Здравствуйте, гость ( Вход | Регистрация )

Форум судебных медиков России
 
>

Опухолевидное образование щитовидной железы

>
IVANNES
сообщение 19.03.2019 - 10:57
Сообщение #1


Опытный участник

Группа: СМЭ
Регистрация: 28.02.2015
Пользователь №: 41 483


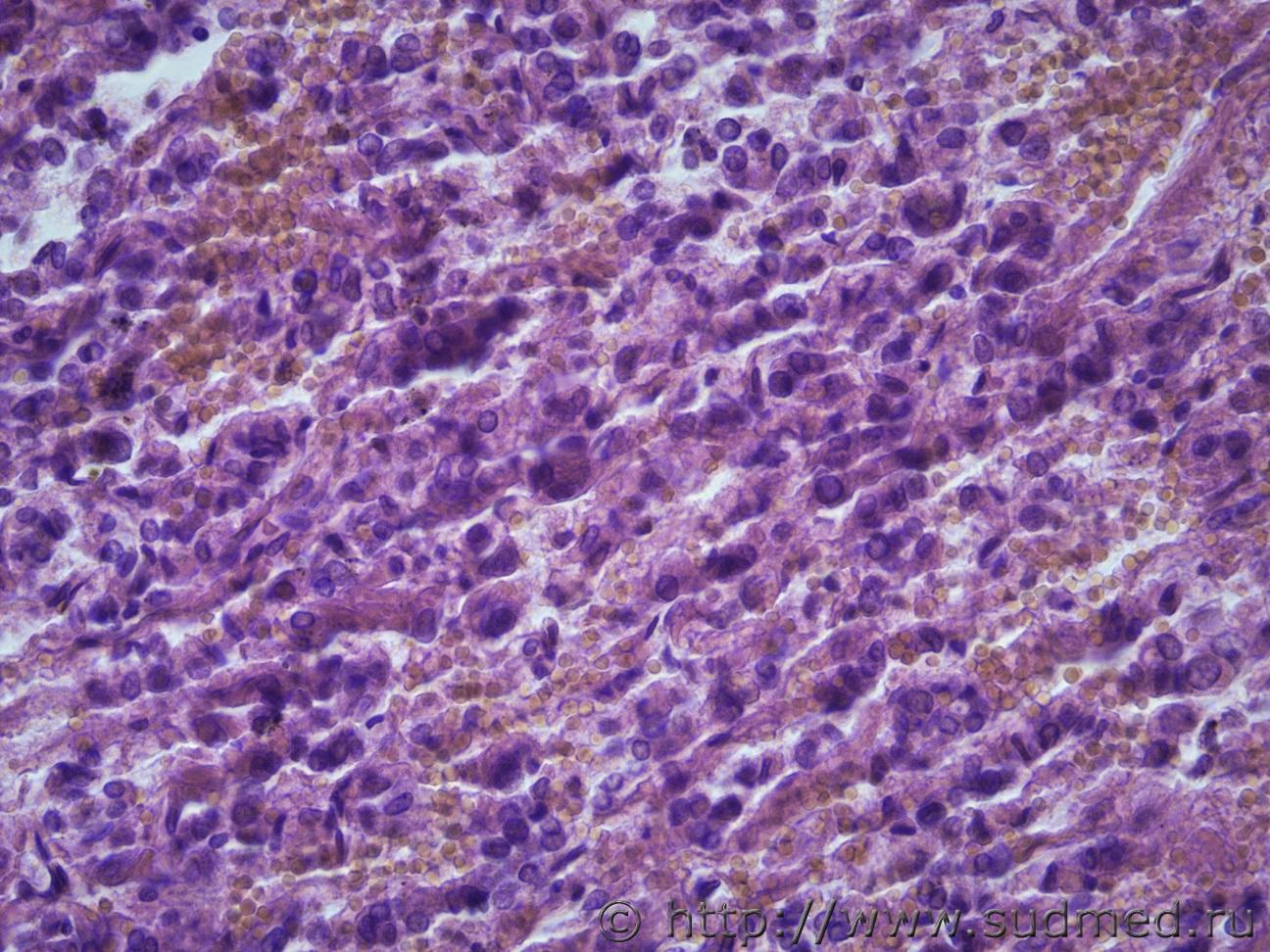
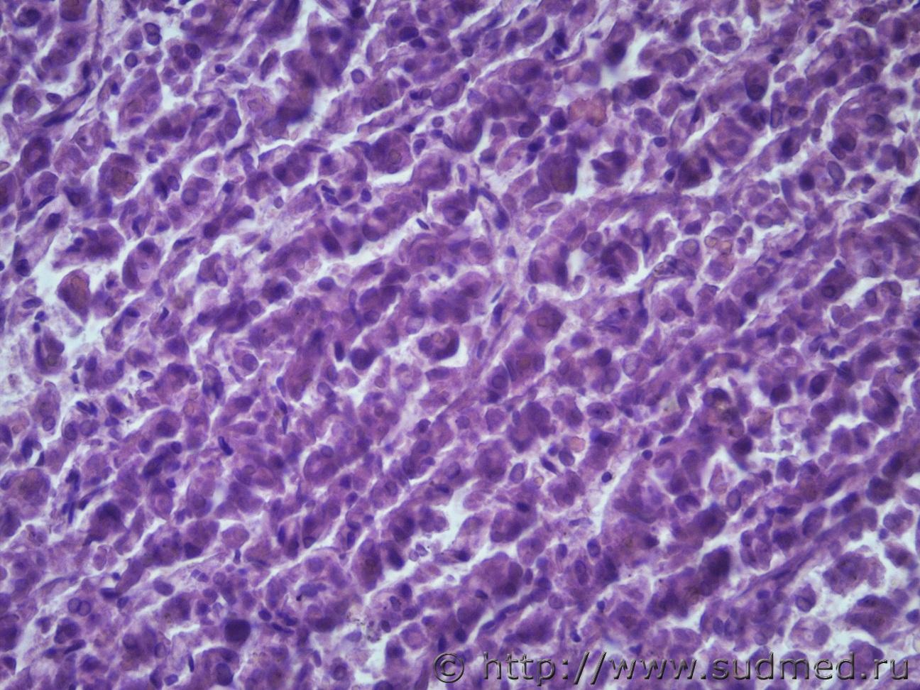
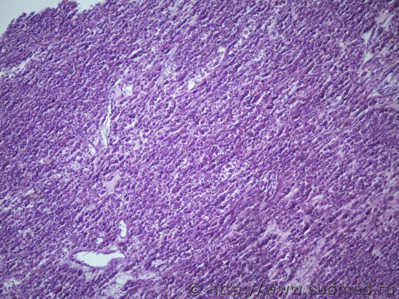
Ув. коллеги, нужна ваша помощь. Опухолевидное образование правой доли Щ.Ж. Жен. 60 лет Судебная медицина - Прикрепленное изображение Судебная медицина - Прикрепленное изображениеСудебная медицина - Прикрепленное изображениеСудебная медицина - Прикрепленное изображениеСудебная медицина - Прикрепленное изображение
Судебная медицина - Прикрепленное изображение
Пользователь offline
К началу страницы
+Ответить с цитированием
Anton
сообщение 19.03.2019 - 14:38
Сообщение #2


