Здравствуйте, гость ( Вход | Регистрация )

Форум судебных медиков России
 
>

Опухоль мочки уха

>
IVANNES
сообщение 23.10.2018 - 13:46
Сообщение #1


Опытный участник

Группа: СМЭ
Регистрация: 28.02.2015
Пользователь №: 41 483


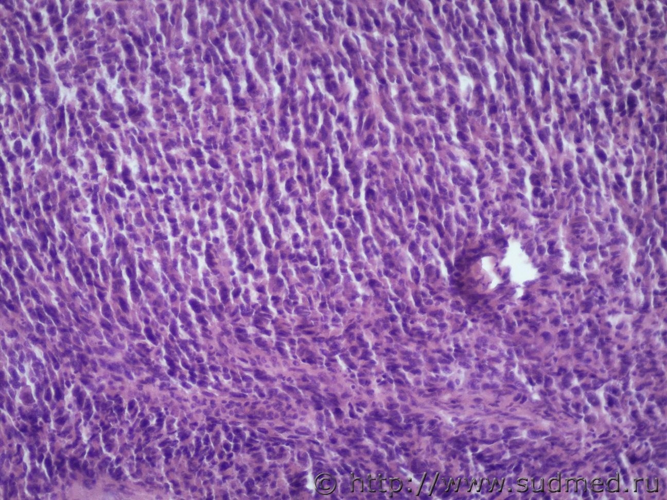
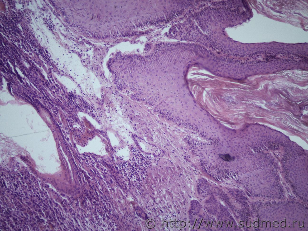
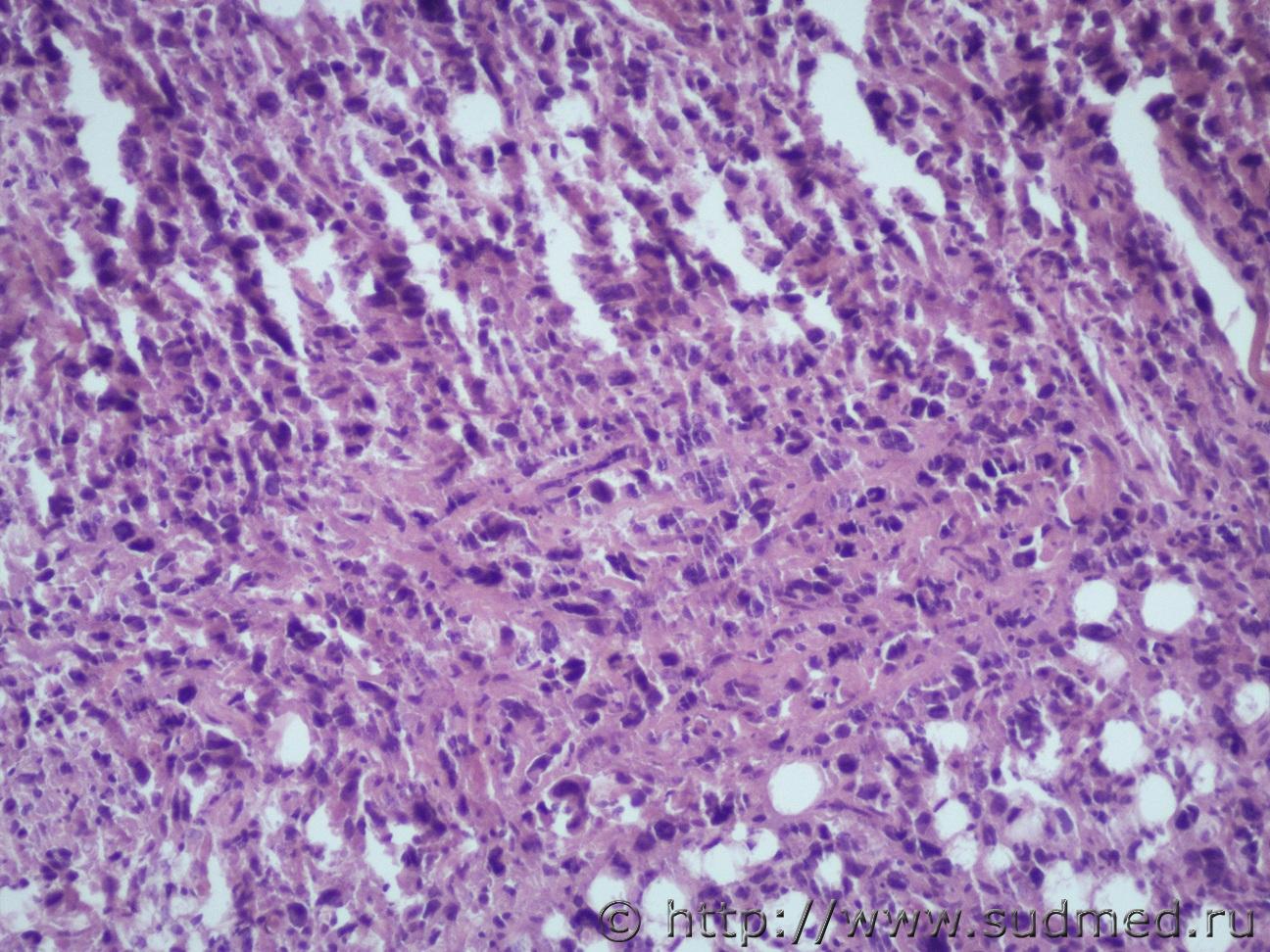
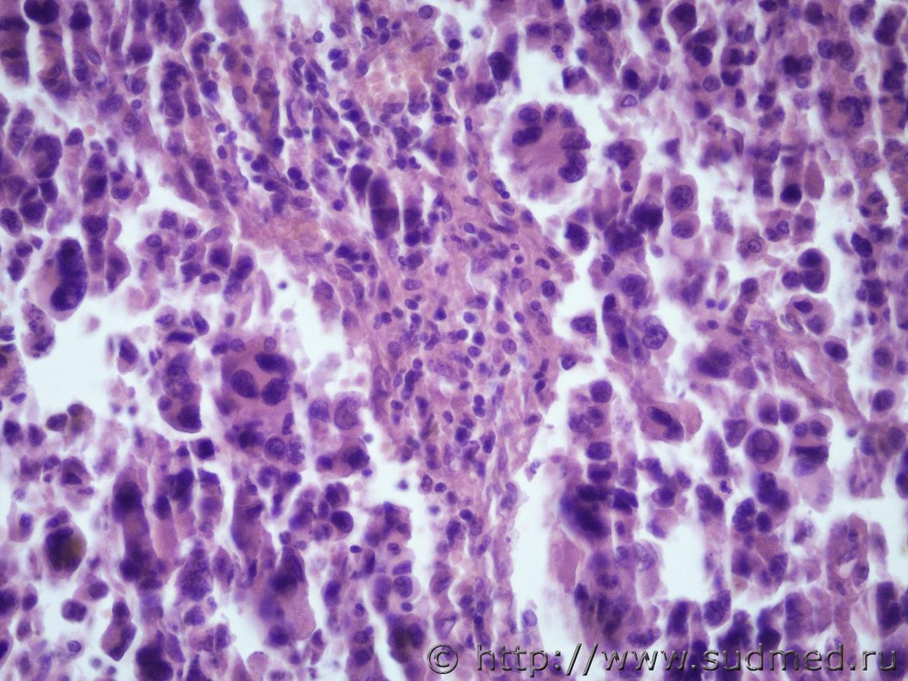
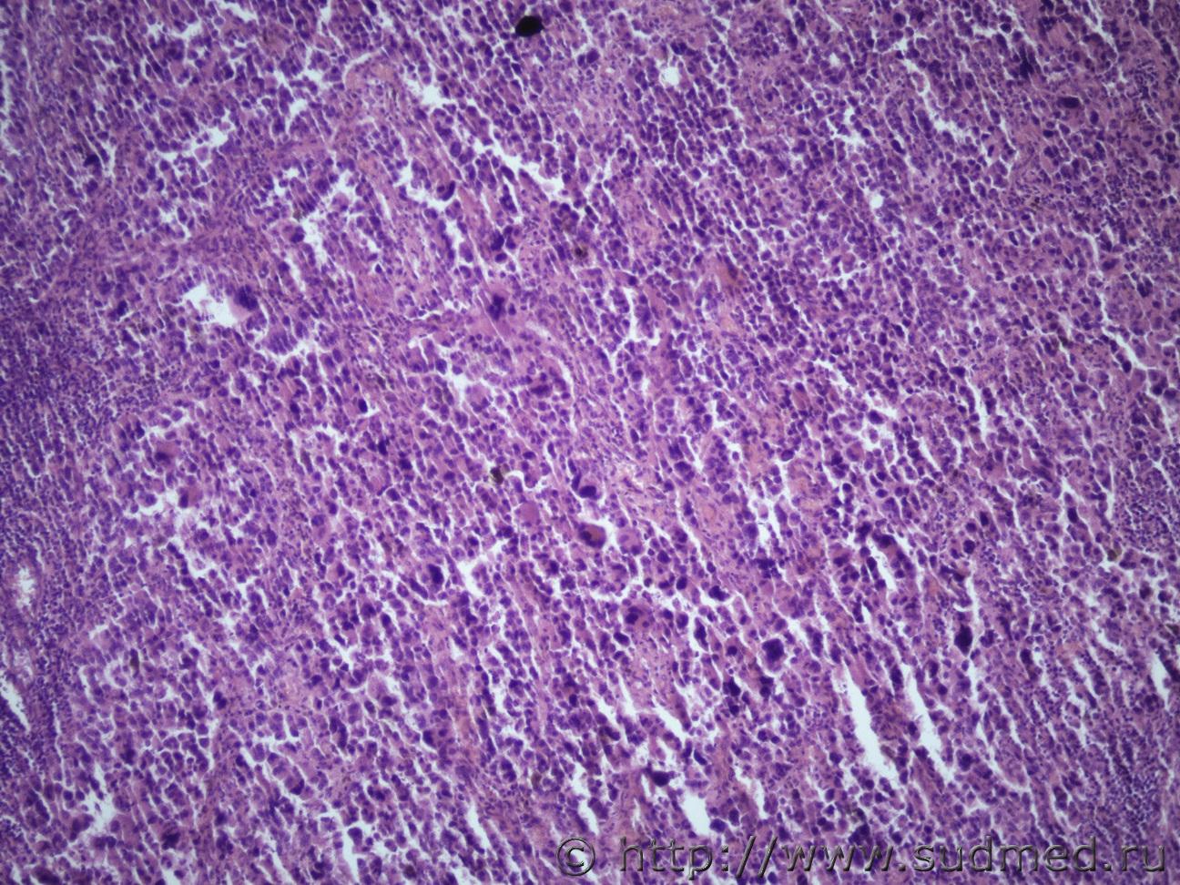
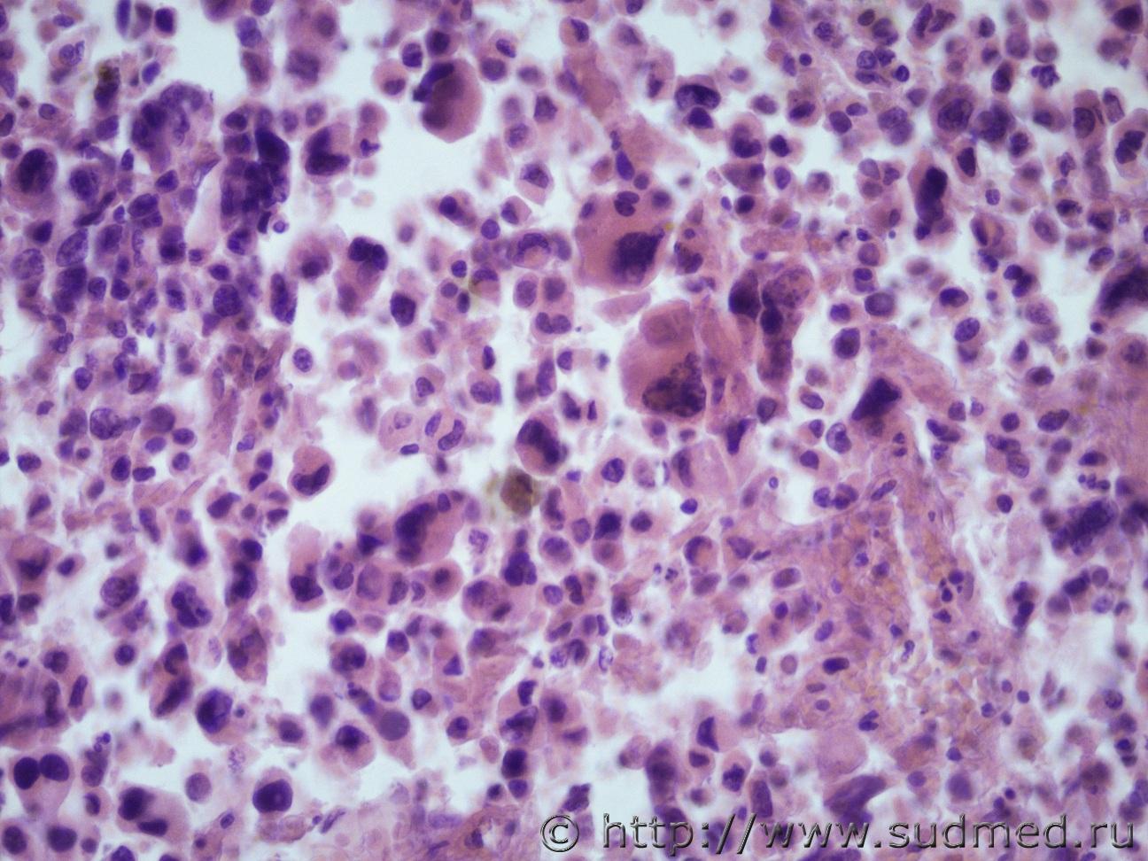
