Здравствуйте, гость ( Вход | Регистрация )

Форум судебных медиков России
 
>

Помощь в диагнозе !?расхождение в диагнозе у собаки Н/О, собака, Н/О, на спинке носа, размером 2 см, изъязвлена, алопеция

>
Evgen 23_81
сообщение 8.11.2017 - 12:37
Сообщение #1


Вновь прибывший

Группа: Пользователи
Регистрация: 8.11.2017
Пользователь №: 45 891


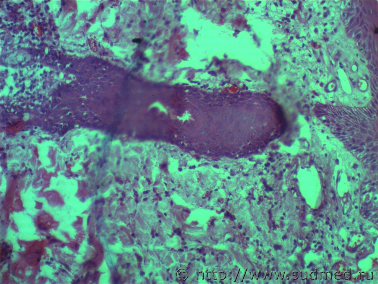
вижу что тяжи клеток эпидермиса проникающие в глубокие слои кожи и подлежащие ткани. Размеры клеток варьируют, слабовыраженное ороговение отдельных клеток, обильный воспалительный инфильтрат, пласты эпителиальных клеток в виде гнезд отделяются от эпидермиса. Склонен к ПКР


Эскизы прикрепленных изображений
Судебная медицина - Прикрепленное изображение Судебная медицина - Прикрепленное изображение Судебная медицина - Прикрепленное изображение Судебная медицина - Прикрепленное изображение Судебная медицина - Прикрепленное изображение Судебная медицина - Прикрепленное изображение Судебная медицина - Прикрепленное изображение Судебная медицина - Прикрепленное изображение Судебная медицина - Прикрепленное изображение Судебная медицина - Прикрепленное изображение Судебная медицина - Прикрепленное изображение Судебная медицина - Прикрепленное изображение Судебная медицина - Прикрепленное изображение Судебная медицина - Прикрепленное изображение Судебная медицина - Прикрепленное изображение Судебная медицина - Прикрепленное изображение Судебная медицина - Прикрепленное изображение Судебная медицина - Прикрепленное изображение Судебная медицина - Прикрепленное изображение Судебная медицина - Прикрепленное изображение Судебная медицина - Прикрепленное изображение
Пользователь offline
К началу страницы
+Ответить с цитированием
Медик
сообщение 8.11.2017 - 22:08
Сообщение #2


Учитель
Group Icon
Группа: Модераторы
Регистрация: 16.05.2010
Пользователь №: 21 553


Мнение оппонента ?
Пользователь offline
К началу страницы
+Ответить с цитированием
Evgen 23_81
сообщение 9.11.2017 - 09:20
Сообщение #3


Вновь прибывший

Группа: Пользователи
Регистрация: 8.11.2017
Пользователь №: 45 891


[quote name='Медик' date='8.11.2017 - 22:08' post='236867']Мнение оппонента ?[/quote
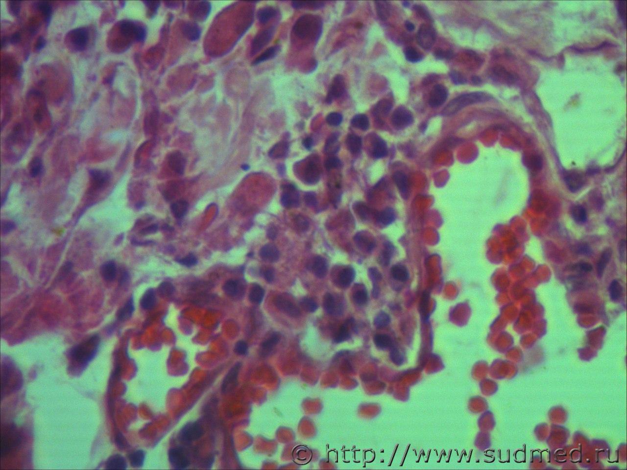
круглоклеточная опухоль, эпителий без патология
Пользователь offline
К началу страницы
+Ответить с цитированием
Медик
сообщение 9.11.2017 - 23:06
Сообщение #4


Учитель
Group Icon
Группа: Модераторы
Регистрация: 16.05.2010
Пользователь №: 21 553


Фото низкого качества.
Попробую предположить,что на фото плазмоцитома и псевдокарциноматозная гиперплазия.
Подождите др.консультантов.
Пользователь offline
К началу страницы
+Ответить с цитированием




- Обратная связь Сейчас: 3.11.2025 - 07:46