Здравствуйте, гость ( Вход | Регистрация )

Форум судебных медиков России
 
>

Некроз яичка

>
IVANNES
сообщение 26.10.2017 - 13:12
Сообщение #1


Опытный участник

Группа: СМЭ
Регистрация: 28.02.2015
Пользователь №: 41 483


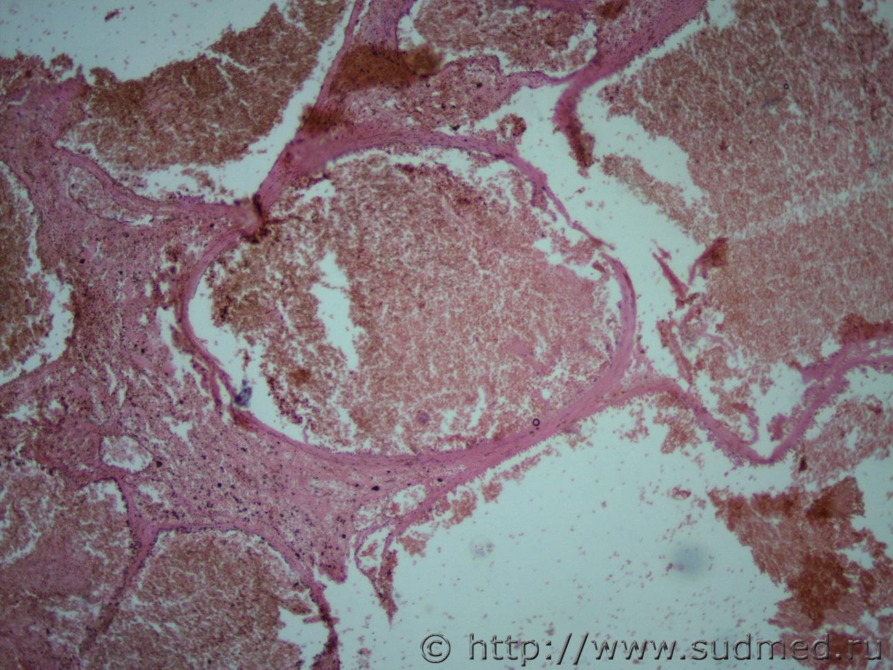
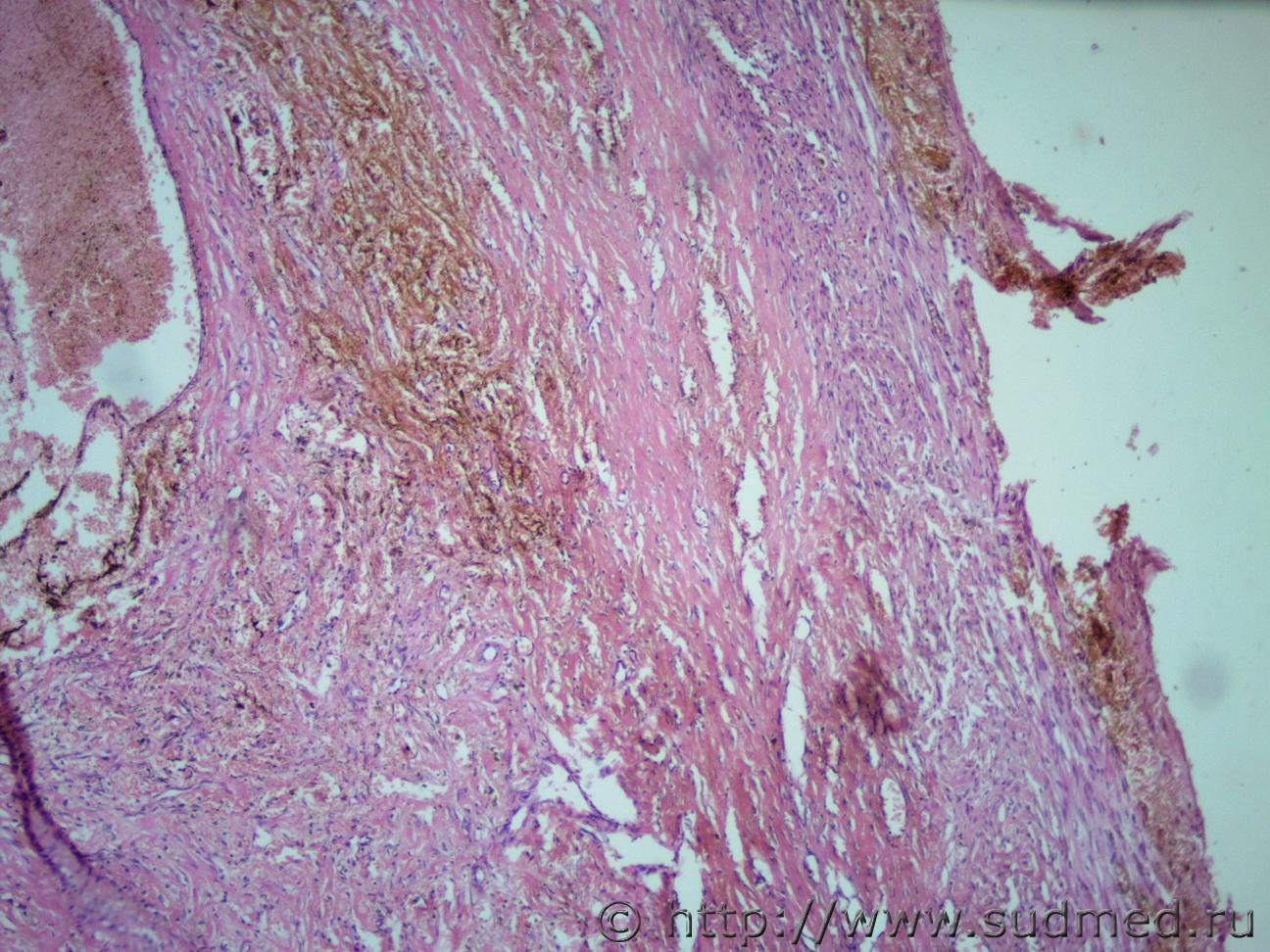
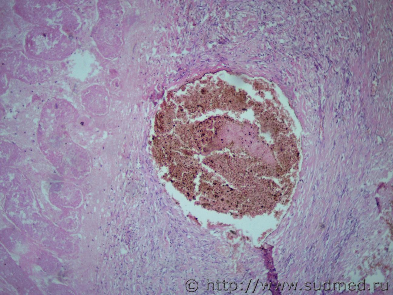
Ув. коллеги нужна помощь. У мальчика 15 лет появились резкие боли в правой половине мошонки. ДЗ: орхоэпидидимит справа. Данных за перекрут канатика нет. 1,5 мес. консервативного лечения и повторные УЗИ (некротически измененный придаток?) с выраженным его увеличением в объеме. Операция: высокая орфофуникулоэктомия справа по поводу перекрута и некроза правого яичка. Необходимо установить давность некроза яичка. 