Здравствуйте, гость ( Вход | Регистрация )

Форум судебных медиков России
 
>

киста в мозге

>
yavtanke
сообщение 17.01.2017 - 16:41
Сообщение #1


Вновь прибывший

Группа: Участники
Регистрация: 26.09.2013
Пользователь №: 37 787


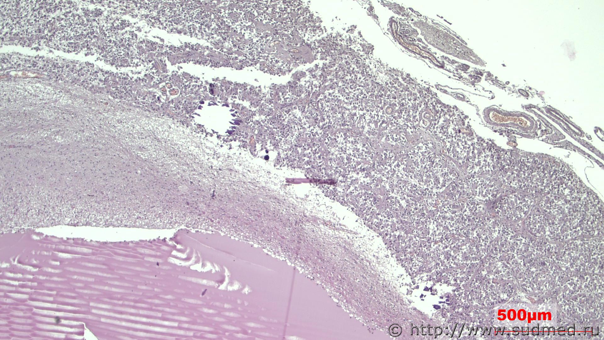
Помогите определить подробнее что это.
Киста с желеобразным беловатым содержимым около 1 см диаметром. На передней поверхности ствола мозга между мостом и средним мозгом. Мужчина, 39 лет.


Эскизы прикрепленных изображений
Судебная медицина - Прикрепленное изображение Судебная медицина - Прикрепленное изображение Судебная медицина - Прикрепленное изображение
Пользователь offline
К началу страницы
+Ответить с цитированием
доктор морфолог
сообщение 17.01.2017 - 19:37
Сообщение #2


Мастер I

Группа: СМЭ
Регистрация: 5.12.2013
Пользователь №: 38 421


Похожи на карциному сосудистого сплетения. Киста без эпителтальной выстилки называется псевдокистой. Да имеется кистозная полость.
Пользователь offline
К началу страницы
+Ответить с цитированием
Медик
сообщение 17.01.2017 - 20:30
Сообщение #3


Учитель
Group Icon
Группа: Модераторы
Регистрация: 16.05.2010
Пользователь №: 21 553


1.Киста без эпителиальной выстилки.
2.Метастаз рака.
3.Что в лёгких ?

Сообщение отредактировал Медик - 17.01.2017 - 20:31
Пользователь offline
К началу страницы
+Ответить с цитированием
Narayan
сообщение 17.01.2017 - 23:29
Сообщение #4


Новичок

Группа: Участники
Регистрация: 25.08.2016
Пользователь №: 44 359


Мне вообще похоже на безпегментную меланому.)
Пользователь offline
К началу страницы
+Ответить с цитированием
Медик
сообщение 18.01.2017 - 09:31
Сообщение #5


Учитель
Group Icon
Группа: Модераторы
Регистрация: 16.05.2010
Пользователь №: 21 553


Показал коллегам,они согласны с Вашим мнением.
Пользователь offline
К началу страницы
+Ответить с цитированием
Медик
сообщение 18.01.2017 - 09:59
Сообщение #6


Учитель
Group Icon
Группа: Модераторы
Регистрация: 16.05.2010
Пользователь №: 21 553


Вот она.
Похожа ?
Аналогичное альвеолярное строение.

Сообщение отредактировал Медик - 18.01.2017 - 10:01


Эскизы прикрепленных изображений
Судебная медицина - Прикрепленное изображение
Пользователь offline
К началу страницы
+Ответить с цитированием
доктор морфолог
сообщение 18.01.2017 - 12:08
Сообщение #7


Мастер I

Группа: СМЭ
Регистрация: 5.12.2013
Пользователь №: 38 421


Цитата(Медик @ 18.01.2017 - 12:59)
Вот она.
Похожа ?
Аналогичное альвеолярное строение.

В вашем фото есть уродлиыве ядра, а у ТС нет. Альвеолярный рисунок сосудистой стенкой. Эпителиальная субэпендимома с кальцификацией и псевдокист в г/м, учитывая вблизи желудочков и сосудистого сплетения.

Сообщение отредактировал доктор морфолог - 18.01.2017 - 13:01
Пользователь offline
К началу страницы
+Ответить с цитированием
yavtanke
сообщение 18.01.2017 - 12:53
Сообщение #8


Вновь прибывший

Группа: Участники
Регистрация: 26.09.2013
Пользователь №: 37 787


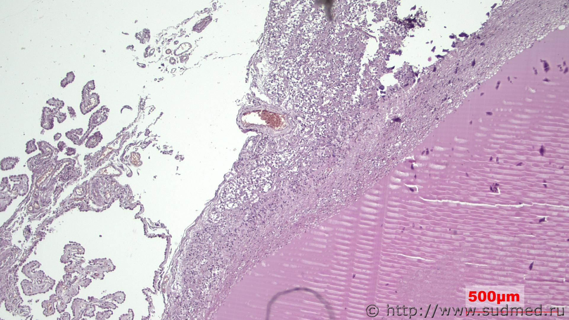
Эпителий


Эскизы прикрепленных изображений
Судебная медицина - Прикрепленное изображение
Пользователь offline
К началу страницы
+Ответить с цитированием
доктор морфолог
сообщение 18.01.2017 - 13:42
Сообщение #9


Мастер I

Группа: СМЭ
Регистрация: 5.12.2013
Пользователь №: 38 421


Да, эпителий. Выстилка с эпителиями - истинная киста считается. Важно, указать локализацию, диаметр опухоли и имеется ли кистозное сообщение или изолированная киста.
Пользователь offline
К началу страницы
+Ответить с цитированием




- Обратная связь Сейчас: 6.11.2025 - 15:24