Здравствуйте, гость ( Вход | Регистрация )

Форум судебных медиков России
 
>

Опухоль

>
IVANNES
сообщение 17.10.2018 - 12:20
Сообщение #1


Опытный участник

Группа: СМЭ
Регистрация: 28.02.2015
Пользователь №: 41 483


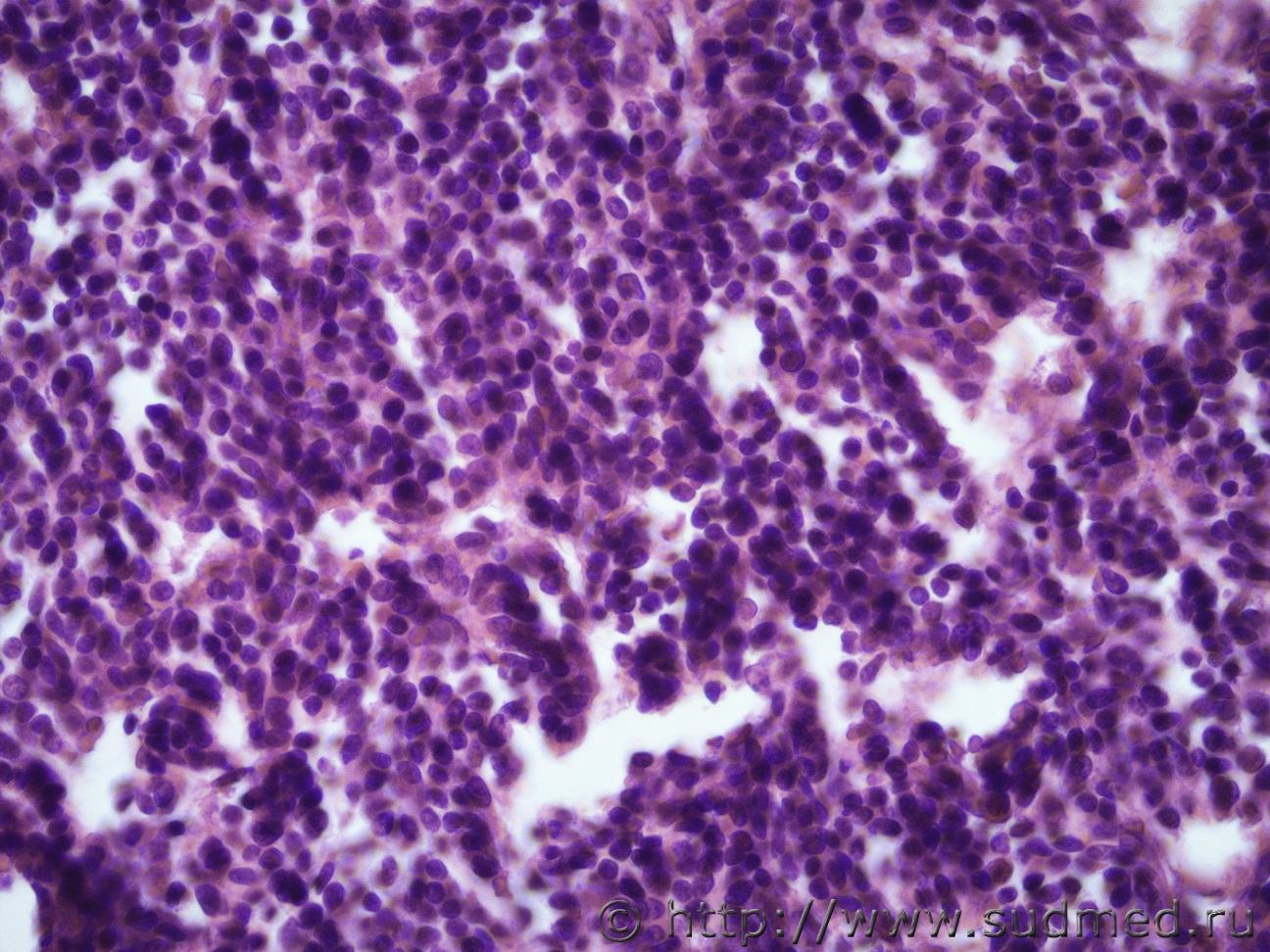
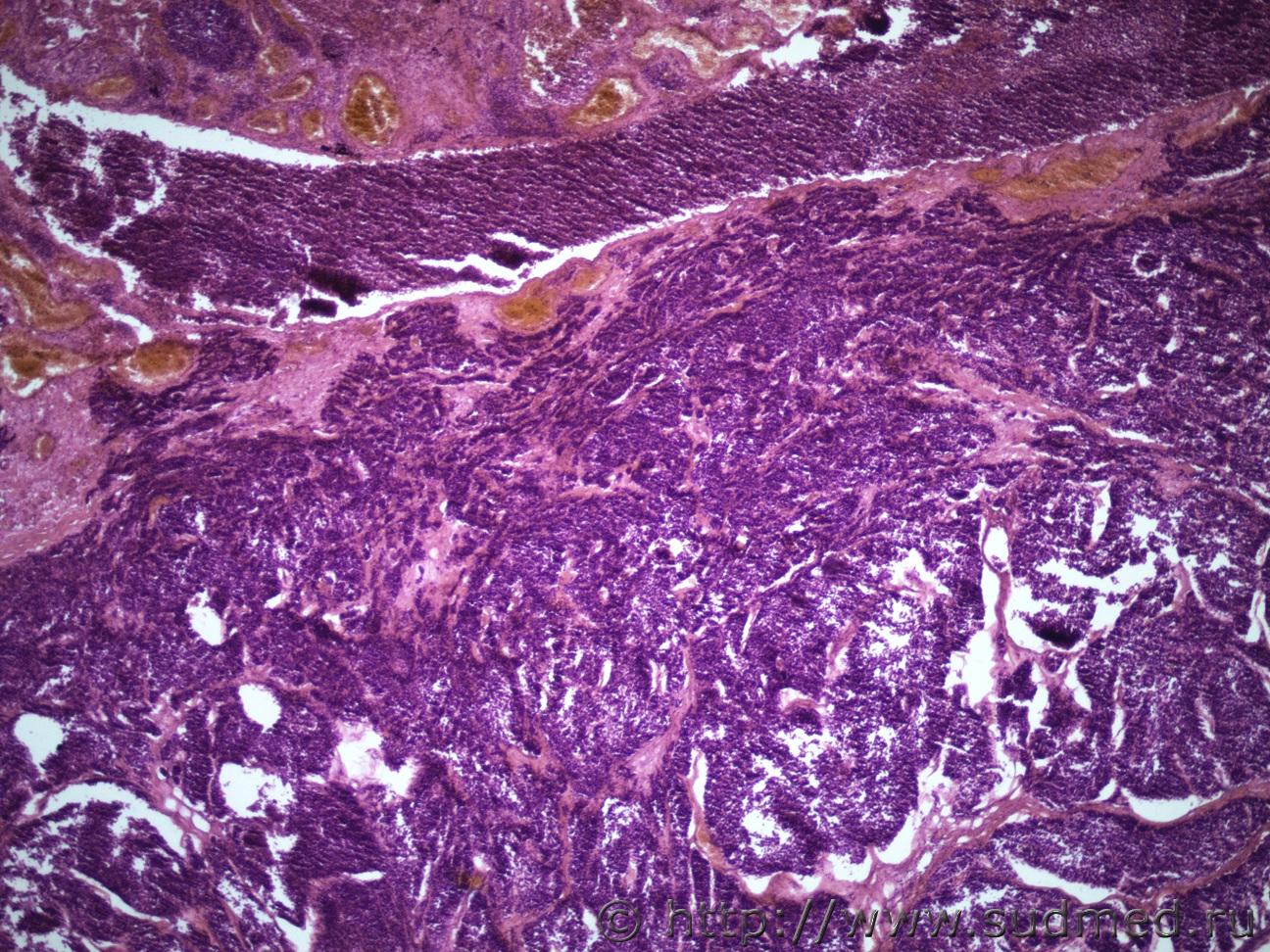
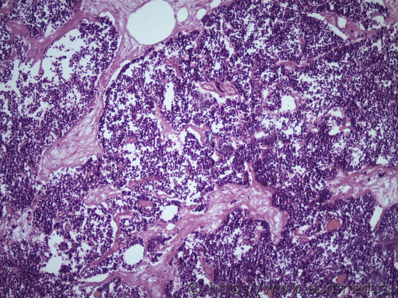
