Здравствуйте, гость ( Вход | Регистрация )

Форум судебных медиков России
 
>

Новообразование средостения

>
IVANNES
сообщение 21.11.2016 - 10:35
Сообщение #1


Опытный участник

Группа: СМЭ
Регистрация: 28.02.2015
Пользователь №: 41 483


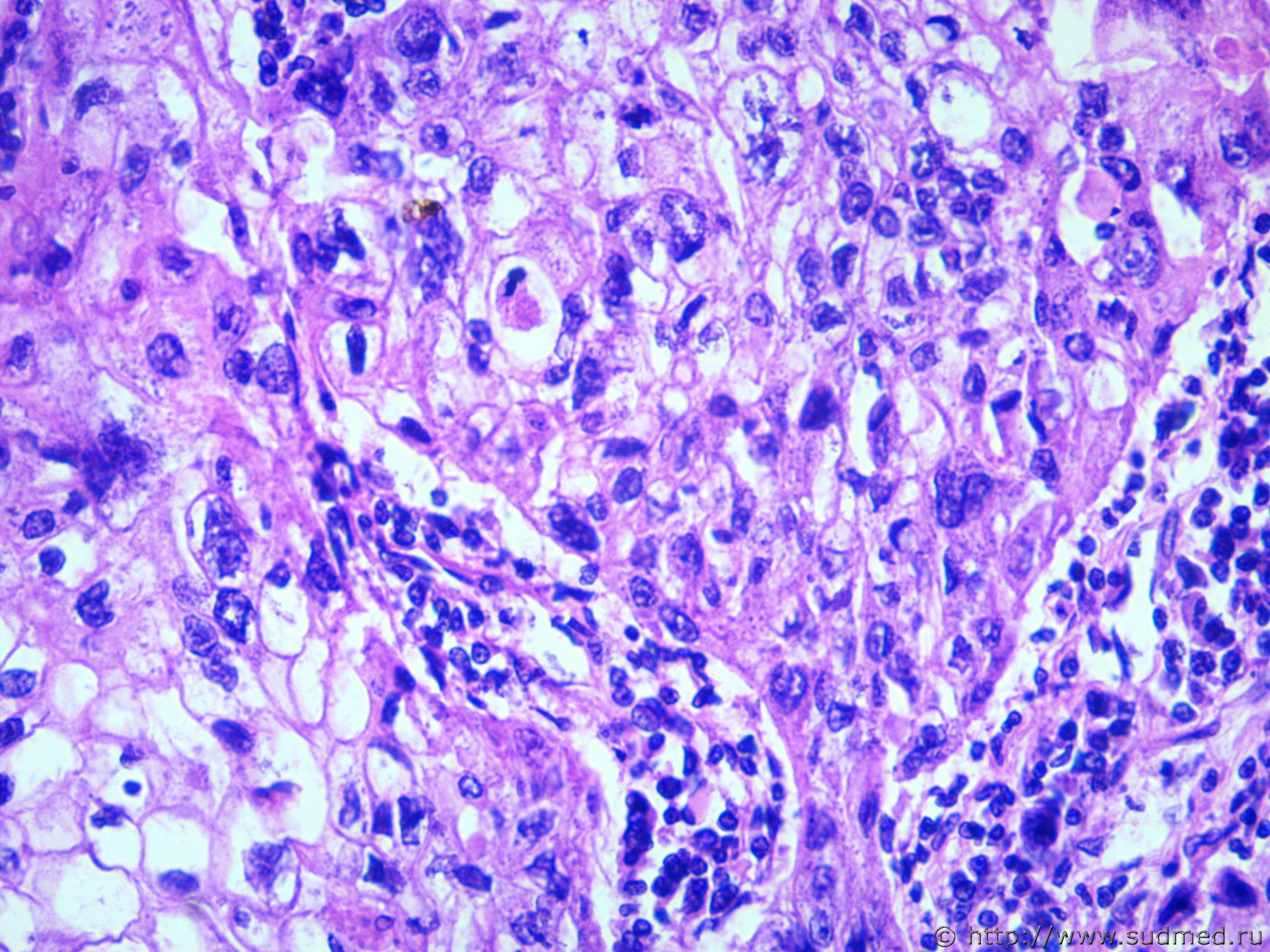
Судебная медицина - Прикрепленное изображениеСудебная медицина - Прикрепленное изображение

