Здравствуйте, гость ( Вход | Регистрация )

Форум судебных медиков России
 
>

Опухоль матки

>
IVANNES
сообщение 13.08.2018 - 12:20
Сообщение #1


Опытный участник

Группа: СМЭ
Регистрация: 28.02.2015
Пользователь №: 41 483


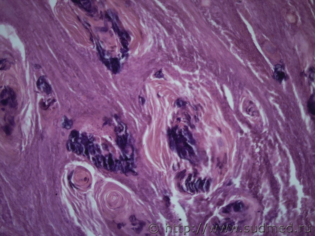
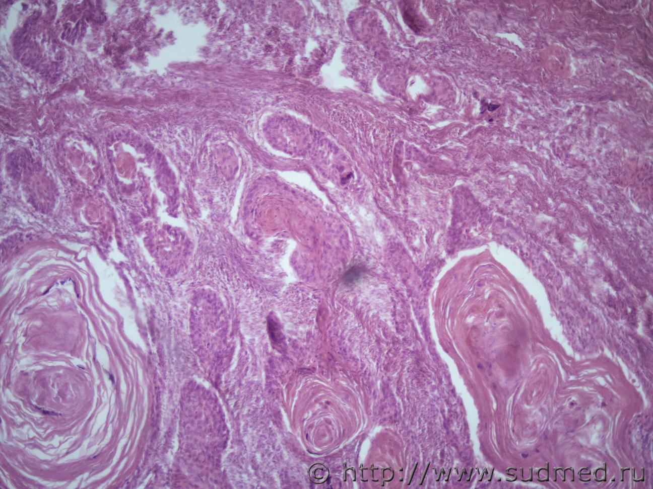
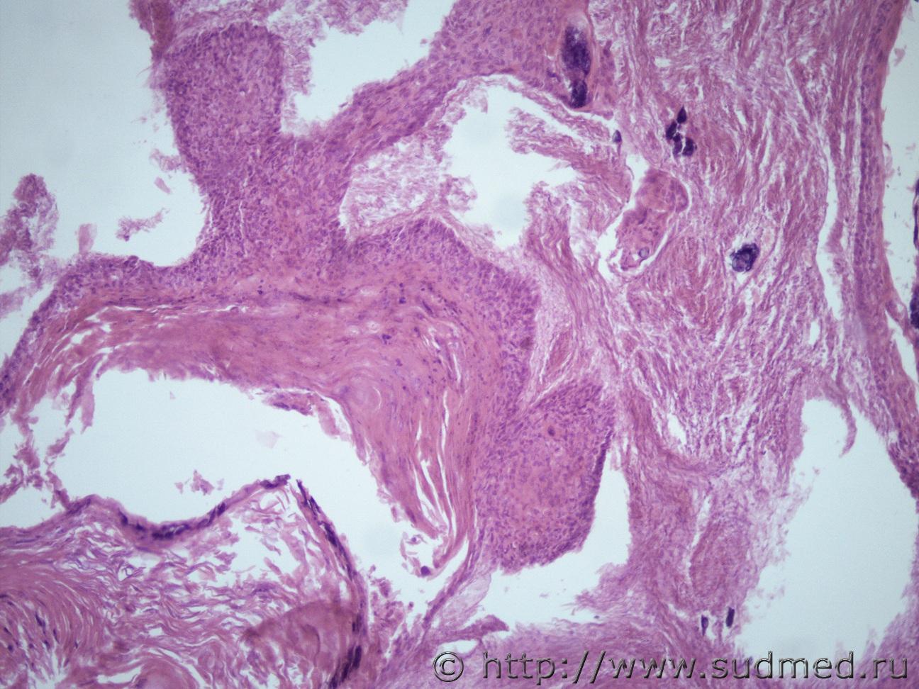
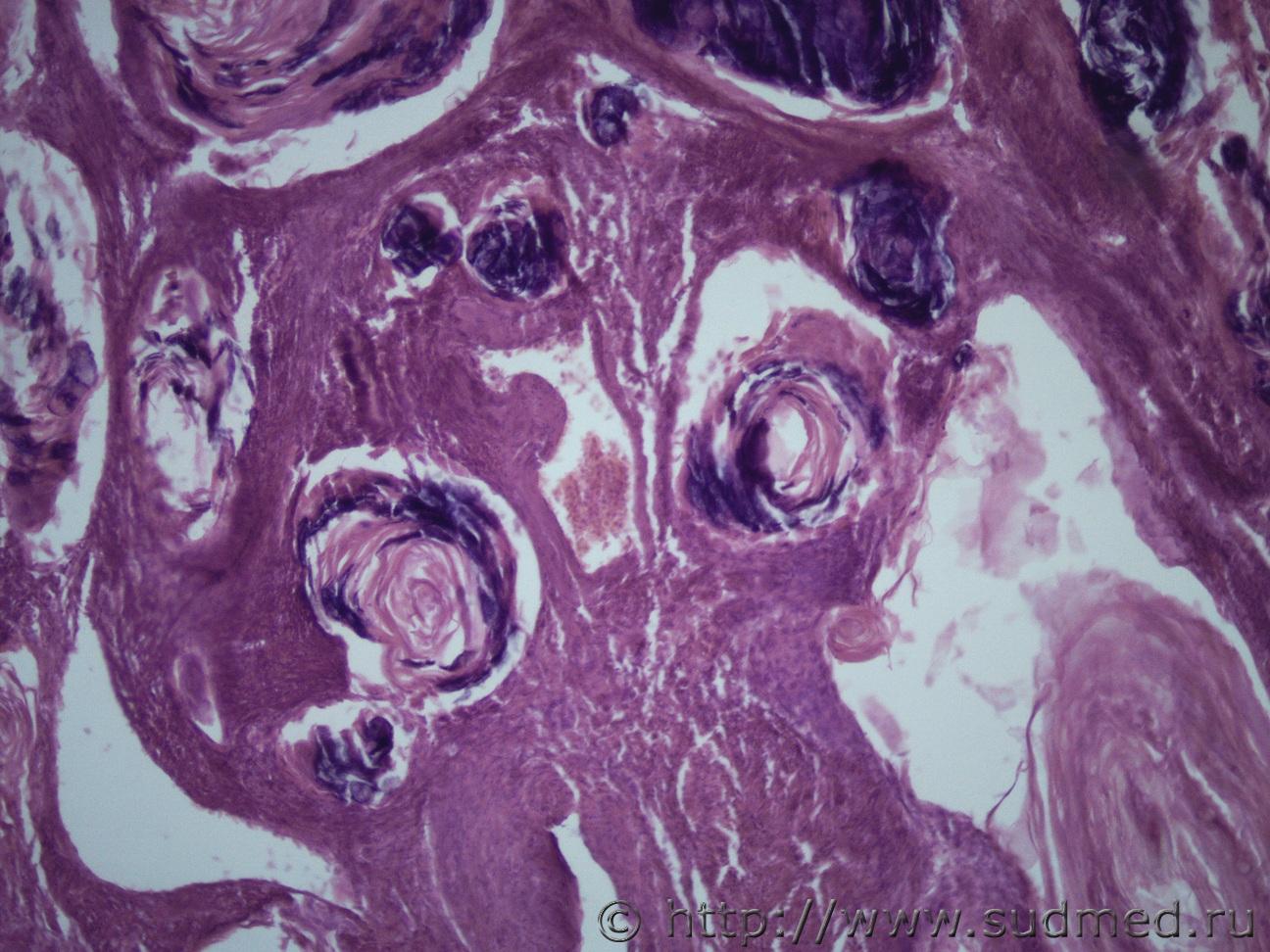
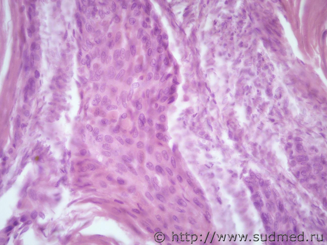
И еще одна опухоль матки жен 1969 г.рСудебная медицина - Прикрепленное изображение Судебная медицина - Прикрепленное изображениеСудебная медицина - Прикрепленное изображениеСудебная медицина - Прикрепленное изображениеСудебная медицина - Прикрепленное изображение
Судебная медицина - Прикрепленное изображениеСудебная медицина - Прикрепленное изображениеСудебная медицина - Прикрепленное изображениеСудебная медицина - Прикрепленное изображение
Судебная медицина - Прикрепленное изображениеСудебная медицина - Прикрепленное изображение
Пользователь offline
К началу страницы
+Ответить с цитированием
Медик
сообщение 13.08.2018 - 22:42
Сообщение #2


Учитель
Group Icon
Группа: Модераторы
Регистрация: 16.05.2010
Пользователь №: 21 553


Плоскоклеточный умереннодифференцированный рак,инвазия в железы.
Пользователь offline
К началу страницы
+Ответить с цитированием
доктор морфолог
сообщение 14.08.2018 - 21:52
Сообщение #3


Мастер I

Группа: СМЭ
Регистрация: 5.12.2013
Пользователь №: 38 421


Цитата(Медик @ 14.08.2018 - 01:42)
Плоскоклеточный умереннодифференцированный рак,инвазия в железы.

Согласен! Наблюдается ороговение в виде жемчужин.
Пользователь offline
К началу страницы
+Ответить с цитированием
IVANNES
сообщение 15.08.2018 - 08:34
Сообщение #4


Опытный участник

Группа: СМЭ
Регистрация: 28.02.2015
Пользователь №: 41 483


Спасибо
Пользователь offline
К началу страницы
+Ответить с цитированием




- Обратная связь Сейчас: 5.11.2025 - 19:40