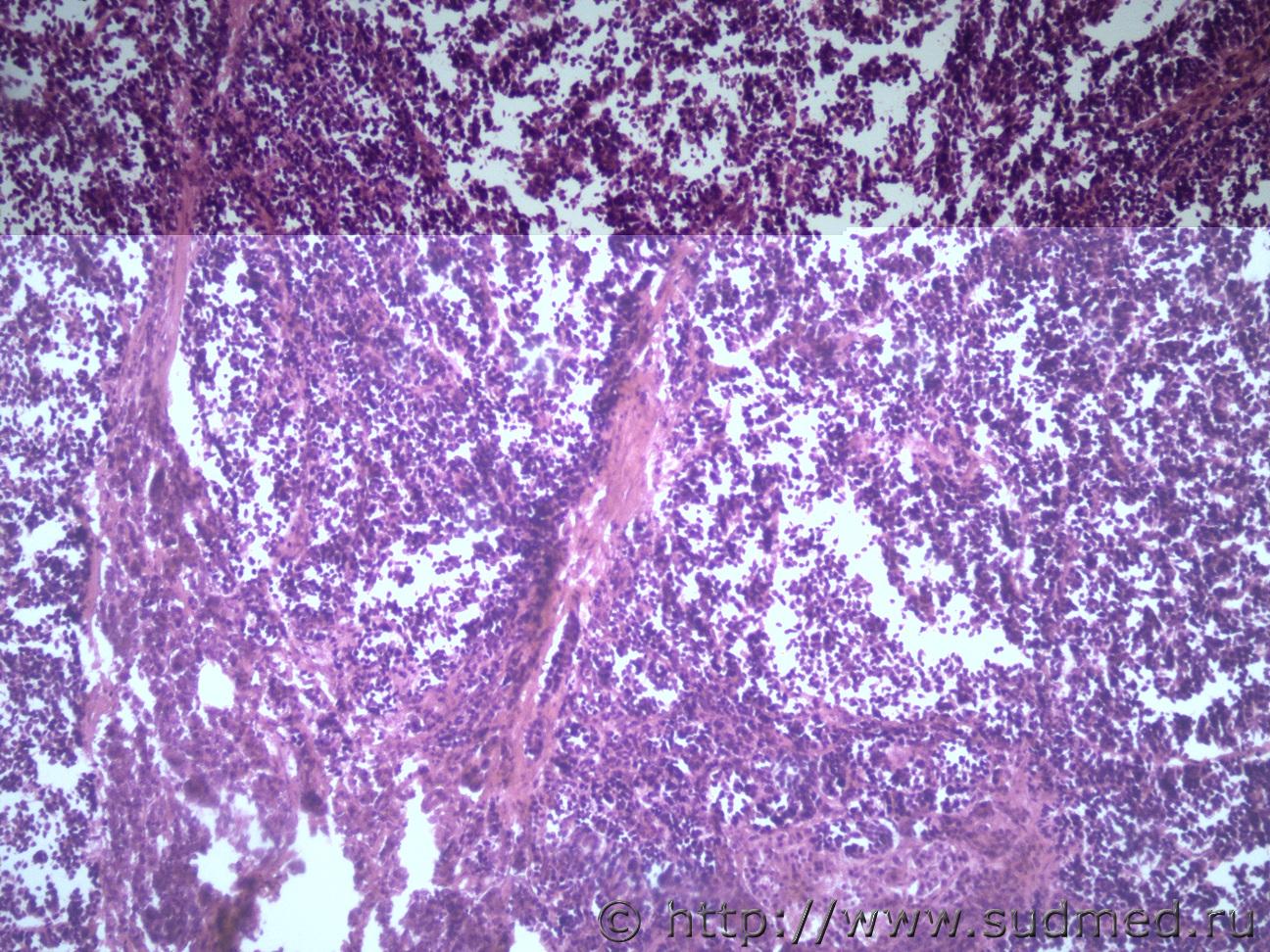
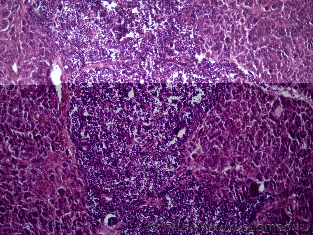
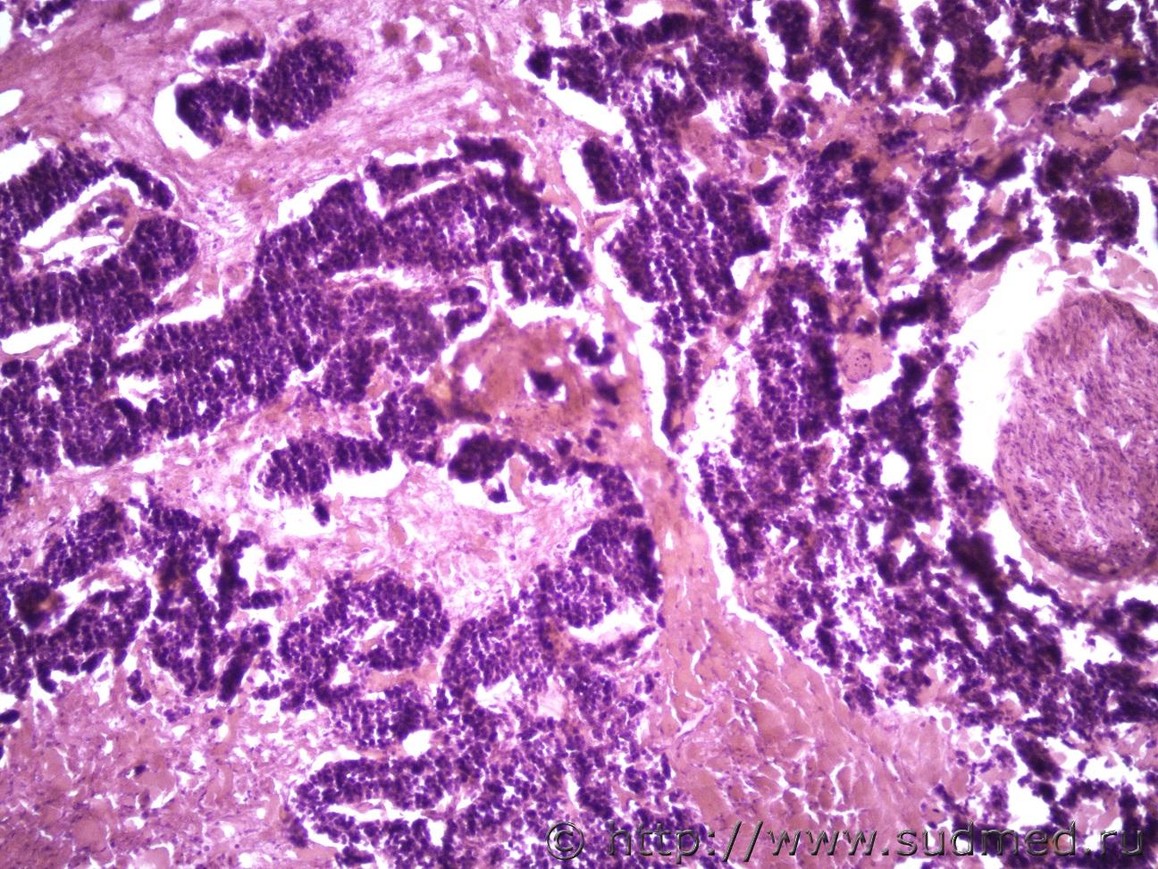
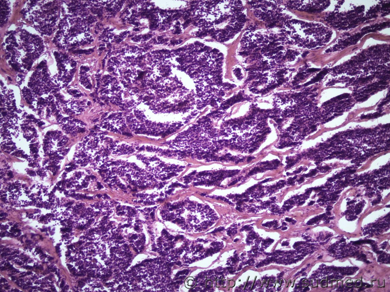
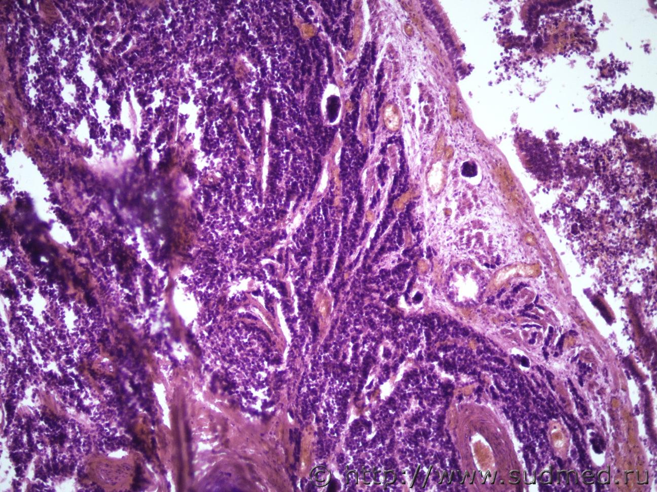
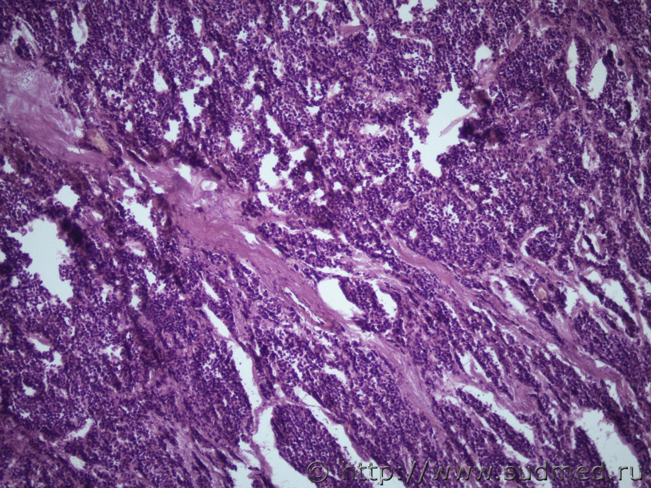
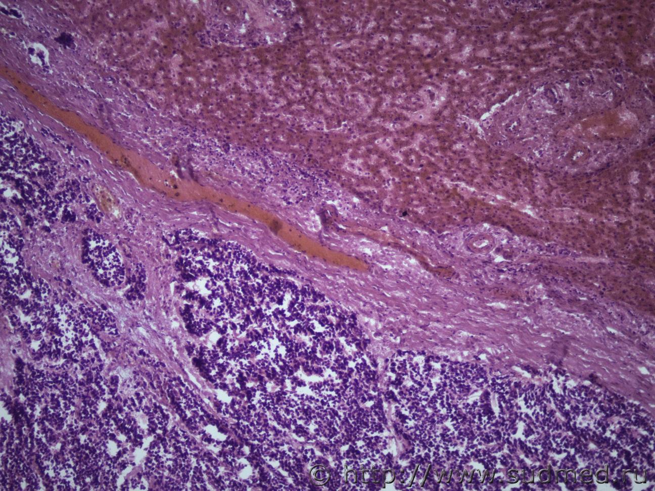
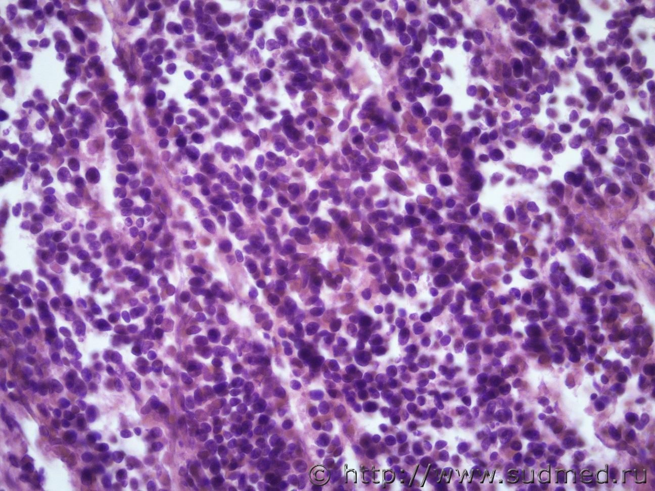
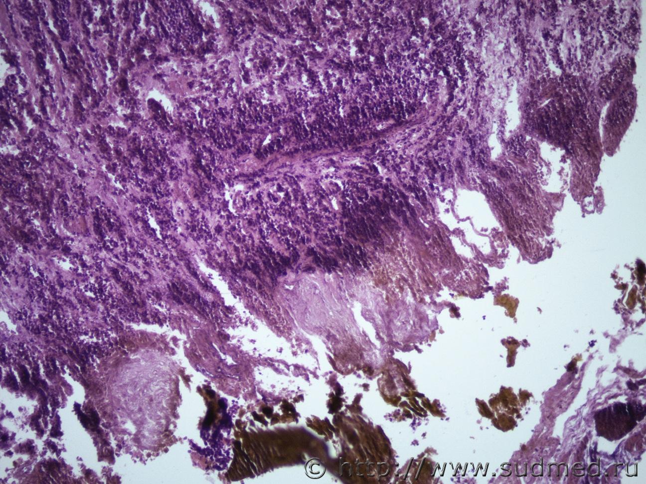
