Здравствуйте, гость ( Вход | Регистрация )

Форум судебных медиков России
 
>

Пневмония?

>
IVANNES
сообщение 5.04.2018 - 14:51
Сообщение #1


Опытный участник

Группа: СМЭ
Регистрация: 28.02.2015
Пользователь №: 41 483


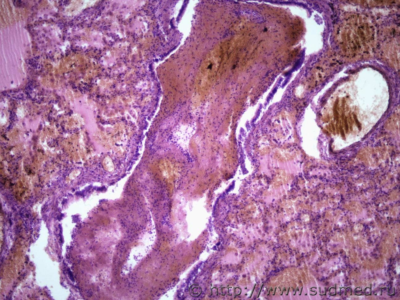
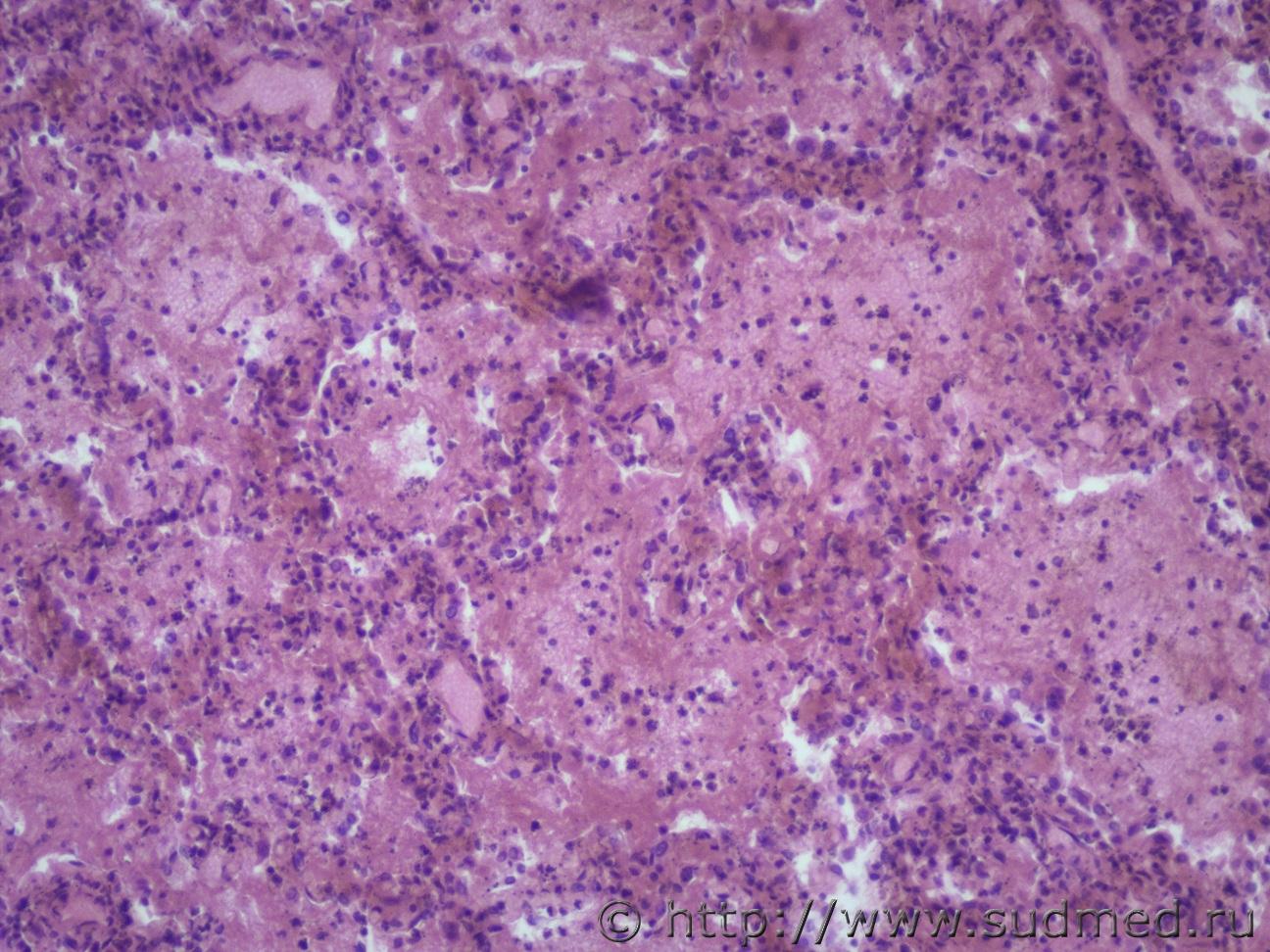
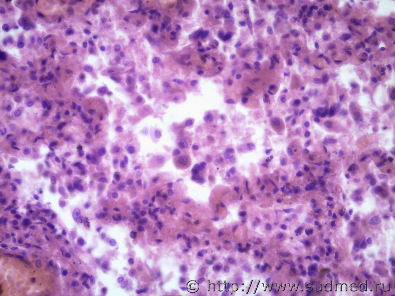
Подскажите как назвать данную пневмонию. По закону парных случаев, на данный момент у меня два разных случая с одинаковой морфологией. В морфологии в альвеолах эозинофильное содержимое, слущенные альвеолоциты, гигантские, многоядерные клетки, выраженный геморрагический компонент, местами немного лейкоцитов, свертки фибрина. Обширные свертки в бронхах. Очень похоже на вирусную, но как ее может назвать морфолог? Судебная медицина - Прикрепленное изображениеСудебная медицина - Прикрепленное изображениеСудебная медицина - Прикрепленное изображениеСудебная медицина - Прикрепленное изображение
Судебная медицина - Прикрепленное изображениеСудебная медицина - Прикрепленное изображениеСудебная медицина - Прикрепленное изображениеСудебная медицина - Прикрепленное изображение
Судебная медицина - Прикрепленное изображениеСудебная медицина - Прикрепленное изображение
Пользователь offline
К началу страницы
+Ответить с цитированием
Anton
сообщение 5.04.2018 - 21:10
Сообщение #2


