Здравствуйте, гость ( Вход | Регистрация )

Форум судебных медиков России
 
>

Какую пневмонию поставить?, ?

>
Асмодей
сообщение 24.08.2017 - 11:57
Сообщение #1


Опытный участник

Группа: СМЭ
Регистрация: 16.06.2015
Пользователь №: 42 102


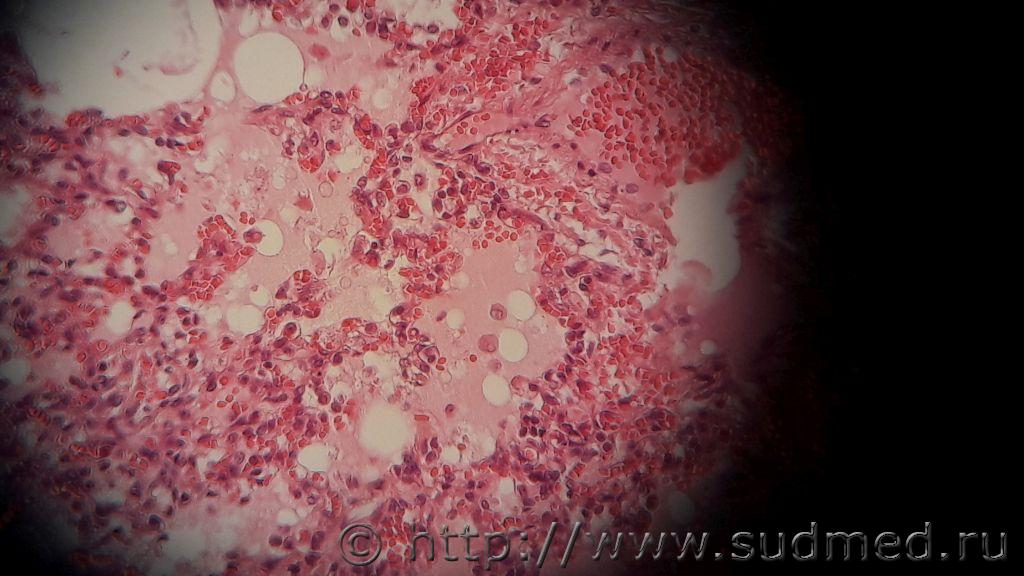
Добрый день, уважаемые коллеги. После одного случая мне у детей начала мерещиться почти всегда интерстициальная пневмония smile.gif Девочка 2 месяца, мама ВИЧ+. У самой девочки антитела есть, но достоверно ВИЧ не установлен, так как маленькая еще.

В препаратах легких встречаются вот такие очаги нейтрофильной инфильтрации
Судебная медицина - Прикрепленное изображениеСудебная медицина - Прикрепленное изображение

