Здравствуйте, гость ( Вход | Регистрация )

Форум судебных медиков России
 
>

Нужна помощь, Опухоль легкого?

>
IVANNES
сообщение 6.06.2017 - 14:39
Сообщение #1


Опытный участник

Группа: СМЭ
Регистрация: 28.02.2015
Пользователь №: 41 483


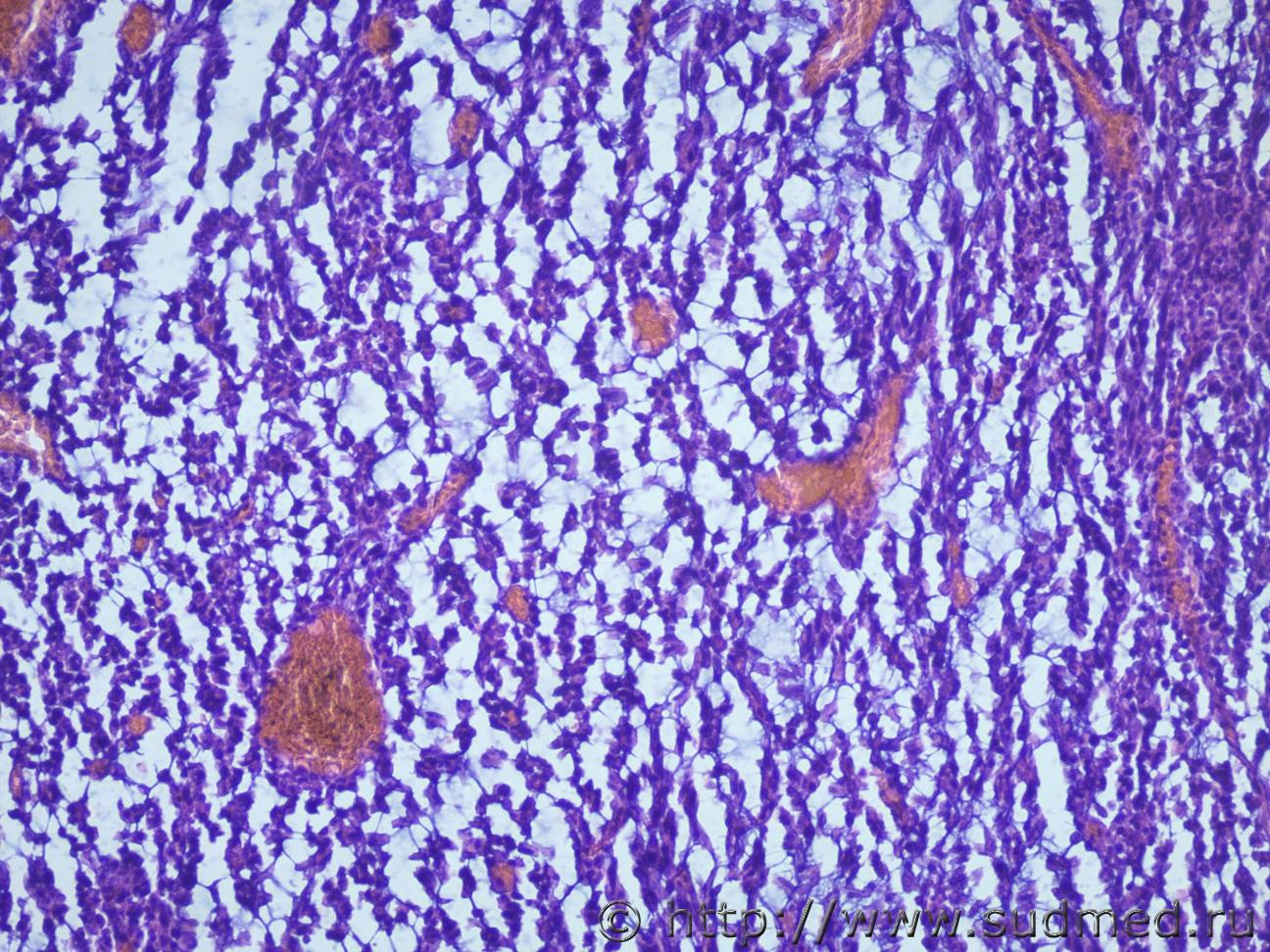
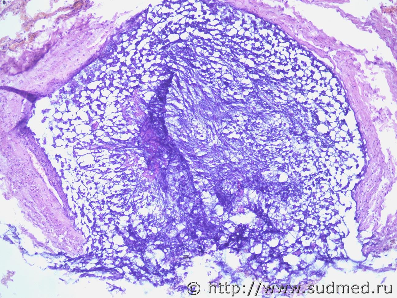
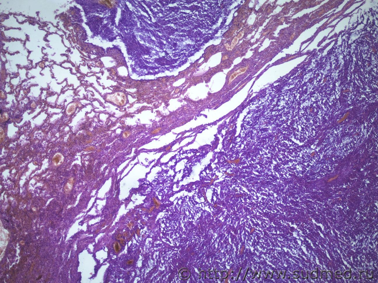
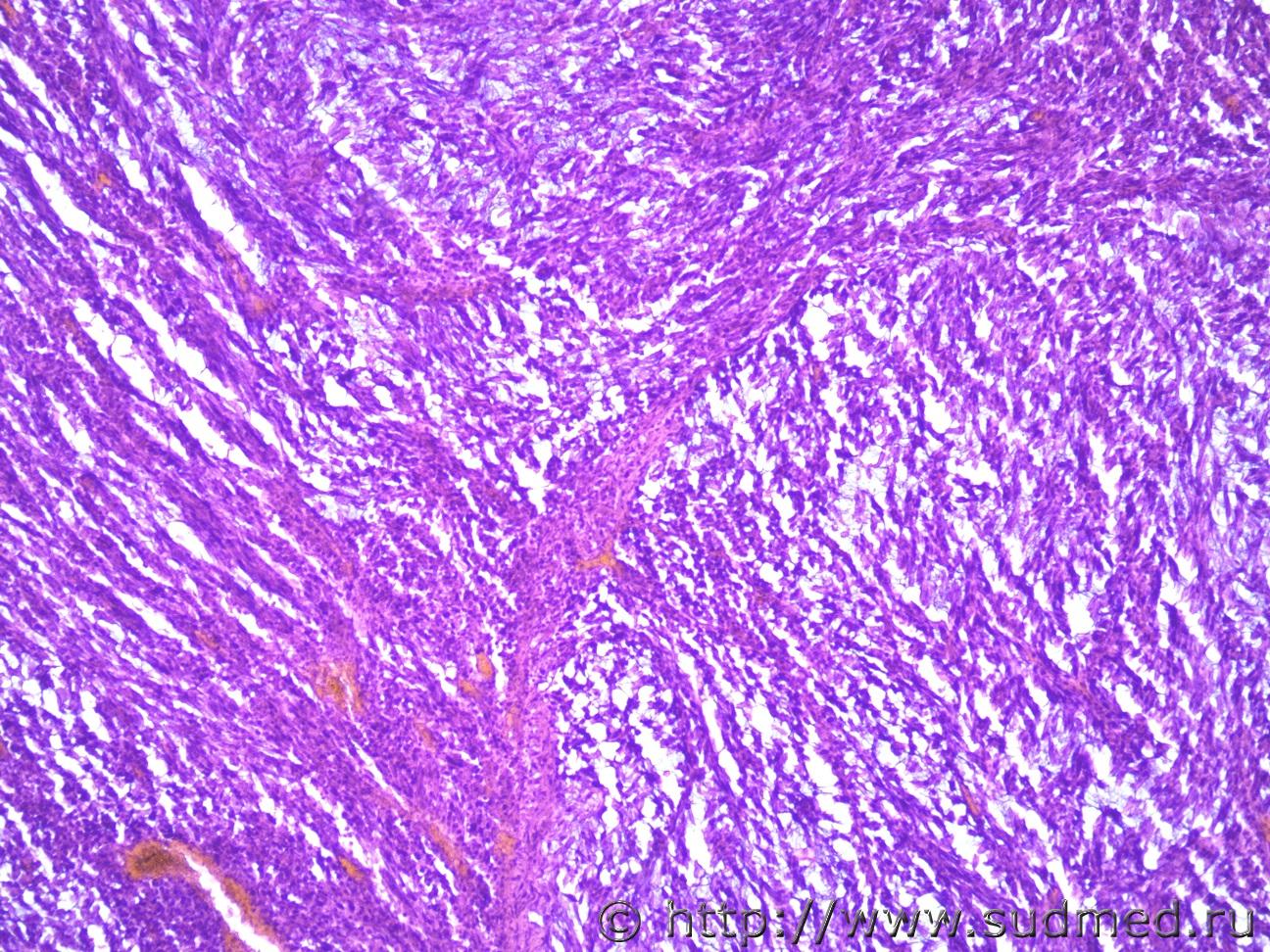
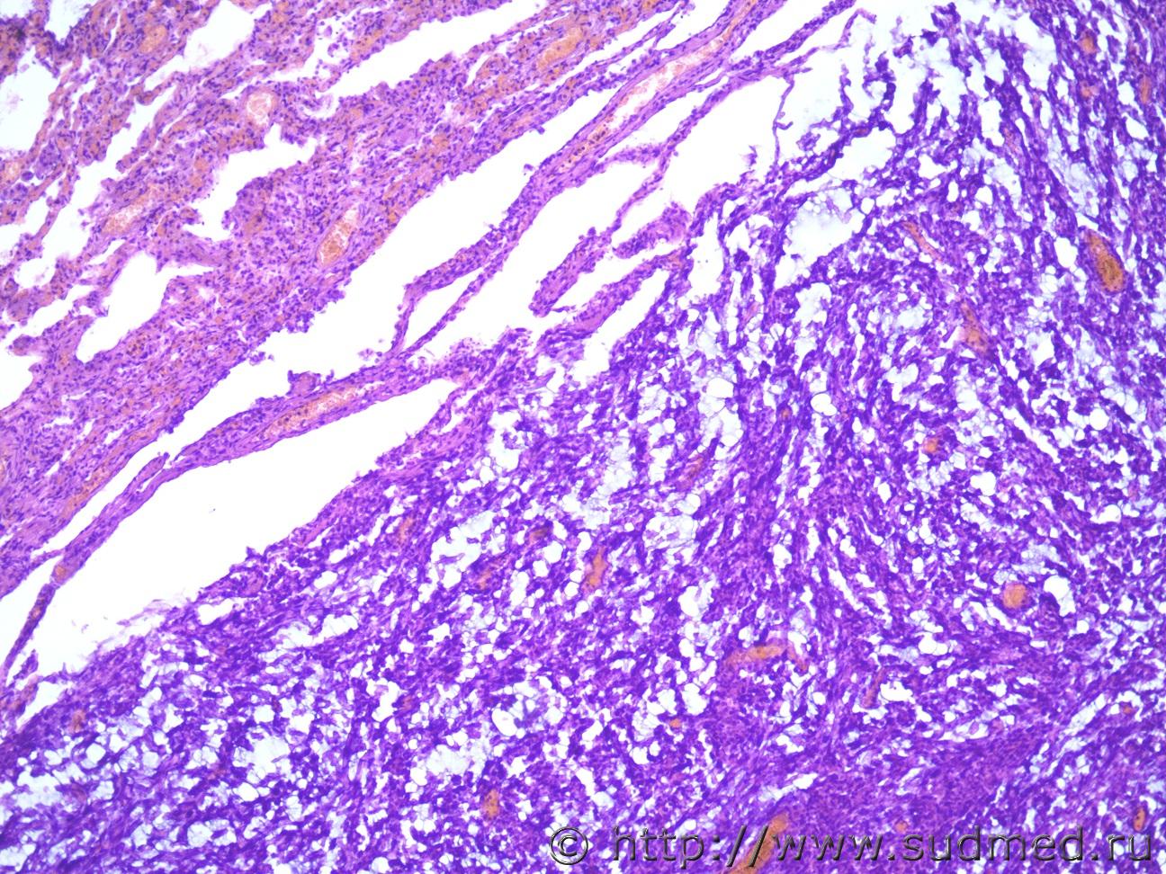
Ув. коллеги столкнулась с проблемой. легкие - опухоль, метастазы? вопрос от танатолога, в легких очаги слизистой консистенции. У меня вопрос это что-то из слизеобразующих опухолей или очаги пневмонии на подобии клебсиеллезной?