Сообщение отредактировал IVANNES - 21.11.2016 - 10:38
Пользователь offline
К началу страницы
+Ответить с цитированием
Медик
сообщение 21.11.2016 - 12:31
Сообщение #2


Учитель
Group Icon
Группа: Модераторы
Регистрация: 16.05.2010
Пользователь №: 21 553


Средостение переднее или заднее и каков возраст умершего ?
Похоже на метастаз плоскоклеточного рака в л/у.
Р.S.Спросили бы танатолога,что в гортани,пищеводе и лёгком ?

Сообщение отредактировал Медик - 21.11.2016 - 12:36
Пользователь offline
К началу страницы
+Ответить с цитированием
IVANNES
сообщение 21.11.2016 - 13:05
Сообщение #3


Опытный участник

Группа: СМЭ
Регистрация: 28.02.2015
Пользователь №: 41 483


Цитата(Медик @ 21.11.2016 - 12:31)
Средостение переднее или заднее и каков возраст умершего ?
Похоже на метастаз плоскоклеточного рака в л/у.
Р.S.Спросили бы танатолога,что в гортани,пищеводе и лёгком ?

Муж 66 лет. Переднее или заднее не указано. В мягких тканях средостения округлое образование. легкие без особенностей.
Пользователь offline
К началу страницы
+Ответить с цитированием
доктор морфолог
сообщение 22.11.2016 - 03:55
Сообщение #4


Мастер I

Группа: СМЭ
Регистрация: 5.12.2013
Пользователь №: 38 421


Тимома по типу В3. -периваскулярные щели инфильтрированы лимфоцитами - наблюдается некроз ,тканевой,клеточный и ядерный атипизм, гликогенофильность ввиде эозинофилии в строме и местами в цитоплазме эпителии опухоли. Возможно при жизни страдал миастенией...

Сообщение отредактировал доктор морфолог - 22.11.2016 - 04:02
Пользователь offline
К началу страницы
+Ответить с цитированием
Медик
сообщение 22.11.2016 - 09:37
Сообщение #5


Учитель
Group Icon
Группа: Модераторы
Регистрация: 16.05.2010
Пользователь №: 21 553


Категорически не согласен.
Вы видите трёхлопастные митозы ? Этот патологический митоз наиболее часто встречается у плоскоклеточных раков.
Вот фото добро- и зло тимом.Сравните с представленными на консультацию фото.


Эскизы прикрепленных изображений
Судебная медицина - Прикрепленное изображение Судебная медицина - Прикрепленное изображение Судебная медицина - Прикрепленное изображение Судебная медицина - Прикрепленное изображение Судебная медицина - Прикрепленное изображение Судебная медицина - Прикрепленное изображение Судебная медицина - Прикрепленное изображение
Пользователь offline
К началу страницы
+Ответить с цитированием
Медик
сообщение 22.11.2016 - 09:55
Сообщение #6


Учитель
Group Icon
Группа: Модераторы
Регистрация: 16.05.2010
Пользователь №: 21 553


Некоторые фото плоскоклеточного рака.


Эскизы прикрепленных изображений
Судебная медицина - Прикрепленное изображение Судебная медицина - Прикрепленное изображение Судебная медицина - Прикрепленное изображение
Пользователь offline
К началу страницы
+Ответить с цитированием
Медик
сообщение 22.11.2016 - 10:03
Сообщение #7


Учитель
Group Icon
Группа: Модераторы
Регистрация: 16.05.2010
Пользователь №: 21 553


Цитата(доктор морфолог @ 22.11.2016 - 04:55)
Тимома

Разве известно какое средостение и конкретная локализация (между перикардом и грудиной и т.д.) ?
А вдруг это опухоль заднего средостения или границы переднего средостения с задним (в области трахеальных,трахеобронхиальных л/у) тогда что ?

