Здравствуйте, гость ( Вход | Регистрация )

Форум судебных медиков России
 
>

Прошу помощи

>
Асмодей
сообщение 12.04.2017 - 08:53
Сообщение #1


Опытный участник

Группа: СМЭ
Регистрация: 16.06.2015
Пользователь №: 42 102


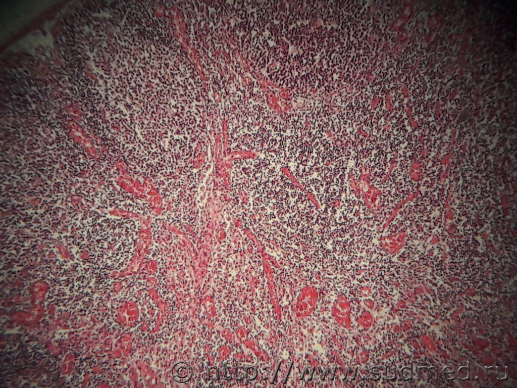
Здравствуйте, уважаемые коллеги. Имею очень мало опыта в гистологии. Возник следующий случай. Девочка полутора лет, родилась недоношенная, отставала в развитии, по каким-то идейным взглядом никакие прививки не получала, за помощью в мед. учреждения родители не обращались. В амбулаторной карте есть только несколько записей по патронажам и посещениям педиатра на дому. Умерла дома, скоропостижно. Больше никакой информации не имею. Подскажите, не похоже ли это на вирусную инфекцию, интерстициальную пневмонию? Как расценивать инфильтрацию в слюнной железе?Судебная медицина - Прикрепленное изображение Судебная медицина - Прикрепленное изображениеСудебная медицина - Прикрепленное изображениеСудебная медицина - Прикрепленное изображение
Судебная медицина - Прикрепленное изображение

На вскрытии эксперт отметил отставание в весе и росте, несколько увеличенные шейные лимфоузлы.
Судебная медицина - Прикрепленное изображение

К сожалению, не могу больше фото прикрепить, хотел еще лимфатический узел, селезенку и печень добавить.
Пользователь offline
К началу страницы
+Ответить с цитированием
Асмодей
сообщение 12.04.2017 - 09:18
Сообщение #2