Судебная медицина - Прикрепленное изображение Судебная медицина - Прикрепленное изображение Судебная медицина - Прикрепленное изображение Судебная медицина - Прикрепленное изображение Судебная медицина - Прикрепленное изображение Судебная медицина - Прикрепленное изображение Судебная медицина - Прикрепленное изображение
Пользователь offline
К началу страницы
+Ответить с цитированием
Медик
сообщение 6.06.2017 - 16:51
Сообщение #2


Учитель
Group Icon
Группа: Модераторы
Регистрация: 16.05.2010
Пользователь №: 21 553


Возраст,пол ?
Пользователь offline
К началу страницы
+Ответить с цитированием
Медик
сообщение 6.06.2017 - 17:29
Сообщение #3


Учитель
Group Icon
Группа: Модераторы
Регистрация: 16.05.2010
Пользователь №: 21 553


Цитата(IVANNES @ 6.06.2017 - 15:39)
очаги пневмонии клебсиеллезной?

Про эти пневмонии.
"В последние годы резко преобладают очаговые пневмонии с малохарактерным серозно-лейкоцитарным,лейкоцитарно-макрофагальным или,реже,преимущественно макрофагальным экссудатом...(Цинзерлинг В.А.и др.,1991г.).
Пользователь offline
К началу страницы
+Ответить с цитированием
griga
сообщение 6.06.2017 - 17:50
Сообщение #4


Авторитетный участник

Группа: СМЭ
Регистрация: 10.02.2006
Пользователь №: 1 250


Маловато информации.
Посмотрите на просвет соседних альвеол и на межальвеолярную перегородку между "образованием" и соседними альвеолами. Мне видятся они полностью интактными, что не очень укладывается в воспалительную природу.
Из-за отсутствия информации о возрасте и поле не хотелось бы говорить и об опухолевидной природе.

Но есть одна болячка, которая может выдать Вам очень интересные и противоречивые находки - это ВИЧ.

Резюме: позвоните танатологу и затребуйте максимально возможную информацию. Полагаю она Вам (и ему) поможет.
Пользователь offline
К началу страницы
+Ответить с цитированием
доктор морфолог
сообщение 6.06.2017 - 19:28
Сообщение #5


Мастер I

Группа: СМЭ
Регистрация: 5.12.2013
Пользователь №: 38 421


Цитата(IVANNES @ 6.06.2017 - 17:39)
Ув. коллеги столкнулась с проблемой. легкие - опухоль, метастазы? вопрос от танатолога, в легких очаги слизистой консистенции. У меня вопрос это что-то из слизеобразующих опухолей или очаги пневмонии на подобии клебсиеллезной?

Судебная медицина - Прикрепленное изображение Судебная медицина - Прикрепленное изображение Судебная медицина - Прикрепленное изображение Судебная медицина - Прикрепленное изображение Судебная медицина - Прикрепленное изображение Судебная медицина - Прикрепленное изображение Судебная медицина - Прикрепленное изображение

Больше сответствует на плевролегочную бластому...

Пользователь offline
К началу страницы
+Ответить с цитированием
IVANNES
сообщение 7.06.2017 - 08:49
Сообщение #6


Опытный участник

Группа: СМЭ
Регистрация: 28.02.2015
Пользователь №: 41 483


Цитата(Медик @ 6.06.2017 - 16:51)
Возраст,пол ?

Муж 88 лет

Да легкие на границе интактные, есть отдельно еще кусочки легких из каких мест взятые не знаю, тоже спокойные, в одном мелкоочаговая гнойно-фибринозная пневмония. В двух сосудах не в кусочке с образованием такие же массы (метастазы, тромбы?) Судебная медицина - Прикрепленное изображение

Судебная медицина - Прикрепленное изображение А это сосуд в мягких тканях возле подключичных ЛУ
Пользователь offline
К началу страницы
+Ответить с цитированием
Медик
сообщение 7.06.2017 - 23:45
Сообщение #7


Учитель
Group Icon
Группа: Модераторы
Регистрация: 16.05.2010
Пользователь №: 21 553


Цитата(IVANNES @ 6.06.2017 - 15:39)
это что-то из слизеобразующих опухолей

Предлагаю выход из создавшегося положения. smile.gif
В Международной гист.классификации опухолей лёгких есть так называемый муцинозный рак (8480/3).
Возможно,это он и есть."Картинки" похожи.


Цитата(IVANNES @ 7.06.2017 - 09:49)
(метастазы, тромбы?)

Раковые эмболы.
Пользователь offline
К началу страницы
+Ответить с цитированием
доктор морфолог
сообщение 10.06.2017 - 16:49
Сообщение #8


Мастер I

Группа: СМЭ
Регистрация: 5.12.2013
Пользователь №: 38 421


Эмболизация в сосудах имеет место. Клетки с баллоновидно-пузыревидной оптической цитоплазмой и нежноволокнистой безядерной стромой. Но не наблюдается сецернирующих призматических эпителии. Было бы влажный материал не лишнее было бы покрасить на Судан-3. Надеюсь о чем можно думать, ясно.
Пользователь offline
К началу страницы
+Ответить с цитированием
Медик
сообщение 10.06.2017 - 22:27
Сообщение #9


Учитель
Group Icon
Группа: Модераторы
Регистрация: 16.05.2010
Пользователь №: 21 553


Не заморачивайтесь.Умершему 88 лет.
Никому это не надо.Рак - на том и точка.
Пользователь offline
К началу страницы
+Ответить с цитированием




- Обратная связь Сейчас: 10.11.2025 - 05:43