Здравствуйте, гость ( Вход | Регистрация )

Форум судебных медиков России
 
>

Опухоль матки

>
IVANNES
сообщение 13.08.2018 - 12:17
Сообщение #1


Опытный участник

Группа: СМЭ
Регистрация: 28.02.2015
Пользователь №: 41 483


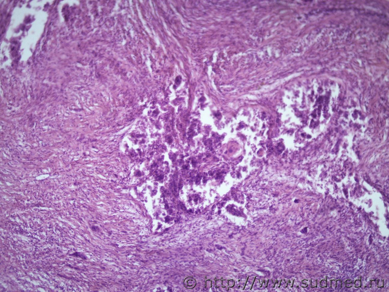
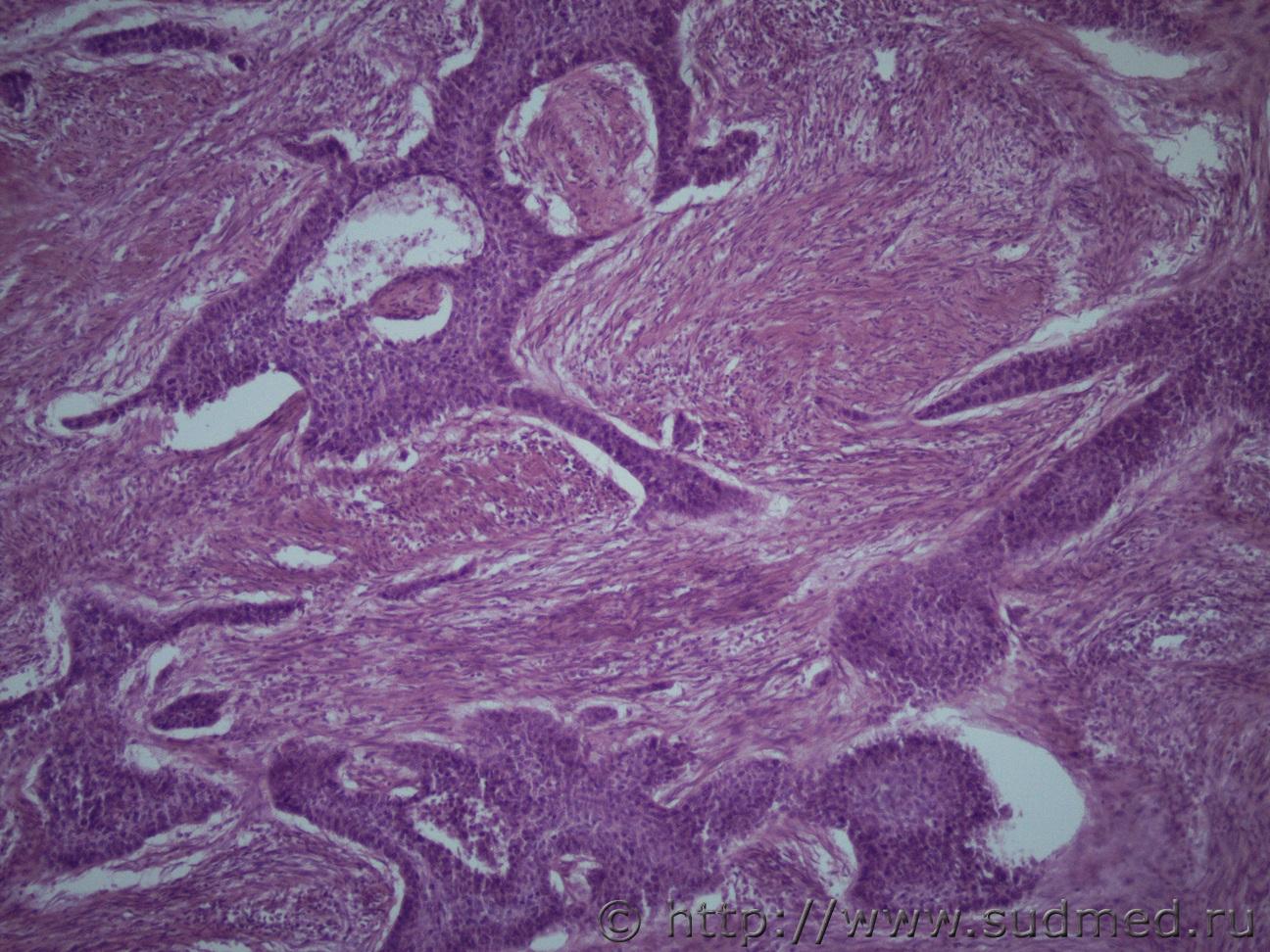
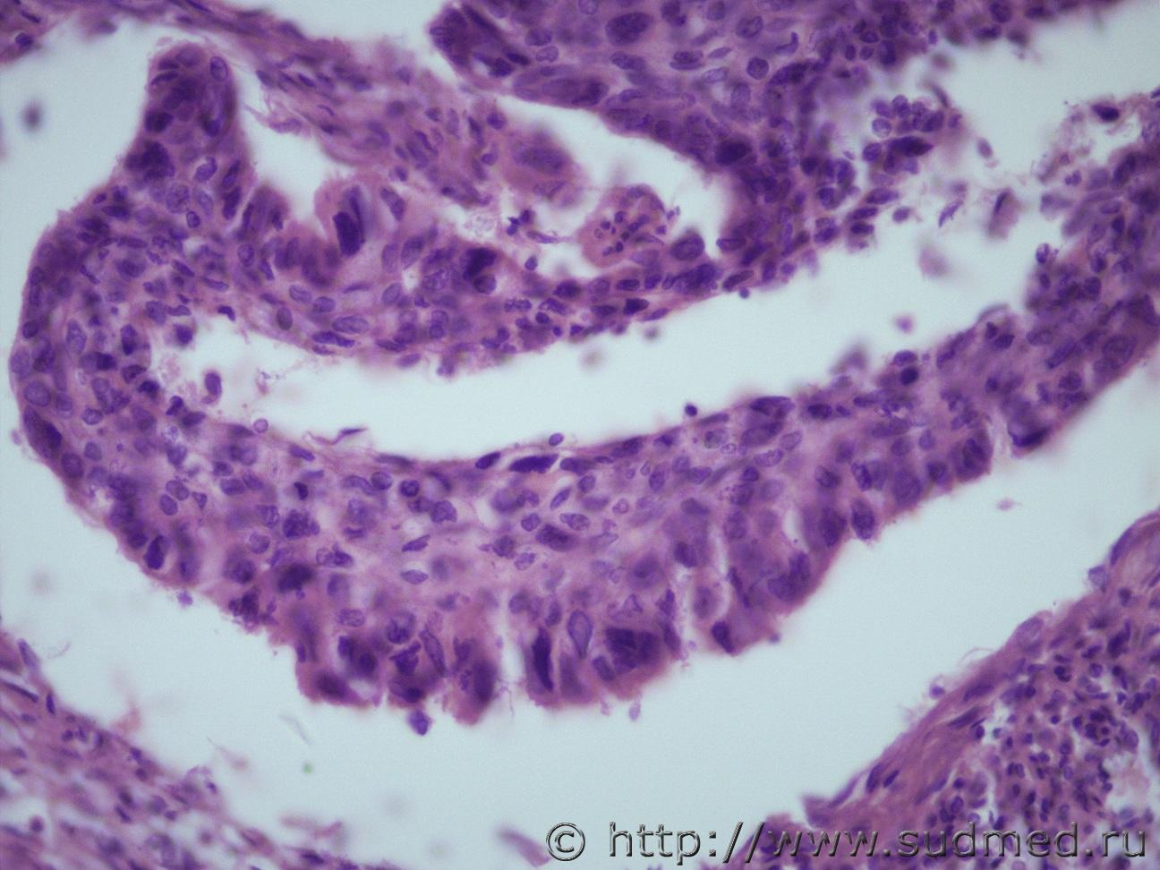
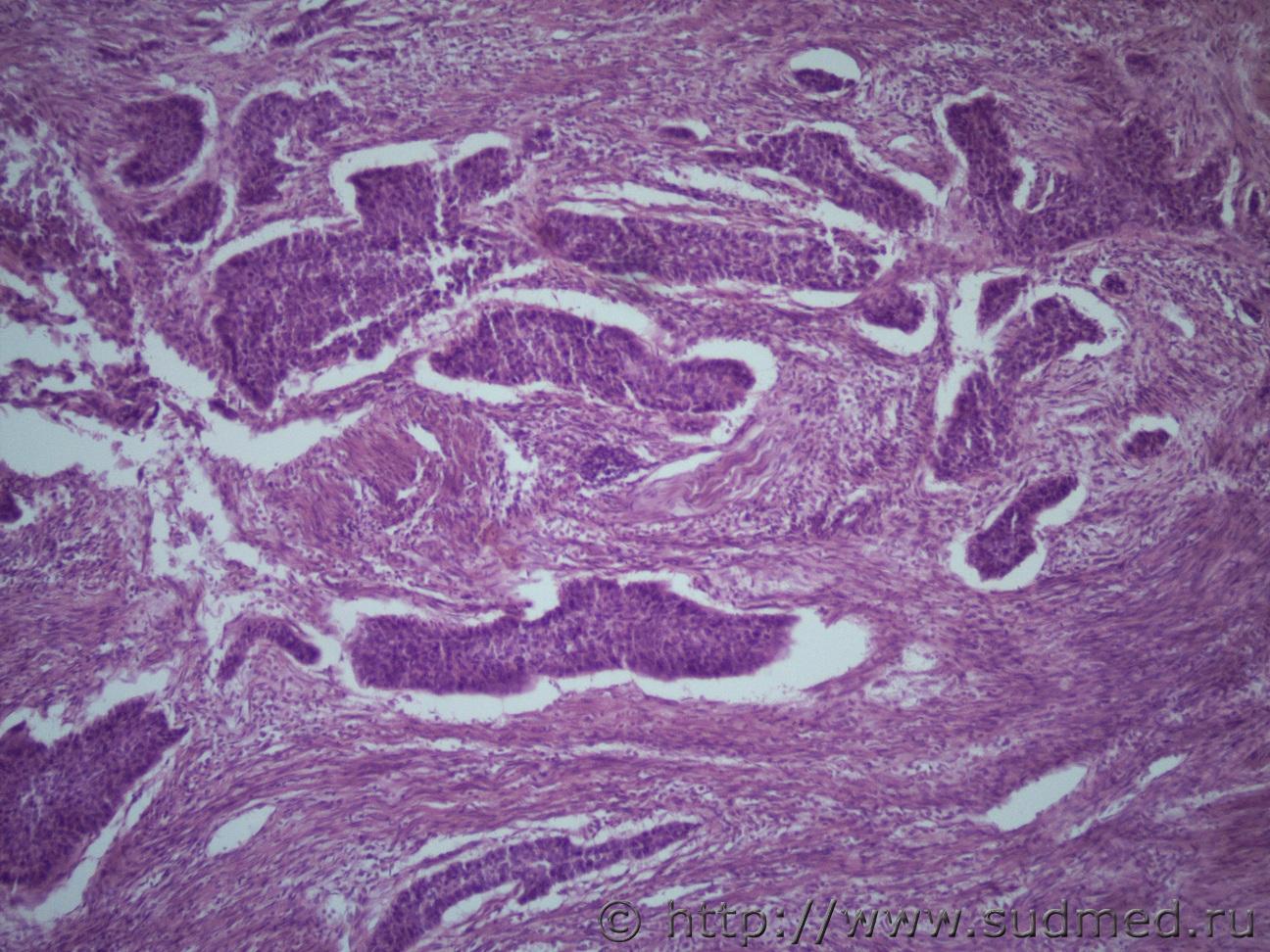
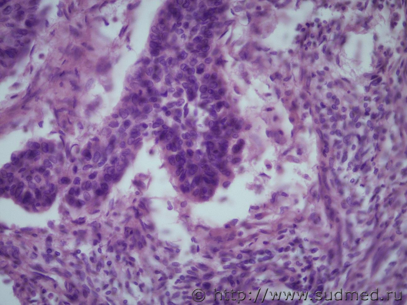
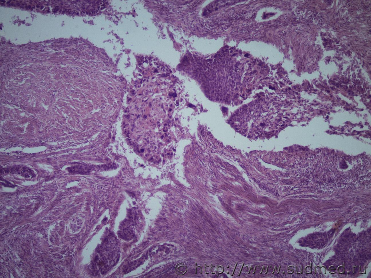
Ув. коллеги, это опять я. Сегодня день опухолей))) Жен 1984 г.