Здравствуйте, гость ( Вход | Регистрация )

Форум судебных медиков России
 
>

Гистология легких, Структура под микроскопом

>
Dr_Bob
сообщение 10.04.2019 - 20:40
Сообщение #1


Продвинутый участник

Группа: СМЭ
Регистрация: 6.07.2006
Из: Slovak Republic
Пользователь №: 2 281


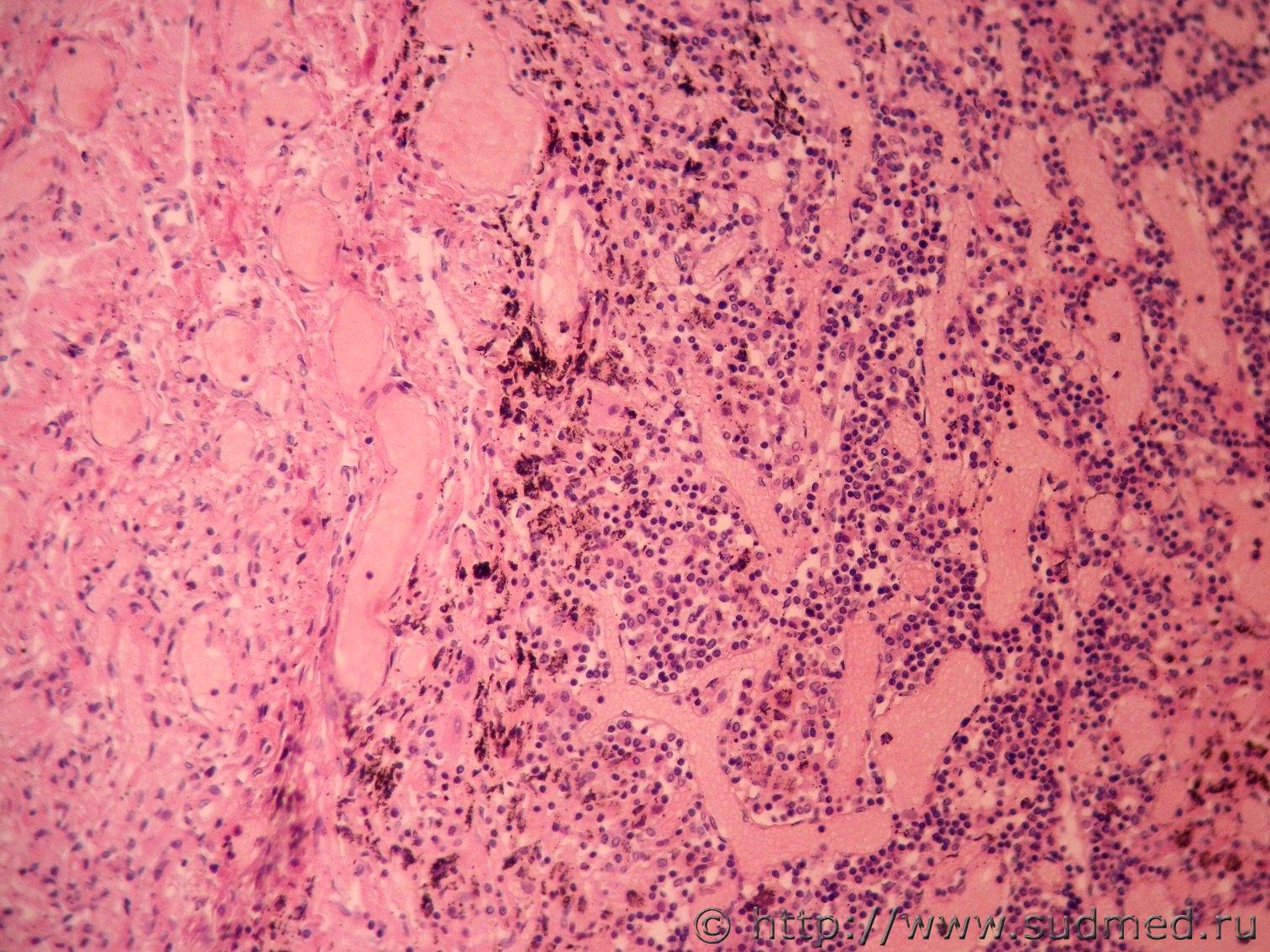
Доброе время дня, уважаемые участники! У коллеги под микроскопом в стеклопрепарате легких умершей женщины (67 лет) выявилось неясное образование. На скорую руку сделал снимки с ув. 40х, 200х и 400х. Прошу помощи и ответа, что бы это могло быть? На опухоль вроде бы не похоже. Что-то из лимфатической системы? Снимки прикрепляю. Заранее благодарю.


