Здравствуйте, гость ( Вход | Регистрация )

Форум судебных медиков России
>   Правила консультационного раздела >

ВНИМАНИЕ! Все сообщения проходят предварительную проверку модератором и только после этого появляются на форуме. Порядок работы раздела изложен в правилах форума.
Все консультации на форуме бесплатны, но если мы смогли вам помочь, вы можете поддержать наш проект (подробнее).

 
2 страниц V < 1 2  
>

Пневмоторокс

>
Радомир
сообщение 4.10.2017 - 22:36
Сообщение #16


Мастер III
Group Icon
Группа: Модераторы
Регистрация: 30.11.2008
Из: Российская Федерация
Пользователь №: 11 273


Снимки крайне низкого качества. Сделанные на старой технике, с не самым вдумчивым отношением к определению параметров съемки, распечатанные на бумаге. И при передаче их через интернет часть информации (качества изображения) потерялась. То, что я вижу, даже с увеличением изображения, - непригодно для достоверного суждения о наличии и характере переломов ребер, о наличии и размере пневмоторакса, о наличии и распространенности эмфиземы мягких тканей грудной стенки. Может быть, если эти снимки представить на пленке или в цифровом виде, качество изображения окажется пригодным для исследования, может быть потерпевшему делались еще другие снимки, имеющие приемлемое качество. Если же больше нет никаких рентгенологических данных, кроме этих, то выводы о медицинской сущности травмы правой половины груди представляются необоснованными достоверно установленными медицинскими фактами.
В заключении эксперта написано про предоставление снимков грудной клетки на CD-диске. Возможно, изображение там значительно лучше, чем здесь.
По вопросам:
1. Не знаю (см.выше).
2. Нет. Тогда бы неоткуда было взяться воздуху в плевральной полости.
3. См. ответ на вопрос №1.
4. Нет. (Я уже писал об этом в каком-то из предыдущих сообщений в этой теме).
5. Поперечные переломы ребер могли образоваться от достаточно сильных ударов кулаками.
6. Эксперты гаданию не обучены. Можно нафантазировать тысячу ситуаций, но может найтись тысяча первая. Только по имеющимся медицинским данным нельзя однозначно сказать, что травмирующий предмет - именно кулак и ни что иное. Установление обстоятельств происшествия, главным образом, дело следствия и суда. В представленных эксперту обстоятельствах написано про удары ногами и руками. Это не противоречит медицинским данным.
Пользователь offline
К началу страницы
+Ответить с цитированием
Sergej-80
сообщение 10.10.2017 - 19:46
Сообщение #17


Новичок

Группа: Участники
Регистрация: 2.01.2017
Пользователь №: 45 109


Цитата(Радомир @ 4.10.2017 - 22:36)
Снимки крайне низкого качества. Сделанные на старой технике, с не самым вдумчивым отношением к определению параметров съемки, распечатанные на бумаге. И при передаче их через интернет часть информации (качества изображения) потерялась. То, что я вижу, даже с увеличением изображения, - непригодно для достоверного суждения о наличии и характере переломов ребер, о наличии и размере пневмоторакса, о наличии и распространенности эмфиземы мягких тканей грудной стенки. Может быть, если эти снимки представить на пленке или в цифровом виде, качество изображения окажется пригодным для исследования, может быть потерпевшему делались еще другие снимки, имеющие приемлемое качество. Если же больше нет никаких рентгенологических данных, кроме этих, то выводы о медицинской сущности травмы правой половины груди представляются необоснованными достоверно установленными медицинскими фактами.
В заключении эксперта написано про предоставление снимков грудной клетки на CD-диске. Возможно, изображение там значительно лучше, чем здесь.
По вопросам:
1. Не знаю (см.выше).
2. Нет. Тогда бы неоткуда было взяться воздуху в плевральной полости.
3. См. ответ на вопрос №1.
4. Нет. (Я уже писал об этом в каком-то из предыдущих сообщений в этой теме).
5. Поперечные переломы ребер могли образоваться от достаточно сильных ударов кулаками.
6. Эксперты гаданию не обучены. Можно нафантазировать тысячу ситуаций, но может найтись тысяча первая. Только по имеющимся медицинским данным нельзя однозначно сказать, что травмирующий предмет - именно кулак и ни что иное. Установление обстоятельств происшествия, главным образом, дело следствия и суда. В представленных эксперту обстоятельствах написано про удары ногами и руками. Это не противоречит медицинским данным.