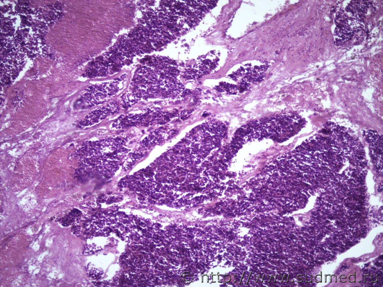
Ув. коллеги и снова здравствуйте. Как всегда опухоль. Макро- опухоль поджелудочной железы с прорастанием в окружающую клетчатку с метастазами в перибронхиальные, перипортальные ЛУ, в прикорневые отделы легких, в стенку желчного пузыря, тонкого кишечника. Легкие Судебная медицина - Прикрепленное изображение Судебная медицина - Прикрепленное изображениеСудебная медицина - Прикрепленное изображениеСудебная медицина - Прикрепленное изображение, перибрЛУСудебная медицина - Прикрепленное изображение ПЖ Судебная медицина - Прикрепленное изображениеСудебная медицина - Прикрепленное изображение , печеньСудебная медицина - Прикрепленное изображение Судебная медицина - Прикрепленное изображение Судебная медицина - Прикрепленное изображение Судебная медицина - Прикрепленное изображение Судебная медицина - Прикрепленное изображение, тонк кишСудебная медицина - Прикрепленное изображение
Пользователь offline
К началу страницы
+Ответить с цитированием
sudmedpatolog
сообщение 17.10.2018 - 14:15
Сообщение #2