Опытный участник

Группа: СМЭ
Регистрация: 16.06.2015
Пользователь №: 42 102


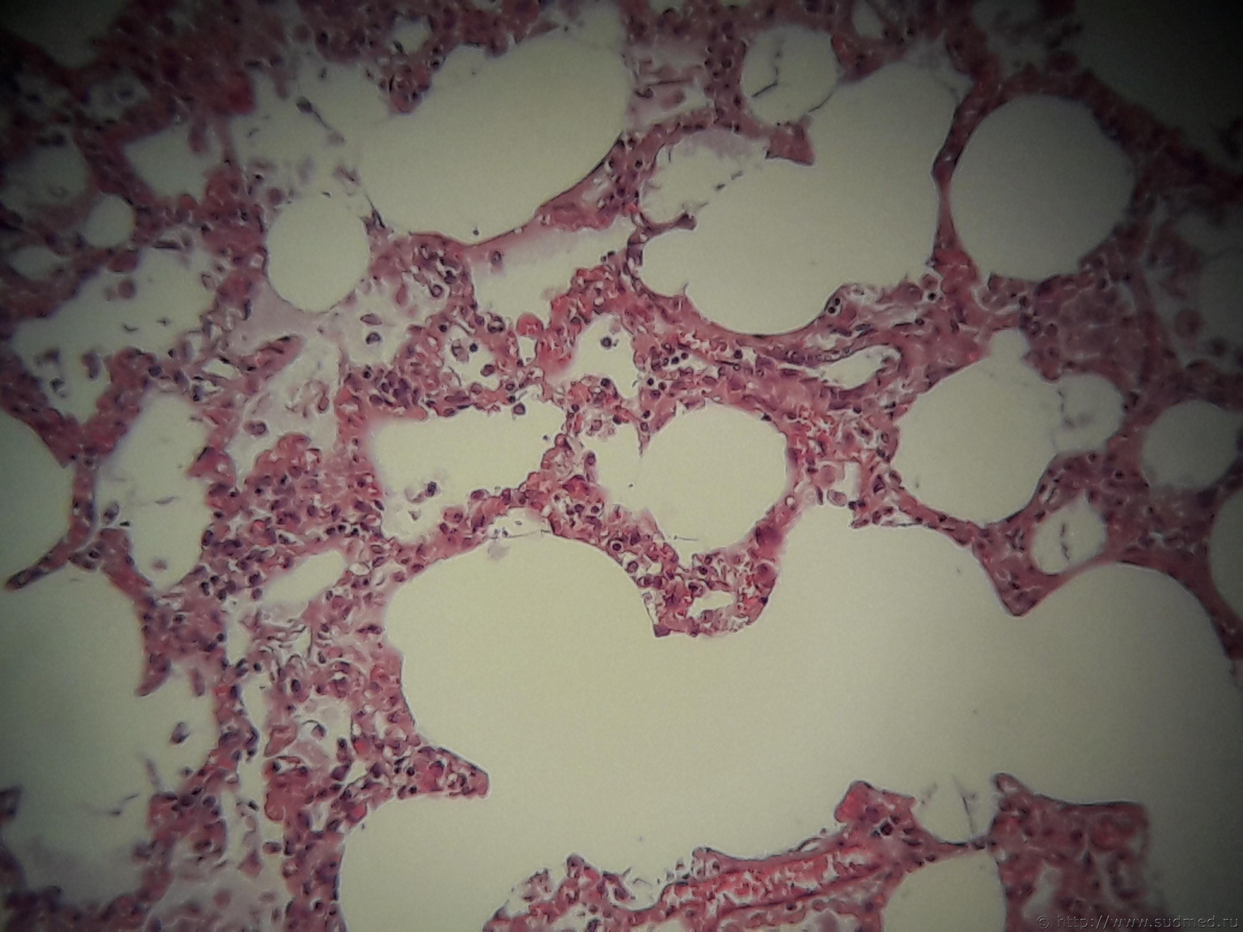
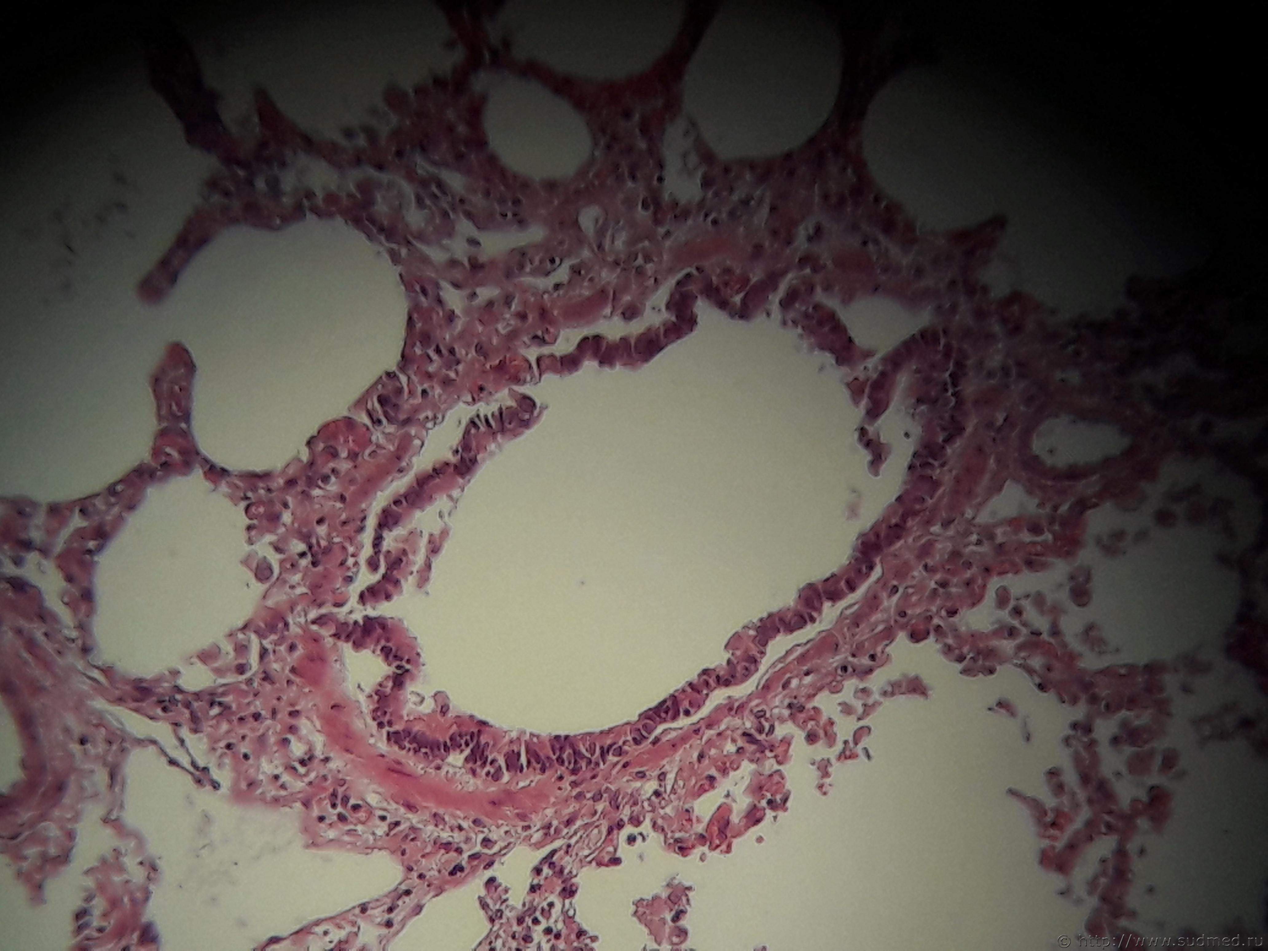
Извините за качество Судебная медицина - Прикрепленное изображение Судебная медицина - Прикрепленное изображениеСудебная медицина - Прикрепленное изображение

