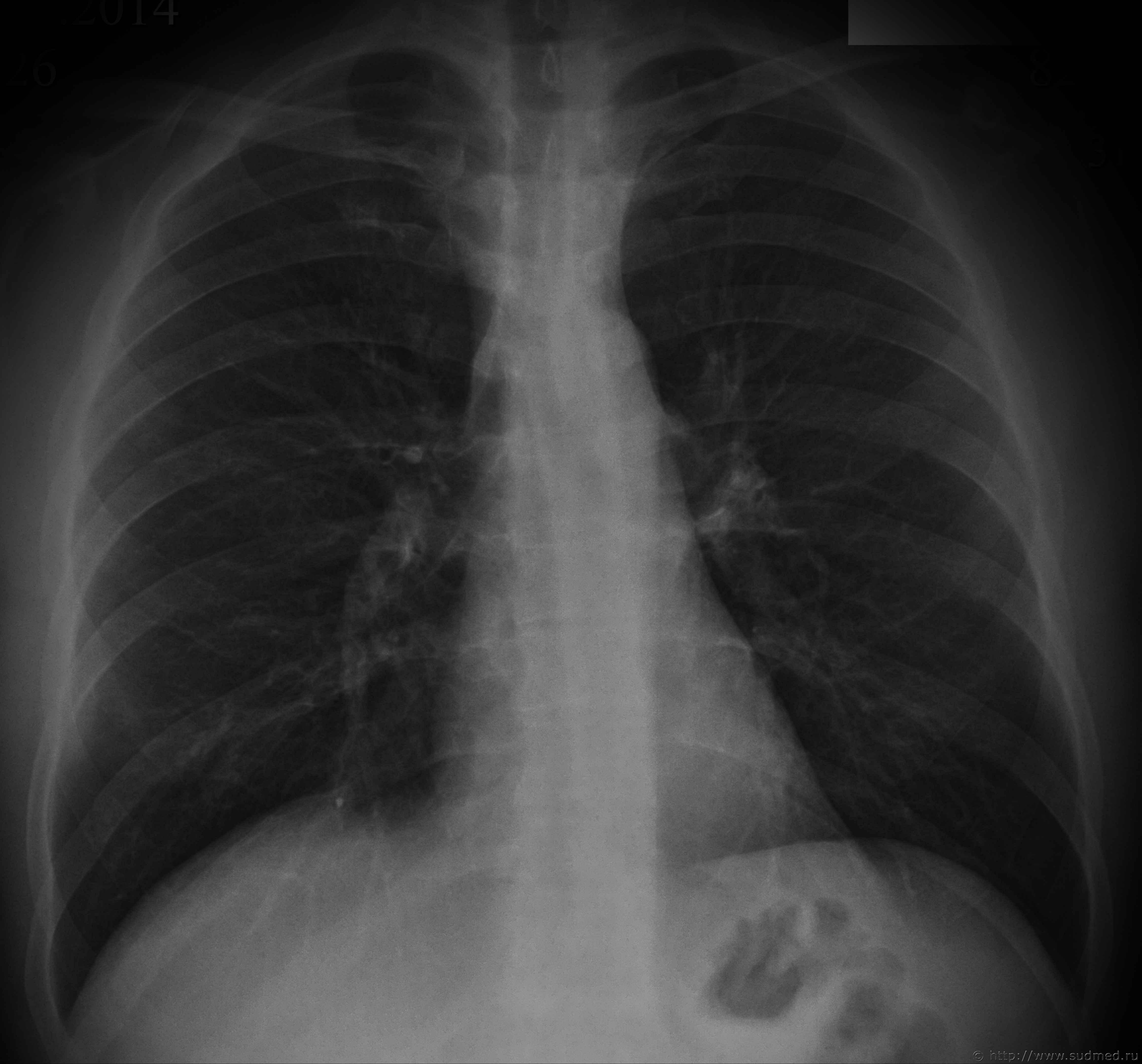
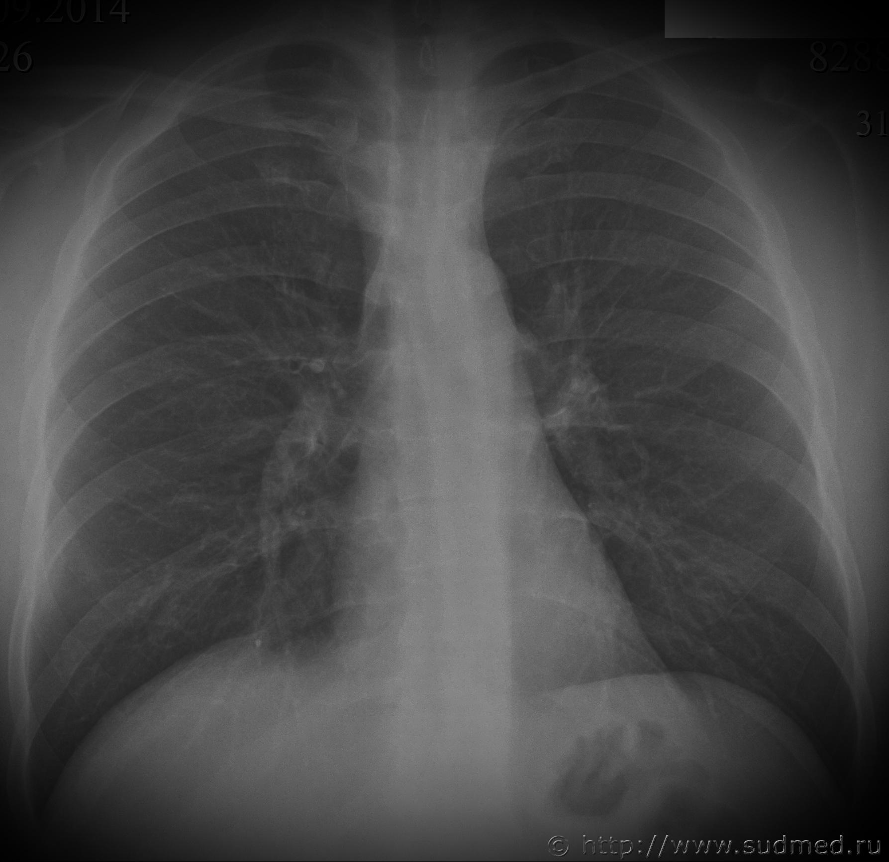
Некоторое время назад проводил экспертизу, у потерпевшего были переломы 8-10 ребер справа, ожидается что, может возникнуть вопрос по давности их образования, прикладываю предоставленные мне рентгеновские снимки. Какие мнения?