Добрый вечер, спасибо за ответ, вот ещё снимки в таком формате.




Эскизы прикрепленных изображений
Судебная медицина - Прикрепленное изображение Судебная медицина - Прикрепленное изображение Судебная медицина - Прикрепленное изображение
Пользователь offline
К началу страницы
+Ответить с цитированием
Радомир
сообщение 11.10.2017 - 00:14
Сообщение #18


Мастер III
Group Icon
Группа: Модераторы
Регистрация: 30.11.2008
Из: Российская Федерация
Пользователь №: 11 273


Судя по изображениям в тексте Вашего поста №17, эти снимки имеют более высокое качество. Открыть их в крупном формате не получилось. Попробуйте опубликовать еще раз.
Пользователь offline
К началу страницы
+Ответить с цитированием
Sergej-80
сообщение 18.10.2017 - 10:07
Сообщение #19


Новичок

Группа: Участники
Регистрация: 2.01.2017
Пользователь №: 45 109


Цитата(Радомир @ 11.10.2017 - 00:14)
Судя по изображениям в тексте Вашего поста №17, эти снимки имеют более высокое качество. Открыть их в крупном формате не получилось. Попробуйте опубликовать еще раз.

Доброе утро, извините за задержку с ответом, повторно публикую.


Эскизы прикрепленных изображений
Судебная медицина - Прикрепленное изображение Судебная медицина - Прикрепленное изображение Судебная медицина - Прикрепленное изображение
Пользователь offline
К началу страницы
+Ответить с цитированием
andron15111987
сообщение 18.10.2017 - 13:42
Сообщение #20


Знаток форума
Group Icon
Группа: СМЭ
Регистрация: 25.05.2013
Из: Восточная сибирь
Пользователь №: 36 796


Цитата(Sergej-80 @ 18.10.2017 - 16:07)
Доброе утро, извините за задержку с ответом, повторно публикую.

не открываются
Пользователь offline
К началу страницы
+Ответить с цитированием
Sergej-80
сообщение 20.10.2017 - 11:21
Сообщение #21


Новичок

Группа: Участники
Регистрация: 2.01.2017
Пользователь №: 45 109


Цитата(andron15111987 @ 18.10.2017 - 13:42)
не открываются

Доброе утро, пробую ещё раз.




Эскизы прикрепленных изображений
Судебная медицина - Прикрепленное изображение Судебная медицина - Прикрепленное изображение Судебная медицина - Прикрепленное изображение
Пользователь offline
К началу страницы
+Ответить с цитированием
Anton
сообщение 20.10.2017 - 13:52
Сообщение #22


Мастер II

Группа: СМЭ
Регистрация: 6.12.2011
Из: Опорный край державы
Пользователь №: 30 279


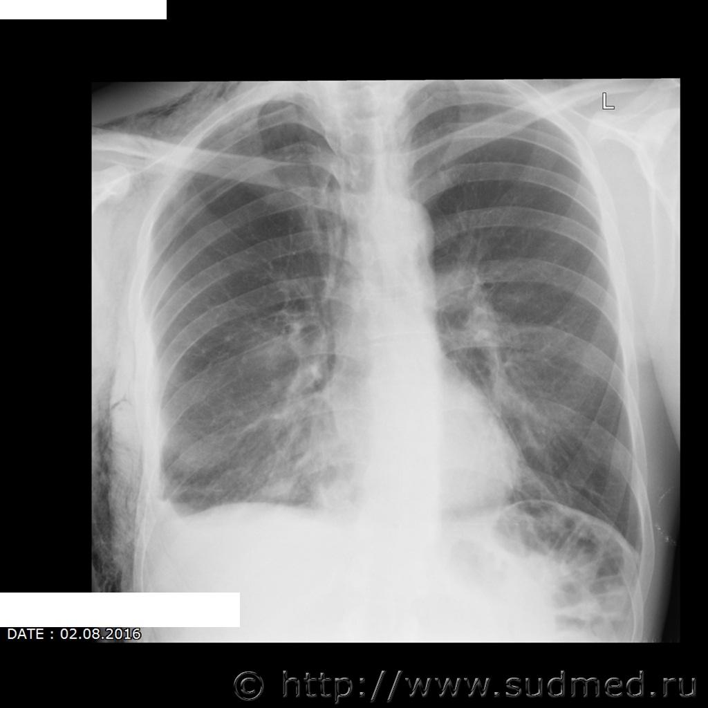
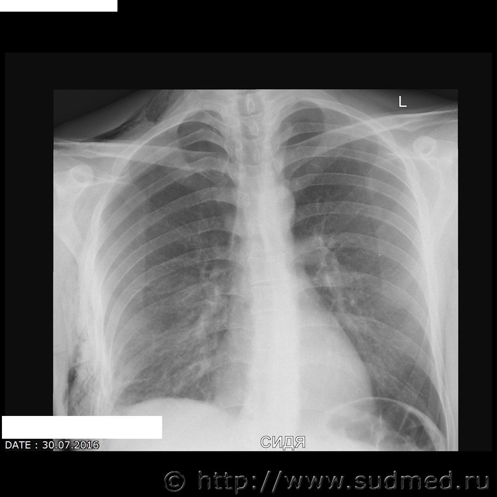
Травматический пневмоторакс справа, подкожная эмфизема, перелом (5, 7, 8 как минимум) правых ребер. Удары (удар) в правую боковую поверхность.
Пользователь offline
К началу страницы
+Ответить с цитированием
Радомир
сообщение 21.10.2017 - 19:51
Сообщение #23


