Здравствуйте, гость ( Вход | Регистрация )

Форум судебных медиков России
>   Правила консультационного раздела >

ВНИМАНИЕ! Все сообщения проходят предварительную проверку модератором и только после этого появляются на форуме. Порядок работы раздела изложен в правилах форума.
Все консультации на форуме бесплатны, но если мы смогли вам помочь, вы можете поддержать наш проект (подробнее).

 
3 страниц V < 1 2 3  
>

Помогите с определением степени тяжести, Линейный перелом чешуи височной кости с переходом на счя двухсторонний

>
gavrilovkuz
сообщение 15.01.2017 - 09:03
Сообщение #31


Участник форума

Группа: Участники
Регистрация: 12.01.2017
Из: Сибиряк
Пользователь №: 45 234


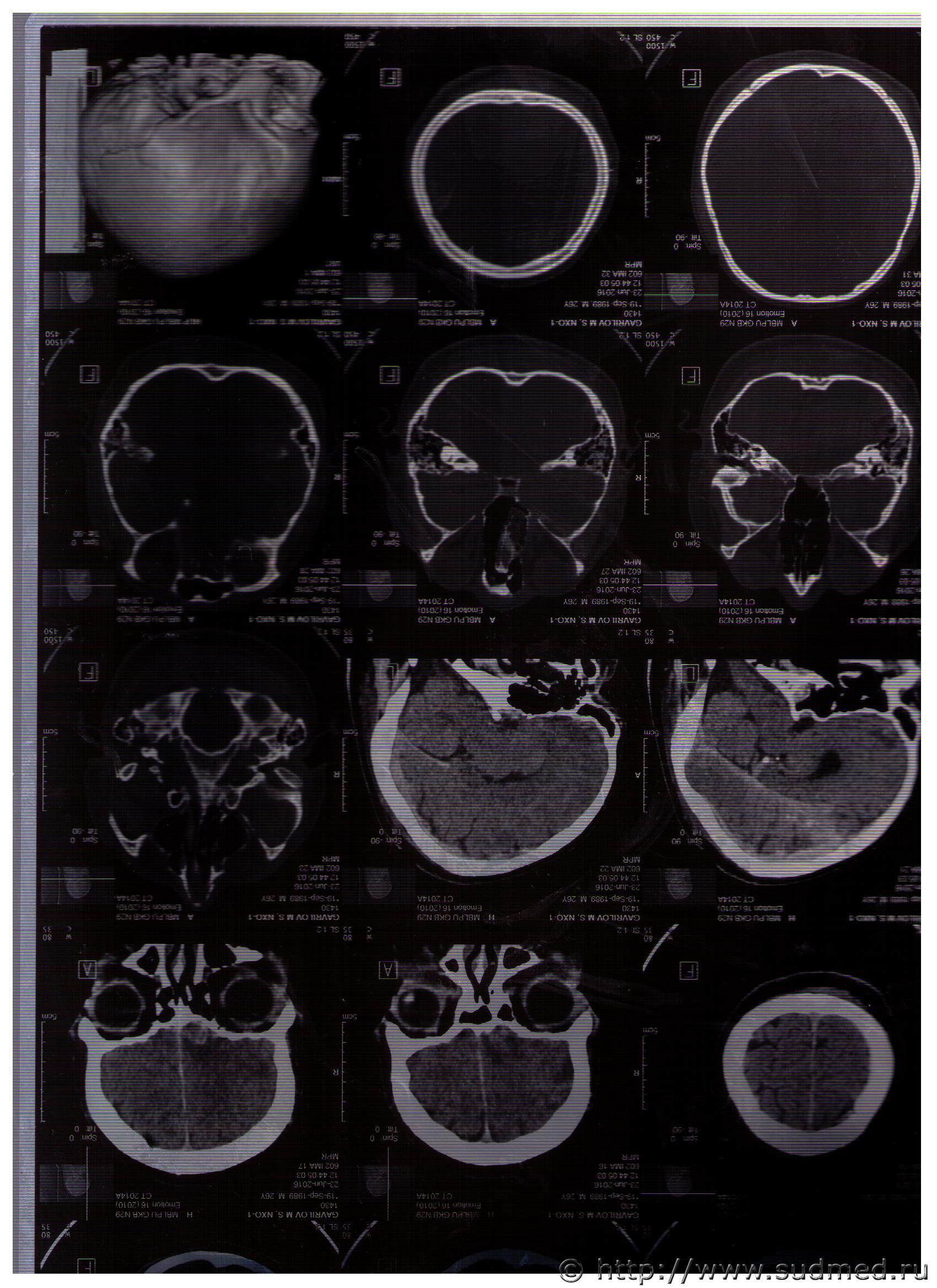
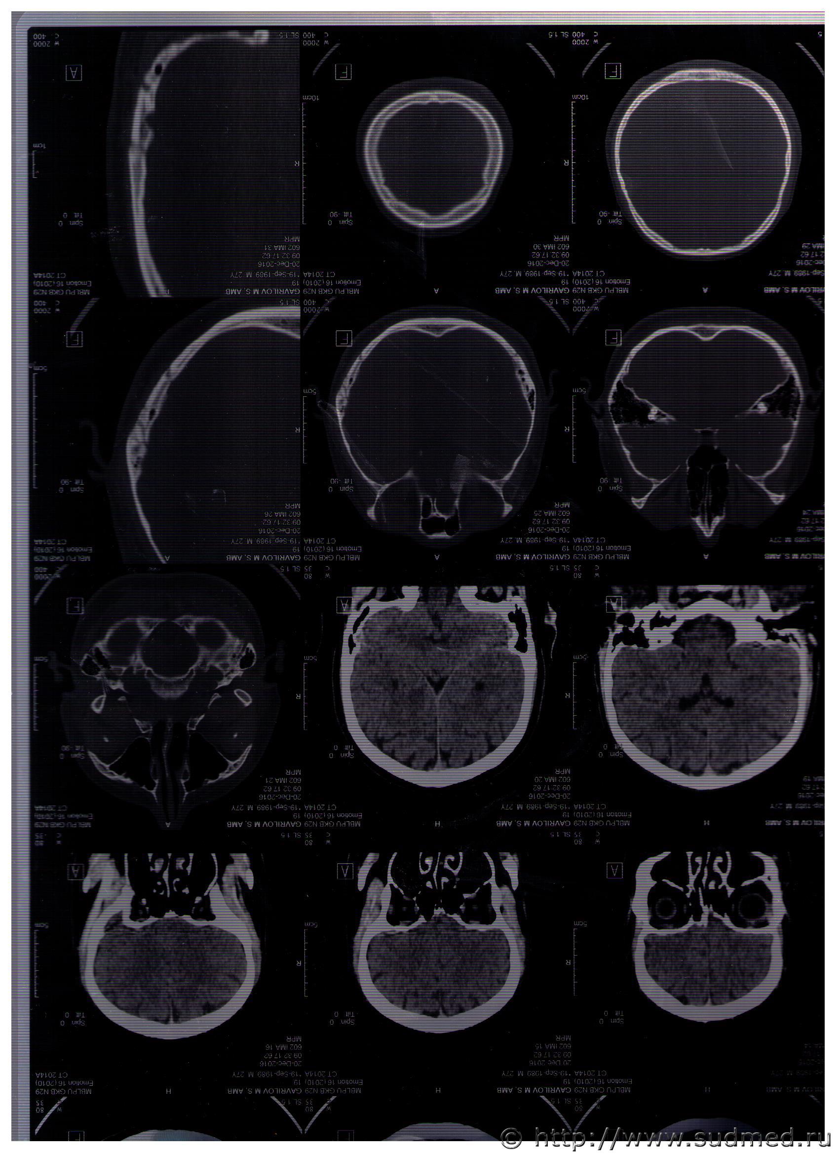
Судебная медицина - Прикрепленное изображение