1-5 белочная оболочка и ткань яичкаСудебная медицина - Прикрепленное изображение Судебная медицина - Прикрепленное изображениеСудебная медицина - Прикрепленное изображениеСудебная медицина - Прикрепленное изображениеСудебная медицина - Прикрепленное изображение
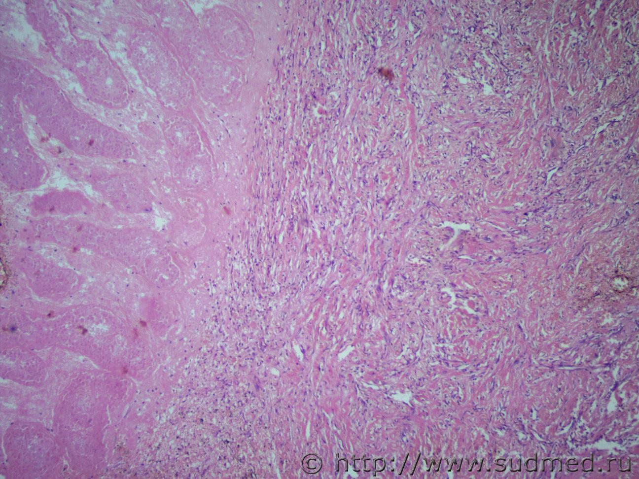
следующие 5 придаток Судебная медицина - Прикрепленное изображение Судебная медицина - Прикрепленное изображениеСудебная медицина - Прикрепленное изображениеСудебная медицина - Прикрепленное изображениеСудебная медицина - Прикрепленное изображение
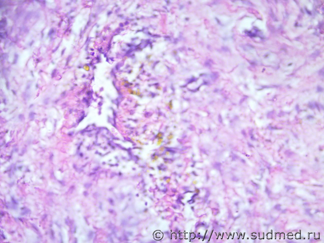
остальные ткань яичка Судебная медицина - Прикрепленное изображение Судебная медицина - Прикрепленное изображениеСудебная медицина - Прикрепленное изображениеСудебная медицина - Прикрепленное изображениеСудебная медицина - Прикрепленное изображение
Судебная медицина - Прикрепленное изображение
Пользователь offline
К началу страницы
+Ответить с цитированием
a..anka
сообщение 26.10.2017 - 13:27
Сообщение #2


