Здравствуйте, гость ( Вход | Регистрация )

Форум судебных медиков России
 
>

Метастазы

>
a..anka
сообщение 22.08.2018 - 13:11
Сообщение #1


Участник форума

Группа: Участники
Регистрация: 10.11.2014
Пользователь №: 40 705


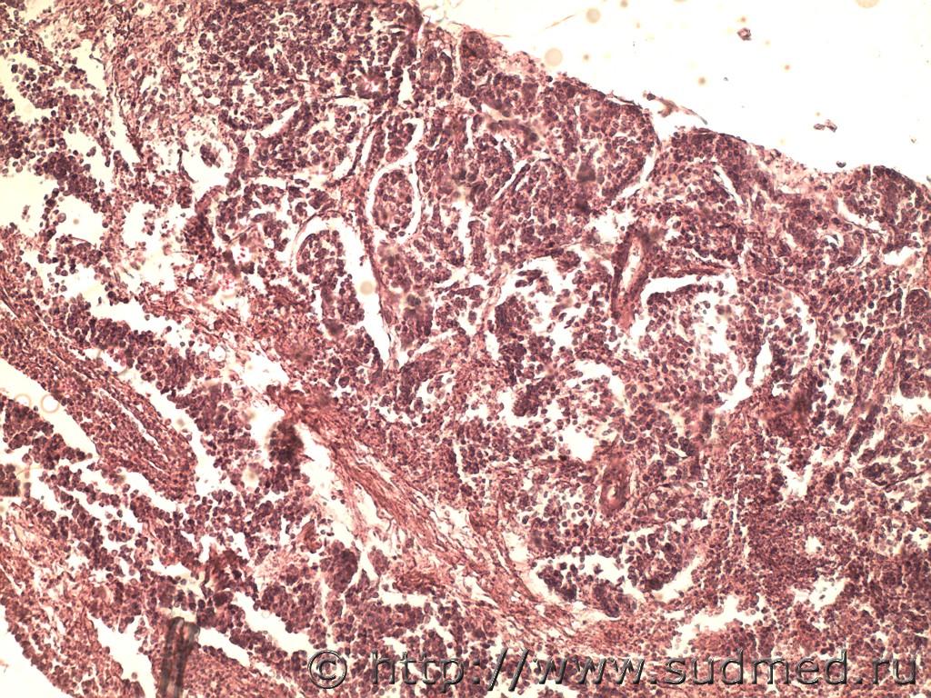
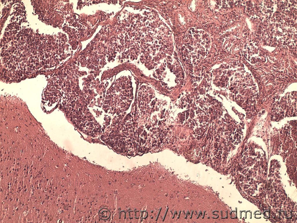
Уважаемы коллеги! У меня женщина 1977 г.р на вскрытии в области малого таза обширные спайки, клетчатка замещена патологической тканью хрящевой плотности, дифференцировать внутренние половые органы было невозможно; метастазы в ММО полушарий, мозжечка, спинного мозга, костях. Со слов родственников при жизни диагностирован рак половых органов (то ли яичников, то ли матки- внятно не могут ответить), долгая химиотерапия. У меня микропрепараты клетчатки малого таза, ММО структур ГМ и СМ, позвоночник с раком (полагаю, метастазы). Скажите, возможно ли дифференцировать название опухоли по метастазам, как вы пишете в таком случае диагноз? Не хочу промахнуться, иначе потом родственники найдут дома документы с названием рака и не дай бог это не совпадёт с моим диагнозом, будут разборки. Заранее спасибо


Эскизы прикрепленных изображений
Судебная медицина - Прикрепленное изображение Судебная медицина - Прикрепленное изображение Судебная медицина - Прикрепленное изображение Судебная медицина - Прикрепленное изображение Судебная медицина - Прикрепленное изображение Судебная медицина - Прикрепленное изображение Судебная медицина - Прикрепленное изображение Судебная медицина - Прикрепленное изображение Судебная медицина - Прикрепленное изображение Судебная медицина - Прикрепленное изображение Судебная медицина - Прикрепленное изображение
Пользователь offline
К началу страницы
+Ответить с цитированием
Медик
сообщение 22.08.2018 - 13:30
Сообщение #2


Учитель
Group Icon
Группа: Модераторы
Регистрация: 16.05.2010
Пользователь №: 21 553


Выдал бы следующее : недифференцированный рак.
Не гадал бы и не ломал голову.

Сообщение отредактировал Медик - 22.08.2018 - 13:31
Пользователь offline
К началу страницы
+Ответить с цитированием
доктор морфолог
сообщение 27.08.2018 - 19:16
Сообщение #3


Мастер I

Группа: СМЭ
Регистрация: 5.12.2013
Пользователь №: 38 421


Цитата(Медик @ 22.08.2018 - 16:30)
Выдал бы следующее : недифференцированный рак.
Не гадал бы и не ломал голову.

Согласен! Мелкоклеточная (метастатическая) карцинома не уточненного генеза( это м.б.что угодно и их видов очень много)

Цитата(Медик @ 22.08.2018 - 16:30)
Выдал бы следующее : недифференцированный рак.
Не гадал бы и не ломал голову.

Согласен! Мелкоклеточная (метастатическая) карцинома не уточненного генеза( это м.б.что угодно и их видов очень много)
Пользователь offline
К началу страницы
+Ответить с цитированием




- Обратная связь Сейчас: 4.11.2025 - 10:55