Судебная медицина - Прикрепленное изображение

Судебная медицина - Прикрепленное изображение
Пользователь offline
К началу страницы
+Ответить с цитированием
gavrilovkuz
сообщение 15.01.2017 - 10:24
Сообщение #32


Участник форума

Группа: Участники
Регистрация: 12.01.2017
Из: Сибиряк
Пользователь №: 45 234


на скт организации где не увидели перелом,тоже в левой височной есть.Сканировать без дополнительной подсветки не получается. Выходит рентгенолог ошибся.
Пользователь offline
К началу страницы
+Ответить с цитированием
Радомир
сообщение 15.01.2017 - 10:31
Сообщение #33


Мастер III
Group Icon
Группа: Модераторы
Регистрация: 30.11.2008
Из: Российская Федерация
Пользователь №: 11 273


Перелома не видно. Возможно, что из-за оч.заметной потерия качества изображения при сканировании и электронной передаче снимков.
Обычно на пленке распечатывается несколько десятков сканов, при том, что их выполняется от полутора до трех-пяти сотен. Рекомендую взять ВСЕ сканы ВСЕХ КТ в цифровом виде (на CD или флешке) из КТ-архива (в костном режиме - ВСЕ строго обязательно!) и проконсультировать их у высококвалифицированного рентгенолога. Как я уже писал Вам ранее, появится значительно больше информации, в т.ч. возможность эффективно работать с изображениями, строить реформации в необходимых проекциях и т.д.
Без этого будет пустое топтание на месте с перепиской здесь на уровне ("я верю, что перелом есть, мне несколько врачей про это сказали" - "не видно, но может быть"). При том, что время в процессе работает не на Вас.
Пользователь offline
К началу страницы
+Ответить с цитированием
gavrilovkuz
сообщение 15.01.2017 - 10:33
Сообщение #34


Участник форума

Группа: Участники
Регистрация: 12.01.2017
Из: Сибиряк
Пользователь №: 45 234


Благодарю Всех за консультации.Тема закрыта.
Пользователь offline
К началу страницы
+Ответить с цитированием
Радомир
сообщение 15.01.2017 - 10:36
Сообщение #35


Мастер III
Group Icon
Группа: Модераторы
Регистрация: 30.11.2008
Из: Российская Федерация
Пользователь №: 11 273


Ответы даны.
Тема закрыта.
Пользователь offline
К началу страницы
+Ответить с цитированием
gavrilovkuz
сообщение 17.01.2017 - 11:43
Сообщение #36


Участник форума

Группа: Участники
Регистрация: 12.01.2017
Из: Сибиряк
Пользователь №: 45 234


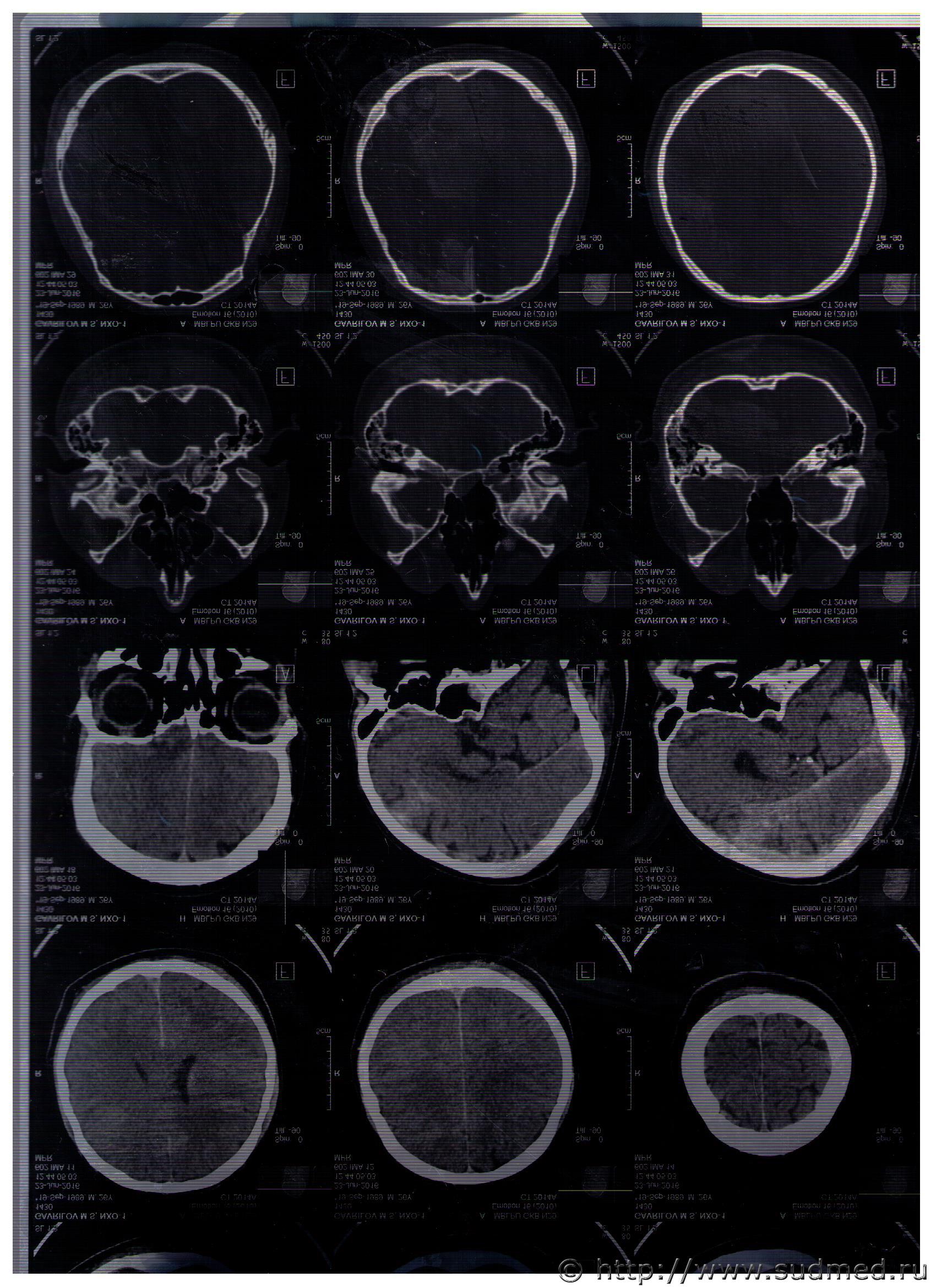
Судебная медицина - Прикрепленное изображение
Пользователь offline
К началу страницы
+Ответить с цитированием
Anton
сообщение 17.01.2017 - 13:31
Сообщение #37


