Здравствуйте, гость ( Вход | Регистрация )

Форум судебных медиков России
 
>

Новообразование головного мозга

>
IVANNES
сообщение 5.10.2018 - 12:10
Сообщение #1


Опытный участник

Группа: СМЭ
Регистрация: 28.02.2015
Пользователь №: 41 483


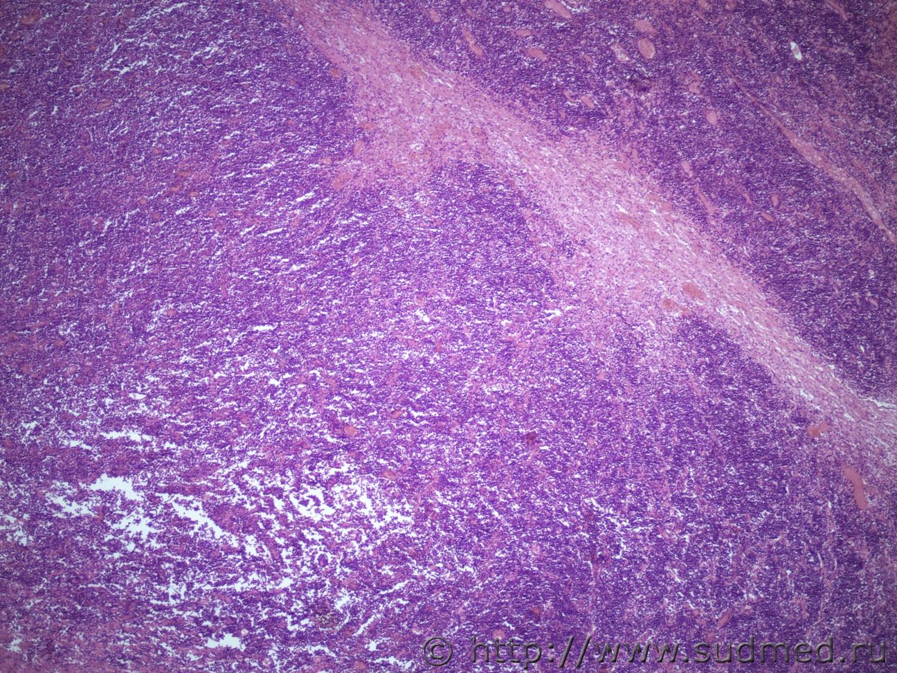
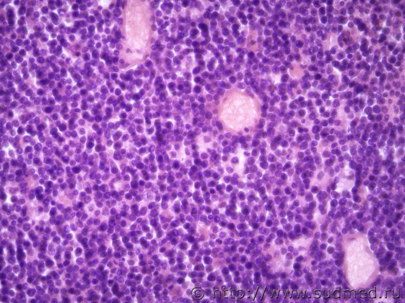
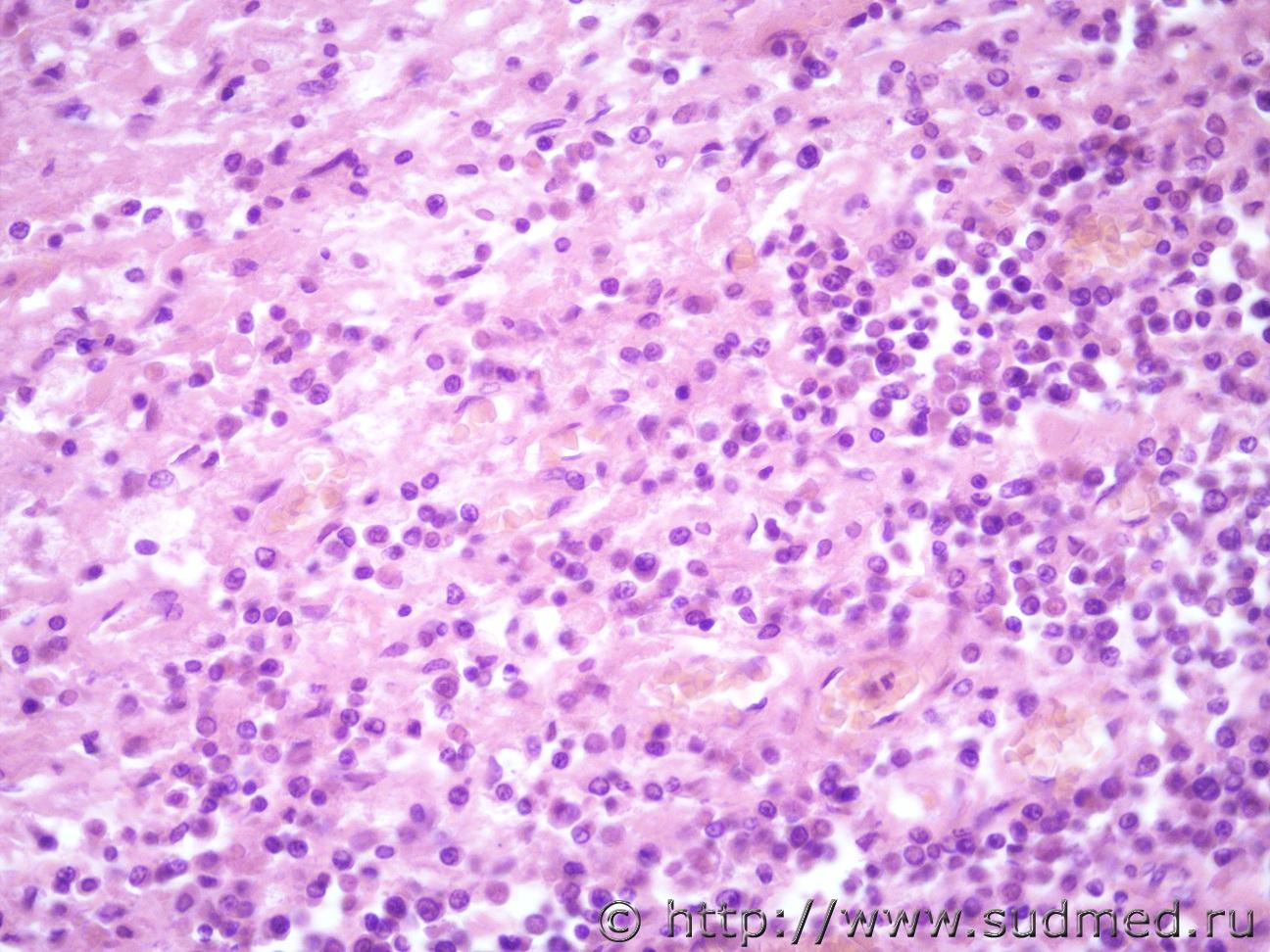
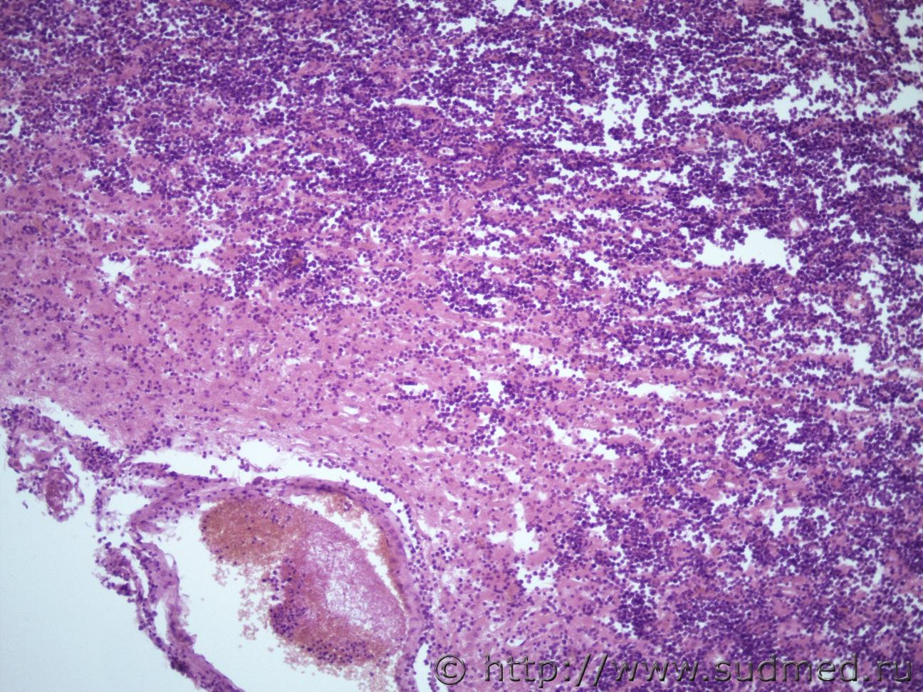