Мастер II

Группа: СМЭ
Регистрация: 6.12.2011
Из: Опорный край державы
Пользователь №: 30 279


Интерстициально-десквамативная.
Пользователь offline
К началу страницы
+Ответить с цитированием
Медик
сообщение 6.04.2018 - 12:06
Сообщение #3


Учитель
Group Icon
Группа: Модераторы
Регистрация: 16.05.2010
Пользователь №: 21 553


+ местами похоже на гиалиновые мембраны и в капиллярах межальвеолярных перегородок встречаются мегакариоциты.
По-видимому,непосредственная причина смерти ИТШ.
Пользователь offline
К началу страницы
+Ответить с цитированием
IVANNES
сообщение 6.04.2018 - 13:44
Сообщение #4


Опытный участник

Группа: СМЭ
Регистрация: 28.02.2015
Пользователь №: 41 483


Цитата(Медик @ 6.04.2018 - 12:06)
+ местами похоже на гиалиновые мембраны и в капиллярах межальвеолярных перегородок встречаются мегакариоциты.
По-видимому,непосредственная причина смерти ИТШ.

Да, совершенно верно. Признаки РДСВ есть
Пользователь offline
К началу страницы
+Ответить с цитированием
доктор морфолог
сообщение 8.04.2018 - 17:40
Сообщение #5


Мастер I

Группа: СМЭ
Регистрация: 5.12.2013
Пользователь №: 38 421


Цитата(IVANNES @ 6.04.2018 - 16:44)
Да, совершенно верно. Признаки РДСВ есть

ОВБИ осложненная серозно-гнойной пневмонией, геморрагическим отеком, двс-синдром.
Пользователь offline
К началу страницы
+Ответить с цитированием
IVANNES
сообщение 9.04.2018 - 10:46
Сообщение #6


Опытный участник

Группа: СМЭ
Регистрация: 28.02.2015
Пользователь №: 41 483


Всем огромное спасибо за участие.

Сообщение отредактировал IVANNES - 9.04.2018 - 10:47
Пользователь offline
К началу страницы
+Ответить с цитированием




- Обратная связь Сейчас: 4.11.2025 - 15:48