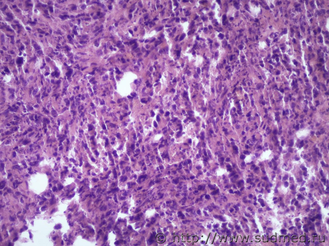
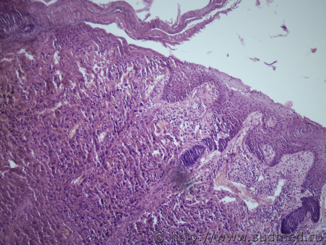
Ув. коллеги доброго дня. Представляю опухоль мочки пр. ушной раковины (9х5х4 см).Судебная медицина - Прикрепленное изображение Судебная медицина - Прикрепленное изображениеСудебная медицина - Прикрепленное изображениеСудебная медицина - Прикрепленное изображениеСудебная медицина - Прикрепленное изображение
Судебная медицина - Прикрепленное изображениеСудебная медицина - Прикрепленное изображениеСудебная медицина - Прикрепленное изображениеСудебная медицина - Прикрепленное изображение
Судебная медицина - Прикрепленное изображениеСудебная медицина - Прикрепленное изображениеСудебная медицина - Прикрепленное изображениеСудебная медицина - Прикрепленное изображение
Судебная медицина - Прикрепленное изображениеСудебная медицина - Прикрепленное изображение
Пользователь offline
К началу страницы
+Ответить с цитированием
Медик
сообщение 23.10.2018 - 14:38
Сообщение #2