Эскизы прикрепленных изображений
Судебная медицина - Прикрепленное изображение Судебная медицина - Прикрепленное изображение Судебная медицина - Прикрепленное изображение
Пользователь offline
К началу страницы
+Ответить с цитированием
Anton
сообщение 18.11.2016 - 20:55
Сообщение #2


Мастер II

Группа: СМЭ
Регистрация: 6.12.2011
Из: Опорный край державы
Пользователь №: 30 279


Не могу разглядеть.
Пользователь offline
К началу страницы
+Ответить с цитированием
Радомир
сообщение 18.11.2016 - 21:53
Сообщение #3


Мастер III
Group Icon
Группа: Модераторы
Регистрация: 30.11.2008
Из: Российская Федерация
Пользователь №: 11 273


Изменений 8 и 10 ребер не вижу. Оч.похоже на посттравматическую деформацию (консолидированный перелом) 9 правого ребра между лопаточной и задней подмышечной линиями. Незначительная сглаженная "штыкообразная" деформация по верхнему и нижнему контурам ребра. Ступенеобразной деформации нет. Перерыва контура нет. Линия перелома не прослеживается. Костная структура восстановлена.
Если снимки сделаны на протяжении нескольких недель или более, то появляется еще один аргумент за давний перелом - отсутствие рентгенологических признаков динамики процесса (нет резорбции краев перелома и "расширения" его рентгенологической щели, нет появления и динамики костной мозоли).
Если же рентгенограммы сделаны относительно одномоментно (менее трех недель от даты предъявляемой травмы) и вопрос очень принципиален, то можно выполнить контрольные рентгенограммы: 1.правой половины грудной клетки в задней прямой проекции, 2.с выведением области интереса (вышеназванного изменения ребра) в краеобразующую зону. Тогда все станет еще более очевидно.