р Опухоль матки Судебная медицина - Прикрепленное изображение Судебная медицина - Прикрепленное изображениеСудебная медицина - Прикрепленное изображениеСудебная медицина - Прикрепленное изображениеСудебная медицина - Прикрепленное изображение
Судебная медицина - Прикрепленное изображениеСудебная медицина - Прикрепленное изображениеСудебная медицина - Прикрепленное изображениеСудебная медицина - Прикрепленное изображение
Судебная медицина - Прикрепленное изображение
Пользователь offline
К началу страницы
+Ответить с цитированием
Медик
сообщение 13.08.2018 - 22:43
Сообщение #2


Учитель
Group Icon
Группа: Модераторы
Регистрация: 16.05.2010
Пользователь №: 21 553


Плоскоклеточный низкодифференцированный рак.
Пользователь offline
К началу страницы
+Ответить с цитированием
доктор морфолог
сообщение 14.08.2018 - 21:54
Сообщение #3


Мастер I

Группа: СМЭ
Регистрация: 5.12.2013
Пользователь №: 38 421


Цитата(Медик @ 14.08.2018 - 01:43)
Плоскоклеточный низкодифференцированный рак.

Согласен. Имеет место базальноклеточная плоскоклеточная карцинома, возможно метастатическая.
Пользователь offline
К началу страницы
+Ответить с цитированием




- Обратная связь Сейчас: 2.11.2025 - 13:31