Мастер II

Группа: СМЭ
Регистрация: 6.12.2011
Из: Опорный край державы
Пользователь №: 30 279


Сложный орган. По-моему, идет образование фолликулов.
Пользователь offline
К началу страницы
+Ответить с цитированием
Медик
сообщение 19.03.2019 - 21:06
Сообщение #3


Учитель
Group Icon
Группа: Модераторы
Регистрация: 16.05.2010
Пользователь №: 21 553


Похоже на недифференцированный рак.
Пользователь offline
К началу страницы
+Ответить с цитированием
доктор морфолог
сообщение 28.03.2019 - 19:43
Сообщение #4


Мастер I

Группа: СМЭ
Регистрация: 5.12.2013
Пользователь №: 38 421


Цитата(IVANNES @ 19.03.2019 - 13:57)
Ув. коллеги, нужна ваша помощь. Опухолевидное образование правой доли Щ.Ж. Жен. 60 лет Судебная медицина - Прикрепленное изображение Судебная медицина - Прикрепленное изображениеСудебная медицина - Прикрепленное изображениеСудебная медицина - Прикрепленное изображениеСудебная медицина - Прикрепленное изображение
Судебная медицина - Прикрепленное изображение

Парное совпадение и щитовидке и в почке с мтs в легкие и в предыдушем вашем случае медуллярная карцинома
Пользователь offline
К началу страницы
+Ответить с цитированием




- Обратная связь Сейчас: 3.11.2025 - 21:15