Здравствуйте, гость ( Вход | Регистрация )

Форум судебных медиков России
 
>

Гранулёмы и ВИЧ

>
a..anka
сообщение 12.10.2018 - 12:16
Сообщение #1


Участник форума

Группа: Участники
Регистрация: 10.11.2014
Пользователь №: 40 705


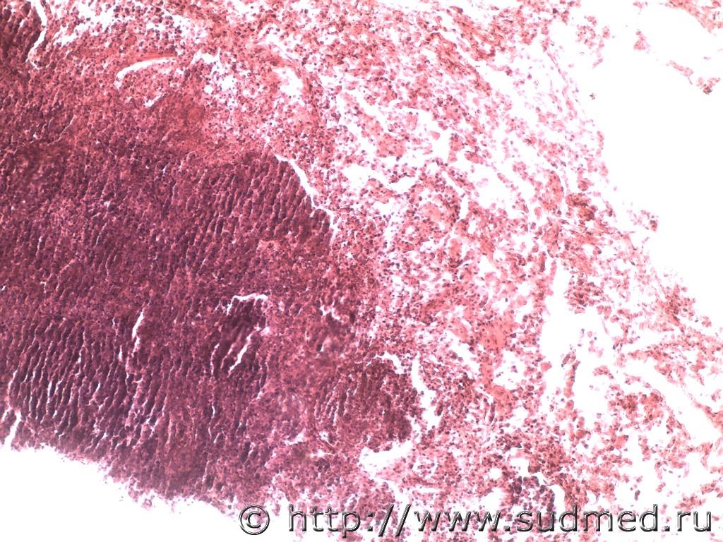
Уважаемы коллеги, нужна помощь. Не могу определиться с заболеванием. На секции женщина 1964 г, ВИЧ- инфицирована. В лёгких, печени, почках, надпочечниках, селезёнке многочисленные просовидные белесоватые округлые и овальные включения. Спленомегалия. В микропрепаратах во всех внутренних органах многочисленные гранулёмы с некрозом и нагноением, скудной эпителиальной и макрофагальной реакцией, отсутствием гигантских многоядерных клеток. Некроз несколько базофильный, похож на казеоз, но окраска по Цилю- Нильсено отрицательная, соответственно туберкулёз, микробактериоз исключаю. Мучают сомнения, может, это такие пиемические очаги у ВИЧ? Встречали ли вы что- то подобное? На представленных фотках- лёгкие, надпочечники, селезёнка. Фото не очень удачные, прошу прощения, камера старая.


Эскизы прикрепленных изображений
Судебная медицина - Прикрепленное изображение Судебная медицина - Прикрепленное изображение Судебная медицина - Прикрепленное изображение Судебная медицина - Прикрепленное изображение Судебная медицина - Прикрепленное изображение Судебная медицина - Прикрепленное изображение Судебная медицина - Прикрепленное изображение Судебная медицина - Прикрепленное изображение Судебная медицина - Прикрепленное изображение Судебная медицина - Прикрепленное изображение Судебная медицина - Прикрепленное изображение
Пользователь offline
К началу страницы
+Ответить с цитированием
Anton
сообщение 12.10.2018 - 16:13
Сообщение #2


Мастер II

Группа: СМЭ
Регистрация: 6.12.2011
Из: Опорный край державы
Пользователь №: 30 279


Грибковый сепсис. Предположу актиномикоз.
Пользователь offline
К началу страницы
+Ответить с цитированием
Медик
сообщение 14.10.2018 - 00:15
Сообщение #3


Учитель
Group Icon
Группа: Модераторы
Регистрация: 16.05.2010
Пользователь №: 21 553


Цитата(Anton @ 12.10.2018 - 17:13)
Грибковый

На последнем фото похоже.Вроде мицелий разглядел.

Сообщение отредактировал Медик - 14.10.2018 - 00:20
Пользователь offline
К началу страницы
+Ответить с цитированием
доктор морфолог
сообщение 14.10.2018 - 19:40
Сообщение #4


Мастер I

Группа: СМЭ
Регистрация: 5.12.2013
Пользователь №: 38 421


Цитата(Медик @ 14.10.2018 - 03:15)
На последнем фото похоже.Вроде мицелий разглядел.

Согласен что грибковый сепсис похоже. Вокруг гранулем много плазматических клеток
Пользователь offline
К началу страницы
+Ответить с цитированием
a..anka
сообщение 15.10.2018 - 09:26
Сообщение #5


Участник форума

Группа: Участники
Регистрация: 10.11.2014
Пользователь №: 40 705


Я и сама сначала думала про микотическую инфекцию (грибковый сепсис). Но засомневалась, когда совсем не нашла мицелия грибов нигде, хотя гранулёмы весьма характерные. Правомочно ли мне в таком случае написать: диссеминированная микотическая инфекция (грибковый сепсис) с поражением легких, печени, надпочечников, селезёнки?
Пользователь offline
К началу страницы
+Ответить с цитированием
Anton
сообщение 15.10.2018 - 13:31
Сообщение #6


Мастер II

Группа: СМЭ
Регистрация: 6.12.2011
Из: Опорный край державы
Пользователь №: 30 279


Гистологу правомочно, танатологу - нет.
Пользователь offline
К началу страницы
+Ответить с цитированием
Медик
сообщение 15.10.2018 - 21:55
Сообщение #7


Учитель
Group Icon
Группа: Модераторы
Регистрация: 16.05.2010
Пользователь №: 21 553


Цитата(a..anka @ 15.10.2018 - 10:26)
Правомочно ли мне в таком случае написать: диссеминированная микотическая инфекция (грибковый сепсис) с поражением легких, печени, надпочечников, селезёнки?

А может так :
Грибковый сепсис : друзы и мицелий грибов в (перечислить внутр.органы).
Пользователь offline
К началу страницы
+Ответить с цитированием




- Обратная связь Сейчас: 6.11.2025 - 13:20