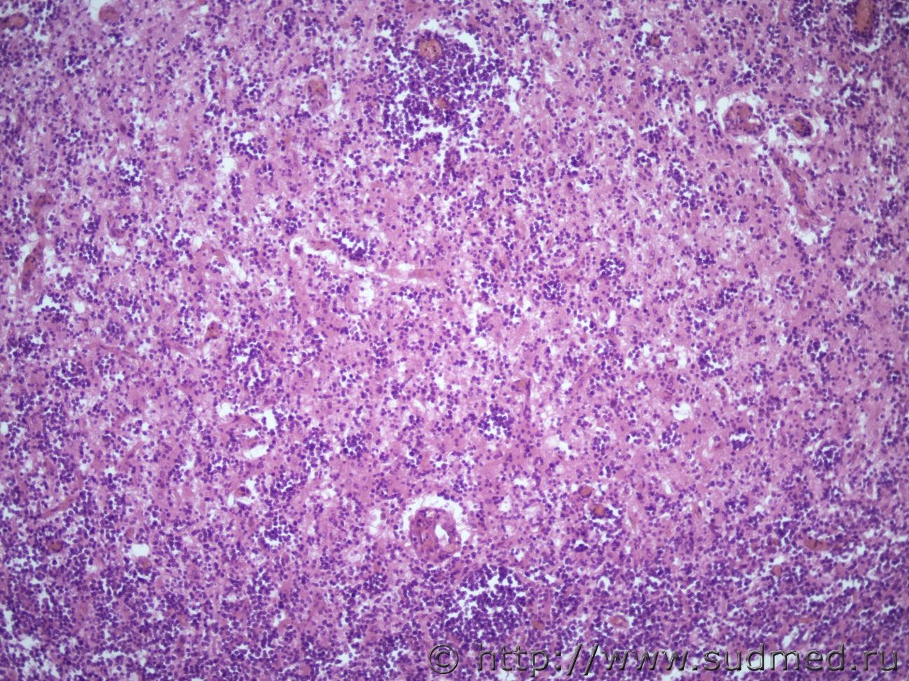
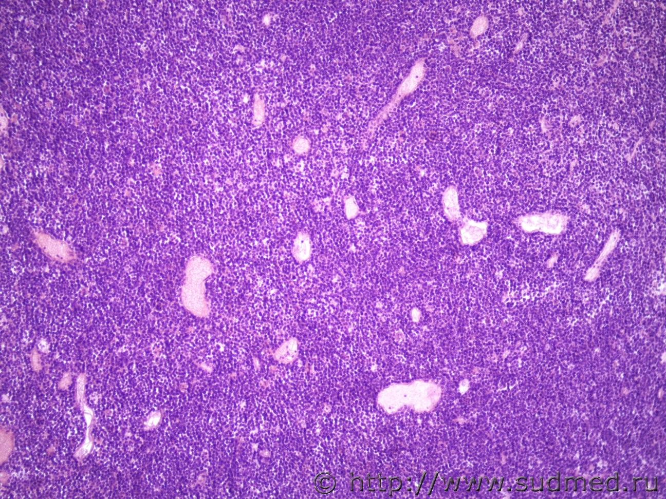
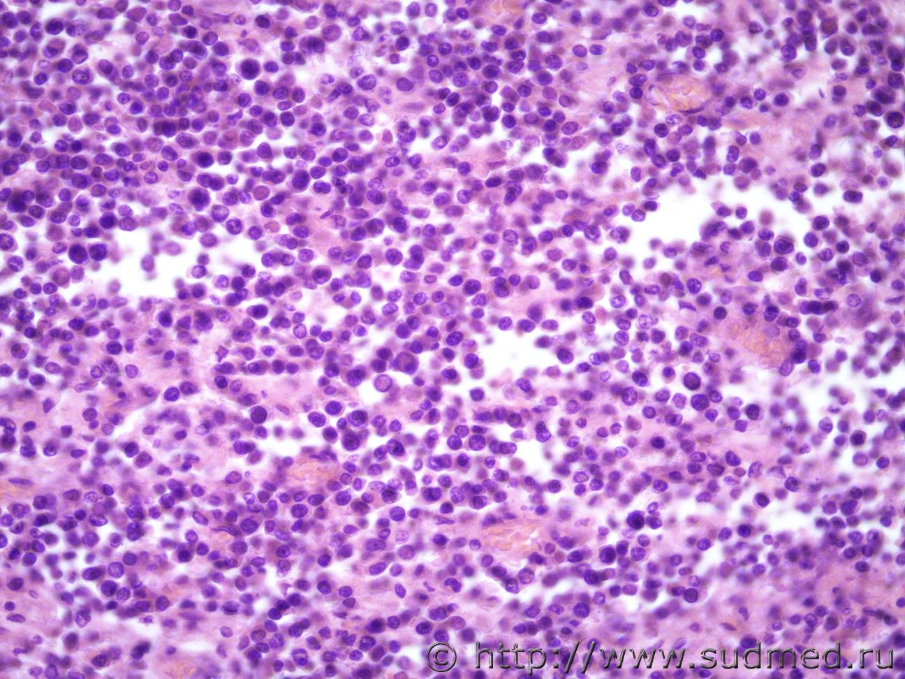
И снова здравствуйте ув. коллеги. Я к вам за помощью и как всегда с опухолью. Муж 68 лет новообразование с захватом всей лобной доли и стенки бокового желудочка, узел эластичный, диаметр 7,5 см. Судебная медицина - Прикрепленное изображение Судебная медицина - Прикрепленное изображениеСудебная медицина - Прикрепленное изображениеСудебная медицина - Прикрепленное изображениеСудебная медицина - Прикрепленное изображение
Судебная медицина - Прикрепленное изображениеСудебная медицина - Прикрепленное изображениеСудебная медицина - Прикрепленное изображениеСудебная медицина - Прикрепленное изображение
Пользователь offline
К началу страницы
+Ответить с цитированием
Медик
сообщение 5.10.2018 - 19:34
Сообщение #2