Мастер II

Группа: СМЭ
Регистрация: 6.12.2011
Из: Опорный край державы
Пользователь №: 30 279


Описание соответствует тяжкому вреду здоровья. Осталось все это эксперту увидеть воочию.
Сомнение в том, что расхождение черепных швов, как правило, продолжение локальных переломов, а не наоборот.
Пользователь offline
К началу страницы
+Ответить с цитированием
gavrilovkuz
сообщение 17.01.2017 - 13:50
Сообщение #38


Участник форума

Группа: Участники
Регистрация: 12.01.2017
Из: Сибиряк
Пользователь №: 45 234


Уважаемые эксперты,я не врач.Однако рентгенолог описавший скт это и ещё 2 других которые я выкладывал лучший сосудистый хирург города,он и мрт расписывал одно из выложенных.
смэ
3 675 сообщений
Из классики: швы свода черепа - наиболее прочные на разрыв части черепа. Отсюда правило - расхождение шва есть место приложения силы. Имеется переход расхождения в линейный перелом, то это происходит именно в этом порядке, т.е. расхождение шва переходит в перелом, но не наоборот.

Как у каждого порядочного правила имеются замечания и исключения:
1. Надо вести речь именно о расхождении шва, а не переломе по ходу шва.
2. Это правило применимо только к своду черепа
3. Есть одно исключение: линейный перелом затылочной кости может переходить в расхождение стреловидного шва, то тогда он будет входить в расхождение точно через вершину лямбды. Напротив: расходение стреловидного шва может переходить в перелом затылочной кости, но при этом никогда не переходит через вершину лямбды, а огибает ее и пересекая одну из ветвей лямбдовидного шва.
Это тогда что?Эксперт неопытный?)
Пользователь offline
К началу страницы
+Ответить с цитированием
gavrilovkuz
сообщение 17.01.2017 - 19:10
Сообщение #39


Участник форума

Группа: Участники
Регистрация: 12.01.2017
Из: Сибиряк
Пользователь №: 45 234


Всем огромная благодарность и признательность.Уважаемые эксперты,Вы делаете очень серьёзное и нужное дело.К сожалению мне с экспертами не повезло.)Поменяю.Пожалуй на этом тему можно закрыть.
Пользователь offline
К началу страницы
+Ответить с цитированием
Медик
сообщение 17.01.2017 - 20:11
Сообщение #40


Учитель
Group Icon
Группа: Модераторы
Регистрация: 16.05.2010
Пользователь №: 21 553


Цитата(gavrilovkuz @ 17.01.2017 - 20:10)
Всем огромная благодарность и признательность.

Тема закрыта.
Пользователь offline
К началу страницы
+Ответить с цитированием

3 страниц V < 1 2 3



- Обратная связь Сейчас: 5.11.2025 - 19:27