Учитель
Group Icon
Группа: Модераторы
Регистрация: 16.05.2010
Пользователь №: 21 553


Цвет опухоли?
Первое,что приходит на ум - это меланома,но надо ещё deal1.gif .

Сообщение отредактировал Медик - 23.10.2018 - 14:41
Пользователь offline
К началу страницы
+Ответить с цитированием
IVANNES
сообщение 23.10.2018 - 14:41
Сообщение #3


Опытный участник

Группа: СМЭ
Регистрация: 28.02.2015
Пользователь №: 41 483


Цитата(Медик @ 23.10.2018 - 14:38)
Цвет опухоли?

Макро напоминает вид "вареного мяса"
Пользователь offline
К началу страницы
+Ответить с цитированием
Медик
сообщение 23.10.2018 - 14:42
Сообщение #4


Учитель
Group Icon
Группа: Модераторы
Регистрация: 16.05.2010
Пользователь №: 21 553


Консистенция или цвет ?
Пользователь offline
К началу страницы
+Ответить с цитированием
IVANNES
сообщение 23.10.2018 - 14:45
Сообщение #5


Опытный участник

Группа: СМЭ
Регистрация: 28.02.2015
Пользователь №: 41 483


Цитата(Медик @ 23.10.2018 - 14:42)
Консистенция или цвет ?