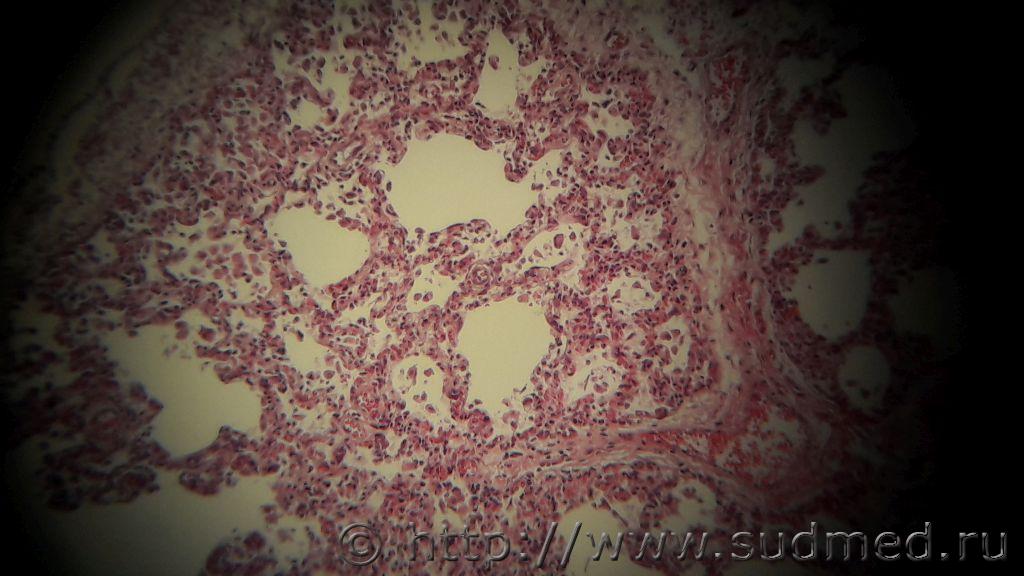
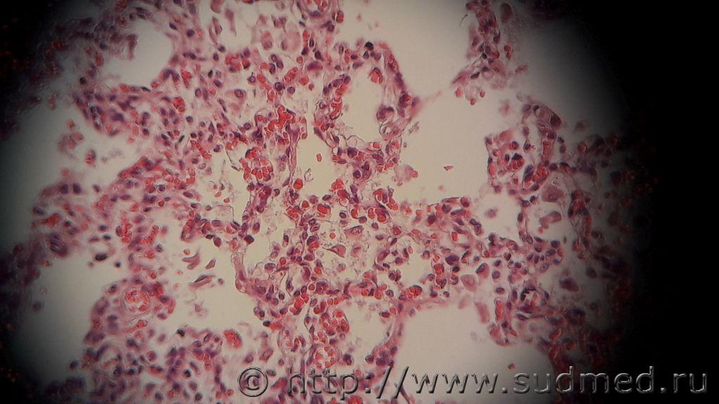
Но и на остальном протяжении легкие меня настораживают.
Судебная медицина - Прикрепленное изображениеСудебная медицина - Прикрепленное изображениеСудебная медицина - Прикрепленное изображениеСудебная медицина - Прикрепленное изображение
Судебная медицина - Прикрепленное изображениеСудебная медицина - Прикрепленное изображениеСудебная медицина - Прикрепленное изображениеСудебная медицина - Прикрепленное изображение


Помогите опытным взглядом.
Пользователь offline
К началу страницы
+Ответить с цитированием
Anton
сообщение 24.08.2017 - 12:56
Сообщение #2


Мастер II

Группа: СМЭ
Регистрация: 6.12.2011
Из: Опорный край державы
Пользователь №: 30 279


Пневмоцистную.
Пользователь offline
К началу страницы
+Ответить с цитированием
Медик
сообщение 24.08.2017 - 13:32
Сообщение #3


Учитель
Group Icon
Группа: Модераторы
Регистрация: 16.05.2010
Пользователь №: 21 553


Цитата(Асмодей @ 24.08.2017 - 12:57)
очаги нейтрофильной инфильтрации

Не похоже на нейтрофилы.
В просвете некоторых альвеол видны пенистые массы + инфильтрация межальвеолярных перегородок лимфоидными клетками,гистиоцитами и,вероятно,единичными пневмоцистами (похоже на это),что позволяет предположить пневмоцистную пневмонию.

Сообщение отредактировал Медик - 24.08.2017 - 13:47
Пользователь offline
К началу страницы
+Ответить с цитированием
доктор морфолог
сообщение 24.08.2017 - 23:19
Сообщение #4


Мастер I

Группа: СМЭ
Регистрация: 5.12.2013
Пользователь №: 38 421


Больше соответствует к интерстициальной пневмонии, далее отек с геморрагическим компонентом и десквамация альвелоцитов.

Сообщение отредактировал доктор морфолог - 24.08.2017 - 23:21
Пользователь offline
К началу страницы
+Ответить с цитированием




- Обратная связь Сейчас: 4.11.2025 - 04:54