Учитель
Group Icon
Группа: Модераторы
Регистрация: 16.05.2010
Пользователь №: 21 553


Не метастаз ли недифференцированного (мелкоклеточного) рака ?
Пользователь offline
К началу страницы
+Ответить с цитированием
sudmedpatolog
сообщение 6.10.2018 - 21:35
Сообщение #3


Новичок

Группа: Участники
Регистрация: 27.10.2016
Пользователь №: 44 738


Первое что пришло в голову: нейроцитома или лимфома.
Пользователь offline
К началу страницы
+Ответить с цитированием
доктор морфолог
сообщение 7.10.2018 - 20:29
Сообщение #4


Мастер I

Группа: СМЭ
Регистрация: 5.12.2013
Пользователь №: 38 421


Цитата(sudmedpatolog @ 7.10.2018 - 00:35)
Первое что пришло в голову: нейроцитома или лимфома.

Я склоняюсь больше на лимфому......
Пользователь offline
К началу страницы
+Ответить с цитированием
IVANNES
сообщение 8.10.2018 - 09:22
Сообщение #5


Опытный участник

Группа: СМЭ
Регистрация: 28.02.2015
Пользователь №: 41 483


Цитата(Медик @ 5.10.2018 - 19:34)
Не метастаз ли недифференцированного (мелкоклеточного) рака ?

Эксперт описывает еще что есть образование в плевре и частично в легком, но в том материале что он предоставил, кроме резко утолщенной, фиброзированной плевры, хронического бронхита и участков пневмосклероза нет ничего.
Пользователь offline
К началу страницы
+Ответить с цитированием




- Обратная связь Сейчас: 4.11.2025 - 21:55