Здравствуйте, гость ( Вход | Регистрация )

Форум судебных медиков России
 
>

Новообразование почки

>
IVANNES
сообщение 21.03.2019 - 11:19
Сообщение #1


Опытный участник

Группа: СМЭ
Регистрация: 28.02.2015
Пользователь №: 41 483


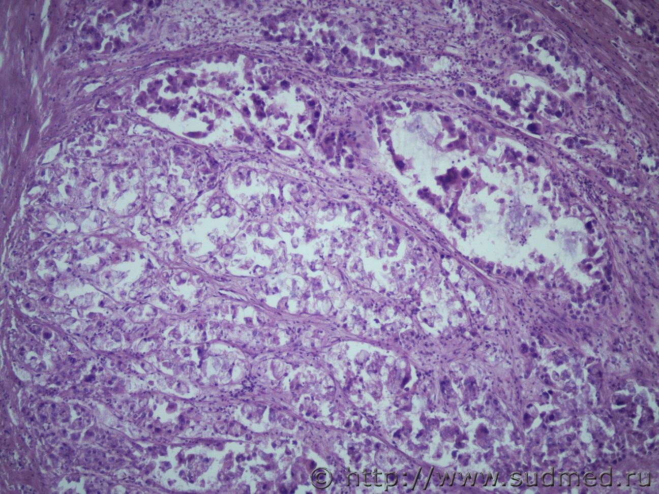
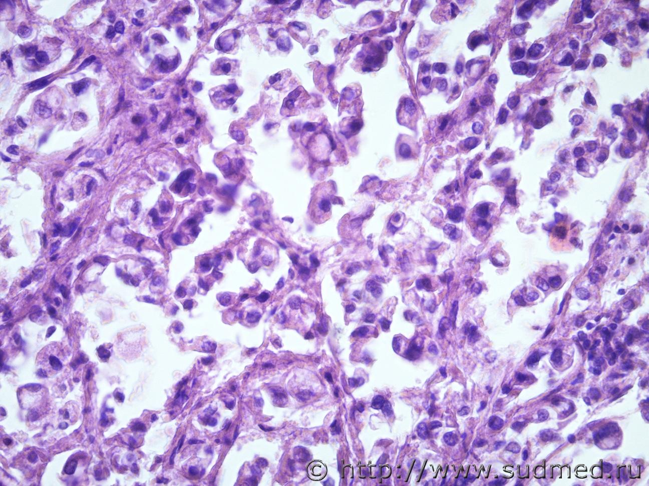
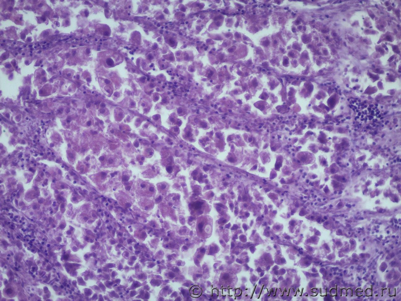
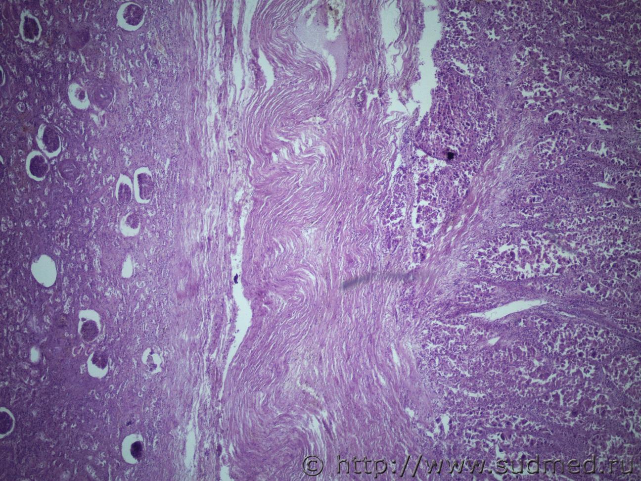
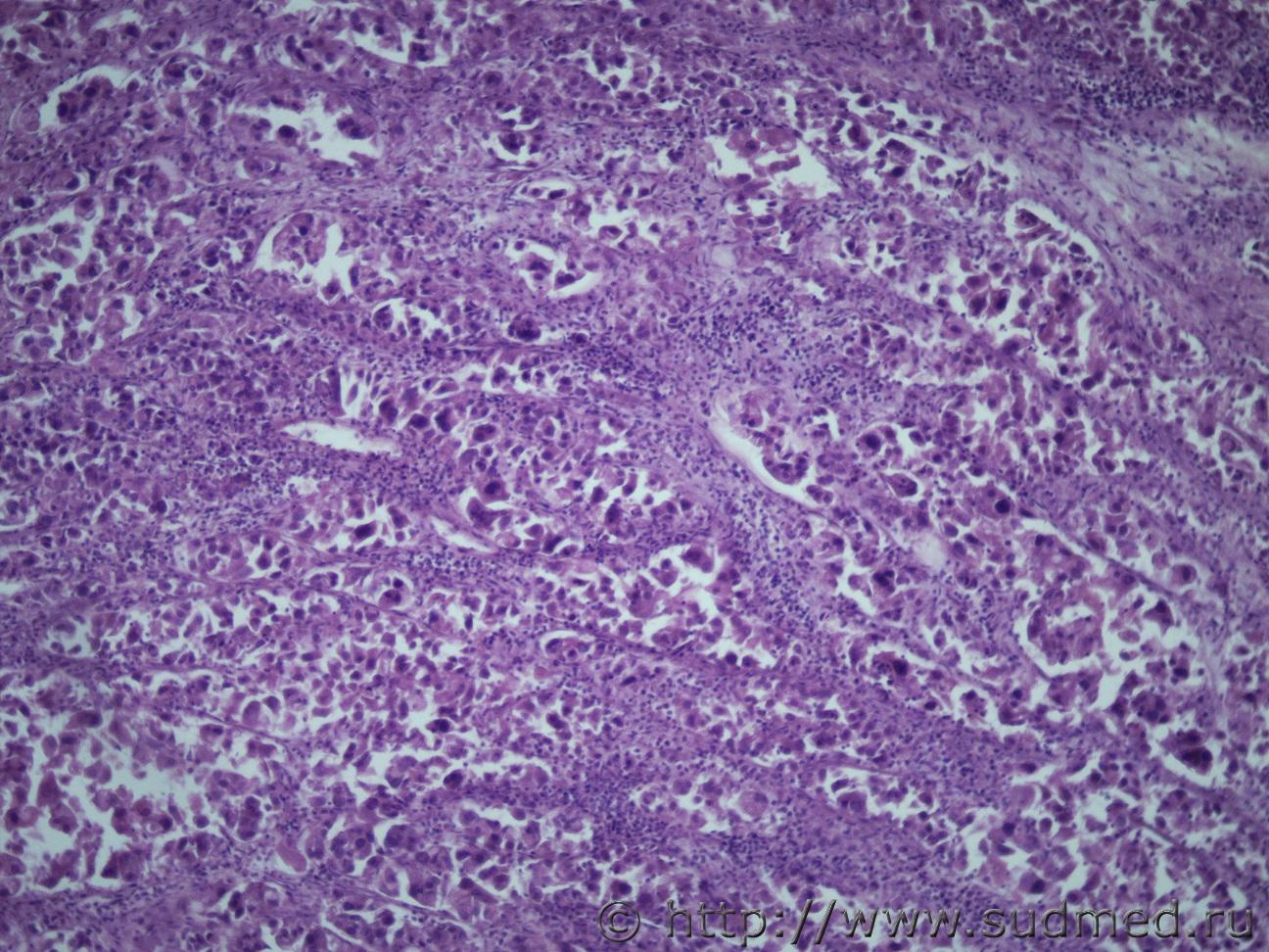
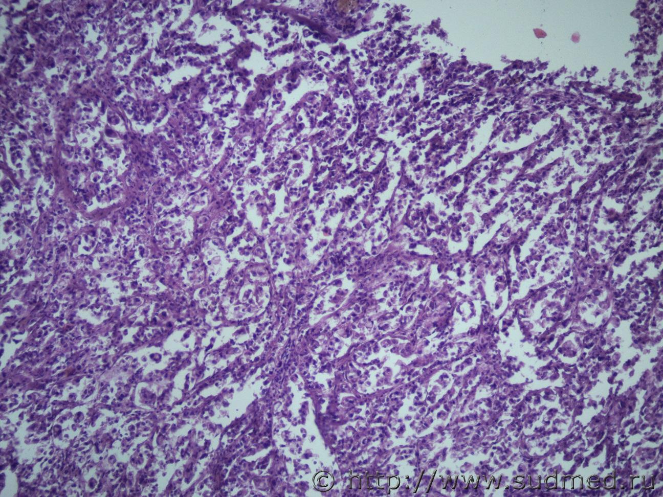
Ув. коллеги нужна помощь. Муж 60 лет. Эксперт присылает злокачественное новообразование левой почки с метастазами в правую почку и легкие. В стеклах опухоль в почке над капсулой (какая это почка правая или левая не указано) Судебная медицина - Прикрепленное изображение Судебная медицина - Прикрепленное изображениеСудебная медицина - Прикрепленное изображениеСудебная медицина - Прикрепленное изображениеСудебная медицина - Прикрепленное изображение
, легкиеСудебная медицина - Прикрепленное изображение Судебная медицина - Прикрепленное изображениеСудебная медицина - Прикрепленное изображение
Пользователь offline
К началу страницы
+Ответить с цитированием
griga
сообщение 21.03.2019 - 11:42
Сообщение #2


