Здравствуйте, гость ( Вход | Регистрация )

Форум судебных медиков России
 
>

Что с пищеводом?

>
a..anka
сообщение 3.08.2017 - 14:29
Сообщение #1


Участник форума

Группа: Участники
Регистрация: 10.11.2014
Пользователь №: 40 705


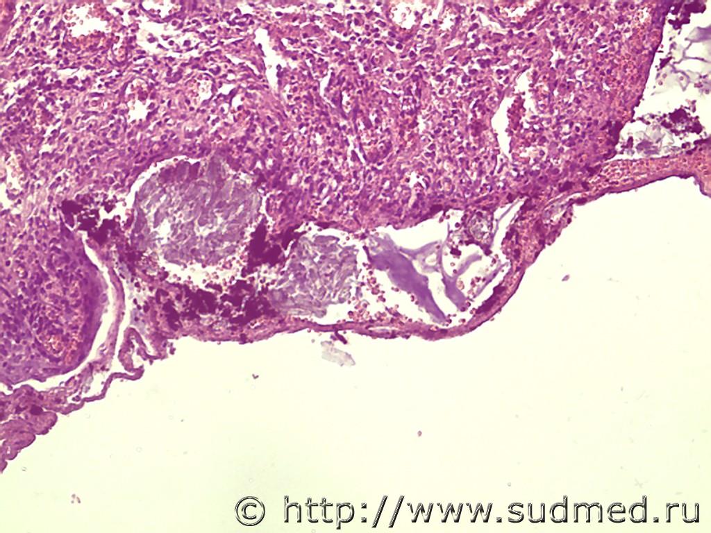
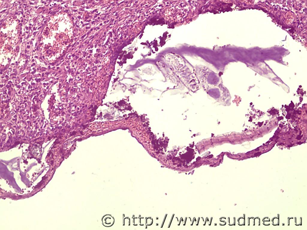
Уважаемые коллеги, помогите разобраться что с пищеводом на препаратах?. Исследую случай ребёнка, умершего от пневмонии, сепсиса и шока в больнице. При исследовании пищевода танатолог описывает полосовидные кровоизлияния тёмно- коричневого и чёрного цветов. В микропрепаратах многослойный эпителий местами резко истончён, отслоен с формированием полостей (как при ожогах...), а в полостях какие-то чёрные массы, а также базофильные структуры, похожие то ли на каких- то паразитов, то ли грибов...не пойму что это такое....Помогите!!!


Эскизы прикрепленных изображений
Судебная медицина - Прикрепленное изображение Судебная медицина - Прикрепленное изображение Судебная медицина - Прикрепленное изображение Судебная медицина - Прикрепленное изображение Судебная медицина - Прикрепленное изображение Судебная медицина - Прикрепленное изображение Судебная медицина - Прикрепленное изображение Судебная медицина - Прикрепленное изображение
Пользователь offline
К началу страницы
+Ответить с цитированием
Медик
сообщение 4.08.2017 - 11:24
Сообщение #2


Учитель
Group Icon
Группа: Модераторы
Регистрация: 16.05.2010
Пользователь №: 21 553


Цитата(a..anka @ 3.08.2017 - 15:29)
базофильные структуры

Не артефакт ли ?

Цитата(a..anka @ 3.08.2017 - 15:29)
что с пищеводом на препаратах?.

Вероятно, имеет место острый экссудативно-пролиферативный эзофагит.
Экссудативный - по причине серозного воспаления.
Пользователь offline
К началу страницы
+Ответить с цитированием
Медик
сообщение 4.08.2017 - 11:34
Сообщение #3


Учитель
Group Icon
Группа: Модераторы
Регистрация: 16.05.2010
Пользователь №: 21 553


Цитата(a..anka @ 3.08.2017 - 15:29)
танатолог описывает полосовидные кровоизлияния тёмно- коричневого и чёрного цветов.

Узнайте у танатолога, был ли в просвете пищевода зонд ? Положительный ответ на этот вопрос успокоит Вас. smile.gif

Цитата(a..anka @ 3.08.2017 - 15:29)
При исследовании пищевода танатолог описывает полосовидные кровоизлияния

Уверен,что вертикальные.Я прав ?
Пользователь offline
К началу страницы
+Ответить с цитированием
доктор морфолог
сообщение 5.08.2017 - 20:24
Сообщение #4


Мастер I

Группа: СМЭ
Регистрация: 5.12.2013
Пользователь №: 38 421


Наблюдаеься темносиние включения, как колонии микробов и округлые как грибковые отложения в слизистой. Далее в подслизистой инфильтрация лимфоцитарно- плазмоцитоклеточная инфильтрация и кистознорасширенные полости. Что то с аллергической связано. М.б.аллергический эзофагит на какие то вещества.

Сообщение отредактировал доктор морфолог - 5.08.2017 - 20:25
Пользователь online
К началу страницы
+Ответить с цитированием
griga
сообщение 7.08.2017 - 00:05
Сообщение #5


Авторитетный участник

Группа: СМЭ
Регистрация: 10.02.2006
Пользователь №: 1 250


Для аллергического эзофагита - не видно эозинофилов.
Склоняюсь к инфекционному поражению: вирусы или грибы.
Без анамнеза полностью поддерживаю диагноз ув.Медика.
Пользователь offline
К началу страницы
+Ответить с цитированием
Медик
сообщение 7.08.2017 - 10:53
Сообщение #6


Учитель
Group Icon
Группа: Модераторы
Регистрация: 16.05.2010
Пользователь №: 21 553


1.Герпетический эзофагит.
2.Кандидозный эзофагит.
Что видел танатолог, написано выше.

Сообщение отредактировал Медик - 7.08.2017 - 10:53


Эскизы прикрепленных изображений
Судебная медицина - Прикрепленное изображение Судебная медицина - Прикрепленное изображение
Пользователь offline
К началу страницы
+Ответить с цитированием




- Обратная связь Сейчас: 4.11.2025 - 18:00