Эскизы прикрепленных изображений
Судебная медицина - Прикрепленное изображение Судебная медицина - Прикрепленное изображение Судебная медицина - Прикрепленное изображение Судебная медицина - Прикрепленное изображение
Пользователь offline
К началу страницы
+Ответить с цитированием
sudmedpatolog
сообщение 11.04.2019 - 08:55
Сообщение #2


Новичок

Группа: Участники
Регистрация: 27.10.2016
Пользователь №: 44 738


Цитата(Dr_Bob @ 10.04.2019 - 20:40)
На опухоль вроде бы не похоже. Что-то из лимфатической системы? Снимки прикрепляю. Заранее благодарю.

Похоже на перибронхиальный лимфоузел.
Пользователь offline
К началу страницы
+Ответить с цитированием
Dr_Bob
сообщение 11.04.2019 - 12:16
Сообщение #3


Продвинутый участник

Группа: СМЭ
Регистрация: 6.07.2006
Из: Slovak Republic
Пользователь №: 2 281


Цитата(sudmedpatolog @ 11.04.2019 - 07:55)
Похоже на перибронхиальный лимфоузел.

Спасибо! Да, это может быть ЛУ, вдобавок еще и с антракотическими изменениями.
Еще одну концепцию лимфатических образований в легких выдвигали еще в 70-х годах прошлого века в Киеве доц. Чернышенко и проф. Чернокульский - они описывали т.н. "периваскулярные лимфатические фолликулы" в легких. Половина аудитории их признавала, половина - отвергала.

Вот тут есть кое-какая информация о периваскулярных лимфатических фолликулах (ПЛФ)

Сообщение отредактировал Dr_Bob - 11.04.2019 - 12:16
Пользователь offline
К началу страницы
+Ответить с цитированием
Медик
сообщение 11.04.2019 - 20:03
Сообщение #4


Учитель
Group Icon
Группа: Модераторы
Регистрация: 16.05.2010
Пользователь №: 21 553


Посмотрел фото,прочитал по сноске и получается,что на представленных фото "периваскулярный лимфатический фолликул".
Р.S.Фото не противоречит тексту.
Пользователь offline
К началу страницы
+Ответить с цитированием
доктор морфолог
сообщение 11.04.2019 - 23:13
Сообщение #5


Мастер I

Группа: СМЭ
Регистрация: 5.12.2013
Пользователь №: 38 421


Цитата(Dr_Bob @ 10.04.2019 - 23:40)
Доброе время дня, уважаемые участники! У коллеги под микроскопом в стеклопрепарате легких умершей женщины (67 лет) выявилось неясное образование. На скорую руку сделал снимки с ув. 40х, 200х и 400х. Прошу помощи и ответа, что бы это могло быть? На опухоль вроде бы не похоже. Что-то из лимфатической системы? Снимки прикрепляю. Заранее благодарю.

Гистологическая картина соответствует Склерозирующей пневмоцитоме(гемангиоме).Попробуйте ИГХ на EMA , TTF1.

Сообщение отредактировал доктор морфолог - 11.04.2019 - 23:22
Пользователь offline
К началу страницы
+Ответить с цитированием
Dr_Bob
сообщение 12.04.2019 - 19:05
Сообщение #6


Продвинутый участник

Группа: СМЭ
Регистрация: 6.07.2006
Из: Slovak Republic
Пользователь №: 2 281


Спасибо, проверю и этот вариант.
Включая иммуногистохимию на эпителиальный мембранный антиген (ЕМА).
Склерозирующая пневмоцитома (гемангиома) - инфо здесь
Пользователь offline
К началу страницы
+Ответить с цитированием




- Обратная связь Сейчас: 7.11.2025 - 21:49