Здравствуйте, гость ( Вход | Регистрация )

Форум судебных медиков России
 
>

Опухоль щитовидной железы

>
IVANNES
сообщение 20.05.2019 - 14:34
Сообщение #1


Опытный участник

Группа: СМЭ
Регистрация: 28.02.2015
Пользователь №: 41 483


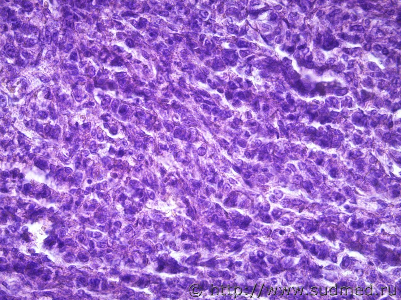
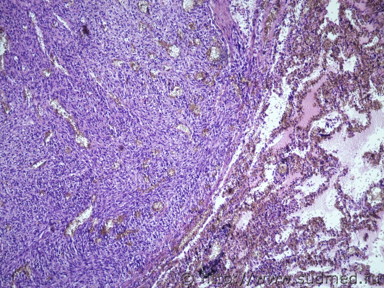
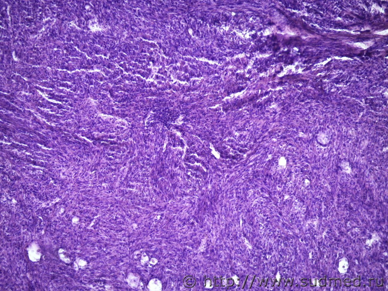
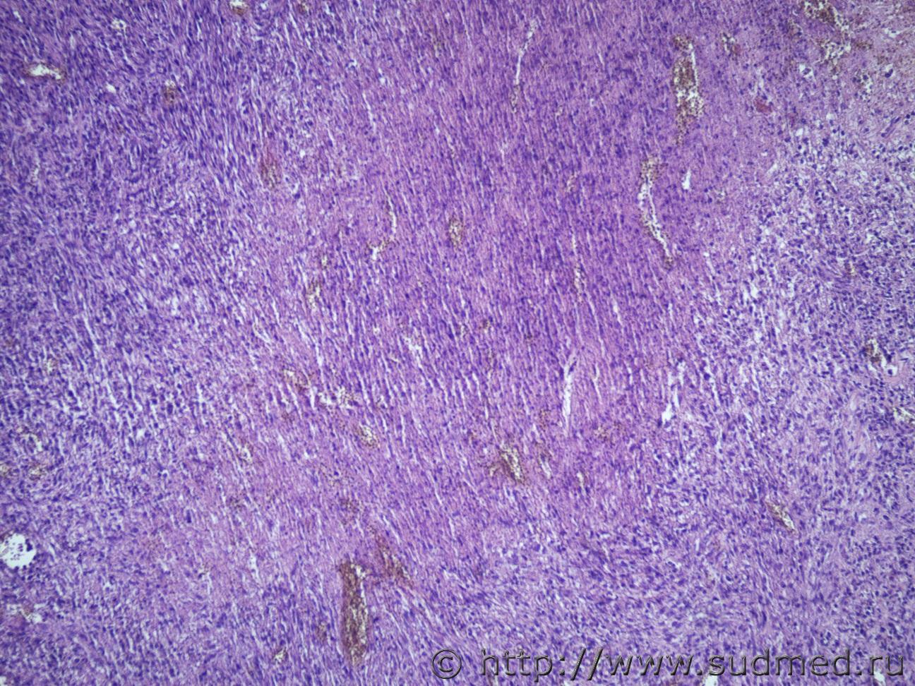
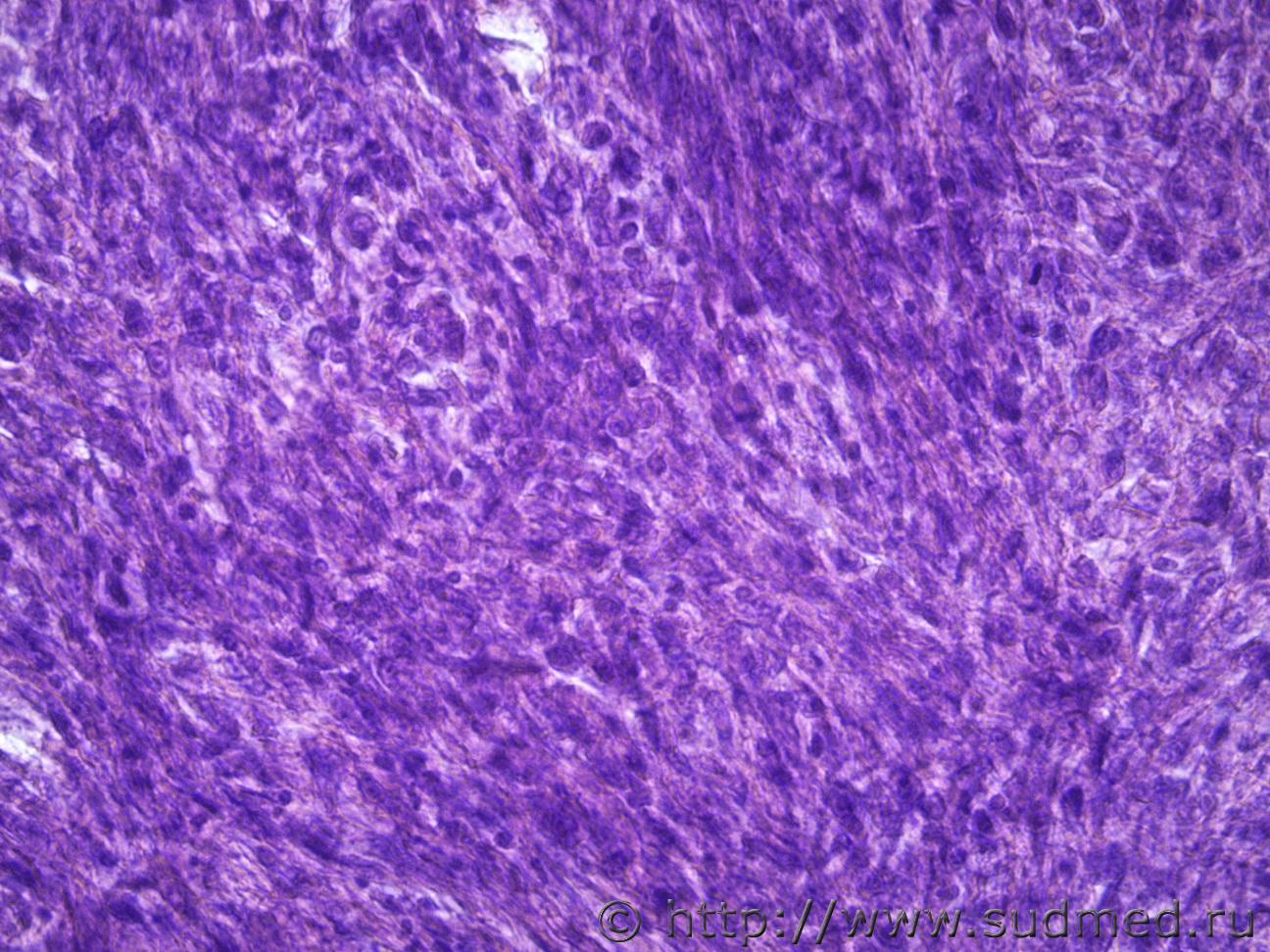
Ув. коллеги нужна помощь))) Муж 80 лет. На вскрытии рак щитовидной железы с метастазами в легкие
Судебная медицина - Прикрепленное изображение Судебная медицина - Прикрепленное изображениеСудебная медицина - Прикрепленное изображениеСудебная медицина - Прикрепленное изображениеСудебная медицина - Прикрепленное изображение
легкиеСудебная медицина - Прикрепленное изображение Судебная медицина - Прикрепленное изображениеСудебная медицина - Прикрепленное изображениеСудебная медицина - Прикрепленное изображение 12 лет назад был рак желудка и 12-перс. кишки, оперирован.
Пользователь offline
К началу страницы
+Ответить с цитированием
sudmedpatolog
сообщение 21.05.2019 - 09:18
Сообщение #2