Сообщение отредактировал Асмодей - 12.04.2017 - 09:19
Пользователь offline
К началу страницы
+Ответить с цитированием
Медик
сообщение 12.04.2017 - 09:44
Сообщение #3


Учитель
Group Icon
Группа: Модераторы
Регистрация: 16.05.2010
Пользователь №: 21 553


Цитата(Асмодей @ 12.04.2017 - 09:53)

интерстициальную пневмонию
Как расценивать инфильтрацию в слюнной железе?

1.Это она.
2.Не могу разглядеть какими клетками представлен воспалительный инфильтрат.
Воспаление слюнной железы называется сиалоаденит.Для морфологического уточнения следует знать клеточный состав инфильтрата.
Р.S.Не смог открыть все файлы.

Сообщение отредактировал Медик - 12.04.2017 - 09:53
Пользователь offline
К началу страницы
+Ответить с цитированием
Асмодей
сообщение 12.04.2017 - 09:54
Сообщение #4


Опытный участник

Группа: СМЭ
Регистрация: 16.06.2015
Пользователь №: 42 102


Инфильтрация круглоклеточная, лейкоцитов я там не увидел. Можно ли в таком случае в предположительной форме высказаться о вирусной этиологии?
Пользователь offline
К началу страницы
+Ответить с цитированием
доктор морфолог
сообщение 13.04.2017 - 23:21
Сообщение #5


Мастер I

Группа: СМЭ
Регистрация: 5.12.2013
Пользователь №: 38 421


Цитата(Асмодей @ 12.04.2017 - 12:54)
Инфильтрация круглоклеточная, лейкоцитов я там не увидел. Можно ли в таком случае в предположительной форме высказаться о вирусной этиологии?

Ув. Медик все правильно изложил на счет диагнозов. А этиологию кроме вирусной никак другой м.б.в Вашем случае. Наблюдается реактивная гиперплазия фолликулов селезенки на вирусную инфекцию, иммунный ответ по гуморальному типу.Кроме интерстиальной пневмонии, отек и десквамация алвеолоцитов, дистелектазы,полнокровие. Тимус где?
Пользователь offline
К началу страницы
+Ответить с цитированием
Асмодей
сообщение 14.04.2017 - 10:49
Сообщение #6


Опытный участник

Группа: СМЭ
Регистрация: 16.06.2015
Пользователь №: 42 102


Тимус, но в нем я нашел только одно слоистое тельце, и оно гигантское, обычных телец Гассаля не увидел. Судебная медицина - Прикрепленное изображение Судебная медицина - Прикрепленное изображение
Еще нашел подозрительный участок в миокарде, но только один, можно ли это расценивать как инфильтрацию, а, следовательно, и как миокардит?Судебная медицина - Прикрепленное изображение
В почках тоже, на мой взгляд, картина не совсем обычная. Судебная медицина - Прикрепленное изображение
Пользователь offline
К началу страницы
+Ответить с цитированием
Anton
сообщение 14.04.2017 - 12:42
Сообщение #7