Мастер III
Group Icon
Группа: Модераторы
Регистрация: 30.11.2008
Из: Российская Федерация
Пользователь №: 11 273


Согласен с коллегой: пневмоторакс справа (воздух в правой плевральной полости), обширная подкожная и межмышечная эмфизема правой половины груди (воздух в мягких тканях грудной стенки), вероятно, эмфизема распространяется и на шею. Переломы 5, 6, 7,8 ребер по передней подмышечной линии.
Пользователь offline
К началу страницы
+Ответить с цитированием
Sergej-80
сообщение 24.10.2017 - 12:28
Сообщение #24


Новичок

Группа: Участники
Регистрация: 2.01.2017
Пользователь №: 45 109


Добрый день! Большое спасибо за ответы.
Пользователь offline
К началу страницы
+Ответить с цитированием
Радомир
сообщение 1.12.2017 - 18:57
Сообщение #25


Мастер III
Group Icon
Группа: Модераторы
Регистрация: 30.11.2008
Из: Российская Федерация
Пользователь №: 11 273


По просьбе топикстартера тема вновь открыта.
Пользователь offline
К началу страницы
+Ответить с цитированием
Sergej-80
сообщение 2.12.2017 - 13:41
Сообщение #26


Новичок

Группа: Участники
Регистрация: 2.01.2017
Пользователь №: 45 109


Доброго времени суток.
Появились данные следственного эксперимента. Возникли вопросы:
1. Представляется ли возможным объективно установить разрыв лёгкого по имеющимся рентгенологическим данным?
2. Возможно ли образование таких переломов по одной анатомической линии при обстоятельствах описанных свидетелем?
3. Имеются ли признаки повторной травматизации для определения количества нанесённых ударов (удара) в область перелома?
4. Возможно ли определить давность перелома ребер? Какой минимальный срок образования (по снимку от 30.07.2016 г.)
5. От какого количества травматических воздействий и от какого предмета мог образоваться этот перелом?


Эскизы прикрепленных изображений
Судебная медицина - Прикрепленное изображение Судебная медицина - Прикрепленное изображение Судебная медицина - Прикрепленное изображение Судебная медицина - Прикрепленное изображение
Пользователь offline
К началу страницы
+Ответить с цитированием
Anton
сообщение 2.12.2017 - 19:40
Сообщение #27


Мастер II

Группа: СМЭ
Регистрация: 6.12.2011
Из: Опорный край державы
Пользователь №: 30 279


1. Пневмоторакс при тупой травме грудной клетки возникает вследствие разрыва легкого отломками ребер. Так что считайте разрыв объективно (пусть косвенно) установленным.
2. Возможно.
3. На сканах этого не различить, да и изучение нативных р-грамм в этом вопросе малоинформативно (не знаю о рентгенологических признаках пт).
4. На сканах нет признаков регенерации. Минимальный срок - "только что".
5. Минимум 1 удар тупым твердым объектом.
Пользователь offline
К началу страницы
+Ответить с цитированием
Радомир
сообщение 12.12.2017 - 22:24
Сообщение #28


Мастер III
Group Icon
Группа: Модераторы
Регистрация: 30.11.2008
Из: Российская Федерация
Пользователь №: 11 273


Ответы даны. Полные и обоснованные.
Тема закрыта.
Пользователь offline
К началу страницы
+Ответить с цитированием

2 страниц V < 1 2



- Обратная связь Сейчас: 4.11.2025 - 21:56