Участник форума

Группа: Участники
Регистрация: 10.11.2014
Пользователь №: 40 705


думаю, соответствует указанному сроку. Хотя не знаю, можно ли устанавливать сроки давности некроза, как таковой литературы нет, кроме методички Белянина "давность воспалительного процесса", в которой очень поверхностные и общие данные. В капсуле и ткани яичка грануляционная ткань, фибробласты, фиброциты, лимфо-гистиоцитарная инфильтрация, местами кровяной пигмент.
Пользователь offline
К началу страницы
+Ответить с цитированием
IVANNES
сообщение 26.10.2017 - 13:30
Сообщение #3


Опытный участник

Группа: СМЭ
Регистрация: 28.02.2015
Пользователь №: 41 483


Спасибо за быстрый ответ. Может у кого есть какая нибудь литература по некрозам яичка и давности.
Пользователь offline
К началу страницы
+Ответить с цитированием
Медик
сообщение 26.10.2017 - 13:31
Сообщение #4


Учитель
Group Icon
Группа: Модераторы
Регистрация: 16.05.2010
Пользователь №: 21 553


Цитата(IVANNES @ 26.10.2017 - 14:12)
Данных за перекрут канатика нет.

Нет, где (клинически или гистологически) ?
Надо сопоставить клинические данные и Ваши картинки.Знать когда (дата,время) диагностирован перекрут и через какое время после этого произведена операция.
Есть ли у Вас макроскопическое описание операционного материала (интересует перекрут)?

Сообщение отредактировал Медик - 26.10.2017 - 14:08
Пользователь offline
К началу страницы
+Ответить с цитированием
IVANNES
сообщение 26.10.2017 - 14:11
Сообщение #5


Опытный участник

Группа: СМЭ
Регистрация: 28.02.2015
Пользователь №: 41 483


Цитата(Медик @ 26.10.2017 - 13:31)
Нет, где (клинически или гистологически) ?
Надо сопоставить клинические данные и Ваши картинки.Знать когда (дата,время) диагностирован перекрут и через какое время после этого произведена операция

Первый диагноз был поставлен без перекрута. И 1,5 мес лечили от орхоэпидидимита. А после через эти 1,5 мес был выставлен диагноз о перекруте и сразу же сделана операция. По этому и стоит вопрос о том когда же произошел этот перекрут с некрозом. На вопрос был ли не правильно поставлен диагноз изначально 1,5 мес назад.

Макроскопических данных о перекруте у нас нет. Вся информация которая имеется изложила выше.
Пользователь offline
К началу страницы
+Ответить с цитированием
доктор морфолог
сообщение 26.10.2017 - 14:19
Сообщение #6


Мастер I

Группа: СМЭ
Регистрация: 5.12.2013
Пользователь №: 38 421


Последнее приблизительно до 6 часов...
Пользователь offline
К началу страницы
+Ответить с цитированием
a..anka
сообщение 26.10.2017 - 14:55
Сообщение #7


Участник форума

Группа: Участники
Регистрация: 10.11.2014
Пользователь №: 40 705


Цитата(Медик @ 26.10.2017 - 13:31)

Надо сопоставить клинические данные и Ваши картинки.Есть ли у Вас макроскопическое описание операционного материала (интересует перекрут)?

Литературные данные говорят, что при перекруте яичка страдает венозный отток, будет тромбоз и обширные кровоизлияния, геморрагический некроз паренхимы. В данном случае морфология некроза соответствует перекруту?
Пользователь offline
К началу страницы
+Ответить с цитированием
Медик
сообщение 26.10.2017 - 15:26
Сообщение #8


Учитель
Group Icon
Группа: Модераторы
Регистрация: 16.05.2010
Пользователь №: 21 553


Забыли про яичковую артерию.
Пользователь offline
К началу страницы
+Ответить с цитированием
Медик
сообщение 26.10.2017 - 15:44
Сообщение #9


Учитель
Group Icon
Группа: Модераторы
Регистрация: 16.05.2010
Пользователь №: 21 553


Цитата(IVANNES @ 26.10.2017 - 15:11)
был выставлен диагноз о перекруте и сразу же сделана операция.

Сразу же - это сколько в днях,часах ?

Цитата(IVANNES @ 26.10.2017 - 15:11)
Макроскопических данных о перекруте у нас нет.

Посмотрите в истории болезни,что пишет патан.
Пользователь offline
К началу страницы
+Ответить с цитированием
IVANNES
сообщение 27.10.2017 - 08:57
Сообщение #10


Опытный участник

Группа: СМЭ
Регистрация: 28.02.2015
Пользователь №: 41 483


Цитата(Медик @ 26.10.2017 - 15:44)
Сразу же - это сколько в днях,часах ?
Посмотрите в истории болезни,что пишет патан.

Истории у нас нет.
Пользователь offline
К началу страницы
+Ответить с цитированием




- Обратная связь Сейчас: 7.11.2025 - 14:09