Здравствуйте, гость ( Вход | Регистрация )

Форум судебных медиков России
 
>

Опухоль головной мозг

>
IVANNES
сообщение 17.06.2019 - 10:11
Сообщение #1


Опытный участник

Группа: СМЭ
Регистрация: 28.02.2015
Пользователь №: 41 483


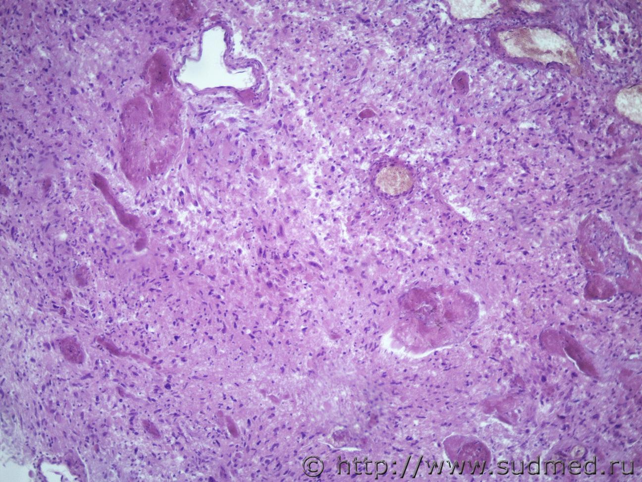
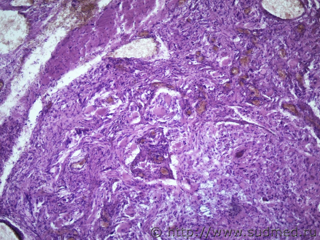
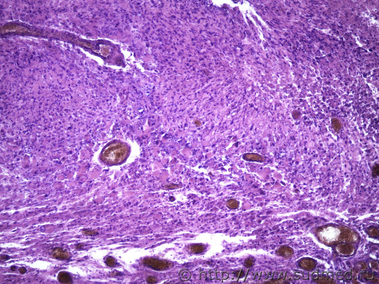
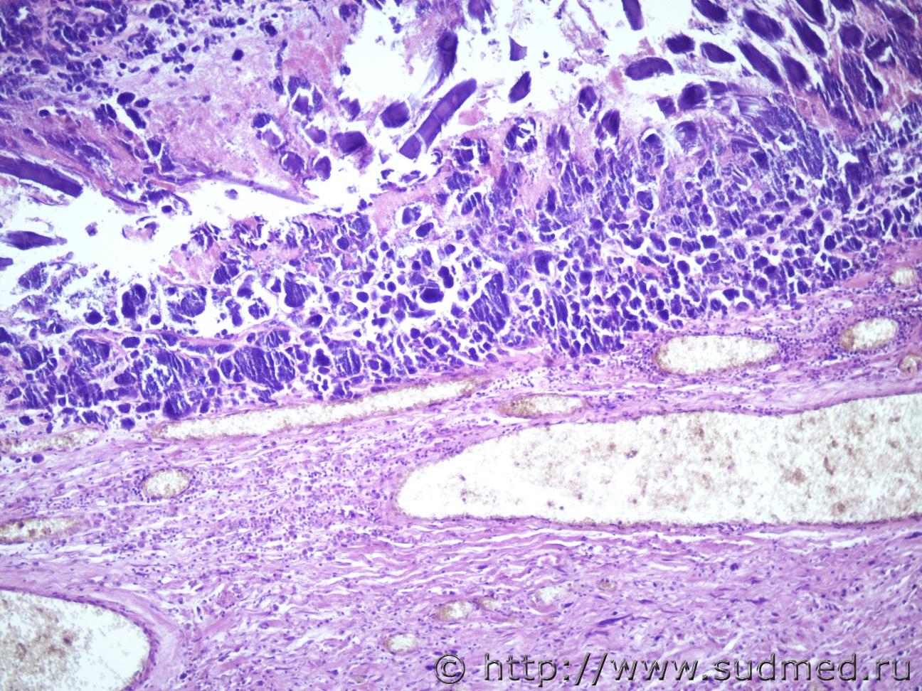
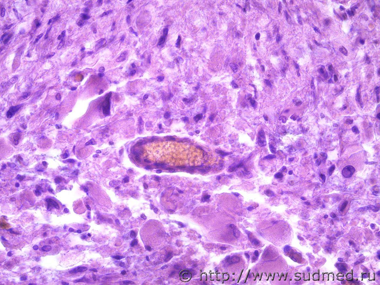
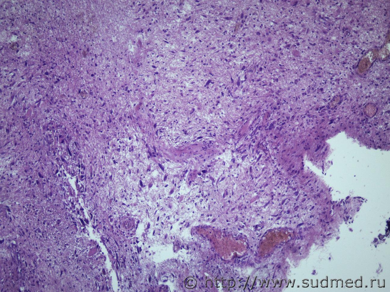
Ув. коллеги, как всегда нужна ваша помощь. Муж 80 лет отходящее от тмо новообразование от беловато-серого до темно-коричневого цвета с вдавлением в вещество головного мозга. Предполагается менингиома. Очень интересуют изменения в самом головном мозге в проекции с давления опухолью. ТМО Судебная медицина - Прикрепленное изображение Судебная медицина - Прикрепленное изображениеСудебная медицина - Прикрепленное изображениеСудебная медицина - Прикрепленное изображениеСудебная медицина - Прикрепленное изображение
Судебная медицина - Прикрепленное изображениеСудебная медицина - Прикрепленное изображениеСудебная медицина - Прикрепленное изображение Головной мозг Судебная медицина - Прикрепленное изображениеСудебная медицина - Прикрепленное изображениеСудебная медицина - Прикрепленное изображениеСудебная медицина - Прикрепленное изображение