Авторитетный участник

Группа: СМЭ
Регистрация: 10.02.2006
Пользователь №: 1 250


По мне - железистый вариант гипернефроидного рака.
Пользователь offline
К началу страницы
+Ответить с цитированием
Медик
сообщение 22.03.2019 - 20:44
Сообщение #3


Учитель
Group Icon
Группа: Модераторы
Регистрация: 16.05.2010
Пользователь №: 21 553


Гипернефроидный рак.
Пользователь offline
К началу страницы
+Ответить с цитированием
IVANNES
сообщение 25.03.2019 - 09:42
Сообщение #4


Опытный участник

Группа: СМЭ
Регистрация: 28.02.2015
Пользователь №: 41 483


Всем огромное спасибо за участие))))
Пользователь offline
К началу страницы
+Ответить с цитированием
доктор морфолог
сообщение 28.03.2019 - 19:45
Сообщение #5


Мастер I

Группа: СМЭ
Регистрация: 5.12.2013
Пользователь №: 38 421


Цитата(IVANNES @ 21.03.2019 - 14:19)
Ув. коллеги нужна помощь. Муж 60 лет. Эксперт присылает злокачественное новообразование левой почки с метастазами в правую почку и легкие. В стеклах опухоль в почке над капсулой (какая это почка правая или левая не указано) Судебная медицина - Прикрепленное изображение Судебная медицина - Прикрепленное изображениеСудебная медицина - Прикрепленное изображениеСудебная медицина - Прикрепленное изображениеСудебная медицина - Прикрепленное изображение
, легкиеСудебная медицина - Прикрепленное изображение Судебная медицина - Прикрепленное изображениеСудебная медицина - Прикрепленное изображение

Почечно медуллярная карцинома с mts в легкие
Пользователь offline
К началу страницы
+Ответить с цитированием




- Обратная связь Сейчас: 9.11.2025 - 13:46