Сообщение отредактировал Медик - 22.11.2016 - 10:12
Пользователь offline
К началу страницы
+Ответить с цитированием
доктор морфолог
сообщение 22.11.2016 - 10:26
Сообщение #8


Мастер I

Группа: СМЭ
Регистрация: 5.12.2013
Пользователь №: 38 421


В первом вашем фото веретеноклеточная структура, а во втором фото плоскоклеточная структура согласен. Но в фото ТС анапластически тип( крупные светлоклеточные, округлыем плоские со смещением ядра с единичными патологическими митозами). Не исключается учитывая некроза метастатический генез. Но ТС утверждает только в средостении и больше нигде не видит. Однако в опухоли тимомы типа 3 периваскулярное расположение опухоли( вокруг синусоидов или бывает полисадность и перицитарность) указывает за тиомму типа 3.
Пользователь offline
К началу страницы
+Ответить с цитированием
Медик
сообщение 22.11.2016 - 10:38
Сообщение #9


Учитель
Group Icon
Группа: Модераторы
Регистрация: 16.05.2010
Пользователь №: 21 553


Цитата(доктор морфолог @ 22.11.2016 - 11:26)
ТС утверждает только в средостении и больше нигде не видит.

1.Нет детализации.Средостение - включает в себя много чего и делится на...
2."Утверждает" гистолог,но не танатолог.

Сообщение отредактировал Медик - 22.11.2016 - 10:40
Пользователь offline
К началу страницы
+Ответить с цитированием
доктор морфолог
сообщение 22.11.2016 - 11:50
Сообщение #10


Мастер I

Группа: СМЭ
Регистрация: 5.12.2013
Пользователь №: 38 421


Цитата(Медик @ 22.11.2016 - 13:38)
1.Нет детализации.Средостение - включает в себя много чего и делится на...
2."Утверждает" гистолог,но не танатолог.

Уважаемый Медик! Согласен с Вами полностью, там много чего... С уважением доктор морфолог.
Пользователь offline
К началу страницы
+Ответить с цитированием
IVANNES
сообщение 25.11.2016 - 12:15
Сообщение #11


Опытный участник

Группа: СМЭ
Регистрация: 28.02.2015
Пользователь №: 41 483


Добрый день, выяснили у танатолога что опухоль располагалась между дугой аорты и правым легким, прилежала к трахее, пищеводу отдельным узлом
Пользователь offline
К началу страницы
+Ответить с цитированием
Медик
сообщение 25.11.2016 - 13:19
Сообщение #12


Учитель
Group Icon
Группа: Модераторы
Регистрация: 16.05.2010
Пользователь №: 21 553


Судя по локализации,тимома "отпадает".
Что не напишите,трупу уже без разницы,но от тимомы ушёл бы.

Сообщение отредактировал Медик - 25.11.2016 - 13:20
Пользователь offline
К началу страницы
+Ответить с цитированием
Медик
сообщение 25.11.2016 - 13:26
Сообщение #13


Учитель
Group Icon
Группа: Модераторы
Регистрация: 16.05.2010
Пользователь №: 21 553


В помощь танатологу :
1.Если Вы определитесь,что это метастаз рака,танатолог может "сделать" С80.
2.Если "выдадите " какую-то первичную злокачественную опухоль - эта опухоль будет основным заболеванием и стоять во главе СМД в том случае,если она является основной (первоначальной) причиной смерти.

Сообщение отредактировал Медик - 25.11.2016 - 13:31
Пользователь offline
К началу страницы
+Ответить с цитированием




- Обратная связь Сейчас: 3.11.2025 - 01:56