Вскрывающий эксперт не описал. Из данных размер, наличие изъязвлений и вид "варенного мяса"
Пользователь offline
К началу страницы
+Ответить с цитированием
Медик
сообщение 23.10.2018 - 14:54
Сообщение #6


Учитель
Group Icon
Группа: Модераторы
Регистрация: 16.05.2010
Пользователь №: 21 553


Вас понял.
Пользователь offline
К началу страницы
+Ответить с цитированием
griga
сообщение 24.10.2018 - 09:11
Сообщение #7


Авторитетный участник

Группа: СМЭ
Регистрация: 10.02.2006
Пользователь №: 1 250


Соглашусь с ув. Медиком. Тоже подумал в первую очередь о меланоме.
Пользователь offline
К началу страницы
+Ответить с цитированием
доктор морфолог
сообщение 25.10.2018 - 18:06
Сообщение #8


Мастер I

Группа: СМЭ
Регистрация: 5.12.2013
Пользователь №: 38 421


Цитата(IVANNES @ 23.10.2018 - 16:46)
Ув. коллеги доброго дня. Представляю опухоль мочки пр. ушной раковины (9х5х4 см).Судебная медицина - Прикрепленное изображение Судебная медицина - Прикрепленное изображениеСудебная медицина - Прикрепленное изображениеСудебная медицина - Прикрепленное изображениеСудебная медицина - Прикрепленное изображение
Судебная медицина - Прикрепленное изображениеСудебная медицина - Прикрепленное изображениеСудебная медицина - Прикрепленное изображениеСудебная медицина - Прикрепленное изображение
Судебная медицина - Прикрепленное изображениеСудебная медицина - Прикрепленное изображениеСудебная медицина - Прикрепленное изображениеСудебная медицина - Прикрепленное изображение
Судебная медицина - Прикрепленное изображениеСудебная медицина - Прикрепленное изображение

Похоже на гигантскую ювенильную ксантогранулему.
Пользователь offline
К началу страницы
+Ответить с цитированием
Медик
сообщение 26.10.2018 - 13:42
Сообщение #9


Учитель
Group Icon
Группа: Модераторы
Регистрация: 16.05.2010
Пользователь №: 21 553


Цитата(доктор морфолог @ 25.10.2018 - 19:06)
Похоже на гигантскую ювенильную ксантогранулему.

Чем ?
Не вижу ксантомных клеток и эозинофилов.
Ювенильная ксантогранулёма встречается главным образом у детей,а в консультируемом случае,скорее всего, умерший недетского возраста.
Пользователь offline
К началу страницы
+Ответить с цитированием
доктор морфолог
сообщение 28.10.2018 - 00:35
Сообщение #10


Мастер I

Группа: СМЭ
Регистрация: 5.12.2013
Пользователь №: 38 421


Цитата(Медик @ 26.10.2018 - 16:42)
Чем ?
Не вижу ксантомных клеток и эозинофилов.
Ювенильная ксантогранулёма встречается главным образом у детей,а в консультируемом случае,скорее всего, умерший недетского возраста.
Согласен ув.Медик!
Если возраст не молодой,
Пользователь offline
К началу страницы
+Ответить с цитированием
IVANNES
сообщение 29.10.2018 - 09:28
Сообщение #11


Опытный участник

Группа: СМЭ
Регистрация: 28.02.2015
Пользователь №: 41 483


Да, возраст 65 лет
Пользователь offline
К началу страницы
+Ответить с цитированием
доктор морфолог
сообщение 3.11.2018 - 05:29
Сообщение #12


Мастер I

Группа: СМЭ
Регистрация: 5.12.2013
Пользователь №: 38 421


Цитата(IVANNES @ 29.10.2018 - 12:28)
Да, возраст 65 лет

Тогда соответствует картине Атипической фиброксантоме(AFX)
Пользователь offline
К началу страницы
+Ответить с цитированием




- Обратная связь Сейчас: 7.11.2025 - 00:07