Эскизы прикрепленных изображений
Судебная медицина - Прикрепленное изображение
Пользователь offline
К началу страницы
+Ответить с цитированием
доктор морфолог
сообщение 18.06.2019 - 19:48
Сообщение #2


Мастер I

Группа: СМЭ
Регистрация: 5.12.2013
Пользователь №: 38 421


Цитата(IVANNES @ 17.06.2019 - 13:11)
Ув. коллеги, как всегда нужна ваша помощь. Муж 80 лет отходящее от тмо новообразование от беловато-серого до темно-коричневого цвета с вдавлением в вещество головного мозга. Предполагается менингиома. Очень интересуют изменения в самом головном мозге в проекции с давления опухолью. ТМО Судебная медицина - Прикрепленное изображение Судебная медицина - Прикрепленное изображениеСудебная медицина - Прикрепленное изображениеСудебная медицина - Прикрепленное изображениеСудебная медицина - Прикрепленное изображение
Судебная медицина - Прикрепленное изображениеСудебная медицина - Прикрепленное изображениеСудебная медицина - Прикрепленное изображение Головной мозг Судебная медицина - Прикрепленное изображениеСудебная медицина - Прикрепленное изображениеСудебная медицина - Прикрепленное изображениеСудебная медицина - Прикрепленное изображение

Если локализация точно из ММО, то соответствует на рабдоидный тип менигиомы, если нет, то метастатически м.б.

Сообщение отредактировал доктор морфолог - 18.06.2019 - 19:55
Пользователь offline
К началу страницы
+Ответить с цитированием
Медик
сообщение 18.06.2019 - 22:54
Сообщение #3


Учитель
Group Icon
Группа: Модераторы
Регистрация: 16.05.2010
Пользователь №: 21 553


Цитата(доктор морфолог @ 18.06.2019 - 20:48)
то метастатически м.б.

Скорее так.
Пользователь offline
К началу страницы
+Ответить с цитированием
IVANNES
сообщение 19.06.2019 - 09:35
Сообщение #4


Опытный участник

Группа: СМЭ
Регистрация: 28.02.2015
Пользователь №: 41 483


В том то и проблема, эксперт больше ничего не нашел.
Пользователь offline
К началу страницы
+Ответить с цитированием
Медик
сообщение 19.06.2019 - 23:13
Сообщение #5


Учитель
Group Icon
Группа: Модераторы
Регистрация: 16.05.2010
Пользователь №: 21 553


Цитата(IVANNES @ 19.06.2019 - 10:35)
эксперт больше ничего не нашел.

Такое бывает.
С80.
Пользователь offline
К началу страницы
+Ответить с цитированием




- Обратная связь Сейчас: 8.11.2025 - 16:15