Новичок

Группа: Участники
Регистрация: 27.10.2016
Пользователь №: 44 738


Подумала бы о медуллярном раке щитовидной железы.
Пользователь offline
К началу страницы
+Ответить с цитированием
Медик
сообщение 22.05.2019 - 09:00
Сообщение #3


Учитель
Group Icon
Группа: Модераторы
Регистрация: 16.05.2010
Пользователь №: 21 553


Похож,но не исключил бы криброзно-морулярный.
Пользователь offline
К началу страницы
+Ответить с цитированием
доктор морфолог
сообщение 27.05.2019 - 17:54
Сообщение #4


Мастер I

Группа: СМЭ
Регистрация: 5.12.2013
Пользователь №: 38 421


По щитовидке похоже на медуллярный тип карциномы, а в легких напоминает солитарную фиброзную опухоль? Но ТС -у виднее.
Пользователь offline
К началу страницы
+Ответить с цитированием
Елена1990
сообщение 29.05.2019 - 13:58
Сообщение #5


Вновь прибывший

Группа: Участники
Регистрация: 29.05.2019
Пользователь №: 46 415


морфологическая картина соответствует медуллярному раку.
Пользователь offline
К началу страницы
+Ответить с цитированием
IVANNES
сообщение 3.06.2019 - 10:19
Сообщение #6


Опытный участник

Группа: СМЭ
Регистрация: 28.02.2015
Пользователь №: 41 483


Всем спасибо)))
Пользователь offline
К началу страницы
+Ответить с цитированием




- Обратная связь Сейчас: 6.11.2025 - 18:19