Здравствуйте, гость ( Вход | Регистрация )

Форум судебных медиков России
 
>

Мальформация?

>
IVANNES
сообщение 11.07.2017 - 10:37
Сообщение #1


Опытный участник

Группа: СМЭ
Регистрация: 28.02.2015
Пользователь №: 41 483


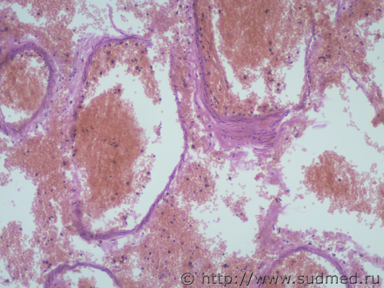
Ув. коллеги. Столкнулась с такой проблемой. Молодой человек 17 лет. в ходе драки причинены повреждения в результате которых в бессознательном состоянии госпитализирован с диагнозом ушиб г.м тяж ст. Массивный сак с прорывом в желудочковую систему, гемотампонада тотальная 3-4 жел. Через 2.5 дня умер, не приходя в сознание. на секции- сак лобной, височных долей выпуклой и базальной поверхностей, гемовентрикулюм, кровоизлияние под мягкую мозговою оболочку полушарий мозжечка, кровоизлияние в мягкие ткани головы (правая лобная, правая височная, левая скулощечная области). Ссадины, участки с внутрикожными кровоизлияниями на лице. Кровоизлияние в мягкие ткани груди слева, кровоизлияние под капсулу верхнего полюса левой почки. Микро- в стволовом отделе г.м сак и очаговые геморрагии в веществе. Переломов костей черепа нет, большая часть сак находится в базальных отделах, поэтом встал вопрос, а нет ли тут мальформации сосудов ствола? Вопрос от танатолага, гистологам, на секции эксперт подозрительных участков сосудов не видел.Судебная медицина - Прикрепленное изображение Судебная медицина - Прикрепленное изображение Судебная медицина - Прикрепленное изображение Судебная медицина - Прикрепленное изображение Судебная медицина - Прикрепленное изображение Судебная медицина - Прикрепленное изображение Судебная медицина - Прикрепленное изображение Судебная медицина - Прикрепленное изображение Судебная медицина - Прикрепленное изображение Судебная медицина - Прикрепленное изображение
Пользователь offline
К началу страницы
+Ответить с цитированием
Медик
сообщение 11.07.2017 - 10:57
Сообщение #2


Учитель
Group Icon
Группа: Модераторы
Регистрация: 16.05.2010
Пользователь №: 21 553


1.Мальформация.

Цитата(IVANNES @ 11.07.2017 - 11:37)
на секции эксперт подозрительных участков сосудов не видел.

2.Не удивительно.
Пользователь offline
К началу страницы
+Ответить с цитированием
IVANNES
сообщение 11.07.2017 - 11:35
Сообщение #3


Опытный участник

Группа: СМЭ
Регистрация: 28.02.2015
Пользователь №: 41 483


Цитата(Медик @ 11.07.2017 - 10:57)
1.Мальформация.
2.Не удивительно.

Я еще не разу не видела мальформации, опыта мало, но то что находила в литературе по моему мнению не очень похоже, поэтому консультируюсь с опытными людьми.
Пользователь offline
К началу страницы
+Ответить с цитированием
Медик
сообщение 11.07.2017 - 11:45
Сообщение #4


Учитель
Group Icon
Группа: Модераторы
Регистрация: 16.05.2010
Пользователь №: 21 553


У Вас же рядом должны быть коллеги-гистологи,покажите им стёкла,послушайте их мнение.
Пользователь offline
К началу страницы
+Ответить с цитированием
Anton
сообщение 11.07.2017 - 11:47
Сообщение #5


Мастер II

Группа: СМЭ
Регистрация: 6.12.2011
Из: Опорный край державы
Пользователь №: 30 279


Сосудистые клубки разного калибра и толщины стенок - АВМ. Не завидую танатологу.
Пользователь offline
К началу страницы
+Ответить с цитированием
доктор морфолог
сообщение 12.07.2017 - 14:05
Сообщение #6


Мастер I

Группа: СМЭ
Регистрация: 5.12.2013
Пользователь №: 38 421


Микро- артериовенозная мальформация! Макро ввиде мелкого клубка( как гроздья малины) должна была смотреться. АВМ-порок сообщение сосудов без МЦР, но при исключении кавернозной гемангиомы!

Сообщение отредактировал доктор морфолог - 12.07.2017 - 14:07
Пользователь offline
К началу страницы
+Ответить с цитированием
Медик
сообщение 13.07.2017 - 08:50
Сообщение #7


Учитель
Group Icon
Группа: Модераторы
Регистрация: 16.05.2010
Пользователь №: 21 553


Цитата(доктор морфолог @ 12.07.2017 - 15:05)
Микро- артериовенозная мальформация!
но при исключении кавернозной гемангиомы!

Противоречие.
Пользователь offline
К началу страницы
+Ответить с цитированием
IVANNES
сообщение 13.07.2017 - 13:41
Сообщение #8


Опытный участник

Группа: СМЭ
Регистрация: 28.02.2015
Пользователь №: 41 483


Всем большое спасибо. Коллеги вышли из отпуска и тоже мне все разъяснили. Спасибо всем огромное.
Пользователь offline
К началу страницы
+Ответить с цитированием
доктор морфолог
сообщение 13.07.2017 - 14:19
Сообщение #9


Мастер I

Группа: СМЭ
Регистрация: 5.12.2013
Пользователь №: 38 421


Цитата(Медик @ 13.07.2017 - 11:50)
Противоречие.

Нет, впредь для дифдиагностики и макро и микроислледовании.
Пользователь offline
К началу страницы
+Ответить с цитированием




- Обратная связь Сейчас: 4.11.2025 - 19:38