Мастер II

Группа: СМЭ
Регистрация: 6.12.2011
Из: Опорный край державы
Пользователь №: 30 279


Это врожденная инфекция. Этиологию вряд ли возьмете без иммунологии или маминого обследования.
Пользователь offline
К началу страницы
+Ответить с цитированием
доктор морфолог
сообщение 15.04.2017 - 10:25
Сообщение #8


Мастер I

Группа: СМЭ
Регистрация: 5.12.2013
Пользователь №: 38 421


Цитата(Асмодей @ 14.04.2017 - 13:49)
Тимус, но в нем я нашел только одно слоистое тельце, и оно гигантское, обычных телец Гассаля не увидел. Судебная медицина - Прикрепленное изображение Судебная медицина - Прикрепленное изображение
Еще нашел подозрительный участок в миокарде, но только один, можно ли это расценивать как инфильтрацию, а, следовательно, и как миокардит?Судебная медицина - Прикрепленное изображение
В почках тоже, на мой взгляд, картина не совсем обычная. Судебная медицина - Прикрепленное изображение

На тимус не похожи, больше похожи на лимфоидную ткань с фолликулярной гиперплазией. Лейкемоидная реакция какая то....

Сообщение отредактировал доктор морфолог - 15.04.2017 - 10:33
Пользователь offline
К началу страницы
+Ответить с цитированием
Медик
сообщение 15.04.2017 - 18:47
Сообщение #9


Учитель
Group Icon
Группа: Модераторы
Регистрация: 16.05.2010
Пользователь №: 21 553


Цитата(Асмодей @ 12.04.2017 - 10:54)
лейкоцитов я там не увидел.

Нейтрофильных.
Пользователь offline
К началу страницы
+Ответить с цитированием
jaklin
сообщение 21.04.2017 - 22:06
Сообщение #10


Продвинутый участник

Группа: СМЭ
Регистрация: 22.07.2011
Пользователь №: 28 038


Доброго времени суток, коллеги!
А мне непонятны крупные клетки в альвеолах -макрофаги?- (очень хорошо видны на втором снимке).Разъясните, пожалуйста!
Спасибо!
Пользователь offline
К началу страницы
+Ответить с цитированием
доктор морфолог
сообщение 22.04.2017 - 05:29
Сообщение #11


Мастер I

Группа: СМЭ
Регистрация: 5.12.2013
Пользователь №: 38 421


Цитата(jaklin @ 22.04.2017 - 01:06)
Доброго времени суток, коллеги!
А мне непонятны крупные клетки в альвеолах -макрофаги?- (очень хорошо видны на втором снимке).Разъясните, пожалуйста!
Спасибо!

Добрый день jaklin! Эти клетки не цитомегалы, а десквамированные альвелоциты макрофаги не из свободноциркулирующих моноцитов, а из фиксированных или местных альвеолоцитов.Однако у детей такое м.б.при пороках сердца и их называют клетками макрофагами сердечного порока в том случае, если цитоплазма напряжена гемосидерином. Но в данном примере этого не наблюдается, т.е.здесь больше эозинофильная цитоплазма....А по лимфатическим узлам в этих рисунках на пока наблюдается псевдолимфоматозная фолликулярная гиперплазия. Где тимус и это не тимус... и там не гигантское тельце Гассаля.

Сообщение отредактировал доктор морфолог - 22.04.2017 - 05:31
Пользователь offline
К началу страницы
+Ответить с цитированием
jaklin
сообщение 25.04.2017 - 15:50
Сообщение #12


Продвинутый участник

Группа: СМЭ
Регистрация: 22.07.2011
Пользователь №: 28 038


Цитата(доктор морфолог @ 22.04.2017 - 05:29)
Добрый день jaklin! Эти клетки не цитомегалы, а десквамированные альвелоциты макрофаги не из свободноциркулирующих моноцитов, а из фиксированных или местных альвеолоцитов.Однако у детей такое м.б.при пороках сердца и их называют клетками макрофагами сердечного порока в том случае, если цитоплазма напряжена гемосидерином. Но в данном примере этого не наблюдается, т.е.здесь больше эозинофильная цитоплазма....А по лимфатическим узлам в этих рисунках на пока наблюдается псевдолимфоматозная фолликулярная гиперплазия. Где тимус и это не тимус... и там не гигантское тельце Гассаля.


Спасибо, коллега.
Пользователь offline
К началу страницы
+Ответить с цитированием




- Обратная связь Сейчас: 9.11.2025 - 00:05