Здравствуйте, гость
(
Вход
|
Регистрация
)
Форум
Правила форума
Помощь
Поиск
Форум судебных медиков России
>
Судебная медицина и судебно-медицинская экспертиза
>
Судебно-медицинская гистология
Рабдомиосаркома, Патрлогически измененные миобласты с многоядерными клетками
Опции
доктор морфолог
25.05.2018 - 17:22
Сообщение
#1
Мастер I
Группа: СМЭ
Регистрация: 5.12.2013
Пользователь №: 38 421
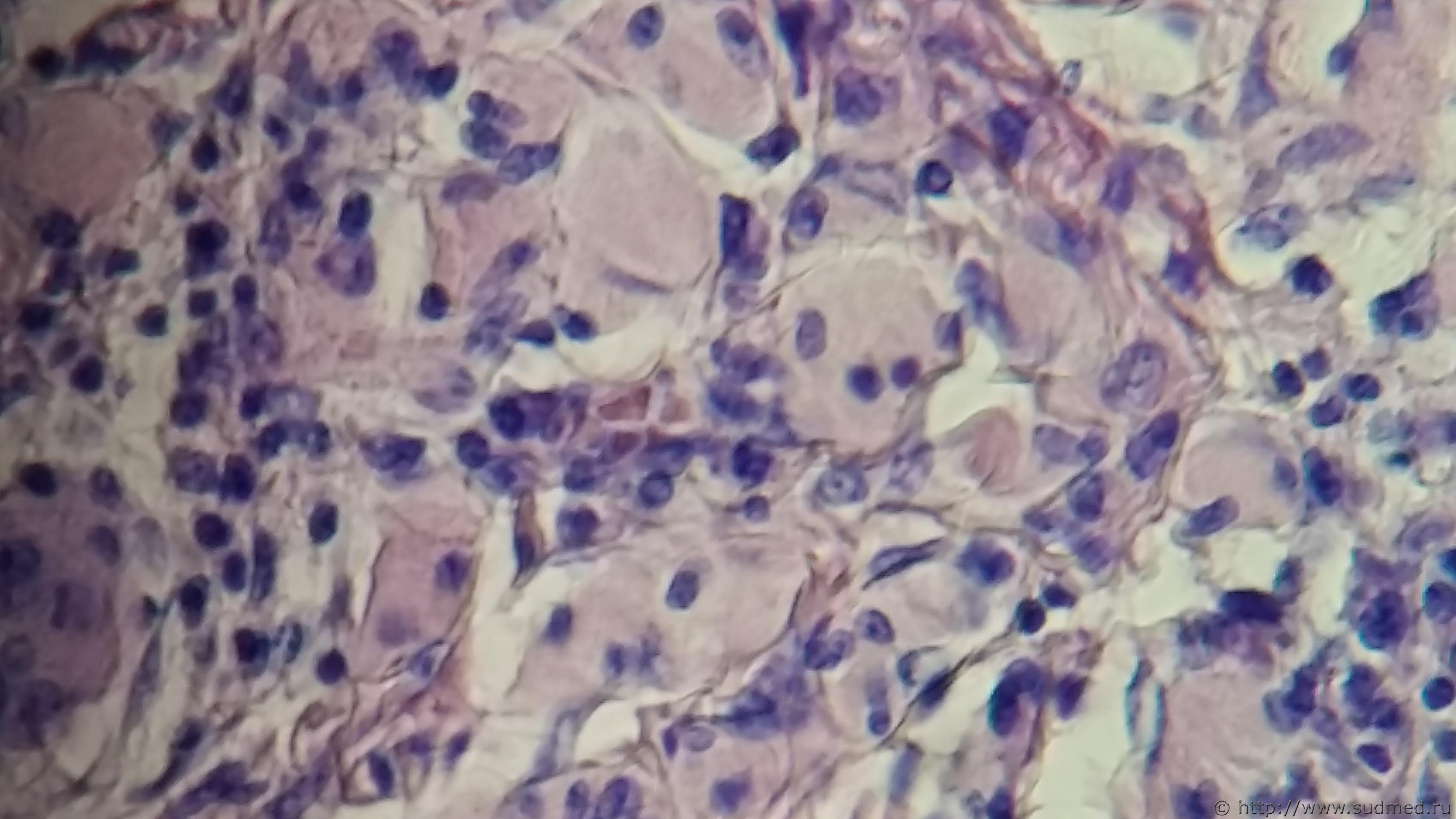
Ж.45 лет. Опухоль мягкой ткани в области груди. Биопсийный материал. Гистологически выставлен Рабдомиосаркома плеоморфный тип. Видны патологически измененные миобласты с эозинофильной цитоплазмой с пролиферацией ядра плеоморфного типа.
Сообщение отредактировал
доктор морфолог
- 25.05.2018 - 17:40
« Предыдущая тема
·
Судебно-медицинская гистология
·
Следующая тема »
Режим отображения:
Стандартный
·
Переключить на: Линейный
·
Переключить на: Древовидный
Подписка на тему
·
Сообщить другу
·
Версия для печати
·
Подписка на этот форум
Обратная связь
Сейчас: 6.11.2025 - 06:08
Русская версия
Invision Power Board
© 2025 IPS, Inc.
Лицензия зарегистрирована на: sudmed.ru
© 2002-2017
Форум судебных медиков России
Копирование материалов сайта возможно при условии размещения активной ссылки на источник.