Пользователь offline
К началу страницы
+Ответить с цитированием
Kiaran
сообщение 2.12.2016 - 12:27
Сообщение #4


Новичок

Группа: Участники
Регистрация: 2.09.2016
Пользователь №: 44 393


Уважаемые коллеги добавляю ссылки на электронные варианты снимков и программу для их просмотра.
https://yadi.sk/d/tN2fpYVnzycQW
https://yadi.sk/d/Okze2wEUzycvM
Пользователь offline
К началу страницы
+Ответить с цитированием
Anton
сообщение 2.12.2016 - 12:43
Сообщение #5


Мастер II

Группа: СМЭ
Регистрация: 6.12.2011
Из: Опорный край державы
Пользователь №: 30 279


То же.
Пользователь offline
К началу страницы
+Ответить с цитированием
wera1985
сообщение 12.12.2016 - 19:58
Сообщение #6


Вновь прибывший

Группа: Пользователи
Регистрация: 12.12.2016
Пользователь №: 44 994


Цитата(Anton @ 2.12.2016 - 12:43)
То же.

Плоховато видно. Но я думаю недели три не меньше. Я бы, наверно обратилась за более компетентной помощью в ... (название организации - несанкционированная реклама. Прим.модератора). Мы тут все кажемся умными, но Вам же надо точный ответ, а его Вам даст только официальная судебно-медицинская экспертиза. Рентгеновские снимки лучше рассматривать в "живую" , а не таким образом.

____________
Полученное нарушение

Полученное нарушение: серьезное нарушение [+]
Причина: Нарушение п.8.17 Правил Форума судебных медиков.
Выдал: Радомир.
Истекает: через 30 дней.



Сообщение отредактировал Радомир - 12.12.2016 - 20:06
Пользователь offline
К началу страницы
+Ответить с цитированием
мужик с батоном
сообщение 18.12.2016 - 10:13
Сообщение #7


Претендент

Группа: Участники
Регистрация: 29.10.2012
Пользователь №: 34 504


На 9-м ребре справа по задней подмышечной линии имеется участок деформации - но "свежих" переломов я не вижу... А так как на обоих снимках в прямой проекции этот участок в тени другого ребра (передних отделов) - я вообще не стал бы заморачиваться - написав об отсутствии "свежих" костно-травматических изменений.
Пользователь offline
К началу страницы
+Ответить с цитированием
Vladex
сообщение 1.04.2017 - 14:10
Сообщение #8


Новичок

Группа: Участники
Регистрация: 29.06.2011
Пользователь №: 27 743


Консультация рентгеновских снимков находится в компетенции врачей-рентгенологов, а тем боле когда решается вопрос о давности травмы (даже если вы публикуете снимки в хорошем качестве). Если Вас не удовлетворяет консультация одного рентгенолога, обратитесь к другому (два мнения лучше одного, тем более, если они идентичные).
Пользователь offline
К началу страницы
+Ответить с цитированием
Norman
сообщение 2.04.2017 - 07:02
Сообщение #9


Авторитетный участник

Группа: СМЭ
Регистрация: 2.01.2010
Пользователь №: 19 127


Свежих переломов нет. Даже на счёт консолидированных - сомнительно, но полностью не исключаю (например, заживление перелома без смещения, либо не полного перелома). Как вариант, ходатайствовать копам о проведении КТ.
Пользователь offline
К началу страницы
+Ответить с цитированием




- Обратная связь Сейчас: 7.11.2025 - 07:44