Здравствуйте, гость ( Вход | Регистрация )

Форум судебных медиков России
 
>

опухоль печени

>
IVANNES
сообщение 21.11.2018 - 10:39
Сообщение #1


Опытный участник

Группа: СМЭ
Регистрация: 28.02.2015
Пользователь №: 41 483


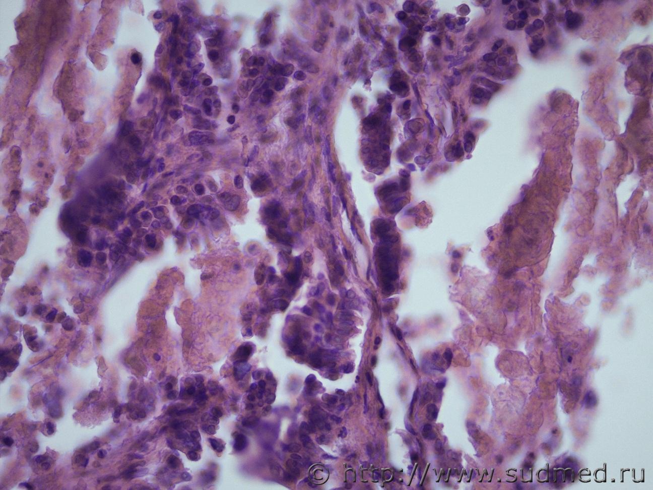
всем добрый день. Муж 80 лет. Резекция почки (причина неизвестна). Диф.диагностика между раком печени и метастазом почки. В печени многочисленные узлы желтого цвета.Судебная медицина - Прикрепленное изображение Судебная медицина - Прикрепленное изображениеСудебная медицина - Прикрепленное изображениеСудебная медицина - Прикрепленное изображениеСудебная медицина - Прикрепленное изображение
Пользователь offline
К началу страницы
+Ответить с цитированием
Anton
сообщение 21.11.2018 - 14:02
Сообщение #2


Мастер II

Группа: СМЭ
Регистрация: 6.12.2011
Из: Опорный край державы
Пользователь №: 30 279


Эпителий желчного типа, д.б. холангиокарцинома.
Пользователь offline
К началу страницы
+Ответить с цитированием
Медик
сообщение 22.11.2018 - 20:17
Сообщение #3


Учитель
Group Icon
Группа: Модераторы
Регистрация: 16.05.2010
Пользователь №: 21 553


Цитата(IVANNES @ 21.11.2018 - 11:39)
Резекция почки (причина неизвестна).

Скорее,нефрэктомия.

Цитата(Anton @ 21.11.2018 - 15:02)
холангиокарцинома.

Похоже.
Пользователь offline
К началу страницы
+Ответить с цитированием
IVANNES
сообщение 23.11.2018 - 10:01
Сообщение #4


Опытный участник

Группа: СМЭ
Регистрация: 28.02.2015
Пользователь №: 41 483


Цитата(Медик @ 22.11.2018 - 20:17)
Скорее,нефрэктомия.
Похоже.

Спасибо. Почка не бала полностью уделена, только часть.
Пользователь offline
К началу страницы
+Ответить с цитированием
Медик
сообщение 23.11.2018 - 23:38
Сообщение #5


Учитель
Group Icon
Группа: Модераторы
Регистрация: 16.05.2010
Пользователь №: 21 553


Понял,приношу извинение.
Пользователь offline
К началу страницы
+Ответить с цитированием
andy_bob
сообщение 29.11.2018 - 12:39
Сообщение #6


Участник форума

Группа: Участники
Регистрация: 15.11.2006
Из: Волгоград
Пользователь №: 3 504


Железистая ткань с фигурами патологического митоза. Аденокарцинома желчных протоков.
Пользователь offline
К началу страницы
+Ответить с цитированием




- Обратная связь Сейчас: 9.11.2025 - 03:53