Новичок

Группа: Участники
Регистрация: 27.10.2016
Пользователь №: 44 738


Цитата(IVANNES @ 17.10.2018 - 12:20)
Ув. коллеги и снова здравствуйте. Как всегда опухоль. Макро- опухоль поджелудочной железы с прорастанием в окружающую клетчатку с метастазами в перибронхиальные, перипортальные ЛУ, в прикорневые отделы легких, в стенку желчного пузыря, тонкого кишечника. Легкие Судебная медицина - Прикрепленное изображение Судебная медицина - Прикрепленное изображениеСудебная медицина - Прикрепленное изображениеСудебная медицина - Прикрепленное изображение, перибрЛУСудебная медицина - Прикрепленное изображение ПЖ Судебная медицина - Прикрепленное изображениеСудебная медицина - Прикрепленное изображение , печеньСудебная медицина - Прикрепленное изображение Судебная медицина - Прикрепленное изображение Судебная медицина - Прикрепленное изображение Судебная медицина - Прикрепленное изображение Судебная медицина - Прикрепленное изображение, тонк кишСудебная медицина - Прикрепленное изображение

Наиболее подходит нейроэндокринный рак
Пользователь offline
К началу страницы
+Ответить с цитированием
IVANNES
сообщение 17.10.2018 - 14:44
Сообщение #3


Опытный участник

Группа: СМЭ
Регистрация: 28.02.2015
Пользователь №: 41 483


Цитата(sudmedpatolog @ 17.10.2018 - 14:15)
Наиболее подходит нейроэндокринный рак

Спасибо, рассмотрю этот вариант. Я все думала может НД протоковая аденокарцинома или мелкоклеточный рак.
Пользователь offline
К началу страницы
+Ответить с цитированием
Медик
сообщение 17.10.2018 - 23:25
Сообщение #4


Учитель
Group Icon
Группа: Модераторы
Регистрация: 16.05.2010
Пользователь №: 21 553


Цитата(sudmedpatolog @ 17.10.2018 - 15:15)
нейроэндокринный рак

Солидарен.

Цитата(IVANNES @ 17.10.2018 - 15:44)
протоковая аденокарцинома или мелкоклеточный рак.

Непохоже.
Пользователь offline
К началу страницы
+Ответить с цитированием




- Обратная связь Сейчас: 6.11.2025 - 06:21